medigraphic.com
SPANISH

Cirujano General

ISSN 2594-1518 (Electronic)
ISSN 1405-0099 (Print)
  • Contents
  • View Archive
  • Information
    • General Information        
    • Directory
  • Publish
    • Instructions for authors        
    • Send manuscript
  • medigraphic.com
    • Home
    • Journals index            
    • Register / Login
  • Mi perfil

2023, Number 2

<< Back Next >>

Cir Gen 2023; 45 (2)

Perforated esophageal leiomyoma. Management in a Third Level Hospital

Reyes Morales, Juan Manuel1; Sánchez Reyes, Karina1
Full text How to cite this article 10.35366/111513

DOI

DOI: 10.35366/111513
URL: https://dx.doi.org/10.35366/111513

Language: English/Spanish [Versi?n en espa?ol]
References: 23
Page: 111-115
PDF size: 202.97 Kb.


Key words:

leiomyoma, mediastinitis, esophagus, surgery.

ABSTRACT

Introduction: leiomyomas are the most common benign tumors of the esophagus. Frequently found in the lower and middle third of the esophagus in 56 and 33% respectively. The incidence of presentation is between the third and fifth decade of life. The most frequent symptoms are dysphagia and epigastric pain, up to 50% of patients remain asymptomatic and the tumor is discovered by chance, however, on rare occasions due to the size of the tumor given the areas of intratumoral necrosis, debuting with perforation of the esophagus and mediastinitis. Due to the rarity of this condition, the cases reported in the literature dealing with its surgical management are scarce. The treatment of this pathology can range from simple surgical enucleation to an esophagectomy with or without reconstruction of the digestive tract. The aim of this paper is to report a clinical case of complicated esophageal leiomyoma. reporting our experience in the management of a giant esophageal leiomyoma associated with esophageal perforation and mediastinitis. Clinical case: the case of a 54-year-old female patient is presented with signs and symptoms related to mediastinitis secondary to esophageal perforation due to a previously undocumented giant leiomyoma that required emergency surgical management by esophagectomy. Conclusions: esophageal leiomyoma is a rare oncological entity that presents several diagnostic and therapeutic challenges. This becomes even more challenging when this pathology presents with a complication, such as mediastinitis. Rapid diagnosis and aggressive and timely treatment are the factors that have the greatest impact on the morbidity of the disease.



INTRODUCTION

Morgagni first described leiomyoma as a distinct gastrointestinal neoplasm in 1761, but Munro, in 1797, was the first to report a localized intramural leiomyoma of the esophagus.1-3 Much of what is known today about the histologic features of esophageal leiomyoma was specified by Virchow in 1863.4 Sauerbruch5 reported the first successful surgical treatment of esophageal leiomyoma when he performed an esophageal resection with gastroesophagostomy in 1932. A year later, Ohsawa6 performed the first successful surgical enucleation of this type of tumor. Leiomyomas are the most frequent benign tumors of the esophagus, accounting for 10% of all gastrointestinal leiomyomas.7 It is usually found as a single lesion in the middle and lower third of the esophagus, with 33 and 56% presenting in these locations.8 Leiomyoma can occur in patients of any age, but the peak incidence is between the third and fifth decades of life.9 The most commonly used diagnostic methods are esophagogram, endoscopy, endoscopic ultrasound (EUS), and computed tomography (CT) scan. In the esophagogram, the classic appearance is a filling defect with a smooth and concave border with usual mucosal folds.1,3 Endoscopy shows a mobile submucosal lesion with intact mucosa. Patients with esophageal leiomyoma usually have nonspecific symptoms such as dysphagia, epigastric pain, and weight loss. Perforation is a rare complication due to necrosis associated with the tumor and the size of the leiomyoma, predominantly in tumors larger than 10 cm in diameter.10

The indication for resection is based on symptoms, size (greater than 5 cm), and the existence of growth, ulceration, or malignant degeneration, which is rare. When the tumor is larger than 8 cm, adheres to the mucosa, or has extensive tearing of the mucosa during dissection, it may be necessary to resect part of the esophagus.

The objective of this work is to present the case of a giant esophageal leiomyoma that showed perforation and development of a clinical picture of mediastinitis, presenting our experience in the management of this pathology since the literature does not mention the percentage of perforation of this entity.



