medigraphic.com
SPANISH

Cirujano General

ISSN 2594-1518 (Electronic)
ISSN 1405-0099 (Print)
  • Contents
  • View Archive
  • Information
    • General Information        
    • Directory
  • Publish
    • Instructions for authors        
    • Send manuscript
  • medigraphic.com
    • Home
    • Journals index            
    • Register / Login
  • Mi perfil

2021, Number 2

<< Back Next >>

Cir Gen 2021; 43 (2)

Epiphrenic esophageal diverticula

Ballesteros-Barrera, Irving Federico1; Barrera-Zavala, Alfredo1; Durán-Briones, Gerardo1; Carmona-Rodríguez, Alenka1
Full text How to cite this article 10.35366/106725

DOI

DOI: 10.35366/106725
URL: https://dx.doi.org/10.35366/106725

Language: English/Spanish [Versi?n en espa?ol]
References: 16
Page: 132-136
PDF size: 317.27 Kb.


Key words:

Esophagus diverticulum, epifhrenic diverticulum, miotomy.

ABSTRACT

The esophageal diverticulums have an incidence from 0.06 to 4%, the epiphrenic diverticulum represents the 15% of all esophageal diverticulums. The majority of patients stay asymptomatic, nevertheless, is very important to notice that it can became into a complication such as tracheal fistulas, hemorrhages, vocal chord paralysis, strange body retention and increase in cancer risk. There are some treatments but surgical management is the most used, with a success rate from 74 to 100%. The following is the case of a management of a patient who is diagnosed with an epiphrenic diverticulum.



INTRODUCTION

Esophageal diverticula are rare, have an incidence of 0.06 to 4%, and can present as pharyngoesophageal or mid and distal esophageal diverticula, the latter also called epiphrenic, representing 15% of all diverticula.1

Epiphrenic diverticulum is a pulsation diverticulum in which there is a herniation of the mucosal and submucosal layers through the muscular layers. It is located 10 cm from the esophagogastric junction. Most patients are asymptomatic. However, its importance lies in severe complications such as fistulas to the trachea, hemorrhages, vocal cord paralysis, foreign body retention, and increased risk of cancer (0.3 to 7%, 1.8%, and 0.6%, respectively) may occur.1,2

The pathophysiology is associated with an esophageal motility disorder in 75 to 100%; the most common are achalasia and diffuse esophageal spasm; the usual symptoms are dysphagia, regurgitation, reflux, heartburn, and pulmonary symptoms; these symptoms are more associated with the motor disorder rather than the presence of the diverticulum.3

Epiphrenic diverticula occur mainly in the right posterolateral aspect of the esophagus; they usually measure from 1 to 14 cm (mean 7.4 cm); for their diagnosis, it is necessary to perform a barium esophagogram, endoscopy, esophageal manometry and, in some cases, computerized tomography scan.4

There are different management methods; the most used is surgical, with a success rate of 74 to 100%, with a morbidity of 15%, having as the most feared complication esophageal leakage with mediastinitis, which presents with a mortality of 3%. Due to this, new endoscopic treatments have emerged, such as peroral endoscopic myotomy and POEM, where diverticular septotomy and cardiomyotomy are performed, with good results.5-7

Because this pathology is very rare, there is no consensus on the standardized approach and management. The most common approach is left thoracotomy, with diverticulectomy, esophago-cardiomyotomy, and partial fundoplication, followed by the abdominal approach by laparoscopy and, finally, the mixed approach with laparoscopic and thoracoscopic approaches.8

Following is the case of a 66-year-old female patient diagnosed with epiphrenic diverticulum.



CLINICAL CASE

A 66-year-old female patient with no significant personal history manifests pain in the epigastrium, burning type, with retrosternal irradiation, regurgitations, and heartburn, symptoms that improve with the use of proton pump inhibitor and sucralfate; this treatment has been taken chronically, with events of remissions and exacerbations, so a study protocol is initiated on suspicion of gastroesophageal reflux. Endoscopy was requested, which reported probable esophageal dysmotility type A of achalasia and mild antral gastritis (Figure 1). With this result, an imaging contrast study and manometry were requested.

The esophago-gastroduodenal series reported the esophagogastric junction of infra diaphragmatic location, being observed filiform, with a length of 9 mm, and barium passage with a caliber of 14 mm. In addition, a large right posterolateral epiphrenic diverticulum of 5.6 × 7.8 cm with a neck of 2.9 cm was observed (Figure 2).

