medigraphic.com
SPANISH

Cirujano General

ISSN 2594-1518 (Electronic)
ISSN 1405-0099 (Print)
  • Contents
  • View Archive
  • Information
    • General Information        
    • Directory
  • Publish
    • Instructions for authors        
    • Send manuscript
  • medigraphic.com
    • Home
    • Journals index            
    • Register / Login
  • Mi perfil

2021, Number 2

<< Back Next >>

Cir Gen 2021; 43 (2)

Perforated jejunal diverticulitis: an infrequent cause of acute abdomen

Peña-Portillo, Guadalupe Kristal1; Ayala-Hernández, Sandra Gabriela1; Pérez-Torres, Guadalupe del Carmen1; Marín-Pardo, Erwin Iván1; Migoya-Ibarra, Rodrigo2
Full text How to cite this article 10.35366/106724

DOI

DOI: 10.35366/106724
URL: https://dx.doi.org/10.35366/106724

Language: English/Spanish [Versi?n en espa?ol]
References: 31
Page: 125-131
PDF size: 291.33 Kb.


Key words:

Diverticulum, jejunum, acute abdomen, laparotomy.

ABSTRACT

Although the intestinal diverticulum are rare, its perforation conditions a high mortality associated with delay in diagnosis, its most common localization is jejunum. Treatment consists of fluid and electrolyte replacement, broad-spectrum antibiotic therapy and surgical management that includes resection of the intestinal segment where the diverticulum is located and anastomosis. Because of it is a rare pathology, it is important to keep it in mind, in order to suspect the disease and establish treatment immediately. Following, there is a case of a patient with a diagnosis of perforated jejunal diverticulum.



INTRODUCTION

Intestinal diverticula are uncommon, with an incidence reported in the literature of 0.1 to 4.6%.1-6 Eighty percent correspond to the proximal jejunum, 15% to the ileum (of which 75% to the proximal jejunum, 20% to the distal jejunum, and 5% to the ileon)7,8 and 5% to both.9-11 They are herniations of the intestinal wall and can be true or false depending on the presence or absence of all intestinal layers. They are more prevalent in men and elderly patients. The presentation is usually asymptomatic, but they may sometimes present with nonspecific gastrointestinal symptoms. In a smaller percentage, they may present complications such as bleeding, obstruction, and perforation, with a mortality of up to 40%.5,8 Pre-surgical diagnosis continues to be challenging due to the difficulty in identifying them in imaging studies or the inaccessibility of the most sensitive ones. Therefore, in the clinical presentation of acute abdomen and the absence of a confirmatory diagnostic test, it is necessary to resort to diagnostic laparoscopy or exploratory laparotomy based on the available resources and the surgeon's experience.

We present the case of a 101-year-old female patient who presented to the emergency department with acute abdominal symptoms caused by perforation of a jejunal diverticulum.



CLINICAL CASE

It was a 101-year-old female patient with a personal history of acute myocardial infarction, open appendectomy, and cholecystectomy, as well as wall plasty. She denied previous gastrointestinal symptoms.

Her current condition began four days before her evaluation, with colicky pain in the mesogastrium of moderate intensity, progressively increasing until it became generalized, accompanied by nausea. She self-medicated with diclofenac and acetylsalicylic acid, without specifying the dosage, without improvement of symptoms, adding headache and bowel movements of decreased consistency on three occasions, without mucus or blood. Physical examination revealed intense generalized pain, chills, asthenia, and adynamia. She presented arterial hypotension and tachycardia. The abdomen with abdominal distension, peristalsis decreased in frequency and intensity, muscle rigidity, pain on palpation, and Blumberg's sign present.

