medigraphic.com
SPANISH

Cirujano General

ISSN 2594-1518 (Electronic)
ISSN 1405-0099 (Print)
  • Contents
  • View Archive
  • Information
    • General Information        
    • Directory
  • Publish
    • Instructions for authors        
    • Send manuscript
  • medigraphic.com
    • Home
    • Journals index            
    • Register / Login
  • Mi perfil

2023, Number 2

<< Back Next >>

Cir Gen 2023; 45 (2)

Case report of spontaneous expulsion of gallstone in a patient with biliary ileus. In General Hospital of Manzanillo, Colima

López Romero, César Alejandro1; Gómez Rodríguez, Juan Manuel1; Romero Nogales, Antonio2
Full text How to cite this article 10.35366/111514

DOI

DOI: 10.35366/111514
URL: https://dx.doi.org/10.35366/111514

Language: English/Spanish [Versi?n en espa?ol]
References: 7
Page: 116-119
PDF size: 242.46 Kb.


Key words:

gallstone ileus, stone, intestinal obstruction.

ABSTRACT

Gallstone ileus is a rare complication of cholelithiasis and only occurs in 0.3-0.5% of patients with biliary pathology, described as a mechanical intestinal obstruction due to the impaction of one or more gallstones within the gastrointestinal tract. The stone reaches the intestine through a cholecystoenteric fistula. The most common type of fistula is located between the gallbladder and the duodenum. Due to the lack of suspicion of this condition, the diagnosis is made with exploratory laparotomy in 50% of patients. Most of the bibliography recommends surgical management as a solution to the obstructive condition, however, so far there is only one case report in India of spontaneous evacuation.



INTRODUCTION

Biliary ileus was first described in 1654 by Erasmus Bartolim in a necropsy study.1 It is caused by the passage of a gallstone from the bile ducts into the intestinal lumen through a fistula. The most frequent type of fistula is between the gallbladder and the duodenum. The fistula appears when there are recurrent episodes of acute cholecystitis, generating extensive inflammation and adhesions between the gallbladder and the digestive tract.2 This pathology represents 1 to 4% of the causes of mechanical occlusion of the small intestine in patients under 65.3 This entity occurs more frequently in patients older than 65 years and has a prevalence of up to 25% as a cause of occlusion in this age group.4 This entity occurs more frequently in patients older than 65 years and has a prevalence of up to 25% as a cause of occlusion in this age group.5 It predominates in the female gender with a ratio of 3.5-6.1:1.6 Diagnostic suspicion is of utmost importance for timely management. In a review of Japanese literature, it was reported by Kashara and collaborators that only eight out of 112 patients presented spontaneous passage of litho in the gastrointestinal tract.7



