medigraphic.com
SPANISH

Acta Médica Grupo Ángeles

Órgano Oficial del Hospital Ángeles Health System
  • Contents
  • View Archive
  • Information
    • General Information        
    • Directory
  • Publish
    • Instructions for authors        
    • Manuscript submission
    • Policies
    • Names and affiliations of the Editorial Board
  • About us
    • Data sharing policy
    • Stated aims and scope
  • medigraphic.com
    • Home
    • Journals index            
    • Register / Login
  • Mi perfil

2023, Number 3

<< Back Next >>

Acta Med 2023; 21 (3)

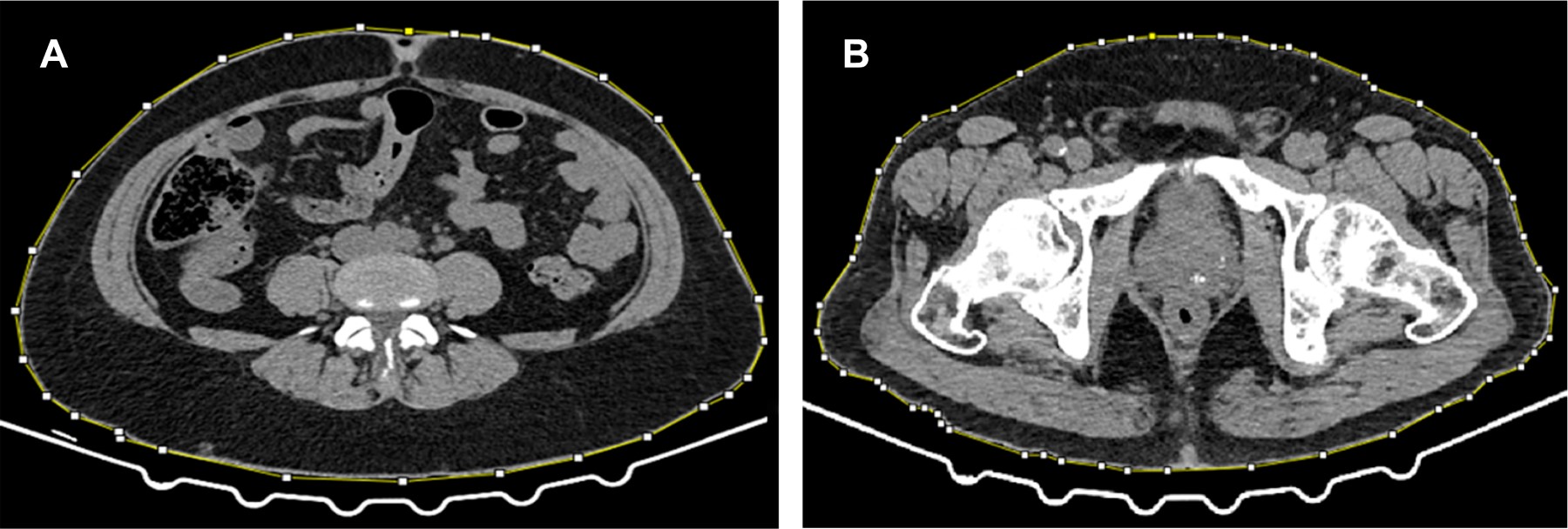
Comparison of visceral and subcutaneous adipose tissue of patients with hepatic steatosis in a Mexican population by axial computed tomography

Domínguez RB, González VC, Figueroa GJ
Full text How to cite this article 10.35366/111342

DOI

DOI: 10.35366/111342
URL: https://dx.doi.org/10.35366/111342

Language: Spanish
References: 13
Page: 222-226
PDF size: 193.00 Kb.


Key words:

hepatic steatosis, visceral adipose tissue, subcutaneous adipose tissue.

ABSTRACT

Introduction: obesity, specifically visceral fat accumulation, has been related to metabolic diseases, such as hepatic steatosis. The study aims to compare the visceral and subcutaneous compartments of patients with hepatic steatosis to those with high waist circumference by computed tomography. Material and methods: an observational, cross-sectional, and analytical study was carried out in the Radiology and Imaging department of Hospital Angeles Mocel. Abdominal computed tomography studies of two groups of patients were analyzed. The umbilical level was identified to calculate visceral and subcutaneous fat area and the calculation of waist and hip circumference and waist/hip ratio. Results: there are statistically significant differences in excess visceral fat in patients with steatosis compared to patients with increased waist circumference. Conclusion: most of the patients with hepatic steatosis have visceral obesity by computed tomography, which is why it is a risk factor for its presentation.


