medigraphic.com
SPANISH

Cirugía Plástica

ISSN 2992-8559 (Electronic)
ISSN 1405-0625 (Print)
  • Contents
  • View Archive
  • Information
    • General Information        
    • Directory
  • Publish
    • Instructions for authors        
    • Send manuscript
  • Policies
    • Políticas éticas
    • Políticas de acceso abierto
    • Políticas de revisión de manuscritos
    • Políticas editoriales generales
  • medigraphic.com
    • Home
    • Journals index            
    • Register / Login
  • Mi perfil

2023, Number 1

<< Back Next >>

Cir Plast 2023; 33 (1)

Anaplastic giant cell lymphoma associated with breast implants+

Ramos-Gallardo GO, Carballo-Zarate AA, Cuenca-Pardo J, Vélez-Benítez E, Contreras-Bulnes L, Bucio-Duarte JJ, Iribarren-Moreno R, Torres-Rivero C, Parra-Esquivel MÁ, Contreras-Dorantes AR, Pantoja-Ludueña ME, Lozano-Téllez S, García-Velasco M, Zamora-González AR
Full text How to cite this article 10.35366/110922

DOI

DOI: 10.35366/110922
URL: https://dx.doi.org/10.35366/110922

Language: Spanish
References: 14
Page: 36-44
PDF size: 581.5 Kb.


Key words:

anaplastic giant cell lymphoma, breast implants, adverse event, chronic seroma, breast implant-associated lymphoma, patient safety.

ABSTRACT

For seven years, the Mexican Association of Plastic, Aesthetic and Reconstructive Surgery has kept a record of suspected cases of giant cell anaplastic lymphoma associated with breast implants. Several samples have been received from the interior of the country. Previously, two cases were acknowledged and at present we know of more cases and one case of anaplastic giant cell lymphoma associated with a gluteal implant. We carried out a retrospective study of the cases received in a seven-year period as suspicious of anaplastic giant cell lymphoma associated to breast implant to the Safety Committee of the Mexican Association of Aesthetic and Reconstructive Plastic Surgery. We studied samples in 87 cases that were suspicious and reported eight cases that were positive. The findings related to the presence of disease and prognosis are like those previously described in medical literature. The lack of diagnosis may be a cause that explains the low cases incidence that was reported. In 2014, the Safety Committee of the Mexican Association of Plastic, Aesthetic and Reconstructive Surgery was created. This committee has carried out research and made compilations regarding breast implants; as well as, performed several actions to generate knowledge and understanding of anaplastic lymphoma within our medical community to promote intentional search for this diagnosis in patients with clinical data that could suggest its presence. Therefore, a probable lack of diagnosis may not be the only cause of the low incidence of anaplastic lymphoma in Mexico. We concluded that the cause is multifactorial, specific data indicate that the type of implant surface is directly related to its incidence; however, more genetic factors and geographical differences have been identified, which could explain the variability in its incidence in different parts of the world.


REFERENCES

  1. Rastogi P, Riordan E, Moon D, Deva AK. Theories of etiopathogenesis of breast implant-associated anaplastic large cell lymphoma. Plast Reconstr Surg 2019; 143: 23S-29S.

  2. Collett DJ, Rakhorst H, Lennox P, Magnusson M et al. Current risk estimate of breast implant-associated anaplastic large cell lymphoma in textured breast implants. Plast Reconstr Surg 2019; 143: 30S-40S.

  3. Clemens MW, Jacobsen ED, Horwitz SM. 2019 NCCN Consensus Guidelines on the Diagnosis and Treatment of Breast Implant-Associated Anaplastic Large Cell Lymphoma (BIA-ALCL). Aesthetic Surg J 2019; 39: S3-S13.

  4. Keech JA Jr, Creech BJ. Anaplastic T-cell lymphoma in proximity to a saline-filled breast implant. Plast Reconstr Surg 1997; 100: 554-555.

  5. Clemens MW, Brody GS, Mahabir RC, Miranda RN. How to diagnose and treat breast implant-associated anaplastic large cell lymphoma. Plast Reconstr Surg 2018; 141: 586e-599e.

  6. Deva AK, Adams WP Jr, Vickery K. The role of bacterial biofilms in device-associated infection. Plast Reconstr Surg 2013; 132: 1319-1328.

  7. Loch-Wilkinson A, Beath KJ, Knight RJW, Wessels WLF et al. Breast implant-associated anaplastic large cell lymphoma in Australia and New Zealand: high-surface-area textured implants are associated with increased risk. Plast Reconstr Surg 2017; 140: 645-654.