PRESENTATION OF THE CASE

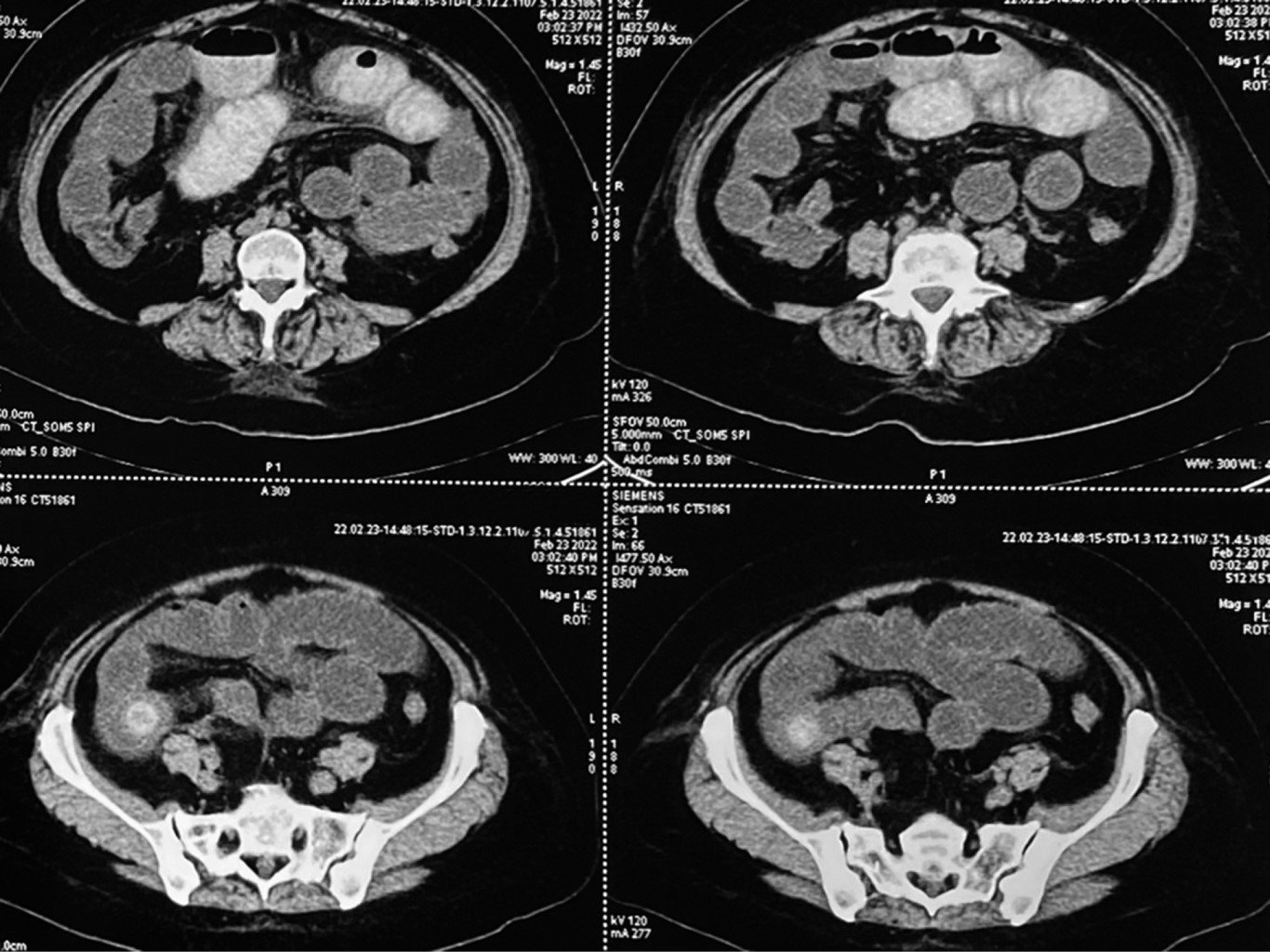
We present the case of a 58-year-old woman from Tequesquitlan, Jalisco, living in Manzanillo, Colima. She came to the emergency department for clinical symptoms of eight days of evolution characterized by pain in the epigastrium 9/10 on the visual analog scale, stabbing type accompanied by nausea that progresses to vomiting of gastrobiliary content, bowel movements, and flatus present. Management with antacids was initiated by a private physician prior to admission to the emergency room without improvement of symptoms. Physical examination showed relevant findings of abdominal distension with pain on superficial and deep palpation located in the epigastrium and mesogastrium, generalized tympanic movement, and decreased peristalsis. No muscle resistance or peritoneal irritation was found at the time of admission. She is allergic to dextromethorphan and penicillin. She denies any history of abdominal pain suggestive of cholecystitis. Chronic degenerative diseases and surgeries were also denied. Her lab tests showed white blood cells 18.13 × 103/milliliters, with neutrophils 15.56 × 103/milliliters, lymphocytes 1.44 × 103/milliliters, hemoglobin 11.60 grams/deciliters, hematocrit 34.60%, platelets 359 × 103/milliliters, creatinine 0.60 milligrams/deciliters, urea nitrogen 8.6 milligrams/deciliters, urea 18.5 milligrams/deciliters, sodium 138 mEq/l, potassium 3.3 mEq/l, and chlorine 104 mEq/l. A computed axial tomography scan with oral contrast material was performed, finding gallbladder with contrast material coming from duodenum showing anomalous communication between both structures concerning a fistulous tract at the level of the second portion of duodenum, bowel loops associated to multiple hydro-aerial levels secondary to a 24 millimeters litho in the distal ileum at 40 centimeters from the ileocecal valve with distention of loops proximal to this site (Figure 1). A nasogastric tube was placed on the first day of hospital admission with an output of 1,400 cubic centimeters in the first 24 hours.

