medigraphic.com
SPANISH

Cirujano General

ISSN 2594-1518 (Electronic)
ISSN 1405-0099 (Print)
  • Contents
  • View Archive
  • Information
    • General Information        
    • Directory
  • Publish
    • Instructions for authors        
    • Send manuscript
  • medigraphic.com
    • Home
    • Journals index            
    • Register / Login
  • Mi perfil

2022, Number 4

<< Back

Cir Gen 2022; 44 (4)

Cervical schwannoma

Herrera Valenzuela, Jaime Aarón1; García Palazuelos, Jesús Manuel1; Nava Coronado, Agustín1; Lujan Terrazas, Laura Belem1
Full text How to cite this article 10.35366/109896

DOI

DOI: 10.35366/109896
URL: https://dx.doi.org/10.35366/109896

Language: English/Spanish [Versi?n en espa?ol]
References: 11
Page: 202-207
PDF size: 234.69 Kb.


Key words:

schwannoma, cervical tumor, neurilemomas, vagus nerve, neurinomas.

ABSTRACT

Schwanommas, or neurilemomas, are known as rare or frequent tumors from Schwann cells (glial cells found in the peripheral nervous system), and in most situations behave benignly. The case we present is illustrative of a rare pathology, a benign tumor that differs along the Schwannian lines, some may have not insignificant mitotic activity but their behavior is benign; however, these types of tumors usually appear in the deep soft tissues and only rarely involve the subcutaneous tissue. During this report we illustrate the case of a female patient of the 3rd decade of life, which presents a cervical tumor with growth for 3 years until the medical-surgical approach, subsequent to the onset of symptomatology, although without data of airway compromise, hemoadynamic state or neurological alterations, but if presenting significant pain and difficulty to cervical mobilization. Complementing with imaging studies who suggest ruling out gill cyst against pleomorphic adenoma. The treatment of choice is excision since usually the schwannoma displaces and compresses the residual nerve in its periphery, being able to be removed without affecting the nerve.in this case specifically speaking of direct affection to the vagus nerve (X pair) left hemilateral, dissecting and enucleate the tumor seeking to preserve the functions of the nerve already mentioned. subsequently patient presents data of Horner syndrome during the immediate postoperative and mediate with ptosis and enophthalmos, lasting with alterations that after two months remit favorably, without data of paralysis, alterations in the swallowing or dysphonia, only continuing with pain in temporary region to chewing.



INTRODUCTION

Schwannoma, neurinoma, neurolemoma, or neurilemoma is the formation of a benign neoplasm frequently seen in association with cranial nerve VIII (vestibulocochlear) and neurofibromatosis II.

These tumors were first described by Virchow and Verocay in 1910, but it was not until 1932 that Masson coined the term "schwannoma".

It is a rare, asymptomatic tumor originating from Schwann cells near a peripheral nerve. It usually appears in the fourth and fifth decades of life, with no apparent distinction between sexes, being its location predominantly in the head, neck, and extremities, and of single appearance; multiple forms are usually associated with Von Recklinghausen's neurofibromatosis. According to Daly and Roesler, lateral tumors evolve from cutaneous or muscular branches of the cervical plexus or the brachial plexus. In contrast, medial tumors arise from the last four cranial nerves and the cervical sympathetic chain.1

It is a pathology with generally slow clinical evolution, thus causing a late diagnosis in most patients suffering from this pathology.

At the time of diagnosis, it is essential to perform a correct and complete anamnesis and, above all, to have high-resolution imaging studies as diagnostic support (computed tomography scan, magnetic resonance imaging, and carotid arteriography).