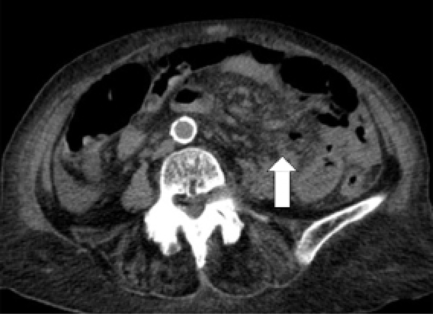
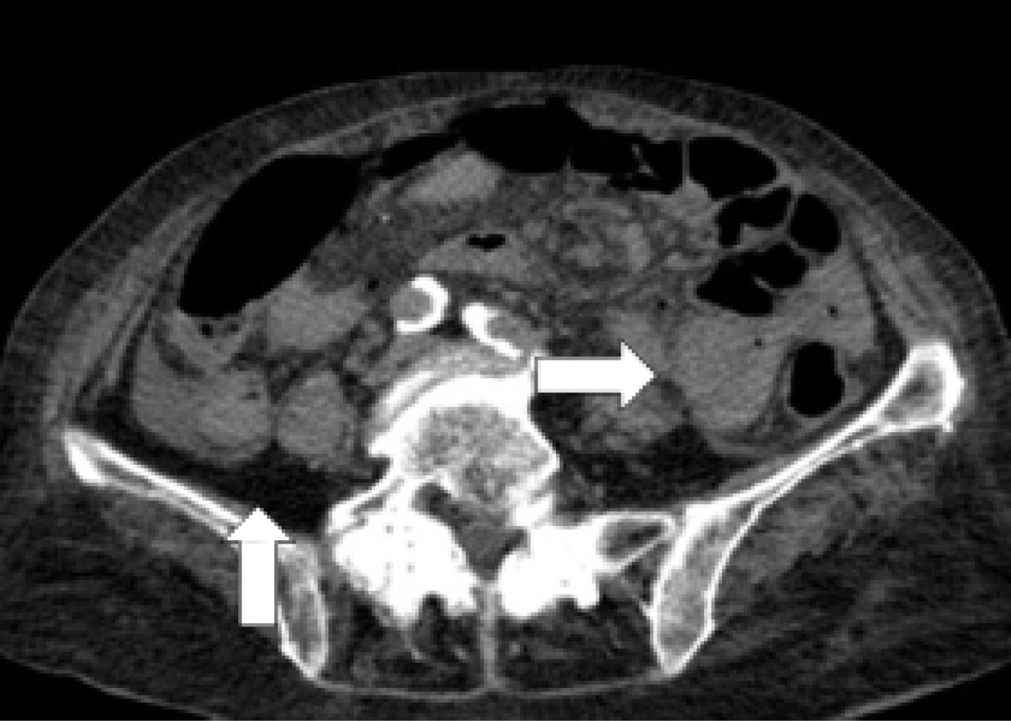
Laboratory studies reported leukopenia (3.07 × 109 l), neutrophilia (84%), hyperprocalcitoninemia (2.29 ng/ml), metabolic acidosis (pH 7.31, pCO2 27.9 mmHg, HCO3 15.8 mmHg) and hyperlactatemia (5.90 mmol/l). The rest of the laboratory tests were within normal ranges. A simple tomography of the abdomen showed pneumobilia, pneumoperitoneum, and a transition zone associated with the "whirlpool sign" in jejunum topography in a closed loop (Figure 1); and free fluid in the right parietocolic gutter (Figure 2).

Exploratory laparotomy was performed, where 1,000 ml of free intestinal fluid in the cavity, intestinal loops with fibrin plaques, perforation of 1 cm in a jejunal diverticulum of approximately 6 × 4 cm, 50 cm from the angle of Treitz, with multiple diverticula in about 80 cm of the jejunum perforation were seen. Initially, primary closure was performed, and then intestinal resection of approximately 90 cm, with jejunum-jejunum end-terminal anastomosis in two planes.

She initially received postoperative management in the Intermediate Care Unit with parenteral nutrition. She started a progressive diet on the third postoperative day until she reached her daily requirements. She was discharged home on the seventh day due to improvement and was followed up in the outpatient clinic showing an adequate evolution.

