medigraphic.com
SPANISH

Latin American Journal of Oral and Maxillofacial Surgery

ISSN 2992-7757 (Electronic)
Órgano de difusión de la Asociación Latinoamericana de Cirugía y Traumatología Bucomaxilofacial (ALACIBU)
  • Contents
  • View Archive
  • Information
    • General Information        
    • Directory
  • Publish
    • Instructions for authors        
  • medigraphic.com
    • Home
    • Journals index            
    • Register / Login
  • Mi perfil

2022, Number 3

<< Back

Lat Am J Oral Maxillofac Surg 2022; 2 (3)

Mucormycosis associated with COVID-19 patients: a first report in Venezuela

Barazarte, Dionelys1; Golaszewski, Jose1; Moro, Leober2; Benaim, Daniel2; Royero León, Cristina3; Pérez, Ligia4
Full text How to cite this article 10.35366/108190

DOI

DOI: 10.35366/108190
URL: https://dx.doi.org/10.35366/108190

Language: English
References: 15
Page: 128-133
PDF size: 267.28 Kb.


Key words:

Diabetes mellitus, coronavirus, infection, immunosuppression, mucorales, amphotericin B.

ABSTRACT

There are increasing case reports of rhino-orbital mucormycosis in people with coronavirus disease 2019 (COVID-19), especially from India. Diabetes mellitus (DM) is an independent risk factor for both severe COVID-19 and mucormycosis. We describe the first report of mucormycosis in Venezuela. The patient was diagnosed with COVID-19 and treated according to the persisting protocols. A diagnosis of mucormycosis was established after magnetic resonance imaging (MRI) and computerized tomography (CT), and histopathology study. Initially, conservative management with intravenous (IV) amphotericin B was done and surgical debridement. The patient recovered with minimal residual deformity. Research needs to be carried out in COVID-19 patients for better prevention. Prophylactic treatment protocols need to be established, along with rational use of corticosteroids.



INTRODUCTION

During the current COVID-19 pandemic, a wide variety of manifestations and complications have emerged, evidencing a variable disease pattern from mild to life-threatening pneumonia with associated bacterial and fungal coinfections. The disease affects T helper cell responses, including cytokine release syndrome, which can open the door to co-infections.1,2

COVID-19 infection, its treatment (treatment with steroids, invasive ventilation or not, stay in the intensive care unit, monoclonal antibodies and broad-spectrum antibiotics), the resulting immunosuppression and pre-existing comorbidities (diabetes mellitus, obstructive pulmonary disease chronic, etc.) have made patients vulnerable and at risk of increasing the chances of serious opportunistic secondary infections or exacerbating a pre-existing one.

One of these opportunistic infections has been mucormycosis, also known as zygomycetes, first described by Paltauf in 1885.3 It is an opportunistic, invasive and potentially fatal fungal infection that affects immunosuppressed patients, caused by a series of fungi of the Mucorales family, widely distributed in the environment, where they grow rapidly and release large numbers of spores into the air, with which they come into contact in daily life.4

Absidia, Rhizopus, Rhizomucor, and Mucor are the most common pathogens of mucormycosis. In susceptible patients after acquisition from the environment, these fungi are characterized and tend to erode and invade small blood vessels, a feature that leads to thrombosis, ischemia, and necrosis of the surrounding tissues.5

Initially, most patients complain of symptoms typical of acute bacterial rhinosinusitis, but they deteriorate rapidly and do not respond to antimicrobial therapy,6 and other symptoms such as paresthesia, pain, periorbital edema, necrosis of the palate and septum nasal discharge, rhinorrhea, epistaxis, palpebral ptosis, proptosis, ophthalmoplegia, fever, cranial nerve involvement (III, IV, V, VI, VII) and when there are alterations in higher mental functions and alertness, its extension is assumed cerebral.

It is an important condition to consider since its rapid detection and treatment are the key elements for survival. If not diagnosed and treated early, mucormycosis sets in and rapidly leads to death.7 That is why early diagnosis, management of the underlying condition with aggressive surgical debridement, and local and systemic antifungal therapies can improve prognosis.

A case of the medical-surgical management of a type II diabetic patient diagnosed with mucormycosis which developed during the post COVID-19 period is reported.



