medigraphic.com
SPANISH

Revista Mexicana de Cirugía Torácica General

Sociedad Mexicana de Cirujanos Torácicos Genrales S.C.
  • Contents
  • View Archive
  • Information
    • General Information        
    • Directory
  • Publish
    • Instructions for authors        
    • Send manuscript
  • medigraphic.com
    • Home
    • Journals index            
    • Register / Login
  • Mi perfil

2021, Number 1

<< Back Next >>

Rev Mex Cir Torac Gen 2021; 2 (1)

Metachronous lung cancer in a patient with a history of kidney cancer requiring bronchial stent placement. Case report and literature review

Reyes-Velázquez EA, Arrieta-Rodríguez OG
Full text How to cite this article 10.35366/107190

DOI

DOI: 10.35366/107190
URL: https://dx.doi.org/10.35366/107190

Language: Spanish
References: 23
Page: 23-28
PDF size: 313.77 Kb.


Key words:

Lung cancer, kidney cancer, synchronous, metachronous.

ABSTRACT

The appearance of a multiple primary malignant neoplasms is more frequent in elderly patients, lung cancer is the leading cause of cancer death worldwide, the frequency of synchronous and metachronous lung cancers has increased in recent years due to advances in early detection techniques, multiple malignancies can be classified as synchronous or metachronous according to the time of onset in relation to the first malignancie, synchronous those that appear in the first six months and metachronous as those that appear after six months. We present the case of a 66-year-old male patient with a history of right radical nephrectomy for clear cell renal cancer, who goes to the emergency department seven years later for respiratory symptoms and hemoptysis. In his study protocol, he is diagnosed with a parahiliary right upper lobe endobronchial tumor of epidermoid lineage involving the right bronchus.


REFERENCES

  1. Ladrón de Guevara D, Quera R, Rozas S, Schacher S, Reyes JM, Pardo C et al. Cáncer sincrónico y metacrónico detectado con PET/CT en población oncológica. Rev Méd Chile. 2017; 145(11): 1421-1428.

  2. Loukeri AA, Kampolis CF, Ntokou A, Tsoukalas G, Syrigos K. Metachronous and synchronous primary lung cancers: diagnostic aspects, surgical treatment, and prognosis. Clin Lung Cancer. 2015; 16(1): 15-23.

  3. Sapalidis K, Schizas N, Lazopoulos A, Kamparoudi P, Paliouras D, Sardeli C et al. Multiple metachronous and synchronous malignancies with lung and thorax involvement. Report of two cases. Respir Med Case Rep. 2018; 24: 5-7.

  4. Global Burden of Disease Cancer Collaboration. Global, regional, and national cancer incidence, mortality, years of life lost, years lived with disability, and disability-adjusted life-years for 29 cancer groups, 1990 to 2017: a systematic analysis for the global burden of disease study. JAMA Oncol. 2019; 5(12): 1749-1768.

  5. Ferlay J, Steliarova-Foucher E, Lortet-Tieulent J, Rosso S, Coebergh JW, Comber H et al. Cancer incidence and mortality patterns in Europe: estimates for 40 countries in 2012. Eur J Cancer. 2013; 49(6): 1374-1403.

  6. Tahbaz R, Schmid M, Merseburger AS. Prevention of kidney cancer incidence and recurrence: lifestyle, medication and nutrition. Curr Opin Urol. 2018; 28(1): 62-79.

  7. Ferlay J, Soerjomataram I, Ervik M, Dikshit R, Eser S, Mathers C et al. GLOBOCAN 2012 v1.0, Cancer Incidence and Mortality Worldwide: IARC CancerBase No. 11 [Internet]. Lyon, France: International Agency for Research on Cancer; 2013.

  8. Liu Z, Liu C, Guo W, Li S, Bai O. Clinical analysis of 152 cases of multiple primary malignant tumors in 15,398 patients with malignant tumors. PLoS One. 2015; 10(5): e0125754.

  9. Billroth T. General surgical pathology and therapy. Guidance for students and physicians. Lecture. Khirurgiia (Mosk). 1991; (10): 136-143.

  10. Warren S. Multiple primary malignant tumors. A survey of the literature and a statistical study. Am J Cancer. 1932; 16: 1358-1414.