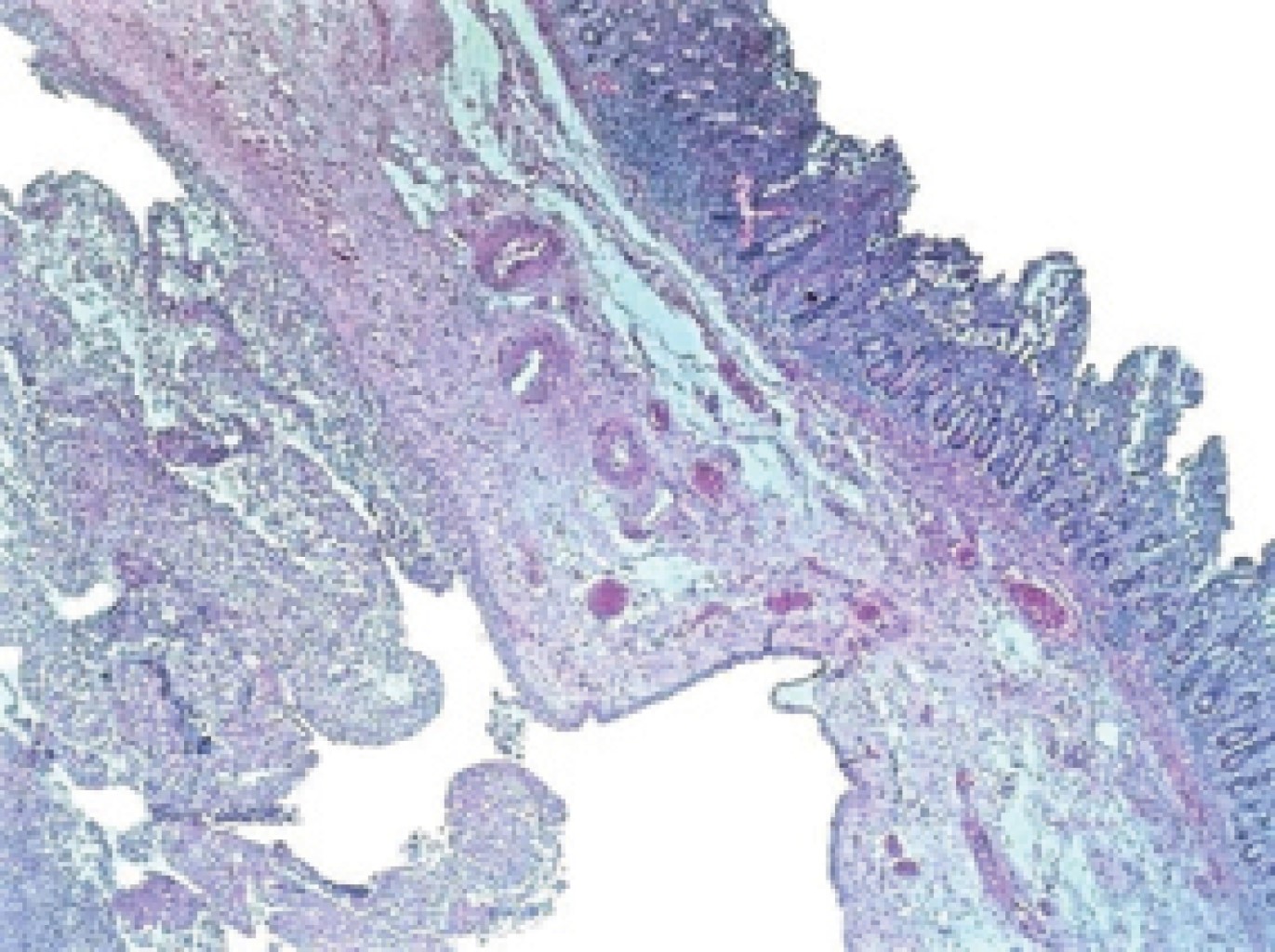
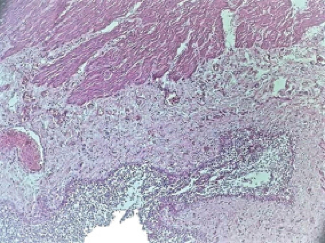
The histopathological report corroborated the clinical diagnosis, showing a thin wall with congestion and perforated diverticular disease leading to acute peritonitis (Figures 3, 4, 5, 6 and 7).



LITERATURE REVIEW

An intestinal diverticulum is a saccular protrusion of the intestinal wall that is usually acquired at the sites of greatest weakness (where blood vessels penetrate). If it involves only the mucosal and submucosal layers, without a muscular layer, a pseudodiverticulum is considered.6,8,11-13 This formation at sites of weakness explains its location at the mesenteric border.1,2,14 In the small intestine, they are most frequently observed in the duodenum (80%), occurring in up to 10-20% of people,15 followed by the jejunum and ileum (20%),12 occur in 1% of the population,15 where they are usually multiple, with jejunal location and close to the angle of Treitz.14 In contrast, those of ileal location are usually single and smaller.9,11 This is explained by the larger diameter of the blood vessels in the proximal jejunum.1,11,16

Diverticula usually accompany them in other sites in up to 90%,5,16 as in the colon (30-75%), duodenum (15-42%), bladder (012%), and esophagus (2%),10,11,14 so they should be intentionally looked for when observing them in the transoperative phase.

