medigraphic.com
SPANISH

Revista Mexicana de Pediatría

ISSN 0035-0052 (Print)
  • Contents
  • View Archive
  • Information
    • General Information        
    • Directory
  • Publish
    • Instructions for authors        
    • Send manuscript
  • medigraphic.com
    • Home
    • Journals index            
    • Register / Login
  • Mi perfil

2022, Number 6

<< Back Next >>

Rev Mex Pediatr 2022; 89 (6)

Neurodevelopmental follow-up of children with prenatal exposure to Zika virus

Mejía-Wimar R, Veloza MC, Rodríguez-Rodríguez JA, Narváez-Rojas CF, Vega-Vega MR, Salgado-García DM, Ortiz ÁM
Full text How to cite this article 10.35366/111690

DOI

DOI: 10.35366/111690
URL: https://dx.doi.org/10.35366/111690

Language: Spanish
References: 39
Page: 246-253
PDF size: 273.71 Kb.


Key words:

Zika virus, children, microcephaly, Bayley scale, neurodevelopmental.

ABSTRACT

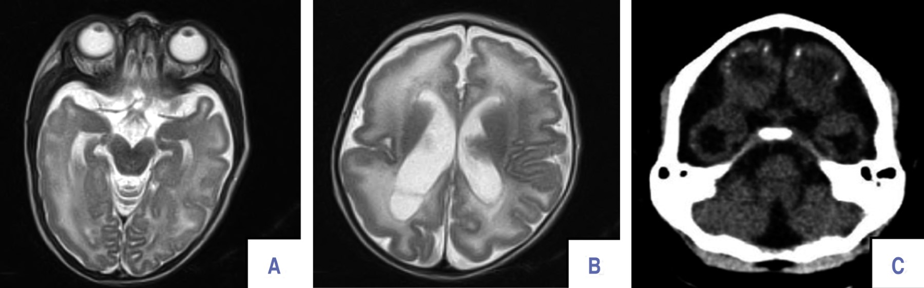
Introduction: Zika virus (ZIKV) is a flavivirus in pregnant women that can cause neurological conditions in their children. The aim of this study was to describe the neurodevelopment of 104 children with prenatal exposure to ZIKV, during the first 18 months of life. Material and methods: the patients were evaluated by neurological examination and the application of the Bayley III scale. Infection in mothers was confirmed with ZIKV NS1 IgG. Results: thirty-nine patients with neurodevelopmental delay (37.5%) and 17 patients with microcephaly (16.3%) were identified. Ocular abnormalities were detected in 25 (24%) patients, including involvement of the optic nerve, the retina, as well as the extraocular muscles. Conclusion: children of mothers with ZIKV infection during pregnancy have a high frequency of neurodevelopmental abnormalities.


REFERENCES

  1. Ventura CV, Maia M, Bravo-Filho V, Góis AL, Belfort R Jr. Zika virus in Brazil and macular atrophy in a child with microcephaly. Lancet. 2016; 387(10015): 228.

  2. Musso D, Roche C, Robin E, Nhan T, Teissier A, Cao-Lormeau VM. Potential sexual transmission of Zika virus. Emerg Infect Dis. 2015; 21: 359-361.

  3. Oliveira Melo AS, Malinger G, Xiemenes R, Szejnfeld PO, Alves Sampaio S B de FA. Zika virus intrauterine infection causes fetal brain abnormality and microcephaly: tip of the iceberg? Ultrasound Obstet Gynecol. 2016; 47(1): 6-7.

  4. Parra B, Lizarazo J, Jiménez-Arango JA, Zea-Vera AF, González-Manrique G, Vargas J et al. Guillain Barré syndrome associated with zika virus infection in Colombia. N Engl J Med. 2016; 375(16): 1598-1601.

  5. Chitti SV, Prasad AK, Saxena SK. Emerging Zika virus disease: a public health emergency of global concern. Virusdisease. 2016; 23(3): 211-214.

  6. Microcephaly Epidemic Research Group. Microcephaly in infants, Pernambuco state, Brazil, 2015. Emerg Infect Dis. 2016; 22(6): 1090-1093. doi: 10.3201/eid2206.160062.

  7. U.S. Department of Health and Human Services, Schuler-Faccini L, Paz S, Semenza JC, Tetro JA, Cadu R et al. OMS | Declaración de la OMS sobre la primera reunión del Comité de Emergencia del Reglamento Sanitario Internacional (2005) sobre el virus del Zika y el aumento de los trastornos neurológicos y las malformaciones congénitas. Declar la OMS. 2016; 44(7): 302-307.

