medigraphic.com
SPANISH

Acta Ortopédica Mexicana

ISSN 2992-8036 (Electronic)
ISSN 2306-4102 (Print)
Órgano Oficial del Colegio Mexicano de Ortopedia y Traumatología
  • Contents
  • View Archive
  • Information
    • General Information        
    • Directory
  • Publish
    • Instructions for authors        
  • medigraphic.com
    • Home
    • Journals index            
    • Register / Login
  • Mi perfil

2022, Number 5

<< Back Next >>

Acta Ortop Mex 2022; 36 (5)

Periosteosynthesis subtrochanteric fractures after fixation of femoral neck fractures with cannulated screws

Mifsut-Miedes D, Rodríguez-Collell J
Full text How to cite this article 10.35366/111164

DOI

DOI: 10.35366/111164
URL: https://dx.doi.org/10.35366/111164

Language: Spanish
References: 28
Page: 297-302
PDF size: 212.07 Kb.


Key words:

subtrochanteric periosteosynthesis fracture, femoral neck, cannulated screws, complication, subcapital, risk factors.

ABSTRACT

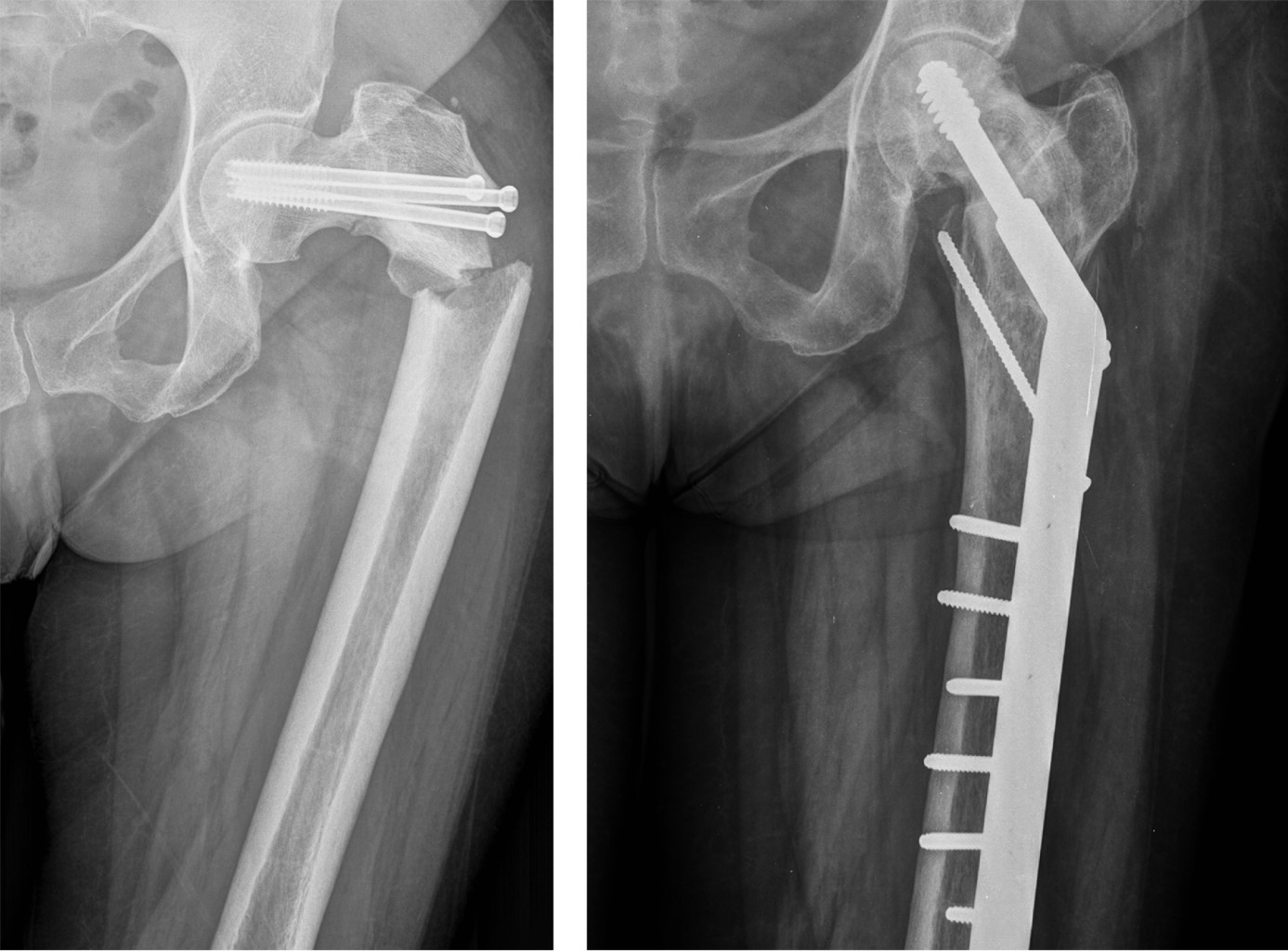
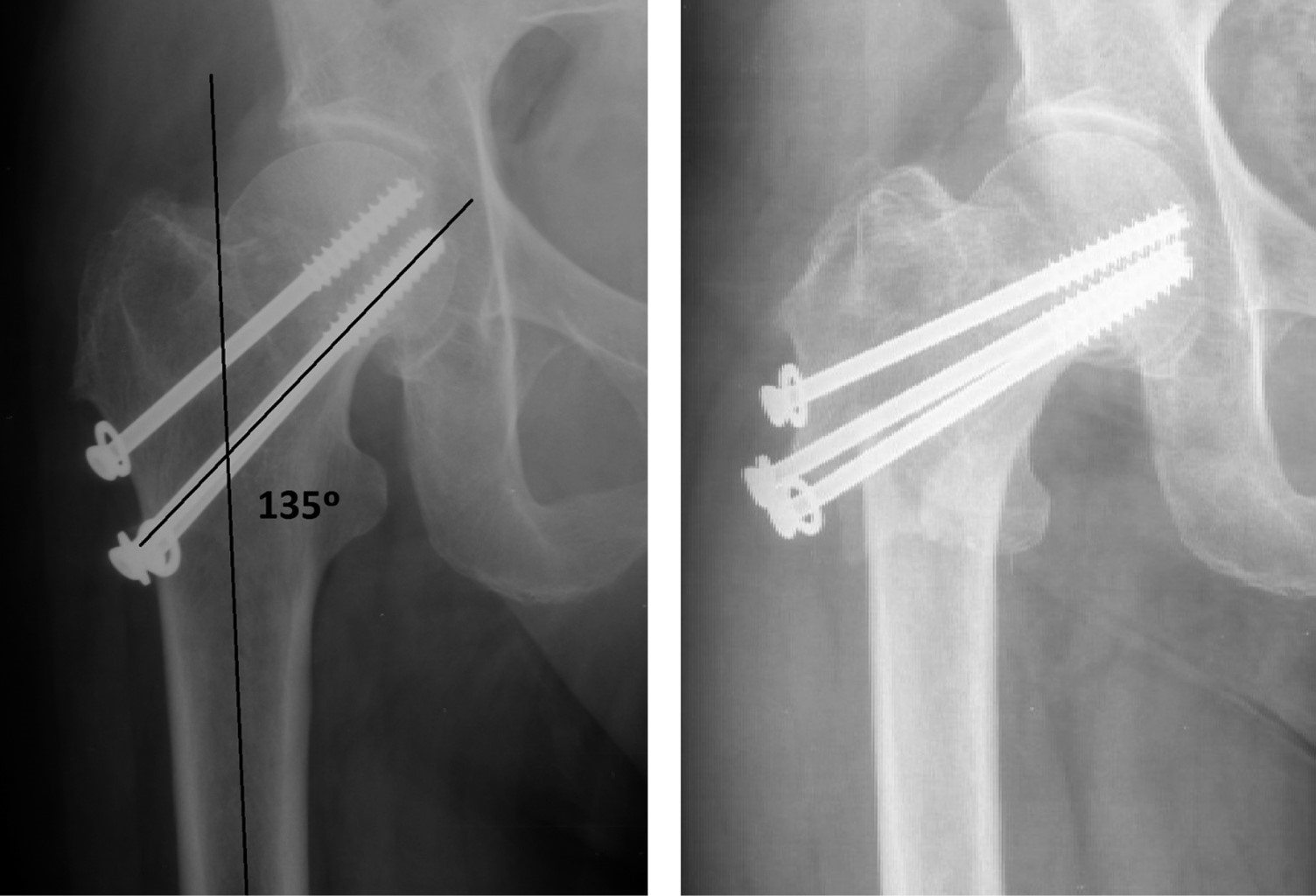
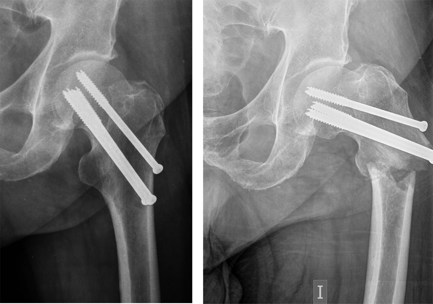
Introduction: the objective of this study was to analyze the incidence and predisposing factors in subtrochanteric fractures on hips previously treated with cannulated screws after suffering a subcapital fracture, based on eight cases registered in the last 20 years. Material and methods: this is a retrospective observational study on a series of patients with a diagnosis of subtrochanteric hip fracture, who have been treated in recent months for a subcapital fracture of the same hip by osteosynthesis with cannulated screws. The study period was 20 years (2000-2020). Results: of the eight cases, five were women and three were men, with a mean age of 75.12 years (range 59-87 years). In all cases, the subtrochanteric fracture occurred within a year after the first fracture, the time elapsed between the two fractures was four months on average (range 1-9 months). Regarding the disposition of the cannulated screws, most of the 7/8 cases were in the shape of an upper vertex triangle, and only one case was in the shape of an inverted triangle or lower vertex. The entry point into the femoral external cortex was at the level of the lesser trochanter in six cases, and in two cases this entry was distal to the lesser trochanter. Conclusion: in our experience, in the etiology of subtrochanteric fractures, the introduction of screws distal to the lesser trochanter, and the distribution of the screws in a triangular shape are the two main objective predisposing factors.