On her second and third days of hospital stay, the patient did not present bowel movements or flatus and was accompanied by significant abdominal distention and generalized tympanic movements. However, there was no evidence of peritoneal irritation.

It was decided to send the patient to a high specialty hospital due to the high complexity of the pathology; this was done on two occasions during his second and third days of hospital stay, stating that they could not accept the patient due to the high demand of hospitalized patients. Because of the worsening clinical picture, we decided to intervene using exploratory laparotomy during his fourth day of stay.

Before her surgery, she reported liquid stools accompanied by a gallstone, confirmed by the nurse and the patient.

She then underwent exploratory laparotomy, which revealed a scleroatrophic gallbladder with multiple omentum adhesions and a 5-millimeter fistula connecting the gallbladder to the second portion of the duodenum (Figures 2 and 3). A systematic review of the entire intestine was performed in search of residual lithiasis without finding their presence. Therefore, a longitudinal enterolithotomy was not performed. Primary fistula closure was performed in two planes with Connel-Mayo stitches with 2-0 polypropylene and Lembert stitches with 2-0 silk (Figure 4). Subsequently, cholecystectomy was performed, and the cavity was closed in planes without placing any drainage.

The patient had a good clinical evolution after surgery with Bristol 6-type bowel movement on the second postoperative day. A liquid diet was started 72 hours after surgery with adequate tolerance. Due to the favorable evolution without complications, her hospital discharge was decided.

One week later, she went to the general surgery outpatient department, without complications, without data of surgical site infection, and with good tolerance to diet and bowel movements present. The histopathological results of the surgical specimen showed chronic cholecystitis, cholecystolithiasis, and fibrotic areas suggestive of scleroatrophy and negative for malignancy.



DISCUSSION

Biliary ileus is a rare complication of vesicular lithiasis corresponding to 0.3-0.4%; the most frequent mechanism of a litho passage is through a vesicular-duodenal fistula, the same situation presented by our patient. This clinical case of biliary ileus corresponds to an unusual presentation since the age of the case is below 65 years, which corresponds to less than 4% of the incidence of this pathology, according to the literature cited in this publication. A calculus larger than 2 cm in diameter generates obstruction at the small bowel level in 90% of the cases,2 in agreement with ours, where a 24 mm stone was documented by computed axial tomography (CAT) scan and was responsible for the occlusive picture at the beginning of the disease; however, the spontaneous expulsion of the stone in the feces stands out. The few documented cases of spontaneous expulsion of the stone in the biliary ileus are worth noting, which makes our case report an infrequent resolution of the biliary ileus. Only eight cases of 112 cases with spontaneous resolution have been reported in the Japanese literature. There is still controversy about the management of biliary ileus. However, most of the literature agrees that surgical management remains the treatment of choice in all reported cases, recommending enterolithotomy with stone extraction, followed by cholecystectomy and fistula repair. In this case, a single-stage surgery was performed since it offers the advantages of avoiding future complications, such as gallbladder carcinoma in 15%, cholecystitis or cholangitis, or recurrence of obstructive symptoms.6



CONCLUSIONS

Establishing an early diagnosis of biliary ileus helps us prevent complications secondary to an obstructive condition at the intestinal level using imaging studies. The best study will always be a computerized tomography scan reinforced with contrast material because it has a sensitivity over 90% compared to other studies. The treatment will always be surgical and mainly aimed at resolving the obstruction with an enterotomy and extraction of the calculus. Subsequently, the bilioenteric fistula causing the arrival of the stone to the intestinal lumen will have to be repaired to prevent subsequent cases of biliary ileus and reduce the risk of biliary vesicular cancer secondary to the reflux of gastrointestinal contents into the gallbladder through this communication.



