medigraphic.com
SPANISH

Acta Médica Grupo Ángeles

Órgano Oficial del Hospital Ángeles Health System
  • Contents
  • View Archive
  • Information
    • General Information        
    • Directory
  • Publish
    • Instructions for authors        
    • Manuscript submission
    • Policies
    • Names and affiliations of the Editorial Board
  • About us
    • Data sharing policy
    • Stated aims and scope
  • medigraphic.com
    • Home
    • Journals index            
    • Register / Login
  • Mi perfil

2023, Number 3

<< Back Next >>

Acta Med 2023; 21 (3)

Klatskin tumor: hilar cholangiocarcinoma

Sánchez GÁA, Ávila PMD, Gómez PMG
Full text How to cite this article 10.35366/111353

DOI

DOI: 10.35366/111353
URL: https://dx.doi.org/10.35366/111353

Language: Spanish
References: 2
Page: 273-275
PDF size: 177.12 Kb.


Key words:

Klatskin tumor, bile ducts, cholangiocarcinoma.

ABSTRACT

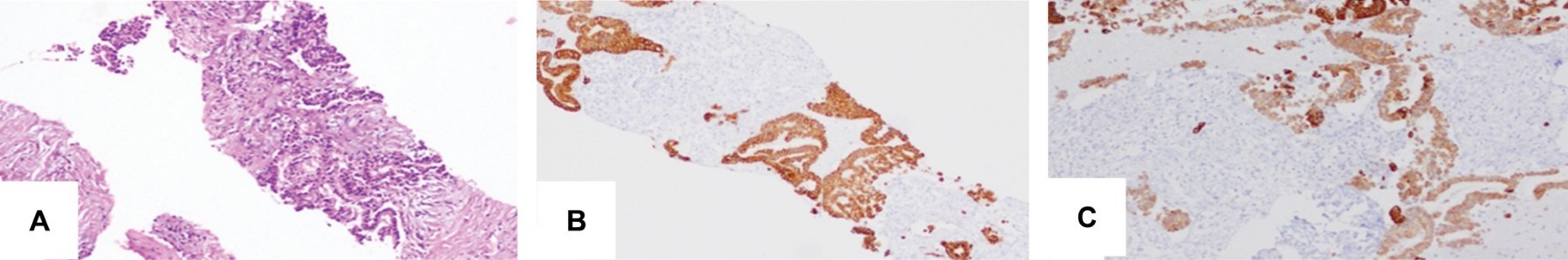
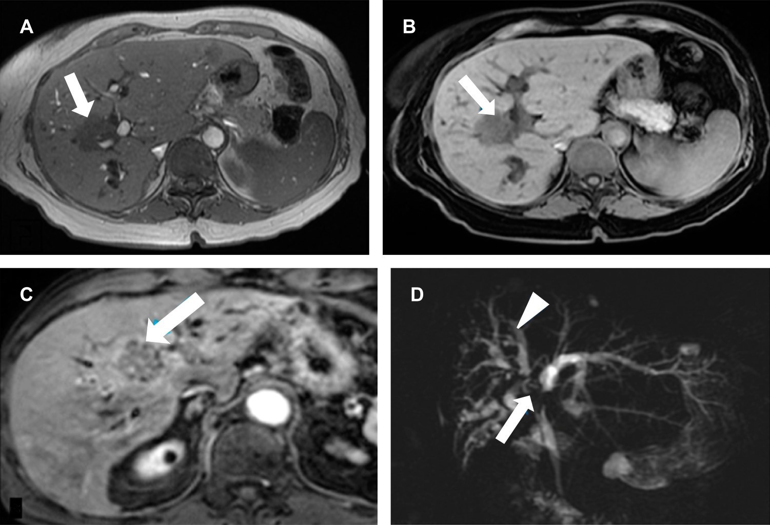
Cholangiocarcinoma is a neoplasm of the bile duct epithelium. Its frequency of appearance is low despite being the second most common primary liver cancer in the world (incidence 2%). Predominates in men have a poor prognosis and high mortality; survival in early stages is 40 months with surgery and 12 with advanced-stage chemotherapy. The low symptoms specificity at the presentation and local tumor infiltration at the time of diagnosis usually prevent the possibility of radical surgical resection. Suspicion of cholangiocarcinoma is based on signs of biliary obstruction and elevation of tumor markers (Ca 19-9). We will refer to a patient with cholangiocarcinoma of the hilar confluence (Klatskin tumor) and the magnetic resonance findings.


REFERENCES

  1. Joo I, Lee JM, Yoon JH. Imaging diagnosis of intrahepatic and perihilar cholangiocarcinoma: recent advances and challenges. Radiology. 2018; 288 (1): 7-13. Available in: https://doi.org/10.1148/radiol.2018171187

  2. Bosman FT. WHO classification of tumours of the digestive system. 4th ed. Lyon: International Agency for Research on Cancer, 2010. pp. 219-273.




Figure 1
Figure 2
Figure 3

2020     |     www.medigraphic.com

Mi perfil

C?MO CITAR (Vancouver)

Acta Med. 2023;21