medigraphic.com
SPANISH

Acta Médica Grupo Angeles

Órgano Oficial del Hospital Angeles Health System
  • Contents
  • View Archive
  • Information
    • General Information        
    • Directory
  • Publish
    • Instructions for authors        
    • Manuscript submission
    • Policies
    • Names and affiliations of the Editorial Board
  • About us
    • Data sharing policy
    • Stated aims and scope
  • medigraphic.com
    • Home
    • Journals index            
    • Register / Login
  • Mi perfil

2023, Number 1

<< Back Next >>

Acta Med 2023; 21 (1)

Prevalence of vascular loops of the anteroinferior cerebellar artery, in the internal auditory canal, identified by magnetic resonance imaging, at Hospital Angeles Pedregal

Mina RE, Bravo VJ, Gómez PMG
Full text How to cite this article 10.35366/109014

DOI

DOI: 10.35366/109014
URL: https://dx.doi.org/10.35366/109014

Language: Spanish
References: 11
Page: 12-15
PDF size: 187.36 Kb.


Key words:

anteroinferior cerebellar artery, vascular loops, cerebellar pontine angle, magnetic resonance, vestibulocochlear nerve.

ABSTRACT

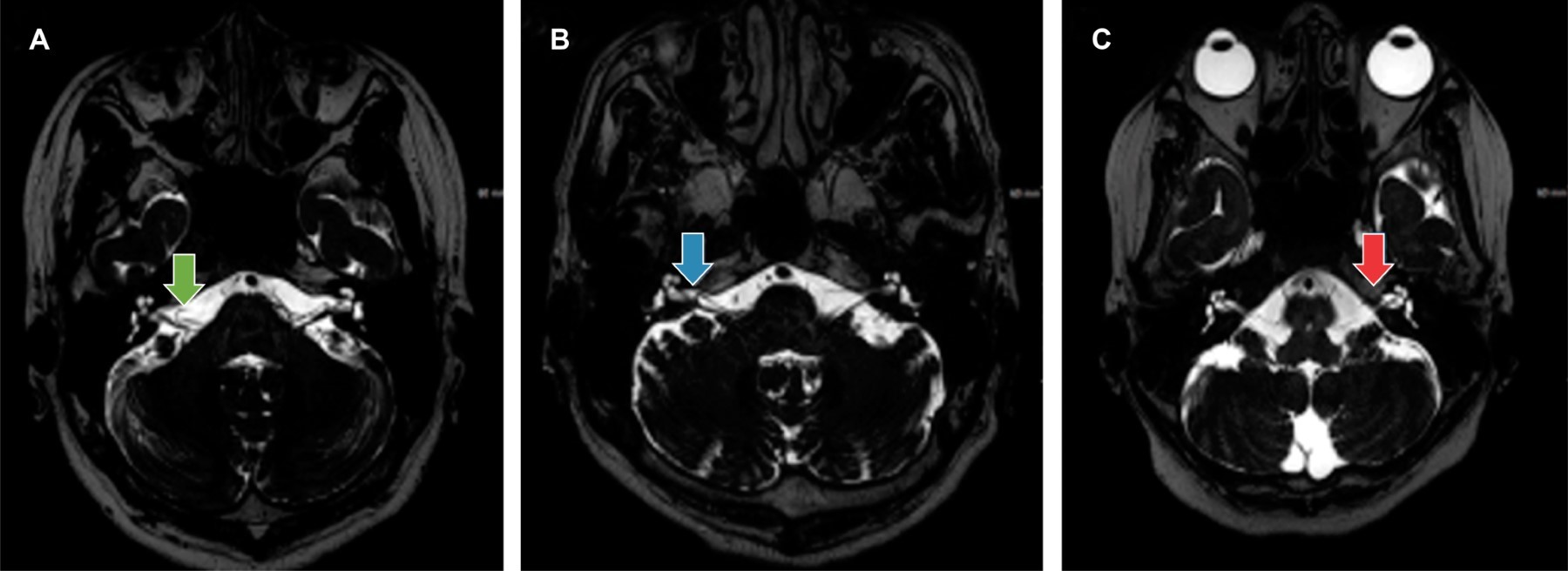
Introduction: neurovascular compression of the vestibulocochlear nerve by vascular loops of the anteroinferior cerebellar artery is considered a cause of neuroacoustic symptoms. Magnetic resonance imaging has contributed to assessing the vestibulocochlear nerve and the vasculature around it, with multiple advantages as it is non-invasive and provides more detailed anatomical visualization of the internal auditory canal and the cerebellopontine angle. Objective: to know the prevalence of vascular loops of the anteroinferior cerebellar artery in the internal auditory canal in the magnetic resonance studies carried out in the Magnetic Resonance Service of Hospital Angeles Pedregal. Results: 150 patients (75 women, 75 men) between 16 and 85 years old were included. 300 ears were analyzed. The most frequent loop type was grade I of the Chavda classification (right: 22.7%, left: 14%). Detection, according to the objective of the study, was focused on the brain (grade I: 24.7%, grade II: 11.3%, grade III: 5%), focused on the ear (grade I: 12%, grade II: 7.3%, grade III: 2.7%). 37% of the ears evaluated were standard. Conclusions: the vascular loops of the anteroinferior cerebellar artery are a frequent condition, demonstrating its detection in studies not only focused on the ears.


