medigraphic.com
SPANISH

Revista ADM Órgano Oficial de la Asociación Dental Mexicana

ISSN 0001-0944 (Print)
Órgano Oficial de la Asociación Dental Mexicana
  • Contents
  • View Archive
  • Information
    • General Information        
    • Directory
  • Publish
    • Instructions for authors        
    • Send manuscript
  • medigraphic.com
    • Home
    • Journals index            
    • Register / Login
  • Mi perfil

2023, Number 3

<< Back Next >>

Rev ADM 2023; 80 (3)

Solitary neurofibroma in upper maxillary. Unusual case report.

Gómez-Palma A, Matos-Marín AY
Full text How to cite this article 10.35366/111434

DOI

DOI: 10.35366/111434
URL: https://dx.doi.org/10.35366/111434

Language: Spanish
References: 11
Page: 160-164
PDF size: 280.53 Kb.


Key words:

neurofibroma, inmunochemical-histological, neurofibromatosis.

ABSTRACT

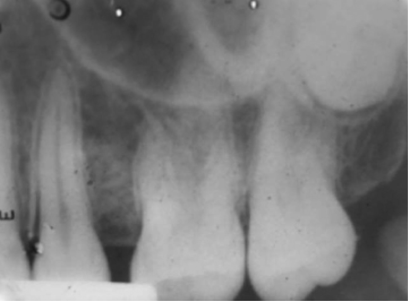
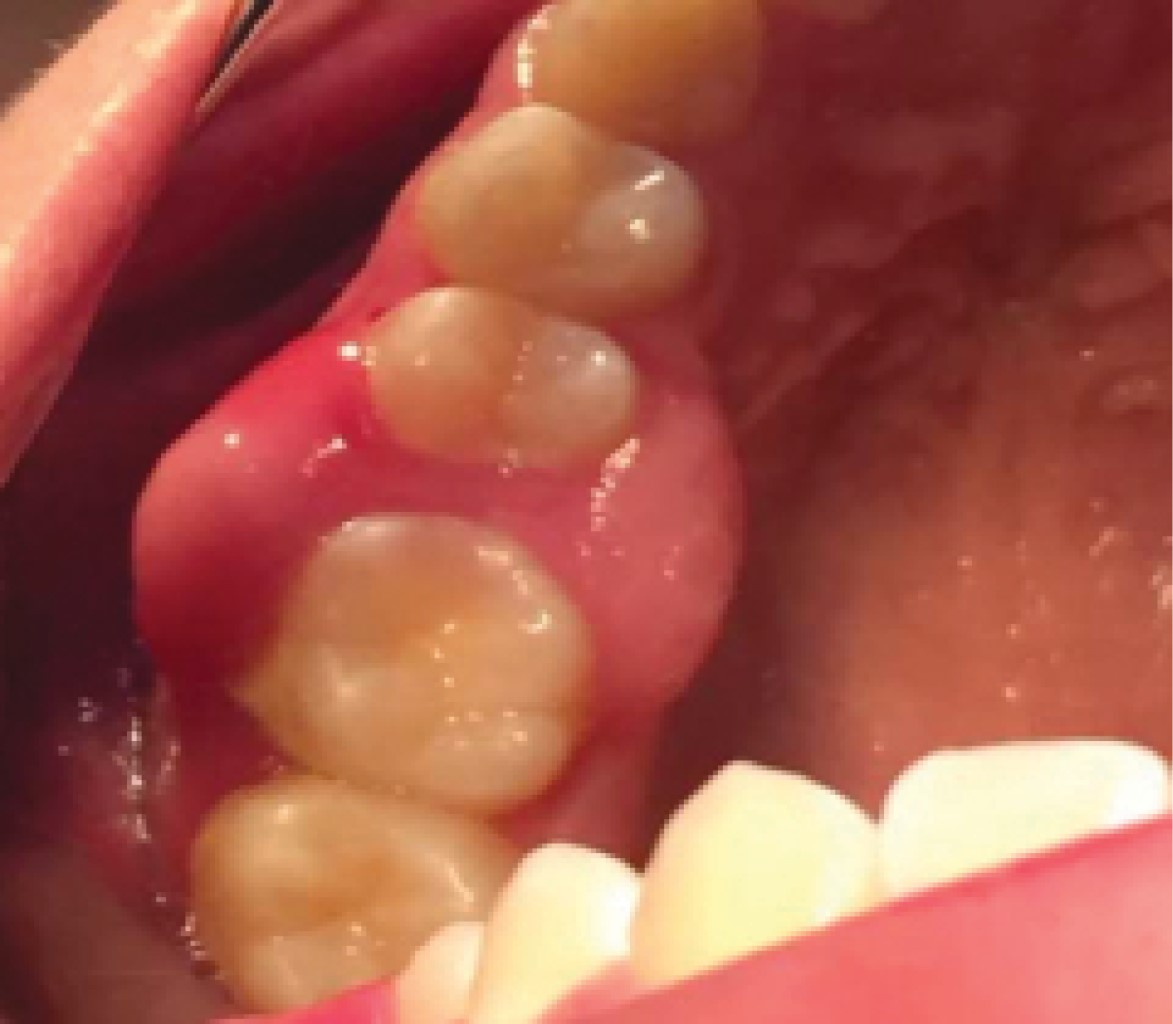
Solitary neurofibromas have been reported in the literature, but they are very rare cases. By definition they occur in patients who do not have Von Recklinghausen disease, which is inherited in an autosomal dominant manner; It occurs more frequently in men. It is a benign tumor that can appear solitary or multiple. Its appearance in the oral cavity is usually very rare, but its site of preference is the tongue, followed by the alveolar mucosa, palate, and gingival gingiva. They appear more frequently during the third decade of life, although cases from 10 months to 70 years of age are described. This report will present the clinical case of a 17-year-old female patient who came to the Centennial Dental Clinic for consultation presenting an elevated lesion covering part of the anatomical crowns in dental pieces in the left upper jaw and in the report. Neurofibroma was diagnosed from the Immunochemical-histological study, with S-100 expression. We consider the recognition of these intraoral growths of utmost importance in order to establish a true and truthful definitive diagnosis of the situation.