  11. Bazydlo M, Karakiewicz B, Kotwas A, Karakiewicz A, Glowacka M, Jurczak A et al. Ageing society–a review of strategies for action. Prog Health Sci. 2014; 4: 220-228.

  12. Vaamonde P, Martin C, del Rio M, LaBella T. Second primary malignancies in patients with cancer of the head and neck. Otolaryngol Head Neck Surg. 2003; 129: 65-70.

  13. Sant M, Capocaccia R, Coleman MP, Berrino F, Gatta G, Micheli A et al. Cancer survival increases in Europe, but international differences remain wide. Eur J Cancer. 2001; 37(13): 1659-1667.

  14. Romaszko A, ?wietlik E, Doboszy?ska A, Szpruch P, Luks J. Lung cancer and multiple neoplasms: a retrospective analysis. Adv Exp Med Biol. 2016; 911: 53-58.

  15. Swietlik EM, Doboszy?ska A, Kupis W, Szo?kowska M, Opoka L. Synchronous multiple primary lung cancers in a 65-year old heavy smoker. Case report. Pneumonol Alergol Pol. 2014; 82(6): 541-547.

  16. Saji H, Furukawa K, Tsutsui H, Tsuboi M, Ichinose S, Usuda J et al. Outcomes of airway stenting for advanced lung cancer with central airway obstruction. Interact Cardiovasc Thorac Surg. 2010; 11(4): 425-428.

  17. Dutau H, Di Palma F, Thibout Y, Febvre M, Cellerin L, Naudin F et al. Impact of silicone stent placement in symptomatic airway obstruction due to non-small cell lung cancer - a french multicenter randomized controlled study: the SPOC trial. Respiration. 2020; 99(4): 344-352.

  18. Simoff MJ, Lally B, Slade MG, Goldberg WG, Lee P, Michaud GC et al. Symptom management in patients with lung cancer: diagnosis and management of lung cancer, 3rd ed: American College of Chest Physicians evidence-based clinical practice guidelines. Chest. 2013; 143(5 Suppl): e455S-e497S.

  19. Hespanhol V, Magalhães A, Marques A. Neoplastic severe central airways obstruction, interventional bronchoscopy: a decision-making analysis. J Thorac Cardiovasc Surg. 2013; 145(4): 926-932.

  20. Ripping TM, Ten Haaf K, Verbeek ALM, van Ravesteyn NT, Broeders MJM. Quantifying overdiagnosis in cancer screening: a systematic review to evaluate the methodology. J Natl Cancer Inst. 2017; 109(10). doi: 10.1093/jnci/djx060.

  21. Ishimori T, Patel PV, Wahl RL. Detection of unexpected additional primary malignancies with PET/CT. J Nucl Med. 2005; 46(5): 752-757.

  22. Aydiner A, Karadeniz A, Uygun K, Tas S, Tas F, Disci R et al. Multiple primary neoplasms at a single institution: differences between synchronous and metachronous neoplasms. Am J Clin Oncol. 2000; 23(4): 364-70.

  23. Sisti A, Tassinari J, Nisi G, Grimaldi L, Sisti G, DI Tommaso M et al. Synchronous and metachronous malignancies after malignant struma ovarii in the seer database. In Vivo. 2016; 30(5): 713-716.