REFERENCES

  1. Maurice J, Manousou P. Non-alcoholic fatty liver disease. Clin Med. 2018; 18 (3): 245-250.

  2. Caballería L, Torán P. Epidemia de esteatosis hepática: un análisis desde la atención primaria. Aten Primaria. 2019; 51 (9): 525-526.

  3. Briseño-Bass P, Chávez-Pérez R, López-Zendejas M. Prevalencia y relación de esteatosis hepática con perfil lipídico y hepático en pacientes de chequeo médico. Rev Gastroenterol Méx. 2019; 84 (3): 290-295. Disponible en: http://www.revistagastroenterologiamexico.org/es-pdf-S0375090618301617

  4. Aguilera-Méndez A. Esteatosis hepática no alcohólica: una enfermedad silente. Rev Med Inst Mex Seguro Soc. 2018; 56 (6): 544-549.

  5. Domínguez-Reyes T, Quiroz-Vargas I, Salgado-Bernabé AB, Salgado-Goytia L, Muñoz-Valle JF, Parra-Rojas I. Las medidas antropométricas como indicadores predictivos de riesgo metabólico en una población mexicana. Nutr Hosp. 2017; 34 (1): 96. Disponible en: https://www.redalyc.org/pdf/3092/309249952015.pdf

  6. Sottier D, Petit J-M, Guiu S, Hamza S, Benhamiche H, Hillon P et al. Quantification of the visceral and subcutaneous fat by computed tomography: interobserver correlation of a single slice technique. Diagn Interv Imaging. 2013; 94 (9): 879-884. Available in: https://pubmed.ncbi.nlm.nih.gov/23725783/

  7. Pérez MJ, Cabrera PW, Moreiras GV, Aza MG. Distribución regional de la grasa corporal: Uso de técnicas de imagen como herramienta de diagnóstico nutricional. Nutr Hosp. 2010; 25 (2): 207-223. Disponible en: https://dialnet.unirioja.es/servlet/articulo?codigo=3179903

  8. Ryo M, Kishida K, Nakamura T, Yoshizumi T, Funahashi T, Shimomura I. Clinical significance of visceral adiposity assessed by computed tomography: a Japanese perspective. World J Radiol. 2014; 6 (7): 409-416. Available in: http://dx.doi.org/10.4329/wjr.v6.i7.409

  9. Jang S, Lee CH, Choi KM, Lee J, Choi JW, Kim KA et al. Correlation of fatty liver and abdominal fat distribution using a simple fat computed tomography protocol. World J Gastroenterol. 2011; 17 (28): 3335-3341. Available in: http://dx.doi.org/10.3748/wjg.v17.i28.3335

  10. Sogabe M, Okahisa T, Tsujigami K, Fukuno H, Hibino S, Yamanoi A. Visceral fat predominance is associated with non-alcoholic fatty liver disease in Japanese women with metabolic syndrome. Hepatol Res. 2014; 44 (5): 515-522. Available in: https://pubmed.ncbi.nlm.nih.gov/23617326/

  11. Ogawa H, Fujitani K, Tsujinaka T, Imanishi K, Shirakata H, Kantani A et al. InBody 720 as a new method of evaluating visceral obesity. Hepatogastroenterology. 2011; 58 (105): 42-44. Available in: https://pubmed.ncbi.nlm.nih.gov/21510284/

  12. Ko YH, Wong TC, Hsu YY, Kuo KL, Yang SH. The correlation between body fat, visceral fat, and nonalcoholic fatty liver disease. Metab Syndr Relat Disord. 2017; 15 (6): 304-311. Available in: https://pubmed.ncbi.nlm.nih.gov/28481662/

  13. Eguchi Y, Eguchi T, Mizuta T, Ide Y, Yasutake T, Iwakiri R et al. Visceral fat accumulation and insulin resistance are important factors in nonalcoholic fatty liver disease. J Gastroenterol. 2006; 41 (5): 462-469. Available in: https://pubmed.ncbi.nlm.nih.gov/16799888/




Figure 1
Figure 2
Table 1
Table 2

2020     |     www.medigraphic.com

Mi perfil

C?MO CITAR (Vancouver)

Acta Med. 2023;21