  8. Baud D, Gubler DJ, Schaub B, Lanteri MC, Musso D. An update on Zika virus infection. Lancet. 2017; 390(10107): 2099-2109.

  9. Sobral da Silva PF, Eickmann SH, Ximenes RAA, Martelli CMT, Brickley EB, Lima MC et al. Neurodevelopment in children exposed to Zika virus: what are the consequences for children who do not present with microcephaly at birth? Viruses. 2021; 13(8): 1427.

  10. Mulkey SB. Head circumference as a measure of in utero zika virus exposure and outcomes. JAMA Netw Open. 2020; 3(7): e209461.

  11. Madaschi V, Mecca TP, Macedo EC, Paula CS. Bayley-III scales of infant and toddler development: transcultural adaptation and psychometric properties. Paideia. 2016; 26(64): 189-197.

  12. Tyson J, Tsai WY, Tsai JJ, Brites C, Massgard L, Ha Youn H et al. Combination of nonstructural protein 1-based enzyme-linked immunosorbent assays can detect and distinguish various dengue virus and Zika virus infections. J Clin Microbiol. 2019; 57(2): e01464-01418.

  13. Tsai WY, Youn HH, Brites C, Tsai JJ, Tyson J, Pedroso C et al. Distinguishing secondary dengue virus infection from Zika virus infection with previous dengue by a combination of 3 simple serological tests. Clin Infect Dis. 2017; 65(11): 1829-1836.

  14. Salgado DM, Vega R, Rodríguez JA, Niño Á, Rodríguez R, Ortiz A et al. Clinical, laboratory and immune aspects of Zika virus-associated encephalitis in children. Int J Infect Dis. 2020; 90: 104-110.

  15. Aguilar Ticona JP, Nery Jr. N, Doss-Gollin S, Gambrah C, Lessa M, Rastely-Júnior V, et al. Heterogeneous development of children with Congenital Zika syndrome-associated microcephaly. PLoS One. 2021; 16(9): e0256444.

  16. Raper J, Chahroudi A. Clinical and preclinical evidence for adverse neurodevelopment after postnatal Zika virus infection. Trop Med Infect Dis. 2021; 6(1): 10.

  17. Duffy MR, Chen TH, Hancock WT, Powers AM, Kool JL, Lanciotti RS et al. Zika virus outbreak on yap island, Federated States of Micronesia. N Engl J Med. 2009; 360: 2536-2543.

  18. Tappe D, Pérez-Girón JV, Zammarchi L, Rissland J, Ferreira DF, Jaenisch T, Gómez-Medina S et al. Cytokine kinetics of Zika virusinfected patients from acute to reconvalescent phase. Med Microbiol Immunol. 2016; 205(3): 269-273.

  19. Zanluca C, Melo VC, Mosimann AL, Santos GI, Dos Santos CN, Luz K. First report of autochthonous transmission of Zika virus in Brazil. Mem Inst Oswaldo Cruz. 2015; 110: 569-572.

  20. Tobón CJ. Infecciones por virus Zika en Colombia-2015. Rev Med. 2016; 51: 125-133.

  21. Tolosa N, Tinker SC, Pacheco O, Valencia D, Botero DS, Tong VT et al. Zika virus disease in children in Colombia, August 2015 to May 2016. Paediatr Perinat Epidemiol. 2017; 31(6): 537-545.

  22. Mercado-Reyes M, Gilboa SM, Valencia D, Daza M, Tong VT, Galang RR et al. Pregnancy, birth, infant, and early childhood neurodevelopmental outcomes among a cohort of women with symptoms of Zika virus disease during pregnancy in three surveillance sites, Project Vigilancia de Embarazadas con Zika (VEZ), Colombia, 2016-2018. Trop Med Infect Dis. 2021; 6(4): 183.

  23. Madariaga-Florez DC. Enfermedad por virus Zika, Periodo epidemiológico IX. Colombia, 2021 [Internet]. Instituto Nacional de Salud. 2021. Disponible en: https://www.ins.gov.co/buscador-eventos/Informesdeevento/ENFERMEDAD POR VIRUS ZIKA PE IX 2021.pdf

  24. Martins RS, Fróes MH, Saad LDC, Ignácio Junior SM, Prado WDA, Figueiredo EM de et al. Descriptive report of cases of congenital syndrome associated with Zika virus infection in the state of Sao Paulo, Brazil, from 2015 to 2017. Epidemiol Serv Saude. 2018; 27(3): e2017382.