ACKNOWLEDGMENTS

We thank Dr. Francisco Martínez Rosales, Education Chief of our hospital, and the Chief of the General Surgery Service Dr. Antonio Romero Nogales, for making this case report article possible.


REFERENCES

  1. Castillo MB, César J, Belmontes P. Íleo biliar, una causa infrecuente de oclusión intestinal Presentación de un caso clínico y revisión de la literatura [Internet]. Revista de la Facultad de Medicina de la UNAM. 2015; 58: 33-39. Disponible en: https://www.medigraphic.com/pdfs/facmed/un-2015/un151e.pdf

  2. Ploneda-Valencia CF, Gallo-Morales M, Rinchon C, Navarro-Muñiz E, Bautista-López CA, et al. El íleo biliar: una revisión de la literatura médica. Rev Gastroenterol Mex. 2017; 82: 248-254. Disponible en: http://www.revistagastroenterologiamexico.org/es-el-ileo-biliar-una-revision-articulo-S0375090617300137

  3. González C, Ea GM, Naranjo C, Cordova G, Rivas F, Olivares L, et al. Íleo biliar: diagnóstico y tratamiento oportuno de una enfermedad infrecuente. Cir Andal. 2021; 32: 36-42. Disponible en: https://www.asacirujanos.com/admin/upfiles/revista/2021/Cir_Andal_vol32_n1_05.pdf

  4. Martín-Pérez J, Delgado-Plasencia L, Bravo-Gutiérrez A, Burillo-Putze G, Martínez-Riera A, et al. El íleo biliar como causa de abdomen agudo. Importancia del diagnóstico precoz para el tratamiento quirúrgico [Gallstone ileus as a cause of acute abdomen. Importance of early diagnosis for surgical treatment]. Cir Esp. 2013; 91: 485-489. Spanish. doi: 10.1016/j.ciresp.2013.01.021.

  5. Sesti J, Okoro C, Parikh M. Enterolitotomía laparoscópica para el íleo biliar. J Am Coll Surg. 2013; 217: e13-15. Disponible en: http://dx.doi.org/10.1016/j.jamcollsurg.2013.04.037

  6. Ayantunde AA, Agrawal A. Gallstone ileus: diagnosis and management. World J Surg. 2007; 31: 1292-1297. Disponible en: http://dx.doi.org/10.1007/s00268-007-9011-9

  7. Brandariz Gil L, Fernández de Miguel T, Perea J. Rigler triad in gallstone ileus. Rev Esp Enferm Dig. 2016; 108: 581-582. Available in: http://scielo.isciii.es/scielo.php?script=sci_arttext&pid=S1130-01082016000900013&lng=es.



AFFILIATIONS

1 First-year resident physician of General Surgery.

2 Chief, General Surgeon Service.



Ethical considerations and responsibility: data privacy. According to the protocols established in our work center, we declare that we have followed the protocols on patient data privacy and preserved their anonymity.

Funding: no financial support was received for the preparation of this work.

Disclosure: none of the authors have a conflict of interest in the conduct of this study.



CORRESPONDENCE

César Alejandro López-Romero. E-mail: cesar.lopez95@outlook.com




Received: 05/17/2022. Accepted: 05/02/2023.

Figure 1
Figure 2
Figure 3
Figure 4

2020     |     www.medigraphic.com

Mi perfil

C?MO CITAR (Vancouver)

Cir Gen. 2023;45