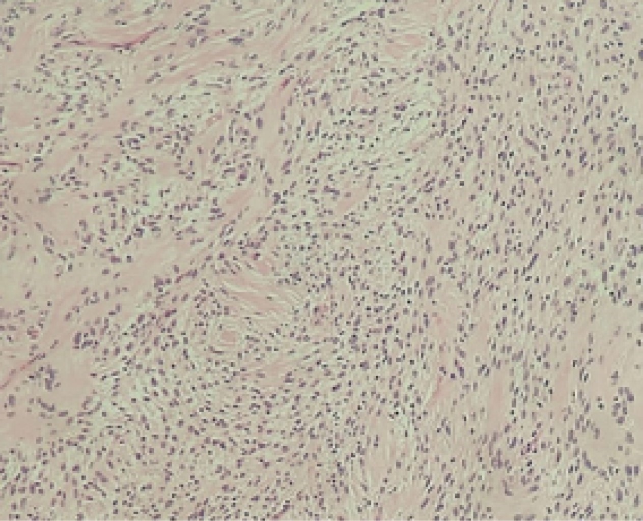
According to pathological anatomy, they are subcutaneous, encapsulated lesions characterized by a double histological pattern, the Antoni A and B areas.

The areas of Antoni A are made up of the cellular component of the lesion, characterized mainly by dense clusters of Schwann cells, whose nuclei are arranged in some areas in a palisade, giving rise to two parallel rows separated by the prolongations of the Schwann cells, characteristics known as Verocay bodies.

Areas of Antoni B tend to present hypocellularity with irregular formation and predominate in a loose myxoid stroma with blood vessels and chronic inflammatory cells.

Most are sporadic and solitary but may be associated with neurofibromatosis, especially in neurofibromatosis type 2 NF2 and schwannomatosis (a distinct entity).2

Of the schwannomas, 10% are extracranial, and of this, 25-45% occur in the head and neck; 50% of the parapharyngeal schwannomas have origin in the vagus nerve, with the cervical sympathetic chain being the second most frequent site of schwannoma settlement. According to Laconi and Faggioni, those of the cervical sympathetic chain are extremely rare, with less than 60 cases reported in the English literature.2

Surgical excision continues to be the therapeutic management for schwannomas; with a low recurrence rate; complementary treatment is not recommended. Sending the anatomopathological specimen for study is necessary to confirm the diagnosis of schwannoma.



PRESENTATION OF THE CASE

The case is a 21 years-old female patient from Ciudad Juarez, Chihuahua, Mexico; she is a catholic housewife with a high-school education and a history of a normal pregnancy, with eutocic delivery at term and binomial discharge. She has no other relevant history, no chronic degenerative diseases, or previous surgeries. She denies smoking, alcoholism, and drug addiction.

Her current condition started four years ago (2018-2021), with localized pain in left hemi collar and a progressive increase in volume, without data of dysphagia or dyspnea, which begins with gradual growth until causing pain, 3/10 in intensity according to visual analog pain scale (VAS) and difficult cervical mobilization. She had no infectious process, fever, or constitutional symptoms history.

