medigraphic.com
SPANISH

Acta Ortopédica Mexicana

ISSN 2992-8036 (Electronic)
ISSN 2306-4102 (Print)
Órgano Oficial del Colegio Mexicano de Ortopedia y Traumatología
  • Contents
  • View Archive
  • Information
    • General Information        
    • Directory
  • Publish
    • Instructions for authors        
  • medigraphic.com
    • Home
    • Journals index            
    • Register / Login
  • Mi perfil

2022, Number 1

<< Back

Acta Ortop Mex 2022; 36 (1)

Treatment of severe spinal deformity with 3D printing models

Evia-Cabral R, Hermida-Ochoa E, Benavides-Rodríguez D, Cuevas-Andrade J, Uribe-Cortés T, Hermida-Ochoa J
Full text How to cite this article 10.35366/106761

DOI

DOI: 10.35366/106761
URL: https://dx.doi.org/10.35366/106761

Language: Spanish
References: 13
Page: 58-63
PDF size: 324.43 Kb.


Key words:

Scoliosis, surgery, 3D models, preoperative planning.

ABSTRACT

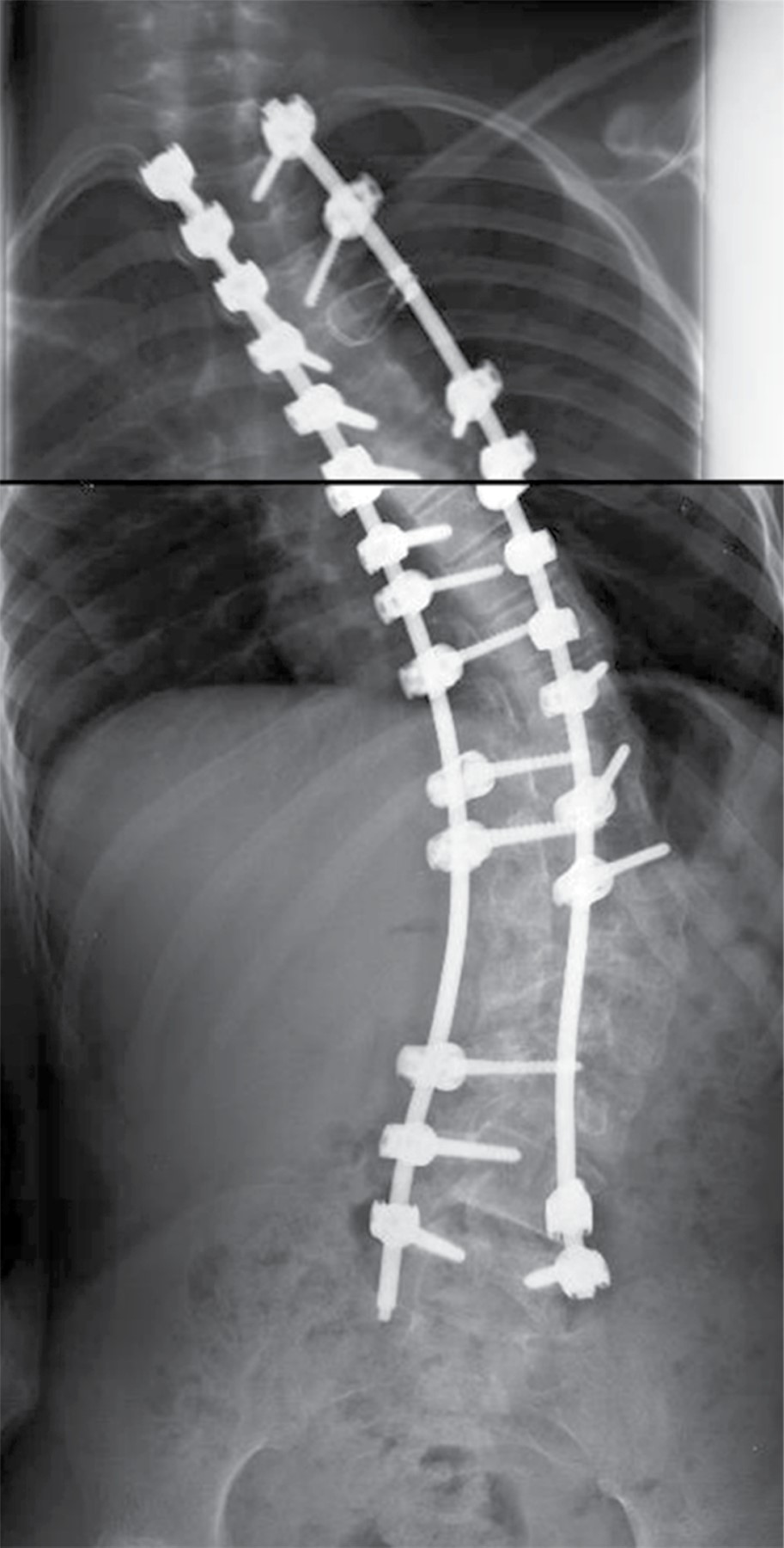
Introduction: Scoliosis is a complex deformity that affects all three planes of the axis of the spine. The association between neuromuscular pathology and vertebral alignment was initially described in 1960. Neuromuscular pathology is progressive and results in postural abnormalities. Surgical goals in patients with neuromuscular deformity include anatomical correction for sedation and ambulation, as well as functional improvement. The gold standard of treatment is by posterior approach with transpedicular screws. The "hands-free" technique saves surgical time, decreases radiation by reducing the use of fluoroscopy. The advent of 3D printing technology allows precise study of the anatomical area and detail of the deformity in its three planes. This model can be sterilized for transoperative guidance. A 13-year-old female patient who develops thoracolumbar neuromuscular scoliosis secondary to spastic cerebral palsy (CP), with previous instrumentation T11-L3 of which he develops severe proximal curve. After the segmentation of the three-dimensional model, pedicle violation greater than 2 mm towards bilateral medullary canal was detected in the pedicles of L1 and L2 of previous instrumentation, pedicle dysplasia and the morphological characteristics of the pedicles were observed. Three-dimensional planning and the use of surgical guides represent a tool for surgical planning, especially in severe cases and with pedicle dysplasia. It helps as a surgical guide for the placement of hands-free transpedicular screws with possible reduction of radiation and anesthetic time.