PRESENTATION OF THE CASE

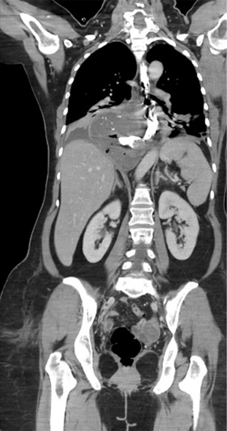
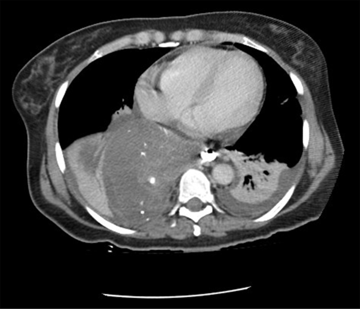
This is the case of a 54-year-old woman with a history of systemic arterial hypertension of 16 years of evolution in medical treatment with losartan 50 mg every 24 hours in reasonable control, history of total abdominal hysterectomy 14 years ago for uterine myomatosis, laparoscopic cholecystectomy four years ago for chronic calculous cholecystitis, both without apparent complications. She started with 36 hours of evolution with significant chest pain, unquantified fever, and attack to her general condition, so she came to our unit for evaluation. When specifically interrogated, she mentioned a history of five years of symptoms characterized by dysphagia to the ingestion of solid food. Physical examination revealed a patient in poor condition with tachycardia of 120 beats per minute, hypotension of 90/60 mmHg, respiratory rate of 23 breaths per minute, temperature of 36.5 °C, and generalized pallor of the integuments. The auscultation of the chest on the right side revealed decreased breath sounds with dullness to percussion. Her abdomen was flat, soft, and depressible with increased vocal vibrations, with no evidence of peritoneal irritation. Laboratory tests showed hemoglobin 16.6 g/dl, hematocrit 49.68%, white blood cells 18 cells/mm3, and neutrophils 89%. A thoracoabdominal tomography was performed, which showed a distal esophagus-dependent tumor associated with free fluid in the thorax and exit of contrast medium from the esophageal lumen (Figures 1 and 2). Due to the clinical picture of esophageal perforation and mediastinitis, it was decided to submit the patient to surgical treatment.

A diagnostic right posterolateral thoracotomy was performed, documenting a tumor dependent on the esophagus in its distal third with perforation of the latter, so esophagectomy was performed resecting the distal end of the esophagus using a blue cartridge linear stapler (Figure 3), with a subsequent longitudinal dissection of the esophagus. During a second surgical time, a left cervical approach was used to exteriorize the esophagus and prepare an esophagostoma, maturing it with 2-0 polyglactin 910 stitches. The cervical and thoracic wound was closed by planes, the latter after placement of two endo pleural probes number 18 Fr. A third surgical stage was done for preparing a Witzel-type feeding jejunostomy. No drains were left in the abdominal cavity, and the patient left the operating room with medical treatment based on antibiotic therapy with meropenem 1 gram intravenously every eight hours. The patient had a favorable clinical evolution; the endo pleural tubes were removed on the second postoperative day, and a homemade diet was started through a jejunostomy tube. The patient was discharged on the fifth postoperative day.

Currently, the patient is under outpatient follow-up, with adequate tolerance of homemade feeding by jejunostomy tube, with a histopathological report of esophageal leiomyoma, so she is in a protocol for the reconstruction of the continuity of the digestive tract.



DISCUSSION

Esophageal leiomyoma is part of the subepithelial layer of esophageal tumors, arising from the smooth muscle of the esophagus, mainly from the muscularis propria and rarely from the muscularis mucosae.11 It is considered the most common benign esophageal tumor. It primarily presents as a solitary intramural mass of oval, elongated, annular, horseshoe, or spiral shape surrounding the esophageal wall.12 They are commonly found in the middle and lower third of the esophagus.

Dysphagia and dyspepsia are the most common symptoms since most tumors occur in the lower third of the esophagus, and leiomyomas larger than 5 cm in diameter are more likely to be symptomatic than smaller ones.13 Our patient presented a tumor of 12 × 10 cm in diameter, which is considered in the world literature as a giant esophageal leiomyoma,14 causing areas of necrosis in the tumor with the consequent perforation of the esophagus and a clinical picture of associated mediastinitis, requiring urgent surgical management; perforation of this tumor is extremely rare, and there is no incidence in the literature.