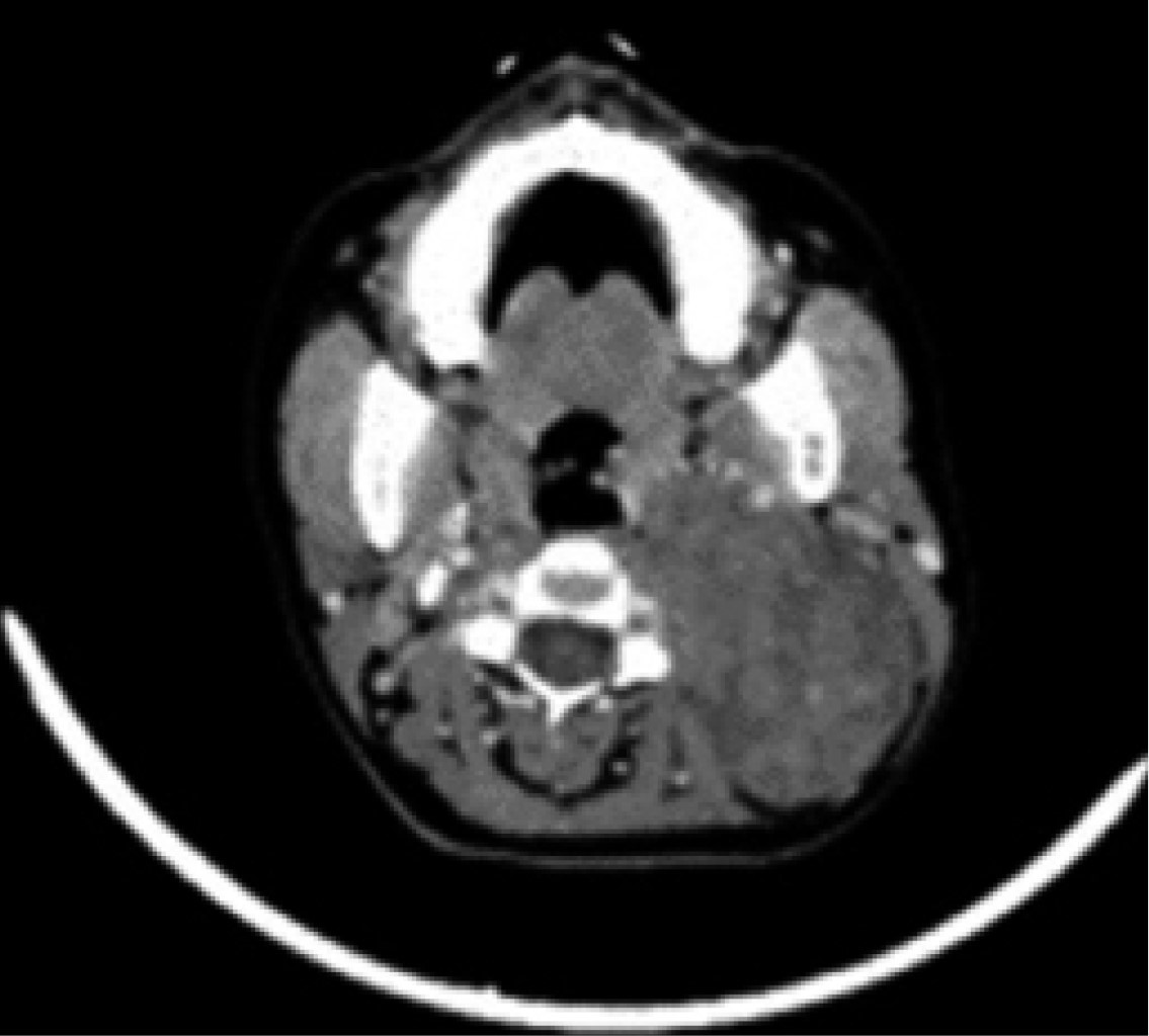
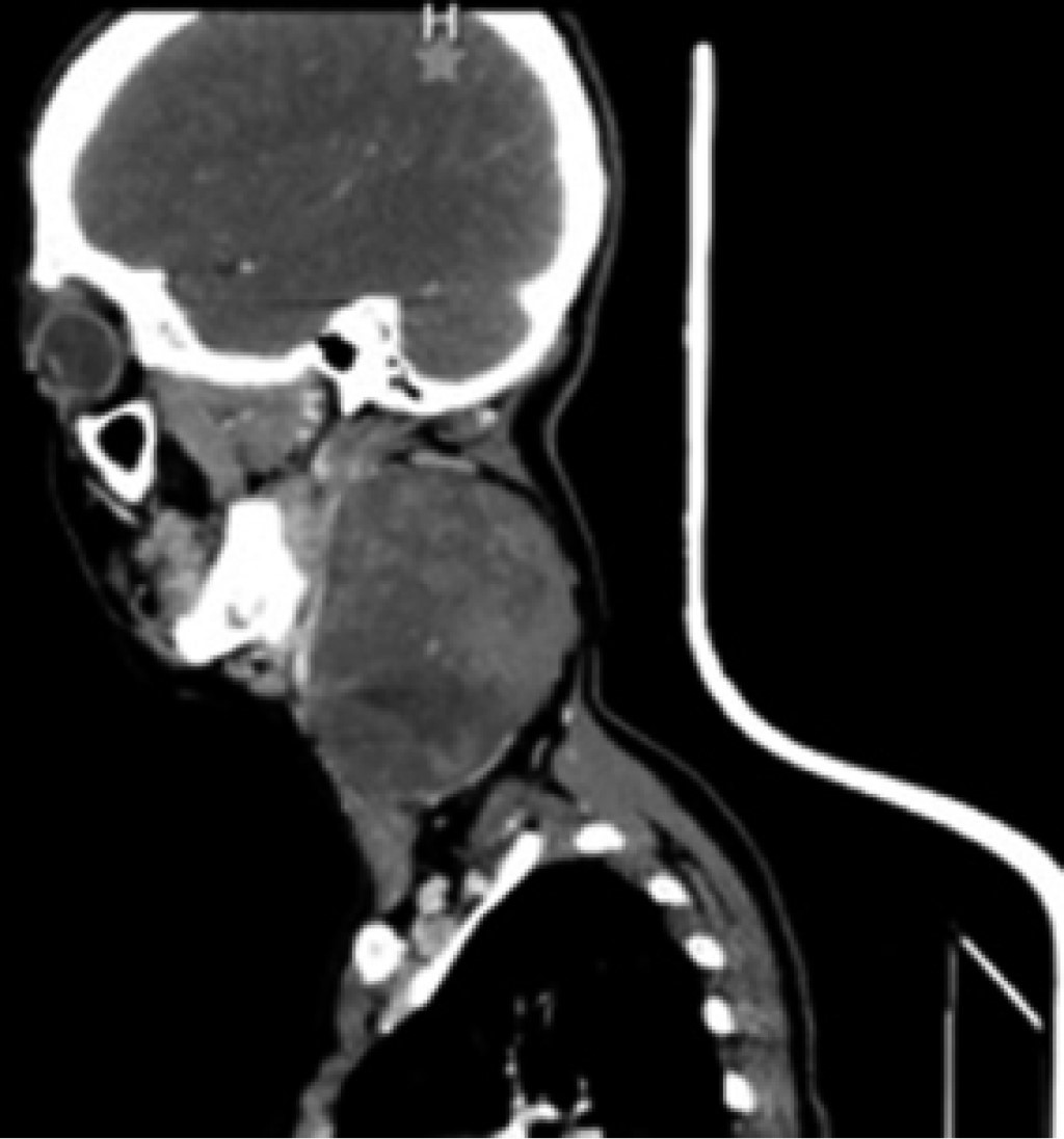
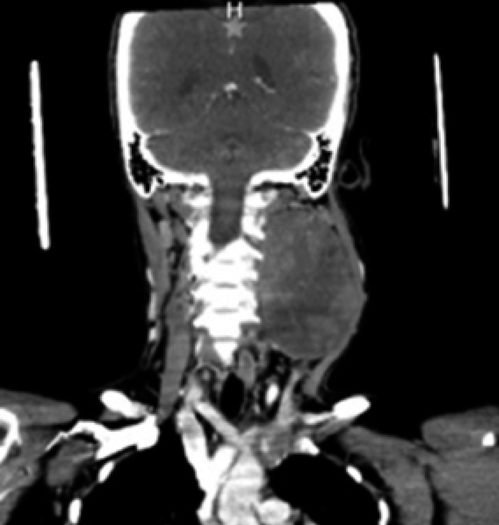
Physical examination revealed the presence of a cervical tumor measuring approximately 12 × 8 × 10 cm, indurated, and fixed to deep planes, covering regions II, III, and Va of the left hemi collar (Figure 1); it was slightly painful on palpation with a 3/10 intensity on VAS, without difficulty in opening the mouth, no facial asymmetry nor airway involvement.

