medigraphic.com
SPANISH

Acta Médica Grupo Ángeles

Órgano Oficial del Hospital Ángeles Health System
  • Contents
  • View Archive
  • Information
    • General Information        
    • Directory
  • Publish
    • Instructions for authors        
    • Manuscript submission
    • Policies
    • Names and affiliations of the Editorial Board
  • About us
    • Data sharing policy
    • Stated aims and scope
  • medigraphic.com
    • Home
    • Journals index            
    • Register / Login
  • Mi perfil

2023, Number 3

<< Back Next >>

Acta Med 2023; 21 (3)

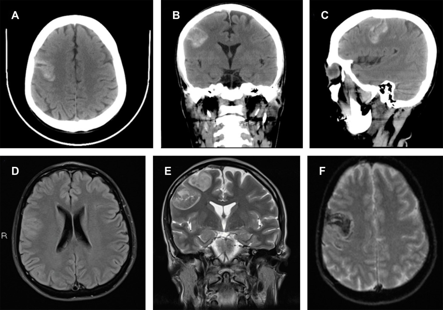
Debutant systemic lupus erythematosus with cerebral hemorrhage

Alcocer MJL, Domínguez CLG
Full text How to cite this article 10.35366/111354

DOI

DOI: 10.35366/111354
URL: https://dx.doi.org/10.35366/111354

Language: Spanish
References: 4
Page: 276-278
PDF size: 182.47 Kb.


Key words:

systemic lupus erythematous, cerebral hemorrhage.

ABSTRACT

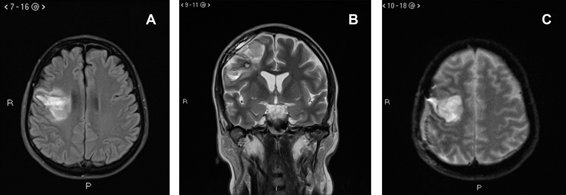
Introduction: systemic lupus erythematosus (SLE) is one of the most common autoimmune diseases; regarding its cerebrovascular effects, most reports indicate subarachnoid hemorrhage and rarely cerebral hemorrhage (CH). Case report: a 44-year-old female presented with non-traumatic cerebral hemorrhage (CH) as the debut of SLE. The patient was treated for CH, and coincidentally, multisystem involvement and severe thrombocytopenia were discovered, which allowed the diagnosis of SLE. Neuroimaging tests did not discover vascular malformations. Conclusions: CH is an uncommon presentation in SLE.


REFERENCES

  1. Vásconez-González E, Belén-López M, Cuchiparte D, Peláez K, Cano-Cevallos L, Ortiz-Prado E et al. Manifestaciones neurológicas del lupus eritematoso sistémico: revisión de literatura. Rev Ecuat Neurol. 2021; 30 (2): 76-82.

  2. Holmqvist M, Simard JF, Asplund K, Arkema EV. Stroke in systemic lupus erythematosus: a meta-analysis of population-based cohort studies. RMD Open. 2015; 1 (1): e000168.

  3. Gao N, Wang ZL, Li MT, Han SM, Dang YQ, Zhang FC et al. Clinical characteristics and risk factors of intracranial hemorrhage in systemic lupus erythematosus. Lupus. 2013; 22 (5): 453-460.

  4. Li J, Pan Z, Liu H, Ding F, Shu Q, Li X. Retrospective analysis of the risk of hemorrhage associated with moderate and severe thrombocytopenia of 173 patients with systemic lupus erythematosus. Medicine (Baltimore). 2018; 97 (27): e11356.




Figure 1
Figure 2

2020     |     www.medigraphic.com

Mi perfil

C?MO CITAR (Vancouver)

Acta Med. 2023;21