medigraphic.com
SPANISH

Medicina Crítica

  • Contents
  • View Archive
  • Information
    • General Information        
    • Directory
  • Publish
    • Instructions for authors        
  • Policies
  • Lineamientos
  • medigraphic.com
    • Home
    • Journals index            
    • Register / Login
  • Mi perfil

2023, Number 2

<< Back

Med Crit 2023; 37 (2)

Tracheal gas insufflation plus lung protect in critical ill SARS-CoV-2 patient

Giraldo SJM
Full text How to cite this article 10.35366/110452

DOI

DOI: 10.35366/110452
URL: https://dx.doi.org/10.35366/110452

Language: Spanish
References: 25
Page: 150-153
PDF size: 255.87 Kb.


Key words:

tracheal gas insufflation, lung injury, hypercapnea, lung protect, distensibility.

ABSTRACT

The pulmonary structural alterations by COVID-19 are very serious when SARS-CoV-2 develops, resulting in determinants in the outcome of patients. The burden of disease provided by invasive mechanical ventilation imposed on this group of patients triggers a very high percentage of known mortality. We present a series of cases of patients with SARS-CoV-2 who faced with the failure of high flow cannula, non-invasive mechanical ventilation and prone position required rescue strategy with tracheal gas insufflation plus ultra lung protection with favorable results.


REFERENCES

  1. Pillow JJ. High-frequency oscillatory ventilation: mechanisms of gas exchange and lung mechanics. Crit Care Med. 2005;33(3 Suppl): S135-141. doi: 10.1097/01.ccm.0000155789.52984.b7.

  2. Mentzelopoulos SD, Roussos C, Koutsoukou A, Sourlas S, Malachias S, Lachana A, et al. Acute effects of combined high-frequency oscillation and tracheal gas insufflation in severe acute respiratory distress syndrome. Crit Care Med. 2t007;35:1500-1508.

  3. Giraldo J, Gonzales J, Cantillo A, Vargas LF. Protección pulmonar con altas frecuencias más insuflación de gas traqueal en ventilación mecánica ciclada por volumen y modo asistido controlado en pacientes con síndrome de dificultad respiratoria del adulto. Acta Colomb Cuid Intensiv. 2009;9:273-281.

  4. Chandel A, Patolia S, Brown AW, Collins AC, Sahjwani D, Khangoora V, et al. High-flow nasal cannula therapy in COVID-19: Using the ROX Index to Predict Success. J Respir Care. 2021;66(6):909-919. doi: 10.4187/respcare.08631.

  5. Hess DR. Recruitment Maneuvers and PEEP Titration. Respir Care. 2015;60(11):1688-1704. doi: 10.4187/respcare.04409.

  6. Gattinoni L, Eleonora C, Caironi P. Monitoring of pulmonary mechanics in acute respiratory distress syndrome to titrate therapy. Curr Opin Crit Care. 2005;11(3):252-258. doi: 10.1097/01.ccx.0000160773.43122.35.

  7. Beitler JR, Sarge T, Banner-Goodspeed VM, Gong MN, Cook D, Novack V, et al. Effect of titrating positive end-expiratory pressure (PEEP) with an esophageal pressure-guided strategy vs an empirical high PEEP-Fio2 strategy on death and days free from mechanical ventilation among patients with acute respiratory distress syndrome: a randomized clinical trial. Clinical Trial JAMA. 2019;321(9):846-857. doi: 10.1001/jama.2019.0555.

  8. ARDS Definition Task Force; Ranieri VM, Rubenfeld GD, Thompson BT, Ferguson ND, Caldwell E, Fan E, Camporota L, et al. Acute respiratory distress syndrome: the Berlin Definition. JAMA. 2012;307(23):2526-2533. doi: 10.1001/jama.2012.5669.

  9. Giraldo SJM, Vargas F, Cantillo GA. Hipoxemia refractaria bajo ventilación mecánica protectora en paciente con SDRA por aspiración líquida ácida Refractory hypoxemia under lung-protective mechanical ventilation in patients with ARDS due to acid aspiration. Acta Colombiana de Cuidado Intensivo. 2010;10(2): 121-124.

  10. Gattinoni L, Giosa L, Bonifazi M, Pasticci I, Busana M, Macri M, et al. Targeting transpulmonary pressure to prevent ventilator-induced lung injury. Expert Rev Respir Med. 2019;13(8):737-746. doi: 10.1080/17476348.2019.1638767.

  11. Curley GF, Laffey JG, Zhang H, Slutsky AS. Biotrauma and ventilator-induced lung injury: clinical implications. Chest. 2016;150(5):1109-1117. doi: 10.1016/j.chest.2016.07.019.

  12. Rouze A, Voiriot G, Guivarch E, Roux F, Tran Van Nhieu J, et al. Inflammatory cellular response to mechanical ventilation in elastase-induced experimental emphysema: role of preexisting alveolar macrophages infiltration. Biomed Res Int. 2018;2018:5721293. doi: 10.1155/2018/5721293.