It has a male predominance of 1.5:1 and is most frequently observed between the sixth and seventh decades of life.3,6,8-11,13,14

The etiopathogenesis is not yet well defined, but the cause is suspected to originate from intestinal dyskinesia.11,16 Disorders of the myenteric plexus can result in uncoordinated smooth muscle activity, producing high pressure in localized areas of the small bowel,1-3,7,8,11,12,17 being considered pulsatile diverticula. This causes two situations predisposing to inflammation: stasis of intestinal contents within the diverticulum and neck obstruction secondary to mucosal edema, which favor intradiverticular microbial growth.6

They can be associated with smooth muscle or myenteric plexus diseases that interfere with normal peristalses, such as progressive systemic sclerosis, visceral neuropathies, or myopathies.10,11,14,18 Some authors have described a familial relationship based on genetic predisposition.2

It has also been speculated that a vegetarian diet rich in fiber decreases the risk of diverticular disease by decreasing water reabsorption, resulting in soft stools and, thus, a lower intraluminal pressure.3

Some reports suggest an association with cocaine and steroidal and nonsteroidal anti-inflammatory drugs.8,18

Patients are usually asymptomatic.1,13,14 About 15-40% may present with chronic nonspecific gastrointestinal symptoms, such as diarrhea and abdominal pain (42%),3 constipation, dyspepsia, occasional nausea and vomiting, bloating, malabsorption, weight loss, and anemia, among others,1,11,13,14,17,19 which may be associated with pseudo-obstruction or bacterial overgrowth,2,8 secondary to alterations in intestinal motility.14



COMPLICATIONS

Complications may occur in 10-40% of patients,1,2,8,14 with diverticulitis being the most frequent (2-6%),6 followed by hemorrhage (5-33%) and intestinal obstruction (2.3-4.6%).2,3 Perforation may occur in 2-7%.2,10 Other complications described are volvulus,15 obstruction, hepatic abscesses, spontaneous pneumoperitoneum, steatorrhea, or megaloblastic anemia.14 Abscesses can be found in the root of the mesentery, secondary to perforation of the diverticula located in this area.14

The clinical presentation of perforation may be localized or generalized peritonitis.1 The causes of perforation have been associated with necrotizing inflammatory reaction (82%), foreign body impaction (6%), and blunt abdominal trauma (12%).1,6,7,14

Perforation mortality is up to 40%.1-3 Some poor prognostic factors are advanced age, comorbidities, peritonitis, delayed diagnosis, and therapeutic management.2 The clinical presentation usually is localized abdominal pain (39% in the left flank), abdominal rigidity, fever, leukocytosis, and elevated C-reactive protein.2

Intestinal obstruction is the least frequent complication (2.3-4.6%) and is related to other mechanisms, such as extrinsic compression by a pseudotumor secondary to diverticulitis; volvulus due to adhesions following repeated episodes of oligo symptomatic diverticulitis and fibrous stenosis of the bowel following one or more attacks of diverticulitis.6 One report describes the association with a giant fecalith.20 Conservative treatment has not proven useful, so management is surgical with bowel resection and resection of the involved adhesion in case of stenosis, necrosis, or perforation.6

Diverticular hemorrhage (2-8.1%) can be caused by diverticulitis, a diverticular ulcer, enterolith, or intake of NSAIDs.6,21,22 Treatment is usually surgical, but there are reports describing conservative management with successful results.22,23 In the last decade, endoscopic treatment has gained relevance, with increasingly better results; it is performed using enteroscopy with a balloon, double balloon, or a spiral, with new techniques still under study.24 Cases of successful treatment of active bleeding of a diverticulum have been reported,25 while in others, its usefulness is as a preoperative diagnosis.26

Other less frequent complications have been described, such as hepatic resection secondary to adhesion of the diverticulum to the hepatic border and the presence of ectopic pancreatic tissue inside the diverticulum.27,28