CASE REPORT

This is a 64-year-old male patient, diagnosed with type II diabetes mellitus of 18 years of evolution, requiring insulin receiving treatment with insulin NPH 30 U (Lantus) and glimepiride (4 mg/day). History of smoking up to 25 years ago. Which presented in the month of March 2021 chills, progressive dyspnea, without fever or cough at the beginning and only one day brown expectoration; being diagnosed by an internist as COVID-19, for which he receives outpatient treatment with levofloxacin, enoxaparin sodium, colchicine, polyvitamins, infant aspirin, dexamethasone 4 mg every 8 hours for three days and additionally methylprednisolone every 8 hours for two days, after which makes a hyperglycemic state (500 mg/dL) without ketosis, which was controlled for 10 days. Patient who presents hypoxemia reaching levels of 88% mmHg that is why he receives humid oxygen with a nasal mustache for three days, then with a mask for four days, and nebulotherapy (with 0.9% solution and Budecort). Chest CT scan showed pneumonic foci with an inverted halo sign, signs of bibasal ground glass predominantly on the right side, and pulmonary fibrosis. The symptoms of COVID-19 subsided after 15 days, with negative antigenic test and serology for SARS-CoV-2 positive for IgG.

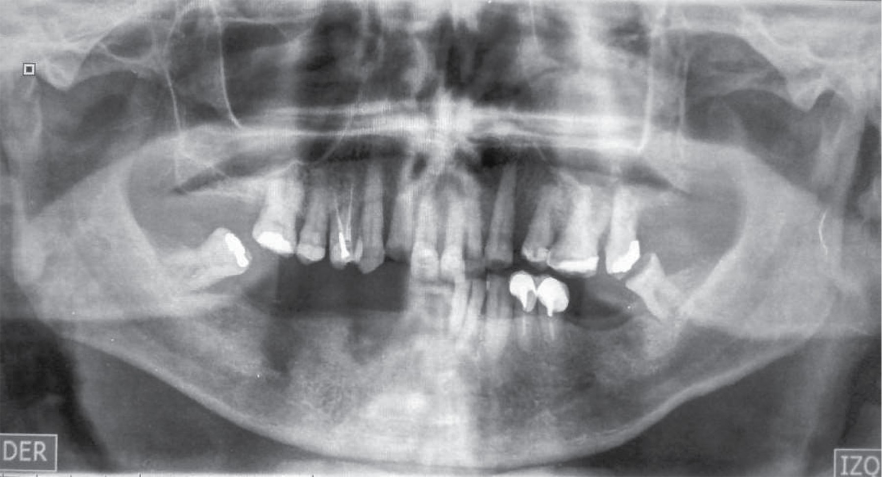
After a month and a half of presenting COVID-19 infection, he presented an increase in volume, an erythematous area, painful on palpation and the presence of abscesses in the fundus region of the left maxillary vestibule, for which he went to a dentist and drained the aforementioned abscesses. Indicates to perform orthopantomography (Figure 1) and start treatment with clindamycin and amoxicillin/clavulanic acid. He also goes to the otolaryngologist who indicates a diagnosis of sinusitis and trigeminal neuralgia for which he indicates pregabalin, B complex and carbamazepine.

Not showing improvement, he went to the Department of Oral and Maxillofacial Surgery "Dr. Atilio Perdomo"; "Dr. Ángel Larralde" Hospital, Carabobo, Venezuela. Evidence on clinical examination: partial bimaxillary edentulous patient, erythematous area in the bottom of the left maxillary vestibule, dental mobility in dental structures 25, 26 and 27 grade III, as well as mobile left maxillary alveolar ridge, also refers to paresthesias in the upper lip with accentuation of the pain and radiation to the ipsilateral eyeball. The radiographic examination revealed veiling of the left maxillary sinus with bone loss of the left maxillary vestibular table.

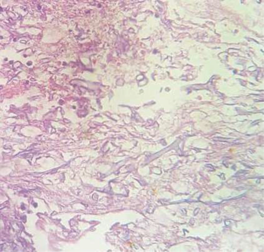
A odontectomy of second premolar, first molar and second molar was carried out or was performed; evidencing at the time of the same dental structure accompanied by bone segment of the maxillary alveolar ridge with change in bone color and texture. A histopathological study is indicated, which reported both soft tissue and bone tissue, extensive necrosis, severe mixed inflammatory infiltrate predominantly mononuclear, and the presence of large, abundant, prominent, non-septate and branched hyphae, reporting mucormycosis as a diagnosis (Figure 2). Subsequently, a mycological study was carried out by direct examination and culture at 28 oC, spreading the sample with KOH, Giemsa stain, India ink of the area of the lesion after the extraction, both of the left maxilla and the left nostril, resulting in Rhizopus arrhizus mucormycosis, an opportunistic fungus of the mucorales order, in the left maxillary sinus.