Manometry reported normal upper esophageal sphincter tone and complete relaxation, adequate esophageal motility, type 1 esophagogastric junction, with lower esophageal sphincter, normal average basal pressure, and regular esophagogastric junction relaxation (Figure 3).

Once the protocol was completed, it was decided to perform surgery using a laparoscopic and transabdominal approach, placing two 10 mm ports, two 5 mm ports, and the hepatic separator, as traditionally used for fundoplication. We started dissecting the pars flaccid and, subsequently, short vessels were dissected, a retro esophageal window was created, and a 1/4-inch Penrose was placed for traction to perform an adequate dissection of the diaphragmatic pillars and the esophagus. Once dissected, we found a right posterolateral diverticulum 3 cm from the gastroesophageal junction, which measured 3 × 3 cm, the adhesions to it were dissected, and the vagus nerve was separated. A cut was made with a linear stapler and EGIA purple cartridge, and the diaphragmatic pillars were closed with an X stitch with a 2/0 prolene suture. A laparoscopic fundoplication Nissen type was performed, placing calibration probe number 40 French, with a size of 5 cm and fixed with three simple stitches of 2/0 prolene suture. The procedure was finished (Figure 4).

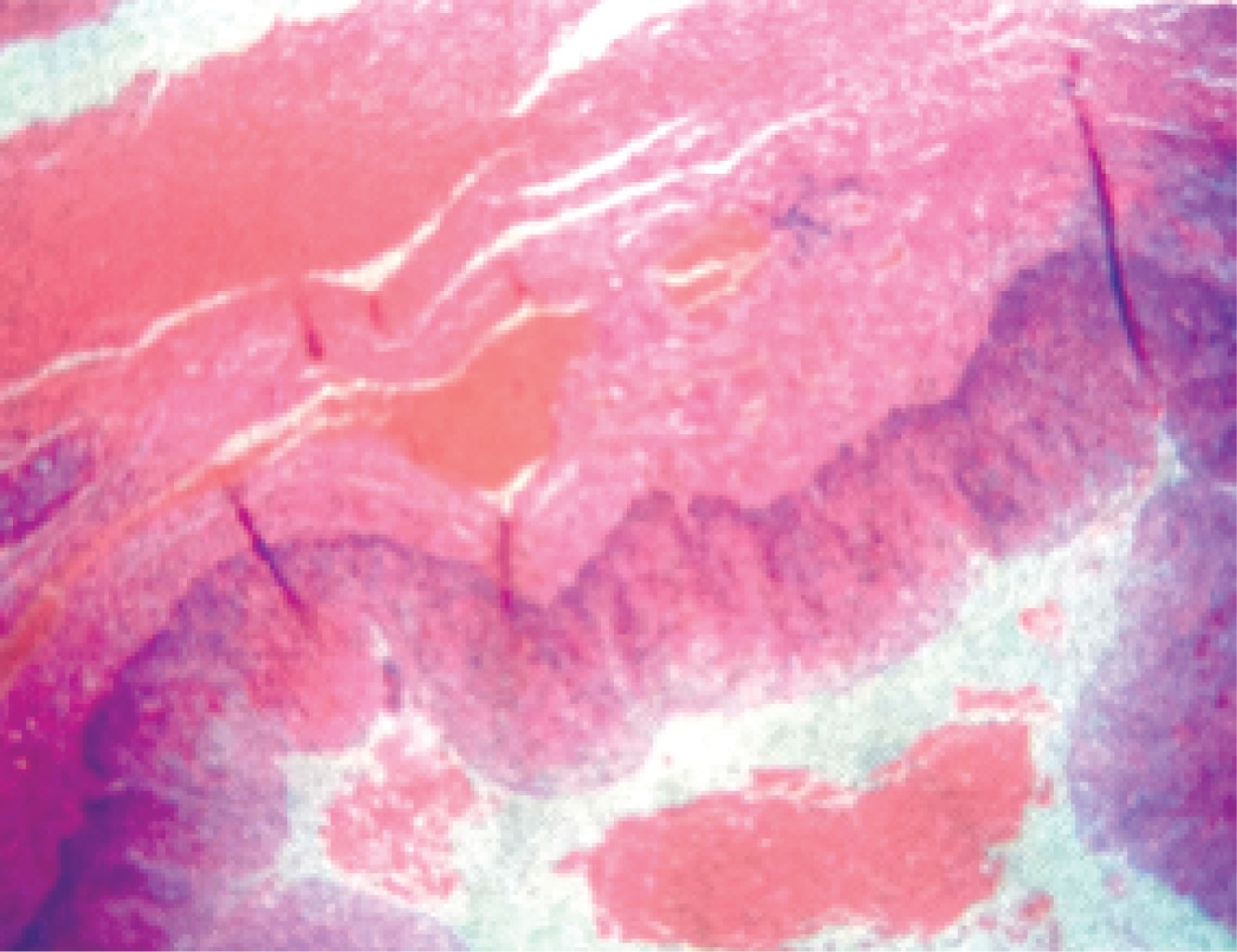
The patient had a good evolution, starting the oral route at 48 hours postoperatively and being discharged at 72 hours; the postoperative diet was managed progressively from liquids to baby food, then soft and finely chopped, to finally continue with a complete diet. Pathology reported the piece as a true diverticulum (Figure 5). In the outpatient follow-up, the patient had an adequate evolution, tolerated the diet, and did not present symptoms of gastroesophageal reflux.