REFERENCES

  1. Davis CM, Grant CA, Pearcy MJ, Askin GN, Labrom RD, Izatt MT, et al. Is there asymmetry between the concave and convex pedicles in adolescent idiopathic scoliosis? A CT investigation. Clin Orthop Relat Res. 2017; 475(3): 884-93.

  2. Gao B, Gao W, Chen C, Wang Q, Lin S, Xu C, et al. What is the difference in morphologic features of the thoracic pedicle between patients with adolescent idiopathic scoliosis and healthy subjects? A CT-based case-control Study. Clin Orthop Relat Res. 2017; 475(11): 2765-74.

  3. Protopsaltis TS, Boniello AJ, Schwab FJ. Management of spinal deformity in adult patients with neuromuscular disease. J Am Acad Orthop Surg. 2016; 24(9): 634-44.

  4. Ferrero E, Skalli W, Lafage V, Maillot C, Carlier R, Feydy A, et al. Relationships between radiographic parameters and spinopelvic muscles in adult spinal deformity patients. Eur Spine J. 2020; 29: 1328-39.

  5. Mary P, Servais L, Vialle R. Neuromuscular diseases: diagnosis and management. Orthop Traumatol Surg Res [Internet]. 2018; 104(1): S89-95. Available in: http://dx.doi.org/10.1016/j.otsr.2017.04.019

  6. Lenke LG, Edwards CC 2nd, Bridwell KH. The Lenke classification of adolescent idiopathic scoliosis: how it organizes curve patterns as a template to perform selective fusions of the spine. Spine (Phila Pa 1976). 2003; 28(20): S199-207.

  7. Sun Z, Yang K, Chen H, Sui T, Yang L, Ge D, et al. A novel entry point for pedicle screw placement in the thoracic spine. J Biomed Res. 2017; 32(2): 123-9.

  8. Cerpa M, Tuchman A, Tan LA, Lenke LG, Lehman Jr RA, Yerneni K, et al. Utilization of the 3D-printed spine model for freehand pedicle screw placement in complex spinal deformity correction. J Spine Surg. 2018; 4(2): 319-27.

  9. Ege T, Bilgic S, Koca K, Oguz E, Kilic E, Kose O, et al. Fluoroscopy for transpedicular screw placement in scoliosis: to what extent can radiation exposure be reduced by the freehand technique? Turk Neurosurg. 2013; 23(3): 344-8.

  10. Kim YJ, Lenke LG, Cheh G, Riew KD. Evaluation of pedicle screw placement in the deformed spine using intraoperative plain radiographs: a comparison with computerized tomography. Spine (Phila Pa 1976). 2005; 30(18): 2084-8.

  11. Alpizar-Aguirre A, Cabrera-Aldana EE, Rosales-Olivares LM, Zárate-Kalfópulos B, Gómez-Crespo S, Reyes-Sánchez AA. A new technique of pedicle screw placement with the use of sequential multilevel navigation templates based on patient-specific 3D CT reconstruction model: applicability in spine deformity. Acta Ortop Mex. 2017; 31(6): 312-8.

  12. Garg B, Gupta M, Singh M, Kalyanasundaram D. Outcome and safety analysis of 3D-printed patient-specific pedicle screw jigs for complex spinal deformities: a comparative study. Spine J. 2019; 19(1): 56-64.

  13. Diebo B, Liu S, Lafage V, Schwab F. Osteotomies in the treatment of spinal deformities: indications, classification, and surgical planning. Eur J Orthop Surg Traumatol. 2014; 24 Suppl 1: S11-20.




Figure 1
Figure 2
Figure 3
Figure 4
Figure 5
Figure 6
Figure 7

2020     |     www.medigraphic.com

Mi perfil

C?MO CITAR (Vancouver)

Acta Ortop Mex. 2022 Ene-Feb;36