medigraphic.com
SPANISH

Revista Mexicana de Cirugía Bucal y Maxilofacial

ISSN 2007-3178 (Print)
Asociación Mexicana de Cirugía Bucal y Maxilofacial, Colegio Mexicano de Cirugía Bucal y Maxilofacial, A.C.
  • Contents
  • View Archive
  • Information
    • General Information        
    • Directory
  • Publish
    • Instructions for authors        
    • Send manuscript
  • medigraphic.com
    • Home
    • Journals index            
    • Register / Login
  • Mi perfil

2022, Number 1-3

<< Back

Rev Mex Cir Bucal Maxilofac 2022; 18 (1-3)

Küttner tumor not related to IgG4 disease: case report

De JDG, Farráez CEDC, Colín HI, Jurado CE
Full text How to cite this article 10.35366/110405

DOI

DOI: 10.35366/110405
URL: https://dx.doi.org/10.35366/110405

Language: Spanish
References: 23
Page: 44-49
PDF size: 276.93 Kb.


Key words:

Küttner tumor, chronic sclerosing sialadenitis, fine needle aspiration.

ABSTRACT

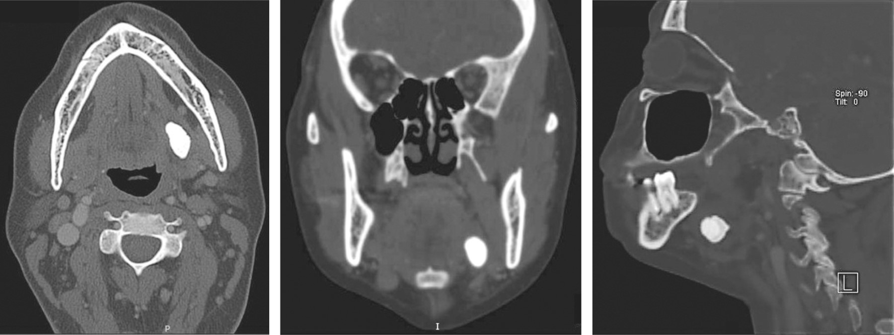
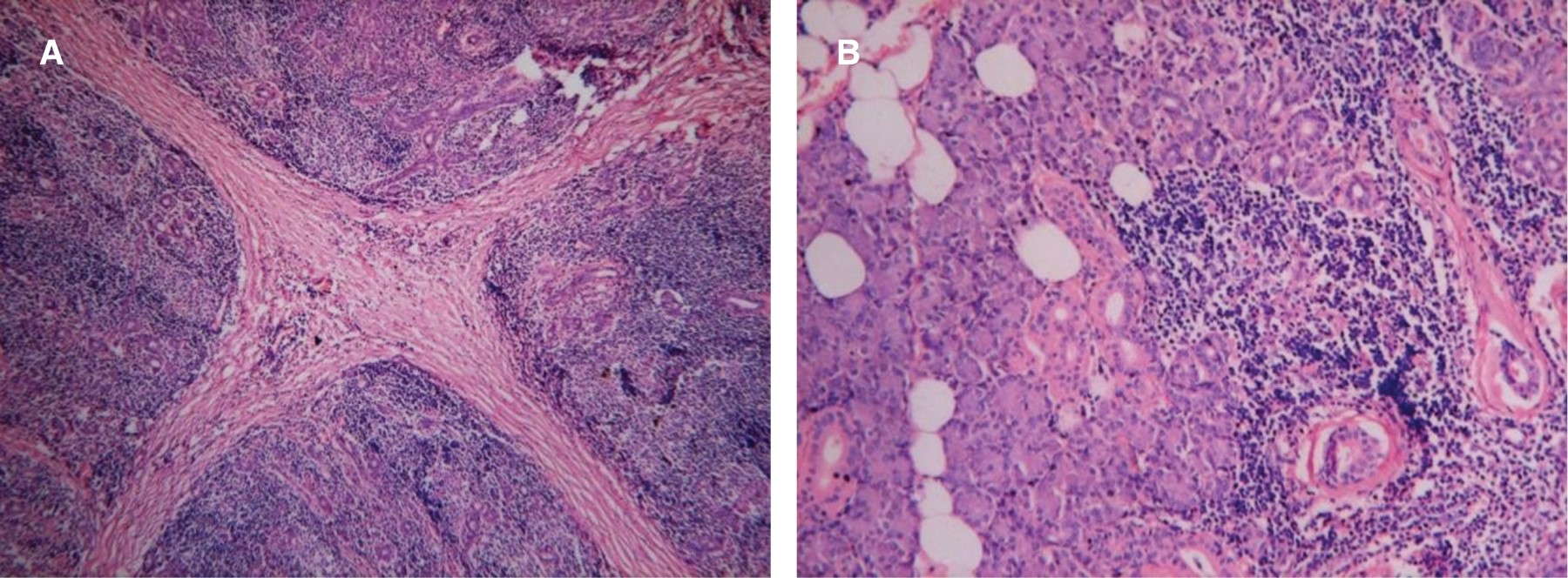
Introduction: Küttner's tumor or chronic sclerosing sialadenitis (CSS) is a rare disease of the major salivary glands. It is characterized by an increase in volume, usually unilateral, although its presence has also been reported in minor salivary glands with or without a relationship with IgG4 disease, producing a fibroinflammatory infiltration in the interlobular septa, but its architecture is preserved and in some cases the presence of stones and positive IgG4 cells. Material and methods: a 44-year-old female patient with tomographic findings of calcification of the left submandibular glands, for which surgical excision of the gland was performed, obtaining a histopathological diagnosis of Küttner's tumor. Results: bimonthly follow-up of the patient continues, currently without the presence of alterations in relation to IgG4 disease. Conclusions: Küttner's tumor or chronic sclerosing sialadenitis (CSS) can sometimes be the initial or only finding of IgG4 disease. The timely diagnosis or the importance of ruling out IgG4 disease is due to all the autoimmune diseases related to it or its possible complications.