DISCUSSION

Epiphrenic esophageal diverticulum is rare, with a prevalence of 0.0015 to 2%; because of this, there is little literature about it; it is considered to be caused by some esophageal pathology of pulsation; in 70-90% of the cases, it is accompanied by an esophageal motility disorder; the most common are achalasia and diffuse esophageal spasm.9 In the clinical case we present, the patient came for evaluation due to gastroesophageal reflux disease, so we initially requested an endoscopy where we found data of esophageal disease of pulsation type, thus initiating the protocol that led us to the need to request a manometry and esophagogastric series.

Currently, the laparoscopic approach is considered the procedure of choice; the diagnostic approach should include: endoscopy, manometry, and imaging contrast study; this will determine the location, distance of the hiatus, and size; a biopsy should be taken during endoscopy to rule out the presence of malignancy.10 In the case we present, the studies above were performed, finding a subphrenic diverticulum of the right posterolateral location near the hiatus without motor alterations. We decided to use the transabdominal approach.

There must be a consensus on the adequate surgical treatment for this pathology, thoracic and abdominal approaches, with or without myotomy, and which type of anti-reflux surgery should be performed. These procedures present morbidity from 8.7 to 25%, leaks from 0 to 18.2%, and mortality from 0 to 11.1%.11,12 In this case, due to the more excellent experience of the group in the abdominal approach, the laparoscopic approach was chosen for the treatment; since no motility disorder was found in the manometry, it was decided not to perform myotomy and to perform a Nissen type fundoplication, since this is the procedure of choice in anti-reflux surgery.

In a study of a series of case reports by Brandeis, we can observe that in all his patients, an approach very similar to ours was performed; in this study, they reported a total of 27 patients, who underwent surgery in a period of 12 years, they found dysphagia (52%) and regurgitation (30%) as the primary symptom, 15 patients (56%) had hiatal hernia, and 26 (92%) had some alteration in esophageal motility. The average distance of the diverticulum was 4 cm from the gastroesophageal junction, the average diameter of the diverticulum was 3.3 cm, 81% of the patients were approached laparoscopically, only one was converted to open surgery due to adhesions, 26 underwent diverticulectomy, all underwent myotomy, and 25 underwent fundoplication; 21 patients (84%) underwent type Dor fundoplication.13

Surgical treatment consists of three elements: 1) myotomy, 2) diverticulectomy, and 3) fundoplication, and depending on the findings found in the studies, each of the steps is individualized. With this sequence, we seek to correct the motility disorder, remove the diverticulum, and avoid postoperative gastroesophageal reflux. Caution must be taken with the complications that may occur because some are usually serious such as esophageal leakage or rupture of the mucosa during surgery; we can find others, such as sepsis, pneumonia, and empyema; once identified, we must act quickly.14,15

There is still controversy about when to perform diverticulectomy and when it is not necessary performing only myotomy. Thus, interest has arisen in the use of peroral endoscopic myotomy (POEM), which has shown promising results, up to a 95% success rate; however, it still needs to be considered as a first-line procedure.16



CONCLUSION

Epiphrenic diverticula are rare pathologies with a good prognosis with adequate treatment. However, there are no guidelines, consensus, or meta-analysis for their management, so we conclude that a complete study protocol should be performed on every patient and thus individualize the treatment according to each patient's needs and the surgeon's experience with the approach.