Pre-surgical diagnosis has been established in only 20% of patients due to the mesenteric location of the diverticula.8 The most helpful study is computerized tomography,1-5,14,23 which can detect complications such as pneumoperitoneum and active bleeding.2 Diverticula can be seen as protrusions of the small bowel containing air or fluid, the air surrounding the mesentery, inflammatory masses, and a hyperdense image of the mesentery.1,3 The size varies from millimeters to more than 5 cm, depending on the location, as they can be smaller in the ileum.2 In the case of uncomplicated diverticulitis, thickening of the diverticular wall and striation of the mesenteric fat can be observed. There may be an association with the thickening of the intestinal wall.2

The characteristics of a perforated diverticulum are most frequently the presence of fluid and gas; sometimes, perforation can be observed.2,5 In severe cases, these findings may not be visible; however, the presence of inflammatory reaction at the mesenteric border and the presence of other jejunoileal diverticula suggest the diagnosis.2,5

In the case of hemorrhage, the indicated study is contrast tomography, where contrast extravasation can be observed in the arterial or portal phase of a diverticulum, obtaining its exact distance from the Treitz angle, which can be helpful for the surgeon.2 In cases of minimal bleeding and hemodynamically stable patients, conservative management can be performed with a double-balloon, single balloon, and spiral endoscopy. Ultraselective embolization is possible in hemodynamically unstable patients in whom surgery cannot be performed.2

Some false complications can also be observed, such as free gas in the cavity, associated with the typical passage of air through a semi-permeable membrane such as the intestinal wall, without data of acute abdomen;2,6 and absence of contrast enhancement of the diverticular wall, since it is virtual, which can simulate ischemia.2

Other valuable studies are plain radiography, which can show pneumoperitoneum and hydro-aerial levels in the diverticula, barium transit, capsule endoscopy, scintigraphy, arteriography,14 enteroscopy, or enteroresonance.10,16 Multidetector computerized tomography (MDCT) with double contrast is the most sensitive study for the diagnosis of the disease and its complications, according to some reports, where a focal and asymmetric thickening of the intestinal wall or an inflammatory process or abscess adjacent to a jejunal loop with edema of the surrounding mesenteric fat can be observed.3,6,13 However, its inaccessibility limits its usefulness.

Enteroclysis or enteroresonance shows contrast-retaining sacculations, and its diagnostic utility has been described as the modality of choice for small diverticula.10,11,26 However, its use is limited to cases where it is impossible to establish the diagnosis with the methods of choice.6

Only symptomatic cases should be treated, including intestinal motility regulators, and, in the case of diverticulitis, antibiotics may be used.14 Some authors suggest preventive surgical management.6 Emergency surgical treatment is performed in 8-30% of patients with complicated jejunal diverticulosis.6 It is indicated in case of failure or impossibility of percutaneous drainage and generalized peritonitis.6 It includes intestinal resection of the affected segment and primary end-to-end anastomosis and radio-guided percutaneous drainage in case of localized collections.1,2,5-8,10,12-14,17,19,29 This resection is also mandatory in patients with a large diverticulum and dilated and hypertrophic bowel loops due to complications.6 Stoma resection can also be considered in patients with hemodynamic instability or high risk.6

In case of extensive diverticulosis, resection should be limited to the segment with the perforated diverticulum to avoid short bowel syndrome.6,15,18 Invagination or local excision techniques are contraindicated due to these methods' high morbidity and mortality rates.1,4,6-8

The approach continues to be exploratory laparotomy. Some cases report the usefulness of the laparoscopic approach; however, its use is not established due to the lack of experience because of the low frequency of this pathology.30,31

The mortality rate of surgical treatment is 0-5%. Some poor prognostic factors are advanced age, associated comorbidities, peritonitis, delay in diagnosis (40%), and the time between perforation and surgery.6



CONCLUSION

Intestinal diverticula are infrequent, and most cases are asymptomatic; however, those patients who develop symptoms may present with nonspecific symptoms. Those with suspected complications should be evaluated comprehensively. In the clinical case described, the patient was admitted to the emergency department hemodynamically stable, with data of systemic inflammatory response and acute abdomen, fulfilling the most frequent age group of presentation. During the anamnesis, the patient denied previous gastrointestinal symptoms, debuting with perforation of the intestinal diverticulum. Surgical treatment was the approach of choice, associated with intestinal resection and not only diverticulectomy, since it has shown a worse prognosis, presenting favorable clinical evolution despite age.



