medigraphic.com
SPANISH

Acta Médica Grupo Ángeles

Órgano Oficial del Hospital Ángeles Health System
  • Contents
  • View Archive
  • Information
    • General Information        
    • Directory
  • Publish
    • Instructions for authors        
    • Manuscript submission
    • Policies
    • Names and affiliations of the Editorial Board
  • About us
    • Data sharing policy
    • Stated aims and scope
  • medigraphic.com
    • Home
    • Journals index            
    • Register / Login
  • Mi perfil

2023, Number 3

<< Back Next >>

Acta Med 2023; 21 (3)

Anorectal melanoma, a rare neoplasm

Serrato RJA, Suro SY, Ruiz YJA, Fuentes HJE, Sáenz HB
Full text How to cite this article 10.35366/111356

DOI

DOI: 10.35366/111356
URL: https://dx.doi.org/10.35366/111356

Language: Spanish
References: 3
Page: 282-284
PDF size: 170.92 Kb.


Key words:

melanoma, rectal neoplasm, adult, anal neoplasm, differential diagnosis.

ABSTRACT

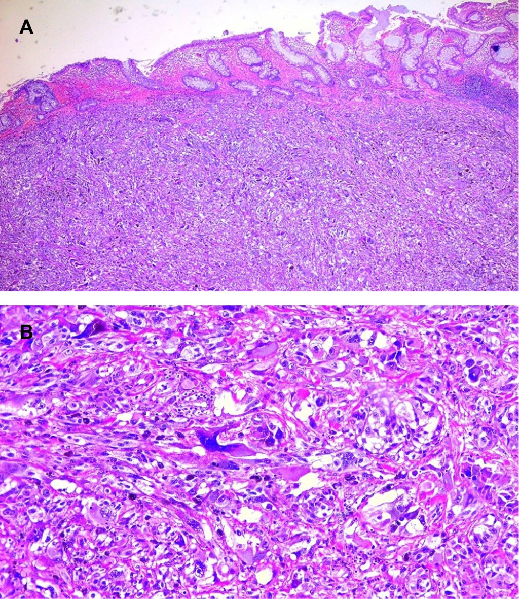
Anorectal melanoma is rare, with 0.4 to 1.6% of all melanomas and 0.5% of anorectal malignancies. Frequently confused with hemorrhoidal disease and polyps. A 53-year-old female with no previous history presented with a foreign body sensation in the anal region and rectorrhagia of two months' evolution. On proctologic examination, an indurated mass was detected in the left lateral region, 4 cm from the anal margin, and an examining glove came out with hematic debris. Colonoscopy reports a 2 cm pedunculated, friable, pigmented lesion located laterally in the dentate line. He underwent a wide local transanal resection (WLTR). Pathology reports malignant melanoma, positive resection margins, and in contact with neoplastic cells. She is subsequently treated with Nivolumab and adjuvant radiotherapy. The surgical options are WLTR and abdominoperineal resection (APR). Traditionally APR was considered the best option for locoregional control of the disease. However, recent studies report no difference in survival compared to WLTR. Most patients are diagnosed late in the disease; therefore, curative surgery is impossible.


REFERENCES

  1. de Meira Júnior JD, Sobrado LF, Guzela VM, Nahas SC, Sobrado CW. Anorectal mucosal melanoma: a case report and literature review. Am J Case Rep. 2021; 22: e933032.

  2. Malaguarnera G, Madeddu R, Catania VE, Bertino G, Morelli L, Perrotta RE et al. Anorectal mucosal melanoma. Oncotarget. 2018; 9 (9): 8785-8800.

  3. Mireia MR, Carlos CS. Anal melanoma: a rare perianal tumor with a poor prognosis. Dis Colon Rectum. 2020; 63 (5): 573-576.




Figure 1
Figure 2

2020     |     www.medigraphic.com

Mi perfil

C?MO CITAR (Vancouver)

Acta Med. 2023;21