  8. Ramos-Gallardo G, Cuenca-Pardo J. Is Latin America ready to identify anaplastic large cell lymphoma in breast implants patients? Regional Encounter During the National Plastic Surgery Meeting in Cancun, Mexico. Aesthetic Plast Surg 2018; 42 (5):1421-1428.

  9. Oishi N, Miranda RN, Feldman AL. Genetics of breast implant-associated anaplastic large cell lymphoma (BIA-ALCL). Aesthetic Surg J 2019; 39: S14-S20.

  10. Ylstra B, Los-de Vries GT, de Boer M, van Dijk E et al. Specific genetic alterations characterize seroma- and tumor-type breast-implant associated anaplastic large cell lymphoma (BIA-ALCL) as a distinct disease entity. Hematol Oncol 2019; 37: 201-202.

  11. Ramos-Gallardo G, Cuenca-Pardo J, Rodriguez-Olivares E, Iribarren-Moreno R et al. Breast implant and anaplastic large cell lymphoma meta-analysis. J invest Surg 2017; 30: 56-65.

  12. Van Natta BW. Determining the true incidence of breast implant-associated anaplastic large cell lymphoma (BIA-ALCL): the need for accurate data. Aesthet Surg J 2019; 39 (6): NP230-NP231.

  13. Arredondo A, Azar A, Recaman AL. Diabetes, a global public health challenge with a high epidemiological and economic burden on health systems in Latin America. Glob Public Health 2018; 13: 780-787.

  14. Irino T, Takeuchi H, Terashima M, Wakai T, Kitagawa Y. Gastric cancer in Asia: unique features and management. Am Soc Clin Oncol Educ Book 2017; 37: 279-291.




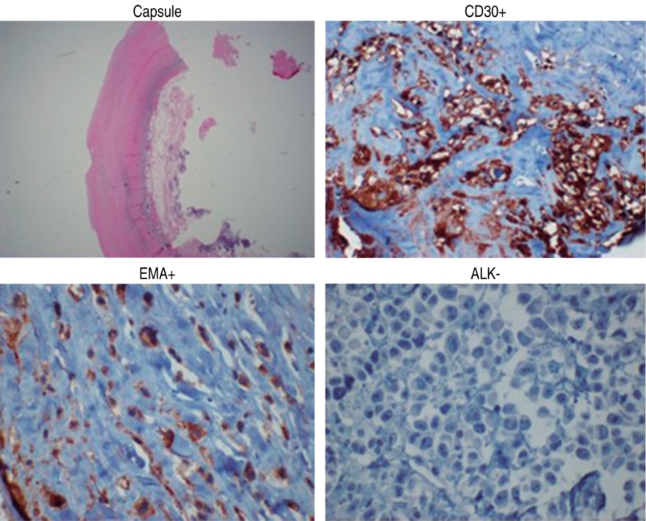
Figure 1
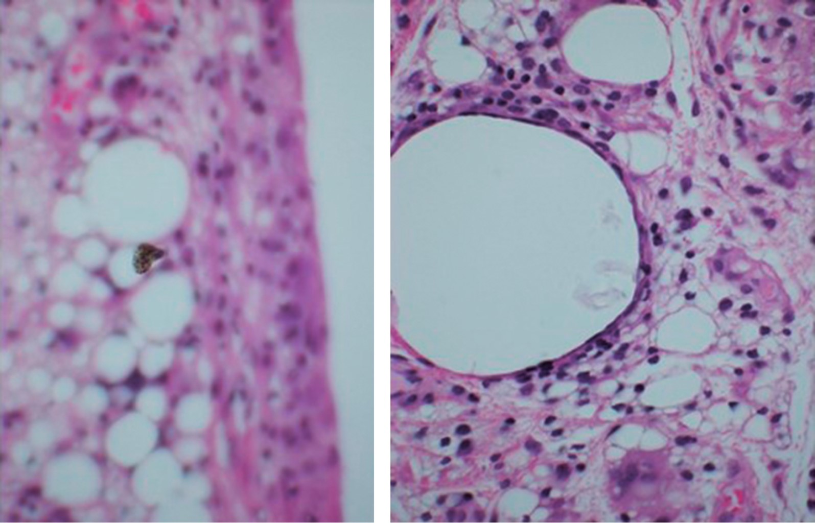
Figure 2
Figure 3

2020     |     www.medigraphic.com

Mi perfil

C?MO CITAR (Vancouver)

Cir Plast. 2023;33