  13. Maes K, Stamiris A, Thomas D, Cielen N, Smuder A, Powers SK, et al. Effects of controlled mechanical ventilation on sepsis-induced diaphragm dysfunction in rats. Cri Care Med. 2014;42(12):e772-e782.

  14. Costa ELV, Slutsky AS, Brochard LJ, Brower R, Serpa-Neto A, Cavalcanti AB, et al. Ventilatory variables and mechanical power in patients with acute respiratory distress syndrome. Am J Respir Crit Care Med. 2021;204(3):303-311. doi: 10.1164/rccm.202009-3467OC.

  15. Gattinoni L, Tonetti T, Cressoni M, Cadringher P, Herrmann P, Moerer O, et al. Ventilator-related causes of lung injury: the mechanical power. Intensive Care Med. 2016;42(10):1567-1575.

  16. Wolthuis EK, Choi G, Dessing MC, Bresser P, Lutter R, Dzoljic M et al. Mechanical ventilation with lower tidal volumes and positive end-expiratory pressure prevents pulmonary inflammation in patients without preexisting lung injury. Anesthesiology. 2008;108(1):46-54. doi: 10.1097/01.anes.0000296068.80921.10.

  17. Ni Chonghaile M, Higgins BD, Costello JF, Laffey JG. Hypercapnic acidosis attenuates severe acute bacterial pneumonia-induced lung injury by a neutrophil-independent mechanism. Crit Care Med. 2008;36(12):3135-3144. doi: 10.1097/CCM.0b013e31818f0d13.

  18. Cetti EJ, Moore AJ, Geddes DM. Collateral ventilation. Thorax. 2006;61:371-373.

  19. Giraldo SJ, Badillo E, Pacheco J, Beltran E, Barranco E, Giraldo R, et al. Insuflación de gas traqueal más ventilación mecánica protectora con altas frecuencias y relación I:E simétrica en paciente con hipoxemia refractaria con síndrome de dificultad respiratoria aguda. debido a contusión pulmonar. Acta Colomb Cuid Intensiv. 2014;14:320-325.

  20. Giraldo J, Vargas LF, Figueroa H, Correa R. Hipoxemia refractaria bajo ventilación con liberación programada de presión en la vía aérea en paciente con síndrome de dificultad respiratopria del adulto tratado con insuflación de gas traqueal más ventilación mecánica protectora con frecuencias altas y relaciones i:e simétrica. Acta Colomb Cuid Intensiv. 2013;13:200-206.

  21. Giraldo J, Figueroa H, Correa R, Marti A. Ventilación mecánica protectora más insuflación de gas traqueal en paciente con hipercoagulabilidad por síndrome anticardiolipinas en el escenario clínico de síndrome de dificultad respiratoria del adulto (SDRA) por embolismo pulmonar. Acta Colomb Cuid Intensiv. 2012;12:59-65.

  22. Giraldo JM, Vargas F, Cantillo GA. Protective mechanical ventilation plus tracheal gas insufflation in a patient with massive pulmonary embolism due to combined deficiency of proteins C. and S and antithrombin III. J Pulm Respir Med. 2009;10(2):136-142.

  23. Giraldo SJM, Cantillo A, Puentes FE. Mechanical ventilation protect and tracheal gas insufflation in patient with pulmonary contusion. Acta Colombiana de Cuidado Intensivo. 2008;8(4):318-321.

  24. Giraldo SJM, Badillo E, Pacheco J, Beltran E, Barranco E, Giraldo R, et al. Tracheal gas insufflation as a rescue strategy for refractory hypoxaemia due to multifactorial pulmonary edema in a patient with subarachnoid haemorrhage. Act Col C Crit. 2015;15(3):220-226.

  25. Giraldo SJM, Villamarín R. High frequency oscillation mechanical ventilation plus tracheal gas insufflation in patient with Acute Respiratory Distress Syndrome (ARDS) secondary by severe aspiration due opioids. Acta Colombiana de Cuidado Intensivo. 2008;8(4):312-317.