REFERENCES

  1. Asnis SE, Wanek-Sgaglione L. Intracapsular fractures of the femoral neck. Results of cannulated screw fixation. J Bone Joint Surg Am. 1994; 76: 1793-803.

  2. Parker MJ, Blundell C. Choice of implant for internal fixation of femoral neck fractures. Meta-analysis of 25 randomised trials including 4.925 patients. Acta Orthop Scand. 1998; 69: 138-43.

  3. Elmerson S, Andersson GB, Pope MH, Zetterberg C. Stability of fixation in femoral neck fractures. Comparison of four fixation devices in vivo and in cadavers. Acta Ortop Scand. 1987; 58: 109-12.

  4. Blair B, Koval KJ, Kummer F, Zuckerman JD. Basicervical fractures of the proximal femur. A biomechanical study of 3 internal fixation techniques. Clin Orthop Relat Res. 1994; (306): 256-63.

  5. Chen WC, Yu SW, Tseng IC, Su JY, Tu YK, Chen WJ. Treatment of undisplaced femoral neck fractures in the elderly. J Trauma. 2005; 58(5): 1035-9; discussion 1039.

  6. Cobb AG, Gibson PH. Screw fixation of subcapital fractures of the femur, a better method of treatment? Injury. 1986; 17: 259-64.

  7. Lu-Yao GL, Keller RB, Littenberg B, Wennberg JE. Outcomes after displaced fractures of the femoral neck. A meta-analysis of one hundred and six published reports. J Bone Joint Surg Am. 1994; 76: 15-25.

  8. Parker MJ, Pryor GA. Treatment of undisplaced subcapital fractures. J R Coll Surg Edinb. 1992; 37: 263-64.

  9. Pelet S, Leyvraz PF, Garofalo R, Borens O, Mouhsine E. Sub- or intertrochanteric fracture following screw fixation of an intracapsular proximal femoral fracture: true complication or technical error? Swiss Surg. 2003; 9(2): 82-6.

  10. Kloen P, Rubel IF, Lyden JP, Helfet DL. Subtrochanteric fracture after cannulated screw fixation of femoral neck fractures: a report of four cases. J Orthop Trauma. 2003; 17: 225-29.

