medigraphic.com
SPANISH

Revista Mexicana de Pediatría

ISSN 0035-0052 (Print)
  • Contents
  • View Archive
  • Information
    • General Information        
    • Directory
  • Publish
    • Instructions for authors        
    • Send manuscript
  • medigraphic.com
    • Home
    • Journals index            
    • Register / Login
  • Mi perfil

2022, Number 4

<< Back Next >>

Rev Mex Pediatr 2022; 89 (4)

Paroxysmal sympathetic hyperactivity in three patients with brain injury who required intensive care

Garza-Alatorre A, Rodríguez-Martínez V, Félix-Ramos G, Cabrera-Antonio YA, García-Maytorena J
Full text How to cite this article 10.35366/109593

DOI

DOI: 10.35366/109593
URL: https://dx.doi.org/10.35366/109593

Language: Spanish
References: 10
Page: 165-169
PDF size: 255.44 Kb.


Key words:

paroxysmal sympathetic hyperactivity, dysautonomia, brain trauma, children.

ABSTRACT

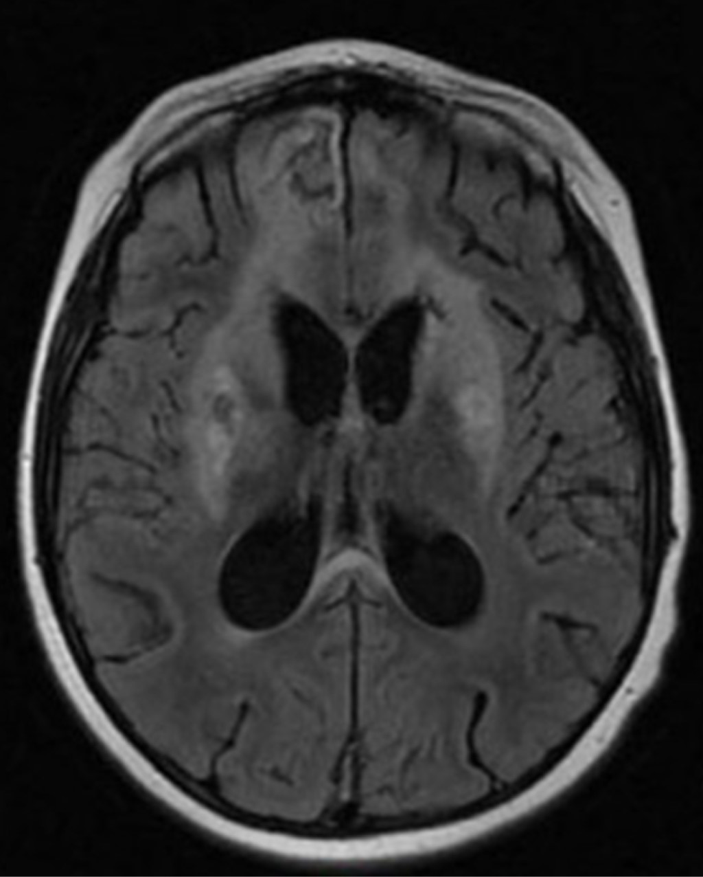
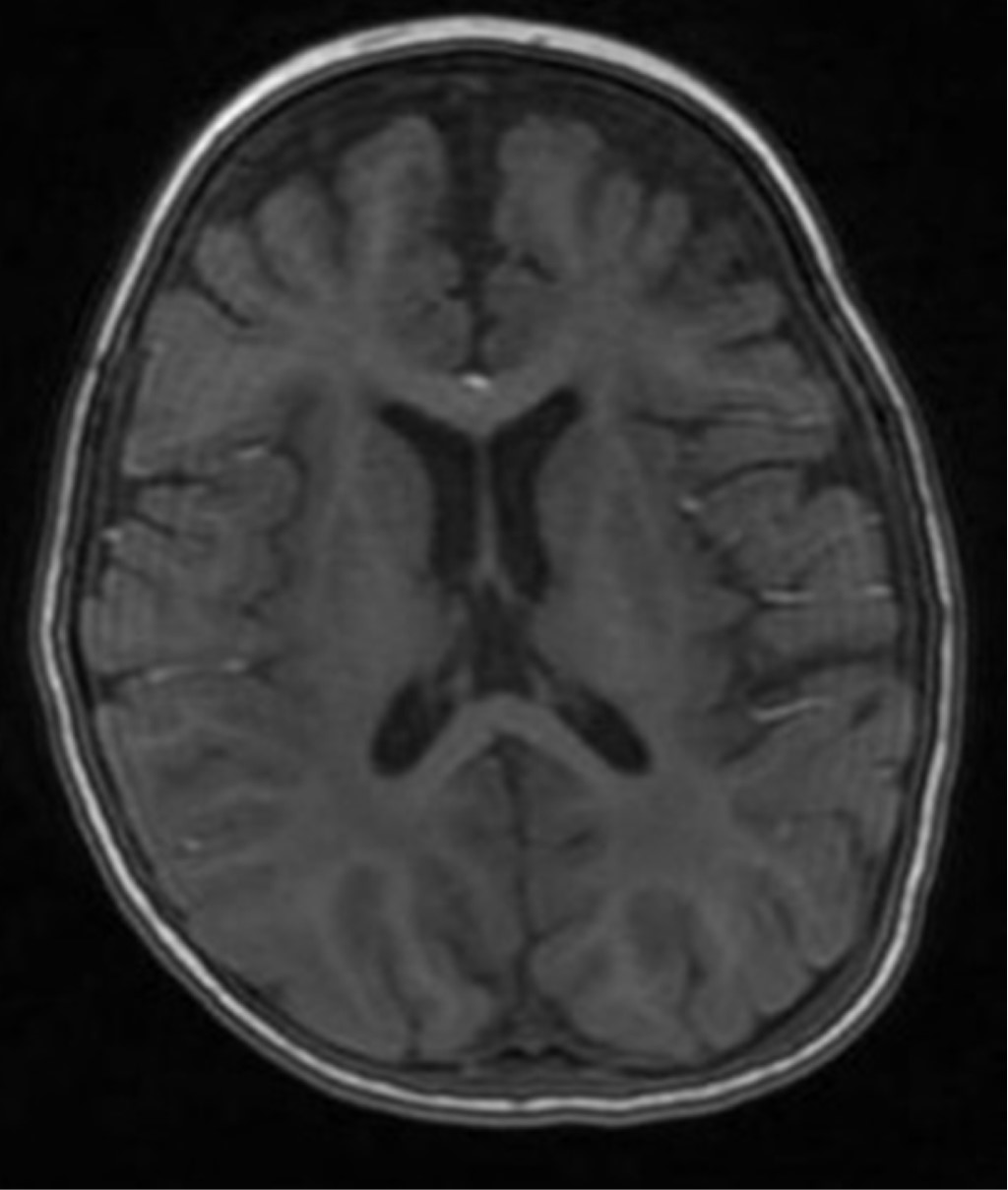
Introduction: paroxysmal sympathetic hyperactivity (PSH) is a complication that consists of increased sympathetic activity, which occurs in 10 to 30% of patients treated in intensive care for brain injury. In this paper, we describe the clinical course of three Mexican children who developed PSH. Case presentation: three patients younger than five years-old who, after the acute phase of a serious neurological event, developed cardiovascular symptoms (tachycardia, hypertension and fever) and dystonia. When other entities were excluded, the diagnosis of paroxysmal sympathetic hyperactivity was integrated. By ruling out other entities, the diagnosis of PSH was integrated. Management consisted of antihypertensive agents and muscle relaxants, but several weeks were required to achieve improvement. Conclusion: PSH is a complication that delays the evolution and recovery of patients who have brain injury and are in critical condition. Its identification is important for its timely management.