REFERENCES

  1. Herbella FA, Patti MG. Modern pathophysiology and treatment of esophageal diverticula. Langenbecks Arch Surg. 2012; 397: 29-35.

  2. Herbella FA, Dubecz A, Patti MG. Esophageal diverticula and cancer. Dis Esophagus. 2012; 25: 153-158.

  3. Soares R, Herbella FA, Prachand VN, Ferguson MK, Patti MG. Epiphrenic diverticulum of the esophagus. From pathophysiology to treatment. J Gastrointest Surg. 2010; 14: 2009-2015.

  4. Santos MPD, Akerman D, Santos CPDD, Santos Filho PVD, Radtke MC, Beraldo FB, et al. Giant esophageal epiphrenic diverticulum: presentation and treatment. Einstein (Sao Paulo). 2017; 15: 486-488.

  5. Sakai P. Evolving flexible endoscopic treatment of Zenker's diverticulum. Gastrointest Endosc. 2019; 89: 887-888.

  6. Basile P, Gonzalez JM, Le Mouel JP, Irarrazaval R, Caillo L, Barthet M. Per-oral endoscopic myotomy with septotomy for the treatment of distal esophageal diverticula (D-POEM). Surg Endosc. 2020; 34: 2321-2325.

  7. Wagh MS, Draganov PV. How to approach a patient with a Zenker's diverticulum. Gastroenterology. 2021; 160: 10-14.

  8. Barbieri LA, Parise P, Cossu A, Puccetti F, Elmore U, Talavera Urquijo E, et al. Treatment of epiphrenic diverticulum: how I do it. J Laparoendosc Adv Surg Tech A. 2020; 30: 653-658.

  9. Andrási L, Paszt A, Simonka Z, Ábrahám S, Rosztóczy A, Lázár G. Laparoscopic surgery for epiphrenic esophageal diverticulum. JSLS. 2018; 22: e2017.00093.

  10. Soo WT, Ling JSW, Chuah JS, Siow SL. Epiphrenic oesophageal diverticulum managed via laparoscopic transhiatal approach. Med J Malaysia. 2019; 74: 243-245.

  11. Kim S, Cho JH. The abdominal approach for epiphrenic esophageal diverticulum as an alternative to the thoracic approach. Korean J Thorac Cardiovasc Surg. 2019; 52: 227-231.

  12. Ueda Y, Tsunoda S, Hisamori S, Hashimoto K, Nishigori T, Sakaguchi M, et al. Laparoscopic surgery for ventrally located epiphrenic diverticulum with esophageal achalasia. Clin J Gastroenterol. 2020; 13: 491-494.

  13. Brandeis AE, Singhal S, Lee TH, Mittal SK. Surgical management of epiphrenic diverticulum: A single-center experience and brief review of literature. Am J Surg. 2018; 216: 280-285.

  14. Andolfi C, Wiesel O, Fisichella PM. Surgical treatment of epiphrenic diverticulum: technique and controversies. J Laparoendosc Adv Surg Tech A. 2016; 26: 905-910.

  15. Westcott CJ, O'Connor S, Preiss JE, Patti MG, Farrell TM. Myotomy-first approach to epiphrenic esophageal diverticula. J Laparoendosc Adv Surg Tech A. 2019; 29: 726-729.

  16. Kamal F, Khan MA, Lee-Smith W, Sharma S, Marella HK, Iqbal U, et al. Peroral endoscopic myotomy is a safe and feasible option in management of esophageal diverticula: systematic review and meta-analysis. Dig Dis Sci. 2021; 66: 3242-3249.



AFFILIATIONS

1 Hospital Ángeles Clínica Londres. Mexico City, Mexico.



Ethical considerations and responsibility: Data privacy. According to the protocols established in our work center, we declare that we have followed the protocols on patient data privacy and preserved their anonymity.

Funding: No financial support was received for the preparation of this work.

Disclosure: None of the authors have a conflict of interest in the conduct of this study.



CORRESPONDENCE

Irving Federico Ballesteros-Barrera. E-mail: drballesterosb@hotmail.com




Received: 08/18/2021. Accepted: 02/03/2022

Figure 1
Figure 2
Figure 3
Figure 4
Figure 5

2020     |     www.medigraphic.com

Mi perfil

C?MO CITAR (Vancouver)

Cir Gen. 2021;43