REFERENCES

  1. Gunasekara TN, Di Palma S, Bagwan IN. IgG4 related sclerosing sialadenitis- a retrospective analysis. Malays J Pathol. 2016; 38 (2): 111-115.

  2. Blanco M, Mesko T, Cura M, Cabello-Inchausti B. Chronic sclerosing sialadenitis (Kuttner's tumor): unusual presentation with bilateral involvement of major and minor salivary glands. Ann Diagn Pathol. 2003; 7 (1): 25-30.

  3. Lakshmanan S, Manimaran V, Villiapan V, Arumugan V. An unusual presentation of chronic sclerosing sialadenitis of submandibular gland (Kuttner's tumour). BMJ Case Rep. 2019; 12 (8): e231189.

  4. Godbehere J, Scotta GB, Tahir F, Sionis S. Küttner tumor of the parotid gland-a diagnostic rarity. Ear Nose Throat J. 2021; 100 (3): NP166-NP168.

  5. Poghosyan A, Misakyan M, Sargsyan A, Khachatryan P, Hakobyan G. Chronic sclerosing sialadenitis (Küttner's tumor) of the submandibular salivary gland: Our experience of one case report. Clin Case Rep. 2019; 7 (8): 1600-1604.

  6. Kami?ski B, B?ochowiak K. Mikulicz's disease and Küttner's tumor as manifestations of IgG4-related diseases: a review of the literature. Reumatologia. 2020; 58 (4): 243-250.

  7. Stone JH, Zen Y, Deshpande V. IgG4-related disease. N Engl J Med. 2012; 366 (6): 539-551.

  8. Kelly BT, Grayson MH. Immunoglobulin E, what is it good for? Ann Allergy Asthma Immunol. 2016; 116 (3): 183-187.

  9. Peuraharju E, Saarinen R, Aro K, Makinen L, Tarkkanen J, Makitie A et al. Sclerosing sialadenitis of the submandibular gland is rarely an immunoglobulin G4-related disease in the Finnish population. Mod Pathol. 2020; 33: 551-559.