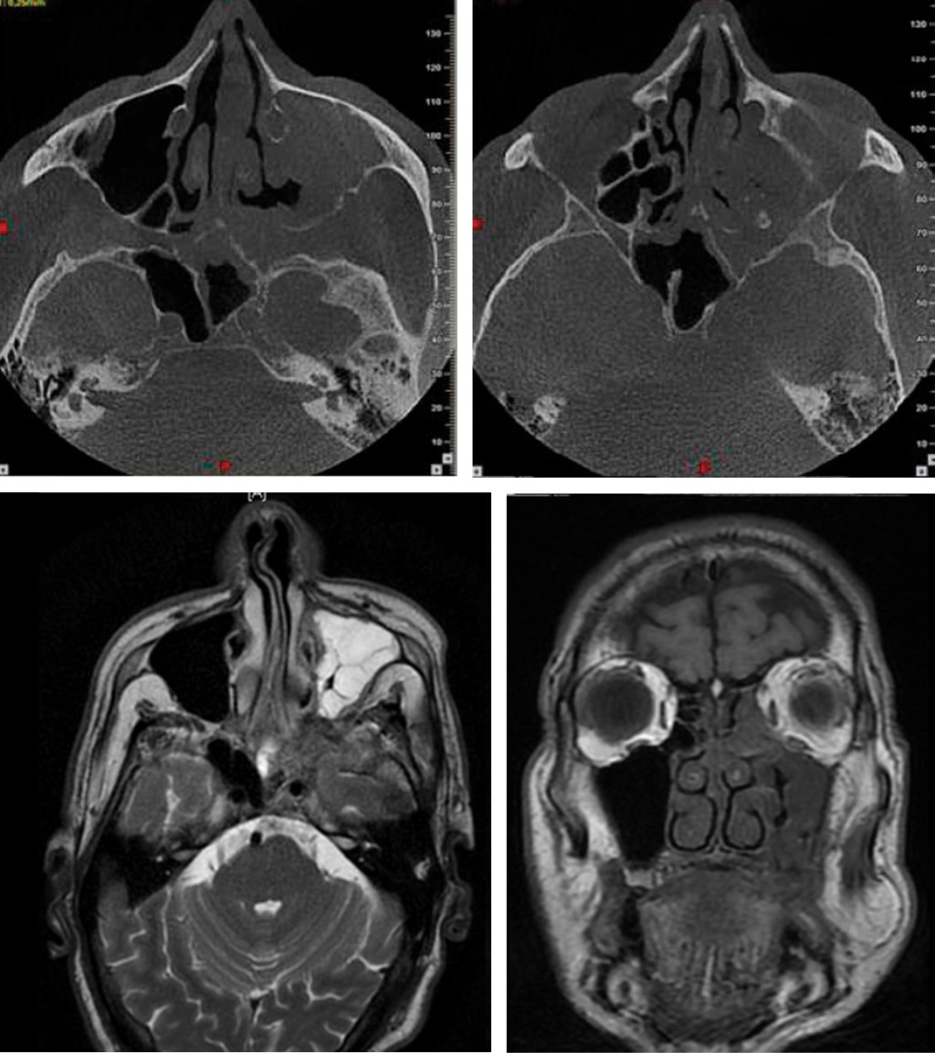
The CT of the skull and face is isodense in the left maxillary sinus, extended to the left ethmoid cells, left nasal turbinates (superior, middle and inferior) and sphenoid sinus. In magnetic resonance it was evidenced in the T2 window sequence hyperintense image in the left maxillary sinus with hypointense areas, as for the isointense image T1 window sequence with hypointense areas in the left maxillary sinus with extension along the left orbital floor, as well as in the Ipsilateral ethmoid and sphenoid sinuses, no brain tissue injury was observed (Figure 3). Patient is admitted to the "Dr. Ángel Larralde" University Hospital in charge of the Internal Medicine, Infectology and Oral and Maxillofacial Surgery Service, for surgical medical management.