REFERENCES

  1. Vargas M, Arenas R. Enfermedad de Von Recklinghausen. Una visión actual de las neurofibromatosis. Dermatología CMQ. 2009; 7: 181-190.

  2. Fontana S, Menutti L, Borrego F, Ferreyra de Prato R, Corominas O. Neurofibroma solitario intrabucal. Reporte de un caso de manifestación poco frecuente. Rev Fac Cien Med Cordoba. 2020; 77 (1): 45-48.

  3. Patología de la mucosa oral. Disponible en: https://www.visitaodontologica.com/ARCHIVOS/PROTOCOLOS/patologia_mucosa.pdf

  4. Knevesic G, Bunaveric A, Knezevic F. Neurofibroma of the oral cavity. Br J Oral Surg. 1983; 21 (1): 36-43.

  5. Tao Q, Wang Y, Zheng C. Neurofibroma in the left mandible: a case report. Kaohsiung J Med Sci. 2010; 26 (4): 217-221.

  6. Guclu E, Tokmak A, Oghan F, Ozturk O, Egeli E. Hemimacroglossia caused by isolated plexiform neurofibroma: a case report. Laryngoscope. 2006; 116 (1): 151-153.

  7. Powell CA, Stanley CM, Bannister SR, McDonnell HT, Moritz AJ, Deas DE. Palatal neurofibroma associated with localized periodontitis. J Periodontol. 2006; 77 (2): 310-315.

  8. De Dios SM, Acosta HG. Guía de Inmunohistoquímica para técnicos. 1ª. Edición, Ciudad Autónoma de Buenos Aires: Instituto Nacional del Cáncer, 2018.

  9. Pollack RP. Neurofibroma of the palatal mucosa. A case report. J Periodontol. 1990; 61 (7): 456-458.

  10. De Pontes Santos HB, de Morais EF, Moreira DGL, Marinho LCN, Galvao HC, de Almeida Freitas R. Neurofibromas of the oral and maxillofacial complex: A 48-year retrospective study. J Cutan Pathol. 2020; 47 (3): 202-206.

  11. Carmona E. Neurofibromatosis tipo I con manifestaciones en el maxilar superior. Rev Ciencias Médicas Pinar del Río. 2016; 20 (2): 107-115.




Figure 1
Figure 2
Figure 3
Figure 4
Figure 5
Figure 6
Figure 7

2020     |     www.medigraphic.com

Mi perfil

C?MO CITAR (Vancouver)

Rev ADM. 2023;80