medigraphic.com
SPANISH

Revista Latinoamericana de Infectología Pediátrica

ISSN 2683-1678 (Print)
Órgano Oficial de la Sociedad
Latinoamericana de lnfectología Pediátrica.
Órgano de la Asociación Mexicana de
Infectología Pediátrica, A.C.
Órgano difusor de la Sociedad Española
de lnfectología
  • Contents
  • View Archive
  • Information
    • General Information        
    • Directory
  • Publish
    • Instructions for authors        
  • medigraphic.com
    • Home
    • Journals index            
    • Register / Login
  • Mi perfil

2022, Number 4

<< Back Next >>

Rev Latin Infect Pediatr 2022; 35 (4)

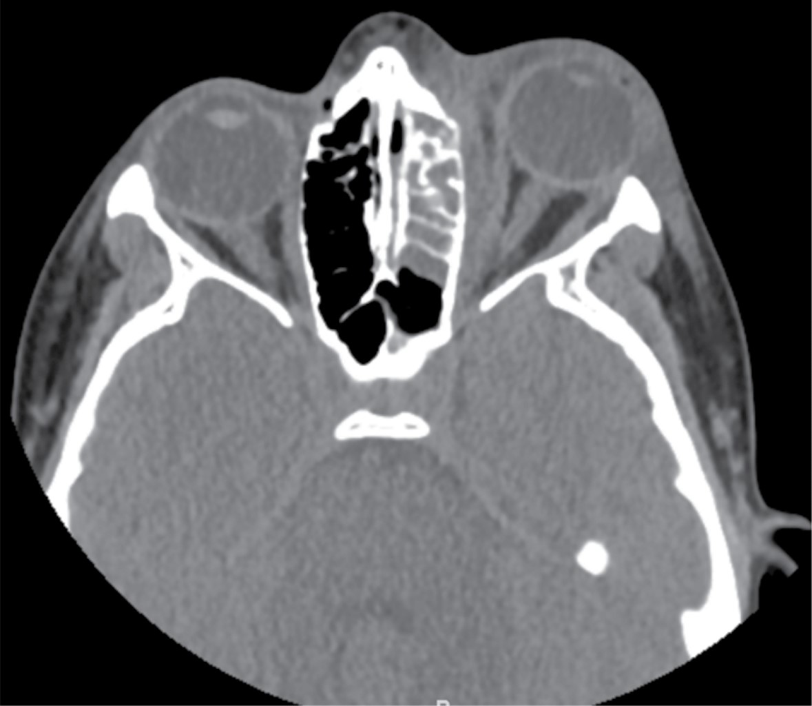
Orbital cellulitis secondary to sinusitis due to Prevotella loescheii

Taberner PB, Mañes JY, España MM, Domingo PA
Full text How to cite this article 10.35366/109411

DOI

DOI: 10.35366/109411
URL: https://dx.doi.org/10.35366/109411

Language: Spanish
References: 18
Page: 162-166
PDF size: 207.43 Kb.


Key words:

orbital cellulitis, abscess, complications, antibiotic, drainage.

ABSTRACT

Orbital cellulitis is a potentially serious entity characterized by the presence of proptosis, ocular pain, limitation of ocular movements and decreased visual acuity. Given the location of the infection and the possibility of sequelae, early and intensive management is essential. In the following article we describe a case of an 13-year-old adolescent who presented with orbital cellulitis secondary to sinusitis due to Prevotella loescheii. He required intravenous antibiotherapy and surgical intervention for drainage, with good clinical evolution.


REFERENCES

  1. Gómez Campderá JA. Complicaciones de las sinusitis en la infancia. An Pediatr (Monogr). 2003; 1 (1): 40-46.

  2. Botting AM, McIntosh D, Mahadevan M. Paediatric pre- and post-septal peri-orbital infections are different diseases. A retrospective review of 262 cases. Int J Pediatr Otorhinolaryngol. 2008; 72 (3): 377-383.

  3. Benito Fernández J, Montejo Fernández M. Celulitis preseptal y orbitaria. Pediatr Integral. 2014; 18 (2): 108-114.

  4. Rudloe TF, Harper MB, Prabhu SP, Rahbar R, Vanderveen D, Kimia AA. Acute periorbital infections: who needs emergent imaging? Pediatrics. 2010; 125 (4): e719-e726.

  5. Rodríguez Ferran L, Puigarnau Vallhonrat R, Fasheh Youssef W, Ribó Aristazábal JL, Luaces Cubells C, Pou Fernández J. Celulitis orbitaria y periorbitaria. Revisión de 107 casos. Anales de Pediatría. 2000; 53 (6): 567-572.

  6. Nageswaran S, Woods CR, Benjamin DK Jr, Givner LB, Shetty AK. Orbital cellulitis in children. Pediatr Infect Dis J. 2006; 25 (8): 695-699.

  7. Gimeno Sánchez I, Rojo Conejo P. Celulitis preseptal y orbitaria. An Pediatr Contin. 2014; 12 (6): 284-288.

  8. Starkey CR, Steele RW. Medical management of orbital cellulitis. Pediatr Infect Dis J. 2001; 20: 1002-1005.

  9. Wald ER, Applegate KE, Bordley C, Darrow DH, Glode MP, Marcy SM et al. Clinical practice guideline for the diagnosis and management of acute bacterial sinusitis in children aged 1 to 18 years. Pediatrics. 2013; 132 (1): e262-e280.

  10. González de Dios J, Ochoa Sangrador C, Álvarez Calatayud G. Manejo racional de la antibioterapia en las infecciones otorrinolaringológicas en la infancia: revisión crítica de las mejores pruebas científicas. Acta Otorrinolaringol Esp. 2006; 57: 66-81.

  11. Baring DE, Hilmi OJ. An evidence based review of periorbital cellulitis. Clin Otolaryngol. 2011; 36 (1): 57-64.

  12. Harris GJ. Subperiosteal abscess of the orbit: Older children and adults require aggressive treatment. Ophthal Plast Reconstr Surg. 2001; 17: 395-397.

  13. Pushker N, Tejwani LK, Bajaj MS, Khurana S, Velpandian T, Chandra M. Role of oral corticosteroids in orbital cellulitis. Am J Ophthalmol. 2013; 156 (1): 178-183.e1.

  14. Todman MS, Enzer YR. Medical management versus surgical intervention of pediatric orbital cellulitis: The importance of subperiosteal abscess volume as a new criterion. Ophthal Plast Reconstr Surg. 2011; 27: 255-259.

  15. Pelton RW, Smith ME, Patel BC, Kelly SM. Cosmetic considerations in surgery for orbital subperiosteal abscess in children: experience with a combined transcaruncular and transnasal endoscopic approach. Arch Otolaryngol Head Neck Surg. 2003; 129 (6): 652-655.

  16. Yen MT, Yen KG. Effect of corticosteroids in the acute management of pediatric orbital cellulitis with subperiosteal abscess. Ophthal Plast Reconstr Surg. 2005; 21 (5): 363-367.

  17. Meara DJ. Sinonasal disease and orbital cellulitis in children. Oral Maxillofacial Surg Clin North Am. 2012; 24 (3): 487-496.

  18. Goytia VK, Giannoni CM, Edwards MS. Intraorbital and intracranial extension of sinusitis: comparative morbidity. J Pediatr. 2011; 158 (3): 486-491.




Figure 1
Figure 2
Figure 3
Table 1
Table 2

2020     |     www.medigraphic.com

Mi perfil

C?MO CITAR (Vancouver)

Rev Latin Infect Pediatr. 2022;35