ACKNOWLEDGMENTS

We thank the physicians assigned to the General Surgery Service of the Hospital Universitario de Puebla for the teaching provided for completing this work, especially the chief of the service and the head of the service, for their unconditional support.

Also, a special mention to the medical intern, María Antonia Jiménez-Durán, for providing us with the images used.


REFERENCES

  1. Alves MBA, Rodrigues GR, Marinho Dos SNJ, Neiva MC. A Case of Perforated jejunal diverticulum: an unexpected cause of pneumoperitoneum in a patient presenting with an acute abdomen. Am J Case Rep. 2018; 19: 549-552.

  2. Lebert P, Ernst O, Zins M. Acquired diverticular disease of the jejunum and ileum: imaging features and pitfalls. Abdom Radiol. 2019; 44: 1734-1743.

  3. Kumar D, Meenakshi. Complicated jejunal diverticulitis with unusual presentation. Radiol Case Rep. 2017; 13: 58-64.

  4. Luján D, Ruiz M, Peña E, Pastor P, Candel MF, Albarracín A. Candel, MF. Albarracín, A. Diverticulitis yeyunal perforadaUna causa infrecuente de abdomen agudo grave. Span J Surg Res. 2017; 20: 119-120.

  5. Lebert P, Millet I, Ernst O, Boulay-Coletta I, Corno L, Taourel P, et al. Acute jejunoileal diverticulitis: multicenter descriptive study of 33 patients. Am J Roentgenol. 2018; 210: 1245-1251.

  6. Harbi H, Kardoun N, Fendri S, Dammak N, Toumi N, Guirat A, et al. Jejunal diverticulitis. Review and treatment algorithm. Presse Med. 2017; 46: 1139-1143.

  7. Vásquez MA, Fuerte RS, León LR, Jover NJM. Abdomen Agudo secundario a perforación de divertículo yeyunal. Span J Surg Res. 2016; 19: 71-72.

  8. Sehgal R, Cheung CX, Hills T, Waris A, Healy D, Khan T. Perforated jejunal diverticulum: a rare case of acute abdomen. J Surg Tech Case Rep. 2016; 2016: 1-3.

  9. Gallego-Mariño A, Ramírez-Batista A, Amado-Martínez J. Divertículos de intestino delgado. Revista Electrónica Dr. Zoilo E. Marinello Vidaurreta [Internet]. 2016; 41 (4) Disponible en: http://revzoilomarinello.sld.cu/index.php/zmv/article/view/703

  10. López M, Aylhin J, Ramia M, De la Plaza LJ, Gonzales A, Johnny D, et al. Enfermedad diverticular yeyuno-ileal complicada tratada quirúrgicamente: serie de 12 casos y revisión de literatura. Rev gastroenterol Perú, 2017; 37: 240-245.

  11. Mohi RS, Moudgil A, Bhatia SK, Seth K, Kaur T. Complicated Jejunal Diverticulosis: Small Bowel Volvulus with Obstruction. Iran J Med Sci. 2016; 41: 548-551.

  12. Serrano-González J, Artés-Caselles M, Román-García de León L, et al. Manejo de la diverticulitis yeyunal. Experiencia en nuestro centro. Cir Cir. 2018; 86: 148-151.

  13. Dudric VN, Axente DD. Perforated jejunal diverticulum, a case report. HVM Bioflux, 2018; 10: 181-183.

  14. Calcerrada E, Mirón B, Triguero J, Lendínez I, Sarabia N, Torres AT. Perforación de divertículo yeyunal como causa de abdomen agudo. Rev Med Pan. 2016; 36: 34-37.

  15. Nigam A, Gao FF, Steves MA, Sugarbaker PH. Acute abdomen caused by a large solitary jejunal diverticulum that induced a midgut volvulus. Report of a case. Int J Surg Case Rep. 2020; 74: 109-112.

  16. Hernández R, Pontillo M, Rodríguez G. Divertículo yeyunal perforado: causa excepcional de abdomen agudo. Cir Urug. 2018; 2: 27-31.

