medigraphic.com
SPANISH

Revista Mexicana de Cirugía Endoscópica

ISSN 1665-2576 (Print)
  • Contents
  • View Archive
  • Information
    • General Information        
    • Directory
  • Publish
    • Instructions for authors        
    • Send manuscript
  • medigraphic.com
    • Home
    • Journals index            
    • Register / Login
  • Mi perfil

2022, Number 3-4

<< Back Next >>

Rev Mex Cir Endoscop 2022; 23 (3-4)

Controversy in the use of intraperitoneal chemotherapy for the treatment of low-grade appendiceal mucinous neoplasia: apropos of a clinical case

Villalobos-Rubalcava EJ, Hernández-López A, Jiménez-Barri R
Full text How to cite this article 10.35366/110661

DOI

DOI: 10.35366/110661
URL: https://dx.doi.org/10.35366/110661

Language: Spanish
References: 12
Page: 84-88
PDF size: 295.81 Kb.


Key words:

low-grade appendiceal mucinous neoplasm, LAMN, acute appendicitis, laparoscopy.

ABSTRACT

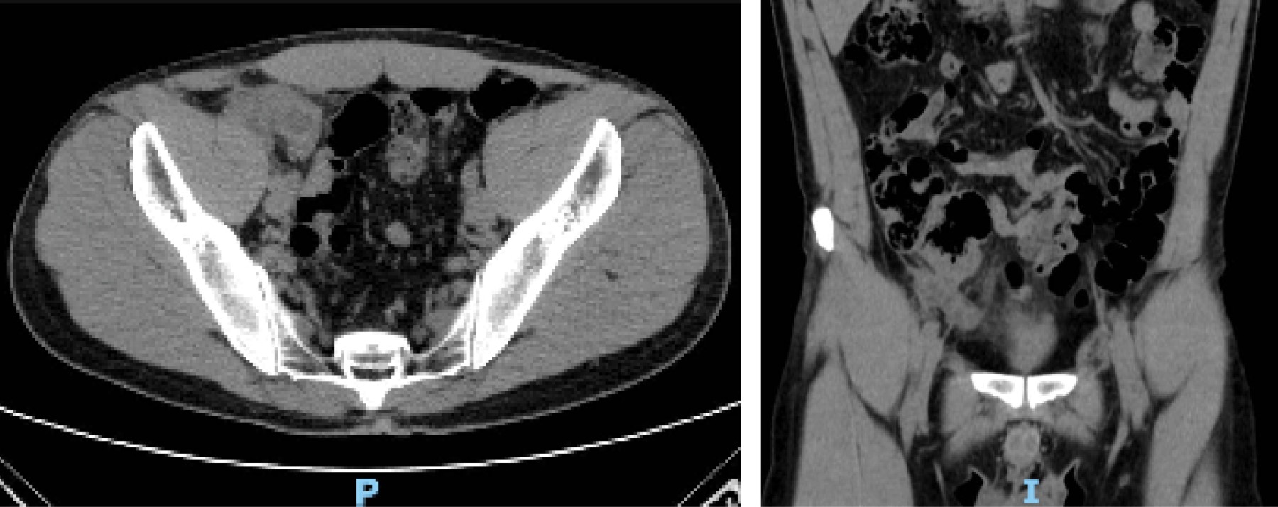
Introduction: appendicular neoplasms represent 1% of all colorectal cancers, one of the histological variants is appendiceal mucinous neoplasm, formerly known as mucocele. The clinical presentation is largely similar to that of acute appendicitis, so its preoperative diagnosis is rare. Clinically, patients present different symptomatology depending on the stage they are in, the most common manifestations are pain in the right iliac fossa, fever, palpable mass, abdominal distension, weight loss, anemia, chronic abdominal pain, infertility, among others. The defining pathologic characteristic of evidence of low-grade appendiceal mucinous neoplasm (LAMN) is invasion of the appendiceal wall, the presence of irregularity in the wall of the observed and the increase in thickness of the soft tissues can predict the malignancy of the tumor. Peritoneal involvement at the time of diagnosis can be up to 53%. The possibility of disease progression to pseudomyxoma peritoneal exists if dissemination occurs by rupture of the lesion and release of mucin into the peritoneal cavity. The treatment of LAMN always requires surgical management and the use of hyperthermic intraoperative chemotherapy in case of peritoneal involvement is still under debate. Case presentation: this case deals with a patient, 41 years old, who after three months with abdominal pain in the right iliac fossa, is taken to the operating room for a diagnostic laparoscopy due to the suspicion of a mucinous neoplasm, no mucinous lesions were found, an appendectomy plus cecectomy was performed. With stapler, pathology reported LAMN with serial involvement (pT4) and at six months a control laparoscopy with no evidence of mucinous lesions. The involvement of the serosa opened the discussion on whether hyperthermic intraperitoneal chemotherapy is necessary when there are no visible mucinous lesions and there was no mucin contamination. Conclusions: the literature to date has no clear evidence on the prognosis of this type of injury and whether it is useful or not. The challenge of this diagnosis will be to have a multicenter prospective study that allows the development of care protocols with strategic treatments.