  25. Schuler-Faccini L, Ribeiro EM, Feitosa IM, Horovitz DD, Cavalcanti DP, Pessoa A et al. Possible Association Between Zika Virus Infection and Microcephaly - Brazil, 2015. Morbility Mortal Wkly Rep. 2016; 65(3): 59-62.

  26. Brasil P, Pereira JP Jr, Moreira ME, Ribeiro Nogueira RM, Damasceno L et al. Zika virus infection in pregnant women in Rio de Janeiro. N Engl J Med. 2016; 375(24): 2321-2334.

  27. Ventura CV, Maia M, Travassos SB, Martins TT, Patriota F, Nunes ME et al. Risk factors associated with the ophthalmoscopic findings identified in infants with presumed Zika virus congenital infection. JAMA Ophthalmol. 2016; 134(8): 912-918.

  28. Sadler TW. Langman's medical embryology. 13th ed. Philadelphia: Wolters Kluwer; 2015.

  29. Zin AA, Tsui I, Rossetto J, Vasconcelos Z, Adachi K, Valderramos S et al. Screening criteria for ophthalmic manifestations of congenital Zika virus infection. JAMA Pediatr. 2017; 171(9): 847-854.

  30. Satterfield-Nash A, Kotzky K, Allen J, Bertolli J, Moore CA, Pereira IO et al. Health and development at age 19-24 months of 19 children who were born with microcephaly and laboratory evidence of congenital zika virus infection during the 2015 Zika virus outbreak - Brazil, 2017. MMWR Morb Mortal Wkly Rep. 2017; 66(49): 1347-1351.

  31. Abtibol-Bernardino MR, de Almeida Peixoto LFA, de Oliveira GA, de Almeida TF, Rodrigues GRI, Otani RH et al. Neurological findings in children without congenital microcephaly exposed to Zika virus in utero: A case series study. Viruses. 2020; 12(11): 1335.

  32. Merfeld E, Ben-avi L, Kennon M, Cerveny KL. Potential mechanisms of Zika-linked microcephaly. Wiley Interdiscip Rev Dev Biol. 2017; 6(4): e273.

  33. Marques FJP, Teixeira MCS, Barra RR, de Lima FM, Dias BLS, Pupe C et al. Children born with congenital Zika syndrome display atypical gross motor development and a higher risk for cerebral palsy. J Child Neurol. 2019; 34(2): 81-85.

  34. Brandao MB, Frota LMCP, Miranda JL, Cavalcante Brasil RM, Mancini MC. Family-centered early intervention program for Brazilian infants with congenital Zika virus syndrome: a pilot study. Phys Occup Ther Pediatr. 2019; 39(6): 642-654.

  35. Nielsen-Saines K, Brasil P, Kerin T, Vasconcelos Z, Gabaglia CR et al. Delayed childhood neurodevelopment and neurosensory alterations in the second year of life in a prospective cohort of ZIKV-exposed children. Nat Med. 2019; 25(8): 1213-1217.

  36. Faical AV, de Oliveira JC, Oliveira JVV, de Almeida BL, Agra IA, Alcantara LCJ et al. Neurodevelopmental delay in normocephalic children with in utero exposure to Zika virus. BMJ Paediatr Open. 2019; 3(1): e000486.

  37. Lopes Moreira ME, Nielsen-Saines K, Brasil P, Kerin T, Damasceno L, Pone M et al. Neurodevelopment in infants exposed to Zika virus in utero. N Engl J Med. 2018; 379(24): 2377-2379.

  38. Pecanha PM, Gomes Junior SC, Pone SM, Pone MVDS, Vasconcelos Z, Zin A et al. Neurodevelopment of children exposed intra-uterus by Zika virus: a case series. PLoS One. 2020; 15(2): e187235.

  39. Einspieler C, Utsch F, Brasil P, Panvequio Aizawa CY, Peyton C et al. Association of infants exposed to prenatal Zika virus infection with their clinical, neurologic, and developmental status evaluated via the general movement assessment tool. JAMA Netw Open. 2019; 2(1): 187235.




Figure 1
Figure 2
Table 1
Table 2
Table 3
Table 4

2020     |     www.medigraphic.com

Mi perfil

C?MO CITAR (Vancouver)

Rev Mex Pediatr. 2022;89