There was no systemic inflammatory response syndrome, hemodynamic instability, or cardiopulmonary compromise. As a diagnostic complement, a CT scan is requested, which reports a large, rounded mass of solid appearance with regular edges, well delimited, heterogeneous, predominantly hypodense, with small areas of lower density inside, without identifying calcifications, with a density between 24 and 37 HU and that after the administration of intravenous contrast presents a density between 33 and 87 HU. It was in the left parapharyngeal level of 6.6 × 7.5 × 9.2 cm, as a left parapharyngeal space lesion with a suspected branchial cyst versus pleomorphic adenoma versus hemorrhagic branchial cyst (Figures 2, 3 and 4).

The study protocol was followed, and the surgical procedure was programmed. On the operating table with the patient in supine decubitus with Rossier position, a cervicotomy was performed through a Paul André cervical incision. After dissecting by planes (skin, subcutaneous cellular tissue, platysma), the sternocleidomastoid muscle was located, and a tumor located in the parapharyngeal space between the internal jugular vein and carotid artery (Figure 5) was found; it was dissected and enucleated, and a meticulous subcapsular dissection was performed trying to preserve the functions of the nerve of apparent origin, in this case, the X cranial nerve, to avoid its resection. The piece was sent to pathology; hemostasis was performed, and a negative pressure closed drainage of type Drenovac of 1/8 was placed. The surgical incision was closed by planes; in the fascia, Vicryl 2-0 was used, and the skin was approached with a nylon 3-0 intradermal stitch, and the surgical event ended.

During a four-day hospital stay, analgesic management and prophylactic antibiotic therapy were administered, and serous drainage decreased to report a minimum of 20 cm3 in 24 hours; by then, it was removed. In the immediate postoperative course, ptosis and enophthalmos were seen, in addition to pain at the surgical site. They all improved and showed a clear progression. Therefore, the discharge was decided with outpatient follow-up at two weeks, one month, two months, and four months later, with remission of postoperative sequelae almost entirely, with no data of paralysis, swallowing disorders, or dysphonia. Currently, the patient only presents pain in the left lower jaw when chewing and pain in the ipsilateral temporal region.

Subsequently, a histopathological report was obtained with folio Q215-2022, where it was mentioned a neck tumor compatible with schwannoma, with an immunohistochemistry report with a result describing diffuse S100 (+++/+++) vimentin positive (+++/+++) (Figures 6 and 7).



DISCUSSION

According to Araujo CE and Zhang H, this type of cervical tumor usually has a slow growth of approximately 2 to 3 mm per year;3,4 according to the time of evolution of the reported case, if it complied with the above mentioned, it would measure no more than 1 cm; however, it measured ten times more. A factor is added because lesions of this type could have variable growth.

Luisa Gil and Marta Ortega Millán mention that one of the critical characteristics when interpreting imaging studies, given the fusiform morphology of the lesion with the major longitudinal axis, is that it follows the path of the nerve, which is characteristic in this type of lesion,5 and shares the same characteristics in the report addressed.

It is of vital importance to know this pathology in the first instance to suspect it and to be able to make a diagnosis employing imaging studies. According to G. Cavallaro, fine needle puncture (FNA) has a low yield.6

The literature also mentions the high resistance of schwannomas to radiotherapy, thus leaving surgery as the treatment of choice. Precisely, the technique that consists of enucleation of these tumors, with preservation and protection of the nerve, total excision of the lesion of the neurovascular bundle is performed through a transcervical approach.7

According to Gibber, surgical resection can be achieved by enucleating the schwannoma of the vagus nerve and preserving it by microsurgical dissection and neuromonitoring, thus reducing postoperative morbidity.8 This is also mentioned by Kwok and Davis when referring to the use of intraoperative electrophysiological monitoring as a helpful tool during schwannoma resection.9 In our particular case, the pathology approach was performed with high suspicion of a branchial cyst, so neuromonitoring was never considered as such, due to enucleation of the nerve from the schwannoma, preserving the nerve without monitoring.

As one of the complications during the follow-up at two and four months, the patient presented data of ptosis and enophthalmos, characteristic of Horner's syndrome, which, according to Massimo Politi and Faith Bingol, is one of the rare post-surgical manifestations with a duration of up to four months after the surgical event,10,11 during which our patient had a good evolution and progression, reducing the clinical picture almost entirely. The patient presented with pain in the wound area and swallowing disorder with functional limits, with no data of paralysis or dysphonia.



CONCLUSIONS

Schwannoma is an infrequent pathology within neck tumors, but it is essential to consider it in soft tissue tumor pathology. Its approach is clinical, and with the support of imaging studies to reach the suspicion, better options for a trans-surgical approach, such as neuromonitoring, are considered, which offers a wide area of opportunity where professionals can obtain better results.