REFERENCES

  1. Tejani MA, ter Veer A, Milne D, Ottesen R, Bekaii-Saab T, Benson AB et al. Systemic therapy for advanced appendiceal adenocarcinoma: an analysis from the NCCN Oncology Outcomes Database for colorectal cancer. J Natl Compr Canc Netw. 2014; 12: 1123-1130.

  2. NCCN Clinical Practice Guidelines in Oncology (NCCN Guidelines). 2020 version 4.2020-June 15 2020.

  3. Shaib WL, Assi R, Shamseddine A, Alese OB, Staley C 3rd, Memis B et al. Appendiceal mucinous neoplasms: diagnosis and management. Oncologist. 2017; 22: 1107-1116.

  4. Valasek MA, Pai RK. An update on the diagnosis, grading, and staging of appendiceal mucinous neoplasms. Adv Anat Pathol. 2018; 25: 38-60.

  5. Ning S, Yang Y, Wang C, Luo F. Pseudomyxoma peritonei induced by low-grade appendiceal mucinous neoplasm accompanied by rectal cancer: a case report and literature review. BMC Surg. 2019; 19: 42.

  6. Li X, Zhou J, Dong M, Yang L. Management and prognosis of low-grade appendiceal mucinous neoplasms: A clinicopathologic analysis of 50 cases. European Journal of Surgical Oncology. 2018; 44 (10): 1640-1645. doi: 10.1016/j.ejso.2018.06.037.

  7. Hegg KS, Mack LA, Bouchard-Fortier A, Temple WJ, Gui X. Macroscopic and microscopic characteristics of low grade appendiceal mucinous neoplasms (LAMN) on appendectomy specimens and correlations with pseudomyxoma peritonei development risk. Ann Diagn Pathol. 2020; 48: 151606. doi: 10.1016/j.anndiagpath.2020.151606.

  8. Nutu OA, Marcacuzco Quinto AA, Manrique Municio A, Justo Alonso I, Calvo Pulido J, García-Conde M et al. Tumores mucinosos del apéndice: incidencia, diagnóstico y tratamiento quirúrgico. Cir Esp. 2017; 95: 321-327.

  9. Misdraji J, Yantiss RK, Graeme-Cook FM, Balis UJ, Young RH. Appendiceal mucinous neoplasms: a clinicopathologic analysis of 107 cases. Am J Surg Pathol. 2003; 27 (8): 1089-103. doi: 10.1097/00000478-200308000-00006.

  10. Van Hooser A, Williams TR, Myers DT. Mucinous appendiceal neoplasms: pathologic classification, clinical implications, imaging spectrum and mimics. Abdom Radiol (NY). 2018; 43: 2913-2922.

  11. Rich B, Roychoudhury S, Williamson AK, Glick RD. Pediatric mucinous neoplasm of the appendix presenting as a mucocele: A case report and review of the literature. J Pediatr Surg Case Rep. 2017; 17: 11-14.

  12. Faris JE, Ryan DP. Controversy and consensus on the management of patients with pseudomyxoma peritonei. Curr Treat Options Oncol. 2013; 14: 365-373. doi: 10.1007/s11864-013-0240-x.




Figure 1
Figure 2
Figure 3
Figure 4

2020     |     www.medigraphic.com

Mi perfil

C?MO CITAR (Vancouver)

Rev Mex Cir Endoscop. 2022;23