MEDICAL MANAGEMENT

Patient receives first-line antifungal, amphotericin B, which began at a rate of 0.5 to 1 mg/kg/weight, receiving 50 mg daily, receiving a cumulative total of 925 mg prior to surgery, then liposomal amphotericin 3 mg/kg/weight parenterally, for three days. Ciprofloxacin 500 mg every 12 hours for 15 days and meropenem 1 g every 8 hours for 15 days. Premeditation was carried out before amphotericin treatment with 1 g of acetaminophen and diluted chlorotrimetron intravenously.

It is important to highlight that the patient was evaluated by an ophthalmologist (Retinologist) where visual acuity, pupillary reflexes, confrontational campimetry, ocular tension, biomicroscopy and fundus, intact optic nerve, without signs of diabetic retinopathy.



SURGICAL MANAGEMENT

Devices (drain type) were placed in the left maxillary region to carry out washes in the maxillary sinus prior to surgery with a dose of 20 mg of amphotericin B in 20 cm3 of distilled water.

In a CT of the skull prior to surgery, a reduction of the maxillary sinus lesion is observed, but the ethmoid region, sphenoid region on the left side and involvement of the floor and medial wall of the orbit are still taken.

Patient who is taken to the operating table under balanced general anesthesia, is performed by maxillary degloving approach, hemimaxylectomy of the left inframesostructure, left turbinectomy, left hemietmoidectomy and defunctionalization of the sphenoid sinus. In addition, washing with physiological solution and amphotericin B was carried out during the act, as well as gauze impregnated with amphotericin B for 10 minutes after having eliminated all devitalized tissue, leaving it free of injury.

A sample is taken for mycological study of the maxillary, ethmoidal and left sphenoid sinus region with KOH, Chinese ink (negative staining) and mycological culture at 28 and 37 oC which reported: no observation of fungal forms in examined samples. The post-operative CT of the skull and face revealed a type III bone defect according to Brown and Shaw after left hemimaxylectomy, as well as improvement and reduction of the lesion in the region of the ethmoid and sphenoid sinus and the region of the medial wall of the left orbit (Figure 4).

Patient who turns 25 days with postoperative amphotericin B treatment, fulfilling a total of 44 days obtaining a cumulative dose of 2,500 mg. A removable obturator partial prosthesis was made, and the patient was discharged from the institution in stable general conditions, free of pathology.



DISCUSSION

Although mucormycosis is extremely rare in healthy individuals, several immunosuppressed conditions predispose it, recently an increase has been observed in COVID-19 patients complicating the evolution of the patient, they are called CAM (COVID-19 associated mucormycosis).

Recently in India there has been a high incidence of mucormycosis, being approximately 0.14 cases per 1,000 inhabitants (about 80 times more often than in developed countries), so that secondary invasion with a large primary occurrence can have dramatic effects.8

For their part, in Venezuela, according to Martínez et al., In a systematic study of mycosis in Venezuela for 26 years, they reported that of 39,806 cases of mycosis, 1.8% presented zygomycosis, the opportunistic mycoses being less frequent. Its highest incidence was observed in Zulia state, where more than 50% of cases were reported, mainly in immunocompromised patients.9

Currently, the increase in the frequency of mucormycosis in Venezuela has been explained as a consequence of the increase in the number of patients with some type of immunosuppression or by the use of therapies that induce immunosuppression in the management of COVID-19.

Although COVID-19 primarily affects the lungs, different complications of the disease are reported, such as myocardial injury, arrhythmia, thromboembolic events, and immune dysregulation. The disease affects T helper cell responses, including cytokine release syndrome, which can open the door to coinfections.1,2

The risk of coinfections in patients with acute respiratory distress syndrome (ARDS) receiving broad-spectrum antibiotics, corticosteroids, and support for invasive or non-invasive ventilation is even higher. The prevalence of coinfection was 63.64% among COVID-19 deaths in a current study conducted in Wuhan, China.10