  17. Koli D, Vats M, Vardhan-Upreti H. Perforated isolated jejunal diverticular: a rare cause of acute abdomen. Clin J Gastroenterol 2020. Available in: https://doi.org/10.1007/s12328-020-01148-x.

  18. Yeung E, Kumar V, Dewar Z, Behm R. Rare aetiology of abdominal pain: contained abscess secondary to perforated jejunal diverticulitis. BMJ Case Rep. 2020; 13: e235974.

  19. Jambulingam R, Nanayakkara G. Non-operatively managed case of contained jejunal diverticular perforation. BMJ Case Rep. 2019; 12: e228811.

  20. Sai SK, Chaithanya J, Hariprasad TR, Rajagopalan S. Large jejunal diverticular faecolith causing small bowel obstruction: a bizarre cause of an acute abdomen. Int Surg J. 2019; 6: 3863-3865.

  21. Shoji M, Yoshimitsu Y, Maeda T, Sakuma H, Nakai M, Ueda H. Perforated gastrointestinal stromal tumor (GIST) in a true jejunal diverticulum in adulthood: report of a case. Surg Today. 2014; 44: 2180-6218.

  22. Curcio G, Ligresti D, Ricotta C, Gruttadauria S, Traina M. Massive bleeding from a jejunal diverticulum reached and treated by underwater single-balloon enteroscopy. Gastrointest Endosc. 2016; 84: 1068-1069.

  23. De La Ossa J, Kachedrian T, Panicker L, Sobrado J, Mohan K. A Case of Jejunal Diverticulum. A Case of Jejunal Diverticulum Causing Life-Threatening Hemorrhage, The American Journal of Gastroenterology. 2019; 114: S1106-S1108.

  24. Schneider M, Höllerich J, Beyna T. Device-assisted enteroscopy: A review of available techniques and upcoming new technologies. World J Gastroenterol. 2019; 25: 3538-3545.

  25. Yang C, Chen Y, Yen H, Soon M. Successful Double Balloon Enteroscopy Treatment for Bleeding Jejunal Diverticulum: A Case Report and Review of the Literature. Journal of Laparoendoscopic & Advanced Surgical Techniques. 2009; 19: 637-640.

  26. Irigoin R. Hemorragia digestiva baja grave por diverticulosis yeyunal. Diagnóstico preoperatorio por enteroscopia. Cir Esp. 2006; 80: 53-56.

  27. Pushpa, Desai, Chirag, Kulhari, Mukesh. Giant Jejunal Diverticulum Required Liver Wedge Resection: a Rare Case Report. Indian J Surg. 2021; 83: 1023.

  28. Shiratori H, Nishikawa T, Shintani Y, Murono K, Sasaki K, Yasuda K, et al. Perforation of jejunal diverticulum with ectopic pancreas. Clin J Gastroenterol. 2017; 10: 137-141.

  29. Horesh N, Klang E, Gravetz A, Nevo Y, Amiel I, Amitai MM, Rosin D, Gutman M, Zmora O. Jejunal Diverticulitis. J Laparoendosc Adv Surg Tech A. 2016; 26: 596-599.

  30. Rankothkumbura JP, Bogammana GMK. Perforated non Meckelian jejunal diverticulum: a rare cause of acute abdomen. Int J Surg Case Rep. 2018; 36: 38-39.

  31. Buils VFJ, Sánchez CanoCJJ, Calvet JD, Rosa PB, Elisabet HF, Elia BB, et al. Laparoscopic Treatment of a Patient with Perforated Jejunal Diverticulitis. J Med Res Surg. 2020, 1: 1-4.



AFFILIATIONS

1 Second-year resident physician of General Surgery. University Hospital of Puebla.

2 Physician assigned to the General Surgery Service. University Hospital of Puebla.



Ethical considerations: there were no financial relationships and activities associated with this work.

Funding: no financial support was received for the preparation of this work.

Disclosure: none of the authors have a conflict of interest in the conduct of this study.



CORRESPONDENCE

Guadalupe Kristal Peña-Portillo, MD. E-mail: gkpp16@gmail.com




Received: 07/28/2021. Accepted: 02/28/2022

Figure 1
Figure 2
Figure 3
Figure 4
Figure 5
Figure 6
Figure 7

2020     |     www.medigraphic.com

Mi perfil

C?MO CITAR (Vancouver)

Cir Gen. 2021;43