REFERENCES

  1. Burton JM, Morozova OM. Calming the storm: dysautonomia for the pediatrician. Curr Probl Pediatr Adolesc Health Care. 2017; 47(7): 145-150.

  2. Deepika A, Mathew MJ, Kumar SA, Devi BI, Shukla D. Paroxysmal sympathetic hyperactivity in pediatric traumatic brain injury: A case series of four patients. Auton Neurosci. 2015; 193: 149-151.

  3. Baguley IJ, Slewa-Younan S, Heriseanu RE, Nott MT, Mudaliar Y, Nayyar V. The incidence of dysautonomia and its relationship with autonomic arousal following traumatic brain injury. Brain Inj. 2007; 21(11): 1175-1181.

  4. Branstetter JW, Ohman KL, Johnson DW, Gilbert BW. Management of paroxysmal sympathetic hyperactivity with dexmedetomidine and propranolol following traumatic brain injury in a pediatric patient. J Pediatr Intensive Care. 2020; 9(1): 064-069.

  5. Kirk KA, Shoykhet M, Jeong JH, Tyler-Kabar EC, Henderson MJ, Bell MJ et al. Dysautonomia after pediatric brain injury. Dev Med Child Neurol. 2012; 54(8): 759-764.

  6. Alofisan TO, Algarni YA, Alharf IM, Miller MR, Stewart TC, Fraser DD et al. Paroxysmal sympathetic hyperactivity after severe traumatic brain injury in children: prevalence, risk factors, and outcome. Pediatr Crit Care Med. 2019; 20(3): 252-258.

  7. Pozzi M, Locatelli F, Galbiati S, Radice S, Clementi E, Strazzer S. Clinical scales for paroxysmal sympathetic hyperactivity in pediatric patients. J Neurotrauma. 2014; 31(22): 1897-1898.

  8. Bravo A, Hernández HG, Reyes JG, Villegas M, Gómez CL, Rivera R et al. Hiperactividad simpática paroxística: prevalencia, tratamiento y hallazgos neurorradiológicos en pacientes pediátricos. Rev Mex Neurocienc. 2019; 19(6): 3-11.

  9. Xu Y, Wan L, Ning J, Guo W, Ren L. Paroxysmal sympathetic hyperactivity in a child with tuberculous meningitis: a case study and review of related literature. West Indian Med J. 2015; 64(5): 543.

  10. Godoy DA, Panhke P, Suarez PG, Murillo-Cabezas F. Hiperactividad simpática paroxística: Una entidad que no debería pasar desapercibida. Med Intensiva. 2019; 43(1): 35-43.




Figure 1
Figure 2
Figure 3
Table 1
Table 2

2020     |     www.medigraphic.com

Mi perfil

C?MO CITAR (Vancouver)

Rev Mex Pediatr. 2022;89