medigraphic.com
SPANISH

Acta Médica Grupo Ángeles

Órgano Oficial del Hospital Ángeles Health System
  • Contents
  • View Archive
  • Information
    • General Information        
    • Directory
  • Publish
    • Instructions for authors        
    • Manuscript submission
    • Policies
    • Names and affiliations of the Editorial Board
  • About us
    • Data sharing policy
    • Stated aims and scope
  • medigraphic.com
    • Home
    • Journals index            
    • Register / Login
  • Mi perfil

2023, Number 3

<< Back Next >>

Acta Med 2023; 21 (3)

Neurohistoplasmosis

Chamberlin VOC, Villasana RO, Murguía PM, Hernández JR
Full text How to cite this article 10.35366/111355

DOI

DOI: 10.35366/111355
URL: https://dx.doi.org/10.35366/111355

Language: Spanish
References: 4
Page: 279-281
PDF size: 309.50 Kb.


Key words:

magnetic resonance imaging, spectroscopy, lipid.

ABSTRACT

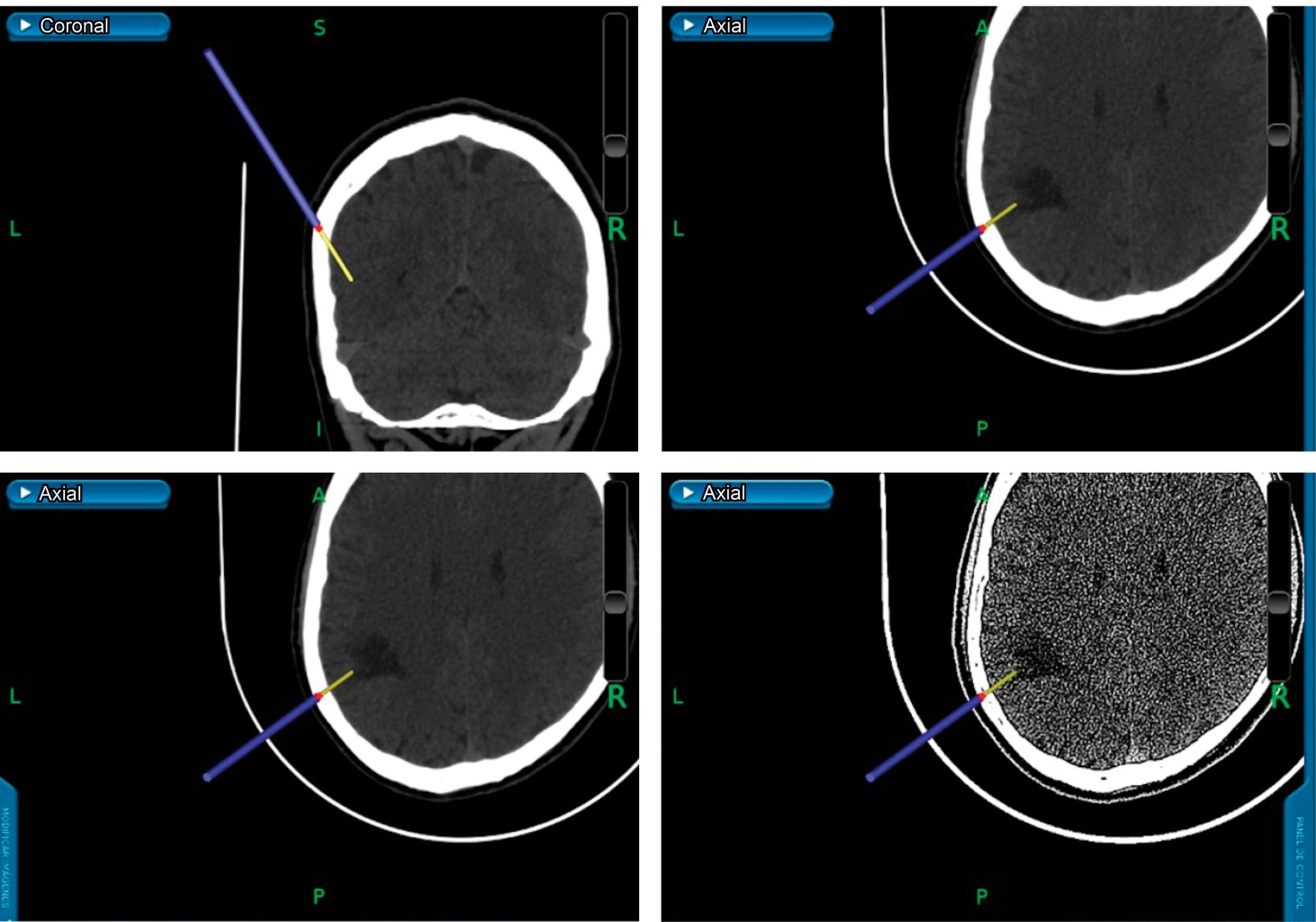
A 41-year-old male patient with a history of traveling to a cave, where he eats raw meat and has poor hygiene conditions. It begins with neurological symptoms, dizziness, dysarthria, difficulty identifying objects, and poor response to medical management. An MRI where a heterogeneous cystic tumor with a mural nodule was found; spectroscopy was performed, showing a lipid peak, suggesting an infectious process. An intervention was performed for stereotaxy, and it was sent to pathology, where they issued us the report of histoplasmosis.


REFERENCES

  1. Cano MV, Hajjeh RA. The epidemiology of histoplasmosis: a review. Semin Respir Infect. 2001; 16 (2): 109-118.

  2. Wheat LJ, Musial CE, Jenny-Avital E. Diagnosis and management of central nervous system histoplasmosis. Clin Infect Dis. 2005; 40 (6): 844-852.

  3. Levi GC, Pozzi CM, Hirschheimer SM, Chahade WH, Gomes HR, Granato C. Histoplasmose do sistema nervoso central como única manifestacao da doenca em pacientes imunocompetentes: apresentacao de dois casos [Central nervous system involvement by histoplasmosis as the unique manifestation of this disease in immunocompetent patients: presentation of two cases]. Arq Neuropsiquiatr. 2003; 61: 859-863.

  4. Saccente M, McDonnell RW, Baddour LM, Mathis MJ, Bradsher RW. Cerebral histoplasmosis in the azole era: report of four cases and review. South Med J. 2003; 96 (4): 410-416.




Figure 1
Figure 2
Figure 3

2020     |     www.medigraphic.com

Mi perfil

C?MO CITAR (Vancouver)

Acta Med. 2023;21