REFERENCES

  1. Gorrie A, Warren FM 3rd, de la Garza AN, Shelton C, Wiggins RH 3rd. Is there a correlation between vascular loops in the cerebellopontine angle and unexplained unilateral hearing loss? Otol Neurotol. 2010; 31 (1): 48-52.

  2. Ungar OJ, Brenner-Ullman A, Cavel O, Oron Y, Wasserzug O, Handzel O. The association between auditory nerve neurovascular conflict and sudden unilateral sensorineural hearing loss. Laryngoscope Investig Otolaryngol. 2018; 3 (5): 384-387.

  3. Méndez-Fandiño YR, López-Sáenz LM, Moreno-Mancipe C, Ochoa Sanabria CL, Peñalosa-Villamizar DK, Pérez-Hernández AJ. Vértigo como presentación clínica de asa vascular de la arteria cerebelosa antero inferior. Acta Med Colomb. 2018; 43 (4): 226-229.

  4. de Abreu Junior L, Kuniyoshi CH, Wolosker AB, Borri ML, Antunes A, Ota VK et al. Vascular loops in the anterior inferior cerebellar artery, as identified by magnetic resonance imaging, and their relationship with otologic symptoms. Radiol Bras. 2016; 49 (5): 300-304.

  5. Roldán-Fidalgo A, Rodríguez-Valiente A, González FM, Pinilla M, Trinidad A, Álvarez BB. Vascular loops and neuro-otologic symptoms: is there any correlation? IJOHNS. 2013; 2 (6): 245-247.

  6. Alonso F, Kassem MW, Iwanaga J, Oskouian RJ, Loukas M, Demerdash A et al. Anterior inferior cerebellar arteries juxtaposed with the internal acoustic meatus and their relationship to the cranial nerve VII/VIII complex. Cureus. 2017; 9 (8): e1570.

  7. Kim SH, Ju YR, Choi JE, Jung JY, Kim SY, Lee MY. Anatomical location of AICA loop in CPA as a prognostic factor for ISSNHL. PeerJ. 2019; 7: e6582.

  8. Sirikci A, Bayazit Y, Ozer E, Ozkur A, Adaletli I, Cüce MA et al. Magnetic resonance imaging based classification of anatomic relationship between the cochleovestibular nerve and anterior inferior cerebellar artery in patients with non-specific neuro-otologic symptoms. Surg Radiol Anat. 2005; 27 (6): 531-535.

  9. Clift JM, Wong RD, Carney GM, Stavinoha RC, Boyev KP. Radiographic analysis of cochlear nerve vascular compression. Ann Otol Rhinol Laryngol. 2009; 118 (5): 356-361.

  10. Bae YJ, Jeon YJ, Choi BS, Koo JW, Song JJ. The role of MRI in diagnosing neurovascular compression of the cochlear nerve resulting in typewriter tinnitus. Am J Neuroradiol. 2017; 38 (6): 1212-1217.

  11. Gultekin S, Celik H, Akpek S, Oner Y, Gumus T, Tokgoz N. Vascular loops at the cerebellopontine angle: is there a correlation with tinnitus? Am J Neuroradiol. 2008; 29 (9): 1746-1749.




Figure 1
Table 1
Table 2

2020     |     www.medigraphic.com

Mi perfil

C?MO CITAR (Vancouver)

Acta Med. 2023;21