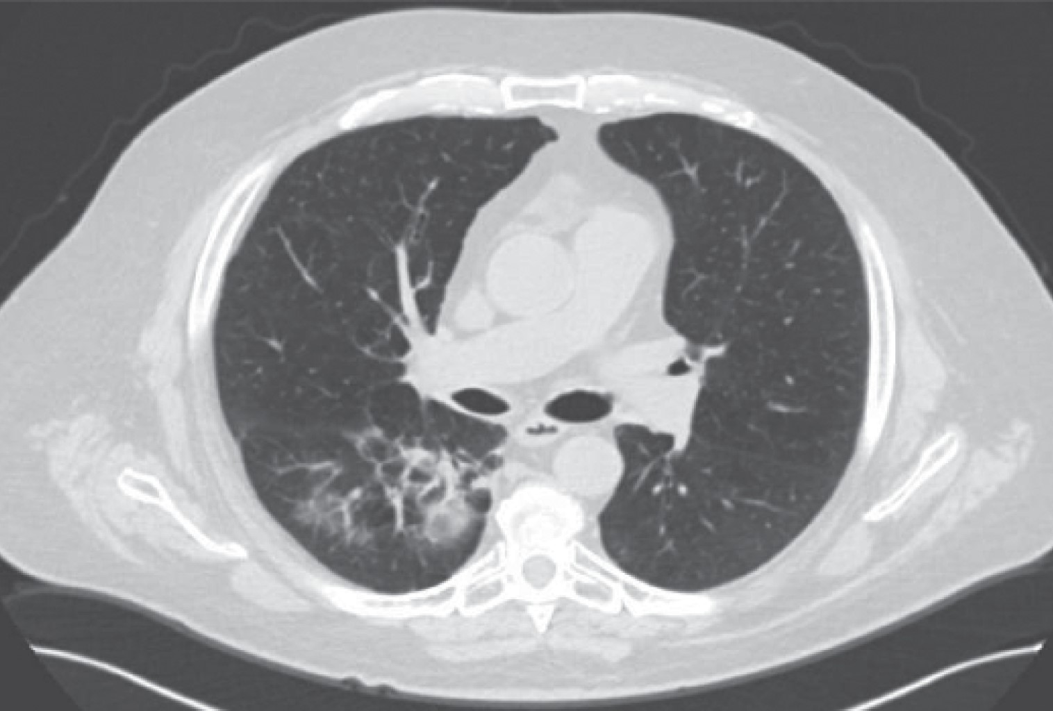
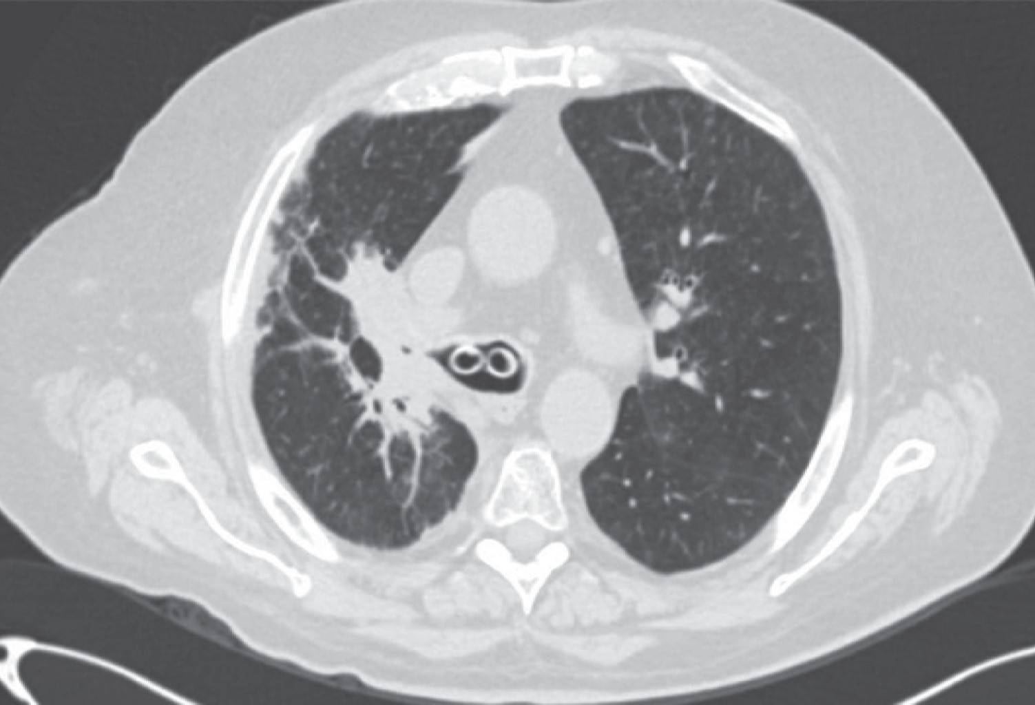
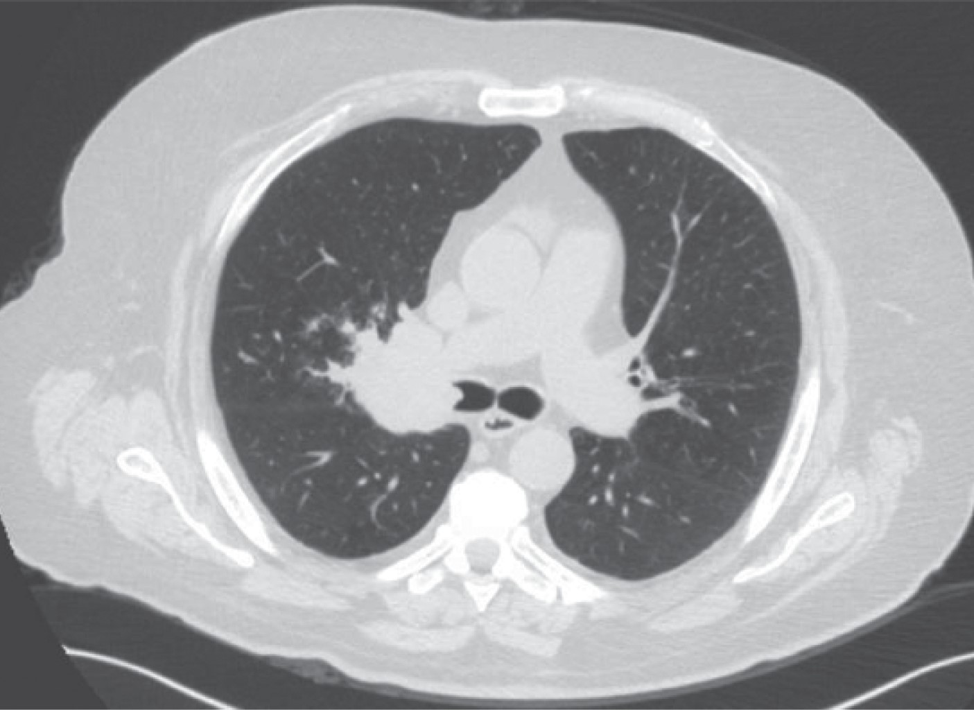
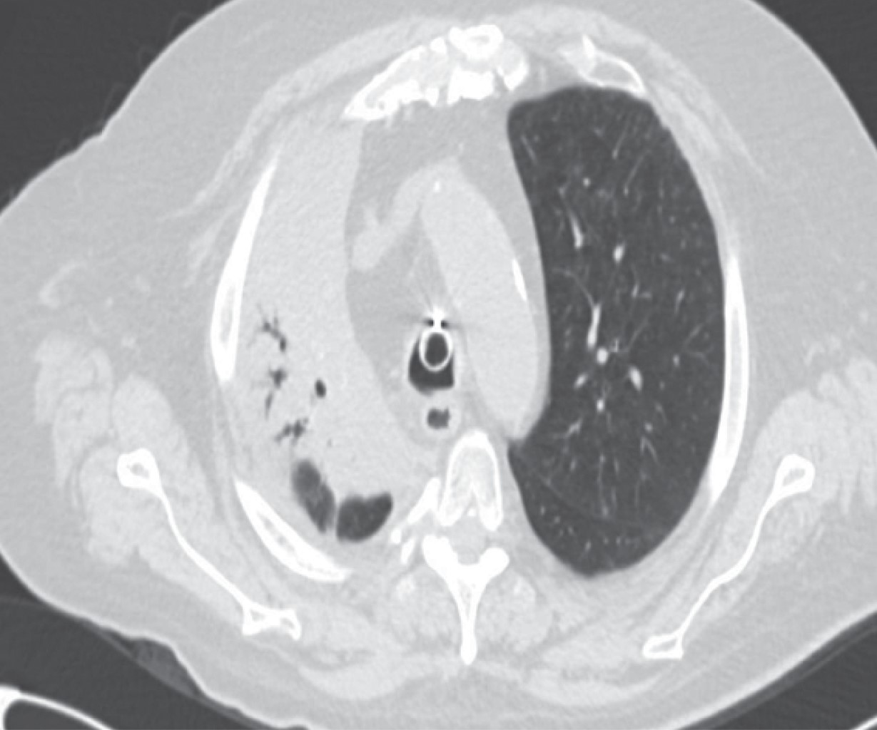
Figure 1
Figure 2
Figure 3
Figure 4
Figure 5
Figure 6

2020     |     www.medigraphic.com

Mi perfil

C?MO CITAR (Vancouver)

Rev Mex Cir Torac Gen. 2021;2