ACKNOWLEDGMENTS

We thank General Hospital Zone No. 6 of the IMSS, general surgery service, and teacher Dr. García Palazuelos for his support and theoretical and surgical teaching.


REFERENCES

  1. Daly JF, Roesler HK. Neurilemmoma of the cervical sympathetic chain. Arch Otolaryngol. 1963; 77: 42. Disponible en: https://jamanetwork.com/journals/jamaotolaryngology/article-abstract/2714400

  2. Iacconi P, Faggioni M, De Bartolomeis C, Iacconi C, Caldarelli C. Cervical sympathetic chain schwannoma: a case report. Acta Otorhinolaryngol Ital. 2012; 32: 133-136.

  3. De Araujo CEN, Ramos DM, Moyses RA, Durazzo MD, Cernea CR, Ferraz AR. Neck nerve trunks schwannomas: clinical features and postoperative neurologic outcome. Laryngoscope. 2008; 118: 1579-1582. Available in: https://pubmed.ncbi.nlm.nih.gov/18596560/

  4. Zhang H, Cai C, Wang S, Liu H, Ye Y, Chen X. Extracranial head and neck schwannomas: a clinical analysis of 33 patients. Laryngoscope. 2007; 117: 278-281. Disponible en: https://pubmed.ncbi.nlm.nih.gov/17277622

  5. Gil Canela ML, Ortega Millán M, Flores de la Torre M, Montesinos Sanchis E. Tumoración cervical de larga evolución: schwannoma. An Pediatr. 2018; 88: 116-117. Disponible en: https://www.analesdepediatria.org/es-tumoracion-cervical-larga-evolucion-schwannoma-articulo-S1695403317303132

  6. Cavallaro G, Pattaro G, Iorio O, Avallone M, Silecchia G. A literature review on surgery for cervical vagal schwannomas. World J Surg Oncol. 2015; 13: 130. Disponible en: https://pubmed.ncbi.nlm.nih.gov/25881101/

  7. Isobe K, Shimizu T, Akahane T, Kato H. Imaging of ancient schwannoma. AJR Am J Roentgenol. 2004; 183: 331-336. Disponible en: http://dx.doi.org/10.2214/ajr.183.2.1830331

  8. Gibber MJ, Zevallos JP, Urken ML. Enucleation of vagal nerve schwannoma using intraoperative nerve monitoring. Laryngoscope. 2012; 122: 790-792. Disponible en: https://profiles.wustl.edu/en/publications/enucleation-of-vagal-nerve-schwannoma-using-intraoperative-nerve-

  9. Kwok K, Davis B, Kliot M. Resection of a benign brachial plexus nerve sheath tumor using intraoperative electrophysiological monitoring. Neurosurgery. 2007; 60: 316-320; discussion 320-321. Disponible en: https://pubmed.ncbi.nlm.nih.gov/17415169/

  10. Politi M, Toro C, Cian R, Costa F, Robiony M. Horner's syndrome due to a large schwannoma of the cervical sympathetic chain: report of case. J Oral Maxillofac Surg. 2005; 63: 707-710. Disponible en: https://www.joms.org/article/S0278-2391(05)00106-0/fulltext

  11. Bingol F, Ozel BB, Kilic K, Calik I, Simsek E, et al. Ancient schwannoma and postoperative horner's syndrome deriving from the ansa cervicalis [Internet]. Entcase.org. [citado el 6 de agosto de 2022]. Disponible en: https://entcase.org/public/pdf_ln/232-ansa-servIkalIsten-kaynaklanan-ancIent-schwannoma-ve-postoperatIf-horner-sendromu.pdf



AFFILIATIONS

1 General Surgery Service. Instituto Mexicano del Seguro Social, General Hospital Zone No. 6 "Lic. Benito Juárez".



CORRESPONDENCE

Jaime Aarón Herrera-Valenzuela. E-mail: aaron.hv3@gmail.com




Received: 08/05/2022. Accepted: 01/09/2023.

Figure 1
Figure 2
Figure 3
Figure 4
Figure 5
Figure 6
Figure 7

2020     |     www.medigraphic.com

Mi perfil

C?MO CITAR (Vancouver)

Cir Gen. 2022;44