  10. Putra J, Ornstein DL. Küttner tumor: IgG4-related disease of the submandibular gland. Head Neck Pathol. 2016; 10: 530-532.

  11. Geyer JT, Deshpande V. IgG4-associated sialadenitis. Curr Opin Rheumatol. 2011; 23: 95-101.

  12. Ferreira S, Ávila F, Pérez L, Bravim B, Garcia IR. Küttner tumor. J Craniofac Surg. 2015; 26 (3): 979-980.

  13. Furukawa S, Moriyama M, Kawano S, Tanaka A, Maehara T, Hayashida JN et al. Clinical relevance of Küttner tumour and IgG4-related dacryoadenitis and sialoadenitis. Oral Dis. 2015; 21 (2): 257-262.

  14. Ruberto E, Gangemi E, Covello R, Pellini R, Vidiri A. MRI features in submandibular gland chronic sclerosing sialadenitis: a report of three cases and imaging findings. Iran J Otorhinolaryngol. 2020; 32 (113): 397-401.

  15. Leon ME, Santosh N, Agarwal A, Teknoa TN, Ozer E, Iwenofu OH. Diagnostic challenges in the fine needle aspiration biopsy of chronic sclerosing sialadenitis (Küttner's tumor) in the context of head and neck malignancy: a series of 4 cases. Head Neck Pathol. 2016; 10: 389-393.

  16. Chow TL, Chan TF, Choi CY, Lam SH. Küttner's tumor (chronic sclerosing sialadenitis) of the submandibular gland: a clinical perspective. Hong Kong Med J. 2008; 14 (1): 46-49.

  17. Brennan PA, Davies B, Poller D, Mead Z, Bayne D, Puxeddu R et al. Fine needle aspiration cytology (FNAC) of salivary gland tumours: repeat aspiration provides further information in cases with an unclear initial cytological diagnosis. Br J Oral Maxillofac Surg. 2010; 48 (1): 26-29.

  18. Karadeniz H, Vaglio A. IgG4-related disease: a contemporary review. Turk J Med Sci. 2020; 50: 1616-1631.

  19. Naz S, Hashmi AA, Khurshid A, Faridi N, Edhi MM, Kamal A et al. Diagnostic role of fine needle aspiration cytology (FNAC) in the evaluation of salivary gland swelling: an institutional experience. BMC Res Notes. 2015; 8: 101.

  20. Nanda KDS, Mehta A, Nanda J. Fine-needle aspiration cytology: a reliable tool in the diagnosis of salivary gland lesions. J Oral Pathol Med. 2012; 41: 106-112.

  21. Takano K, Yajima R, Kamekura R, Yamamoto M, Takahashi H, Yama N et al. Clinical utility of 18 F-fluorodeoxyglucose/positron emission tomography in diagnosis of immunoglobulin G4-related sclerosing sialadenitis. Laryngoscope. 2018; 128 (5): 1120-1125.

  22. Laco J, Ryska A, Celakovsky P, Dolezalova H, Mottl R, Tucek L. Chronic sclerosing sialadenitis as one of the immunoglobulin G4-related diseases: a clinicopathological study of six cases from Central Europe. Histopathology. 2011; 58 (7): 1157-1163.

  23. Mulholland GB, Jeffery CC, Satija P, Coté DW. Immunoglobulin G4-related diseases in the head and neck: a systematic review. J Otolaryngol Head Neck Surg. 2015; 44 (1): 24.




Figure 1
Figure 2
Figure 3
Figure 4
Figure 5
Figure 6

2020     |     www.medigraphic.com

Mi perfil

C?MO CITAR (Vancouver)

Rev Mex Cir Bucal Maxilofac. 2022;18