  11. Neumann L. Subtrochanteric fractures following Gouffon pinning of subcapital femoral fractures. Injury. 1990; 21(6): 366-8.

  12. Laohapoonrungsee A, Sirirungruangsarn Y, Apivatthakakul T, Wongtreerachtanachai P. Treatment of femoral fracture through the sliding screw portal following fixation of the femoral neck fracture. J Med Assoc Thai. 2007; 90(6): 1234-8.

  13. Karr RK, Schwab JP. Subtrochanteric fracture as a complication of proximal femoral pinning. Clin Orthop Relat Res. 1985; (194): 214-7.

  14. Viveros-García JC, Torres-Gutiérrez JL, Alarcón-Alarcón T, et al. Fractura de cadera por fragilidad en México: ¿En dónde estamos hoy? ¿Hacia dónde queremos ir? Acta Ortop Mex. 2018; 32(6): 334-41. doi: 10.35366/85427.

  15. Karaeminogullari O, Demirors H, Sahin O, Ozalay M, Ozdemir N, Tandogan RN. Analysis of outcomes for surgically treated hip fractures in patients undergoing chronic hemodialysis. J Bone Joint Surg Am. 2007; 89(2): 324-31.

  16. Andrew TA, Thorogood M. Subtrochanteric fracture after Garden screw fixation: a review of predisposing factors and management in nine cases. Injury. 1984; 16: 169-77.

  17. Swiontkowski MF. Intracapsular fractures of the hip. J Bone Joint Surg Am. 1994; 76: 129-38.

  18. Selvan VT, Oakley MJ, Rangan A, Al-Lami MK. Optimum configuration of cannulated hip screw for the fixation of intracapsular hip fractures: a biomechanical study. Injury. 2004; 35: 136-41.

  19. Vélez M, Palacios-Barahona U, Arango-Posada MM, et al. Resultados funcionales y complicaciones del uso del clavo cefalomedular en el tratamiento de las fracturas de cadera. Acta Ortop Mex. 2018; 32(3): 126-30.

  20. Booth KC, Donaldson TK, Dai QG. Femoral neck fracture fixation: a biomechanical study of two cannulated screw placement techniques. Orthopedics. 1998; 21: 1173-6.

  21. Van Audekercke R, Martens M, Mulier JC, Stuyck J. Experimental study on internal fixation of femoral neck fractures. Clin Orthop Relat Res. 1979; (141): 203-12.

  22. Gurusamy K, Parker MJ, Rowlands TK. The complications of displaced intracapsular fractures of the hip: the effect of screw positioning and angulation on fracture healing. J Bone Joint Surg Br. 2005; 87: 632-4.

  23. Walker E, Mukherjee DP, Ogden AL, Sadasivan KK, Albright JA. A biomechanical study of simulated femoral neck fracture fixation by cannulated screws: effects of placement angle and number of screws. Am J Orthop (Belle Mead NJ). 2007; 36(12): 680-4.

  24. Brooks DB, Burstein AH, Frankel VH. The biomechanics of torsional fractures. The stress concentration effect of a drill hole. J Bone Joint Surg Am. 1970; 52: 507-14.

  25. Oakey JW, Stover MD, Summers HD, Sartori M, Havey RM, Patwardhan AG. Does screw configuration affect subtrochanteric fracture after femoral neck fixation? Clin Orthop Relat Res. 2006; 443: 302-6.

  26. Levi N, Ingles A Jr, Klyver H, Iversen BF. Fracture of the femoral neck: optimal screw position and bone density determined by computer tomography. Injury. 1996; 27(4): 287-9.

  27. Howard CB, Davies RM. Subtrochanteric fracture after Garden screw fixation of subcapital fractures. J Bone Joint Surg Br. 1982; 64: 565-7.

  28. Izaguirre A, Delgado I, Mateo-Troncoso C, et al. Rehabilitación de las fracturas de cadera. Revisión sistemática. Acta Ortop Mex. 2018; 32(1): 28-35.



EVIDENCE LEVEL

IV




Figure 1
Figure 2
Figure 3
Figure 4
Figure 5
Figure 6
Figure 7
Table 1

2020     |     www.medigraphic.com

Mi perfil

C?MO CITAR (Vancouver)

Acta Ortop Mex. 2022 Sep-Oct;36