Mehta et al. presented a case of a 60-year-old male patient with a history of diabetes mellitus, who is diagnosed with COVID-19, during his hospital stay he developed bilateral eyelid edema with prominence of the right eye on day 10. The patient was diagnosed with an invasive fungal infection such as mucormycosis, which was confirmed with a nasal swab on a dextrose agar culture.11 Likewise, in a multicenter retrospective study in Bangalore, India, in 18 patients with diabetes mellitus (DM) with positive SARS-CoV-2 infections. 15 of 18 patients had confirmed uncontrolled DM and all received corticosteroids for COVID-19 treatment. 12 patients had vision loss, seven of whom later underwent orbital exenteration.12

In the aforementioned case, a patient with diabetes mellitus of 15 years of evolution, diagnosed with COVID-19 who received corticosteroids for five days, after which he went into a hyperglycemic state without ketosis. Between the resolution of the acute phase of COVID-19 (which lasted 15 days) and the appearance of the semiology at the level of the oral cavity for which a consultation for mucormycosis, approximately six weeks elapsed, so that the manifestations of mycosis occurred during the so-called post-COVID-19 period. It can be assumed that the patient had glycemic levels during this period, which, although they did not place him in ketoacidosis, could have favored the development of the fungus.

Currently, a significantly higher incidence of fungal infections among diabetic patients is confirmed and suspected to have been aggravated by greater dysregulation of immunity secondary to COVID-19 related to the administration of corticosteroids. The occurrence of such a rare and aggressive infection as mucormycosis in a post-COVID-19 patient points to the importance of closer monitoring and surveillance of the health of patients during the post-COVID-19 phase. A mucormycosis can start with a headache or with cellulitis, signs and symptoms of frequent management, which imposes emphasis on the differential diagnosis when exercising clinical suspicion.

In a study carried reports that four of the 10 cases diagnosed with mucormycosis appeared after tooth extraction, a relatively high number compared to the literature. Therefore, it is the obligation of the dentist to be familiar with the possibility of a potentially serious and possibly fatal complication.13

Administration of antifungal therapy is essential for treatment. Amphotericin B at a dose of 0.5-1.5 mg/k with a cumulative dose of 2 g on average has been the basis of antifungal treatment. However, they consider that the accumulated dose should not be determined based on a fixed scheme, but should be objectively individualized based on the evolution of the patient and based on the histological eradication of the fungus demonstrated in repeated postoperative biopsies.14 In the case discussed in this article, a cumulative dose of 2.5 g of amphotericin was met.

The main precaution with the use of amphotericin B is its nephrotoxicity, however, it should be mentioned that there are less toxic forms, such as liposomal amphotericin, colloidal dispersion or the lipid complex of amphotericin B; These agents are more expensive, but their fungicidal efficacy is adequate, even when an intracerebral extension already exists.15

The prognosis of mucormycosis basically depends on the possibility of compensating the host's immunity by controlling the underlying disease, as well as timely medical-surgical treatment.



CONCLUSIONS

The pandemic has resulted in a growing number of critically ill patients infected with SARS-CoV-2, who have developed mucormycosis. Among the debatable aspects that derive from the evaluation of the cases, the possibility of integrating antifungal therapy in the protocol for COVID-19 is considered, personalizing it in those patients with immunosuppression conditions.

In sum, and to reinforce the successful management of cases with mucormycosis agents, a multidisciplinary therapeutic approach is proposed in which the following factors are covered to reverse its pathophysiology: a) an early diagnosis, b) the reversal of predisposing systemic factors with control of the underlying disease, c) cleaning and early surgical resection and d) adequate antifungal therapy.

And in this way, instilling a protocol-based strategy by a multidisciplinary team and a prioritized COVID-19 therapeutic approach can be the key to success.


REFERENCES

  1. Diao B, Wang C, Tan Y, Chen X, Liu Y, Ning L, et al. Reduction and functional exhaustion of T cells in patients with coronavirus disease (COVID-19). Front Immunol. 2020; 11: 827.

  2. Tay MZ, Poh CM, Rénia L, MacAry PA, Ng LFP. The trinity of COVID-19: immunity inflammation and intervention. Nat Rev Immunol. 2020; 20 (6): 363-374.

  3. Paltauf A. Mycosis mucorina. Ein beitrag zur kenntniss der menschlichen fadenpilzerkrankungen. Virchows Arch Path Anat. 1885; 102: 543-564.

  4. Quiroz N, Villanueva JP, Lozano EA. Mucormicosis. Rev Asoc Colomb Dermatol. 2017; 25 (4): 284-293.

  5. Tugsel Z, Sezer B, Akalin T. Facial swelling and palatal ulceration in a diabetic patient. Oral Surg Oral Med Oral Pathol Oral Radiol Endod. 2004; 98 (6): 630-636.