Mediastinitis is the inflammation of the connective tissue surrounding the mediastinal structures between the pleural spaces. Despite advances in intensive care, mediastinitis remains associated with high morbidity and mortality rates (over 40% approximately). Effective antibiotic therapy, intensive care management, elimination of the source of infection, and drainage of the affected mediastinal compartment are essential to effectively treating this pathology.15 An early diagnosis, the prompt establishment of initial treatment, and the performance of imaging studies, such as a thoracoabdominal computerized tomography scan for planning a surgical intervention, is essential to achieve an optimal result.16 At the time of admission of the patient to the emergency department, supportive medical management was initiated to improve the patient's clinical conditions; such management consisted of intravenous solutions and the use of broad-spectrum antibiotics.

Imaging studies such as barium esophagogram, computerized tomography scan with oral contrast, esophagoscopy, and endoscopic ultrasound are helpful diagnostic tools in this pathology.17 In the present case, the thoracoabdominal tomography revealed a large tumor originating in the lower third of the esophagus, which after administering an oral contrast medium, showed a perforation of this organ, requiring emergency surgery.

The gold standard surgical approach when dealing with this serious pathology is surgical drainage of the mediastinum.18,19 In addition to controlling the source of contamination, since it is a perforated esophageal tumor, surgical resection of the tumor is necessary.20 For optimal surgical drainage, several surgical approaches have been described in the literature, but due to this pathology, the best surgical approach is a posterolateral thoracotomy.

Several reconstruction techniques have been described in the literature, the most frequent being the gastric ascent with colon interposition. There has yet to be a consensus on the ideal reconstruction method after esophagectomy. Given the unstable hemodynamic conditions due to mediastinitis, we did not choose to reconstruct the gastrointestinal tract using these techniques, leaving this reconstruction for a second surgical stage.

The main complications of mediastinitis are sepsis21 and thoracic empyema. In our case, the patient had a favorable postoperative course with no complications, responding adequately to surgical management and broad-spectrum antibiotics. Despite advances in recent years, mediastinitis continues to be a disease with a mortality rate close to 40-50%. The prognosis depends on the extent of the infection and the general condition of each patient, as well as their comorbidities; however, timely diagnosis and aggressive treatment are the main factors to improve the evolution of the disease.

As for leiomyomas, they have a good prognosis with no tendency for recurrence.22 Most series report successful resection with open or minimally invasive approaches without any perioperative morbidity or mortality.23



CONCLUSIONS

Esophageal leiomyoma is a rare oncologic entity that presents several diagnostic and therapeutic challenges. Therefore, it is important to have a detailed clinical history and complementary diagnostic imaging studies, such as chest X-ray and CT scan, to assess the extent of the disease and decide on the surgical approach based on the results.

Rapid diagnosis and aggressive and timely treatment are the factors that have the most significant impact on the morbidity of the disease.



ACKNOWLEDGMENTS

The authors would like to thank all the staff of physicians and residents of the Gastro Surgery Service of the Hospital de Especialidades del Centro Médico Nacional Siglo XXI, Instituto Mexicano del Seguro Social, for their contribution to this paper.


REFERENCES

  1. Businco A. Sui Miami esofagei [Latin]. Am Farol Med Chir R Univ Perugia 1938; 37: 5: Citado en Lawrence SL, Sunil S, Clayton JB, Blair M, Michael LK, Larry RK, John CK. Current management of esophageal leiomioma. J Am Coll Surg. 2004; 198: 136-146.

  2. Georgiades N, Chomatos I. Leiomyoma of the esophaguscyst of the esophagus. Hellen Cheir 1962; 9: 579: Citado en Lawrence SL, Sunil S, Clayton JB, Blair M, Michael LK, Larry RK, John CK. Current management of esophageal leiomyoma. J Am Coll Surg 2004; 198: 136-146.

  3. Peracchia A, Bonavina L, Bardini R, Montorsi M, Segalin A. Thoracoscopic enucleation of esophageal leiomyoma. In: Peters J, DeMeester T, editores. Minimally invasive surgery of the foregut. St Louis: QMP; 1994. p. 239-244.

  4. Zaninotto G, Portale G, Constantini M, Rizzetto C, Salvador R, Rampado S, et al. Minimally invasive enucleation of esophageal leiomyoma. Surg Endosc. 2006; 20: 1904-1908.