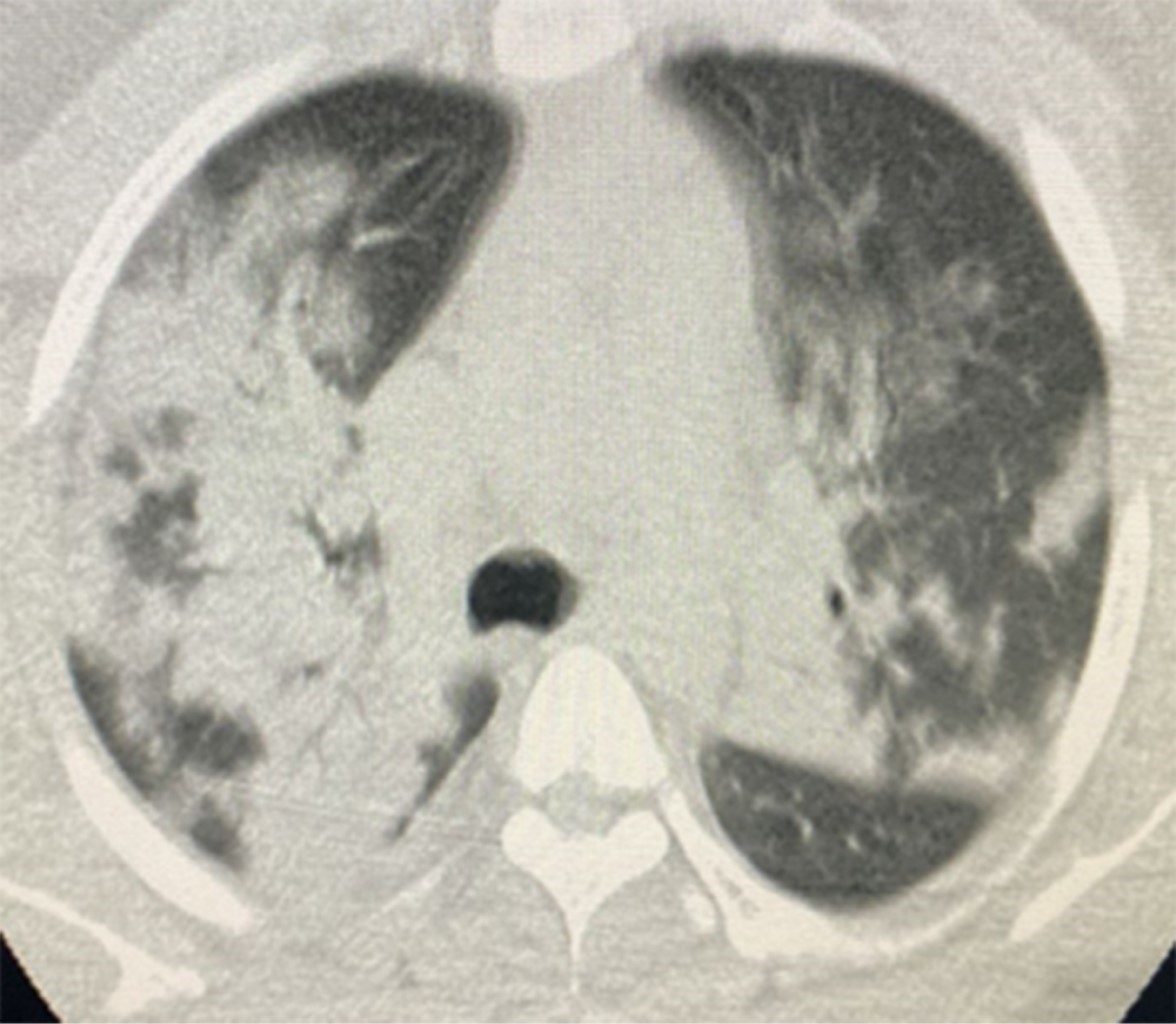
Figure 1
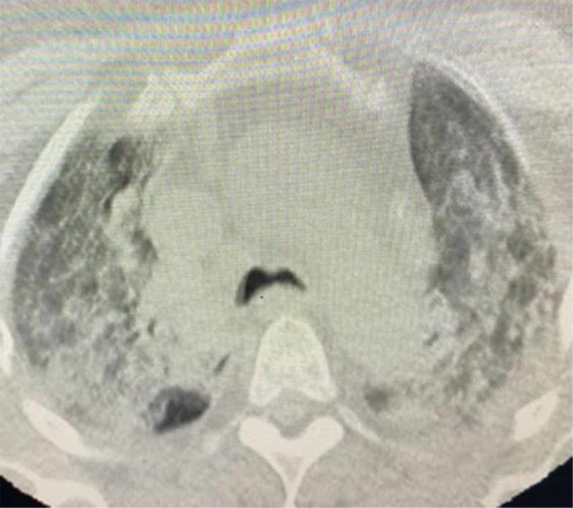
Figure 2
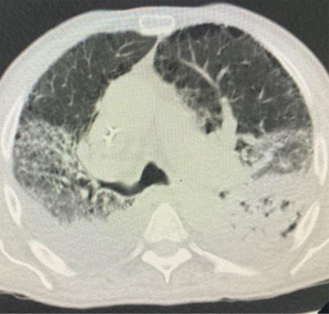
Figure 3
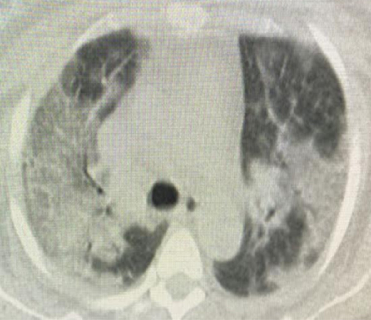
Figure 4
Table 1
Table 2
Table 3

2020     |     www.medigraphic.com

Mi perfil

C?MO CITAR (Vancouver)

Med Crit. 2023;37