  6. Scheckenbach K, Cornely O, Hoffmann TK, Engers R, Bier H, Chaker A, et al. Emerging therapeutic options in fulminant invasive rhinocerebral mucormycosis. Auris Nasus Larynx. 2010; 37 (3): 322-328.

  7. Dokmetas HS, Canbay E, Yilmaz S, Elaldi N, Topalkara A, Oztoprak I, et al. Diabetic ketoacidosis and rhino-orbital mucormycosis. Diabetes Res Clin Pract. 2002; 57 (2): 139-142.

  8. Skiada A, Pavleas I, Drogari-Apiranthitou M. Epidemiology and diagnosis of mucormycosis: an update. J Fungi (Basel). 2020; 6 (4): 265.

  9. Martínez D, Hernández R, Alvarado P, Mendoza M. Las micosis en Venezuela: casuística de los Grupos de Trabajo en Micología (1984-2010). Rev Iberoam Micol. 2013; 30 (1): 39-46.

  10. Lv Z, Cheng S, Le J, Huang J, Feng L, Zhang B, et al. Clinical characteristics and co-infections of 354 hospitalized patients with COVID-19 in Wuhan, China: a retrospective cohort study. Microbes Infect. 2020; 22 (4): 195-199.

  11. Mehta S, Pandey A. Rhino-orbital mucormycosis associated with COVID-19. Cureus. 2020; 12 (9): e10726.

  12. Moorthy A, Gaikwad R, Krishna S, Hegde R, Tripathi KK, Kale PG, et al. SARS-CoV-2, uncontrolled diabetes and corticosteroids-an unholy trinity in invasive fungal infections of the maxillofacial region? a retrospective, multi-centric analysis. J Maxillofac Oral Surg. 2021; 20 (3): 418-425.

  13. Emodi O, Ohayon C, Bilder A, Capucha T, Wolff A, Rachmiel A. Postextraction mucormycosis in immunocompromised-patient management and review of literature. J Oral Maxillofac Surg. 2021; 79 (7): 1482-1491.

  14. Prado-Calleros HM, Fajardo-Dolci G, Plowes-Hernández O, Jiménez-Gutiérrez C. Mucormicosis rinoorbitaria. Estudio de cohorte de su tratamiento de acuerdo a la extensión de la enfermedad y reversión de su fisiopatología. Gac Med Mex. 2016; 152 (6): 770-782.

  15. Strasser MD, Kennedy RJ, Adam RD. Rhinocerebral mucormycosis. Therapy with amphotericin B lipid complex. Arch Intern Med. 1996; 156 (3): 337-339.



AFFILIATIONS

1 Oral and Maxillofacial Surgeon at "Dr. Ángel Larralde" University Hospital. Carabobo University. Naguanagua, Venezuela.

2 Oral and Maxillofacial Surgeon at Central Maracay Hospital. Aragua, Venezuela.

3 Infectologist Internist. Head and Teacher of Internal Medicine. University of Carabobo, Faculty of Health Sciences, School of Medicine. Naguanagua, Venezuela.

4 Dentist, Oral and Maxillofacial Pathologist. Professor at Zulia University. Faculty of Dentistry of the University of Zulia. Maracaibo, Venezuela.



Funding: None.

Conflict of interest: The authors declare that they have no conflict of interest.

Written patient consent: Obtained.

Ethical approval: This study was performed in accordance with the ethical standards as stated in the 1974 declaration of Helsinki and its later amendments or comparable ethical standards.

Confidentiality of data: The authors declare that they have followed the protocols of their workplace on the publication of data from patients and that all patients included in the study have received sufficient information and have given their written informed consent to participate in the study.

Right to privacy and informed consent: The authors have obtained the informed consent of patients and/or subjects referred to in the article. This document is in the possession of the author of correspondence.



CORRESPONDENCE

Dionelys Barazarte. E-mail: dionelysb@gmail.com




Received: 07/04/2022. Accepted: 22/05/2022.

Figure 1
Figure 2
Figure 3
Figure 4

2020     |     www.medigraphic.com

Mi perfil

C?MO CITAR (Vancouver)

Lat Am J Oral Maxillofac Surg. 2022;2