  5. Sauerbruch F. Presentations in the field of thoracic surgery. Arch Klin Chir. 1932; 173: 457.

  6. Ohsawa T. Surgery of the oesophagus. Arch Jpn Chir. 1933; 10: 605.

  7. Seremetis MG, Lyons WS, Deguzman VC, Peabody JW. Leiomyomata of the esophagus. An analysis of 838 cases. Cancer. 1976; 38: 2166-2177.

  8. Lee LS, Singhal S, Brinster CJ. Current management of esophageal leiomyoma. J Am Coll Surg. 2004; 198: 136-146.

  9. Kandasamy D, Ahamed N, Kannan S, Samuel V. Giant leiomyoma of the oesophagus. J Clin Diagnostic Res. 2017; 11: PD07-08.

  10. Cheng BC, Chang S, Mao ZF. Surgical treatment of giant esophageal leiomyoma. World J Gastroenterol. 2005; 11: 4258-4260.

  11. Gupta V, Sinha SK, Vaiphei K, Lal A. Esophageal resection for giant leiomyoma. J Cancer Res Ther. 2015; 11: 651.

  12. Mutairi H, Al-Akkad M, Afzal M, Chaudhry I. Giant leiomyoma of the oesophagus with eosinophilic infiltration. BMJ Case Rep. 2013; 2013: bcr2013201343.

  13. Jiang W, Rice TW, Goldblum JR. Esophageal leiomyoma: experience from a single institution. Dis Esophagus. 2013; 26: 167-174.

  14. Sun X, Wang J, Yang G. Surgical treatment of esophageal leiomyoma larger than 5 cm in diameter: a case report and review of the literature. J Thorac Dis. 2012; 4: 323-326.

  15. Corsten MJ, Shamji FM, Odell PF, Frederico JA, Laframboise GG. Optimal treatment of descending necrotising mediastinitis. Thorax. 1997; 52: 702-708.

  16. Brinster CJ, Singhal S, Lee L. Evolving options in the management of esophageal perforation. Ann Thorac Surg. 77: 1475-14831.

  17. Aurea P, Grazia M, Petrella F, Bazzocchi R. Giant leiomyoma of the esophagus. Eur J Cardiothoracic Surg. 2002; 22: 1008-1010.

  18. Sun LJ, Chen X, Dai YN. Endoscopic ultrasonography in the diagnosis and treatment strategy choice of esophageal leiomyoma. Clinics. 2017; 72: 197-201.

  19. Hennesey TPJ, Cushieri A. Tumors of the oesophagus. In: Hennesey TPJ, Cushieri A, editors. Surgery of the oesophagus. London: Butterworth-Heinemann; 1992. p. 275-327.

  20. Bardini R, Asolati M. Thoracoscopic resection of benign tumours of the esophagus. Int Surg. 1997; 82: 5-6.

  21. Miettinen M, Sarlomo-Rikala M, Sobin LH, Lasota J. Esophageal stromal tumors: a clinicopathologic, immunohistochemical, and molecular genetic study of 17 cases and comparison with esophageal leiomyomas and leiomyosarcomas. Am J Surg Pathol. 2000; 24: 211-222.

  22. Miettinen M, Sarlomo-Rikala M, Lasota J. Gastrointestinal stromal tumors: recent advances in understanding of their biology. Hum Pathol. 1999; 30: 1213-1220.

  23. Logroño R, Jones D, Faruqi S, Bhutani M. Recent advances in cell biology, diagnosis, and therapy of gastrointestinal stromal tumor (GIST). Cancer Biol Ther. 2004; 4: 251-258.



AFFILIATIONS

1 General surgeon, Instituto Mexicano del Seguro Social, Centro Médico Nacional Siglo XXI, Hospital de Especialidades, Department of Gastro Surgery. Mexico City, Mexico.



Ethical considerations and responsibility: data privacy. According to the protocols established in our work center, we declare that we have followed the protocols on patient data privacy and preserved their anonymity.

Funding: no financial support was received for the preparation of this work.

Disclosure: none of the authors have a conflict of interest in the conduct of this study.



CORRESPONDENCE

Juan Manuel Reyes-Morales. E-mail: dr.jmanuelreyes@gmail.com




Received: 05/16/2022. Accepted: 05/02/2023.

Figure 1
Figure 2
Figure 3

2020     |     www.medigraphic.com

Mi perfil

C?MO CITAR (Vancouver)

Cir Gen. 2023;45