medigraphic.com
SPANISH

Revista Mexicana de Pediatría

ISSN 0035-0052 (Print)
  • Contents
  • View Archive
  • Information
    • General Information        
    • Directory
  • Publish
    • Instructions for authors        
    • Send manuscript
  • medigraphic.com
    • Home
    • Journals index            
    • Register / Login
  • Mi perfil

2022, Number 6

<< Back Next >>

Rev Mex Pediatr 2022; 89 (6)

Dengue as a rare cause of acute pancreatitis in obese child

Arredondo-Nontol M, Arredondo-Nontol R, Fernández-Guzmán D, Ccami-Bernal F, Arredondo-Reto MN, Cabrera-Hipólito SE, Ugas-Charcape CF
Full text How to cite this article 10.35366/111691

DOI

DOI: 10.35366/111691
URL: https://dx.doi.org/10.35366/111691

Language: Spanish
References: 42
Page: 254-258
PDF size: 215.51 Kb.


Key words:

dengue, pancreatitis, obesity, adolescent, Peru.

ABSTRACT

Introduction: in children, obesity is one of the risk factors for severe dengue; acute pancreatitis is a rare complication that can complicate the patient's evolution. The objective of the report is to describe a pediatric patient who developed acute pancreatitis associated with severe dengue. Case presentation: a 13-year-old male patient with grade II obesity was admitted to the emergency room due to fever, generalized rash, persistent abdominal pain and vomiting. Based on the clinical picture and laboratory data, the diagnosis of dengue was made; he was treated with intravenous hydration, antipyretics, antihistamines, and antiemetics. The patient evolved to severe dengue, for which the use of albumin and antibiotics was started. On the eighth day of hospitalization, due to fever and persistent abdominal pain, laboratory tests and imaging studies were taken, leading to the diagnosis of acute pancreatitis. The management of this complication was conservative, and the patient evolved favorably, being discharged 19 days after hospitalization. Conclusions: acute pancreatitis is a rare and life-threatening complication of dengue in children. Obesity is a factor that can increase the risk of this complication.


REFERENCES

  1. Martin-Hernandez T, León-Ramentol C, Betancourt-Bethencourt JA, Cular-Pérez A, Quezada-Leyva L, Nápoles-Jímenez N. Characterization of clinical and laboratory behavior of patients with suspected dengue. AMC. 2020; 24(3): 311-314.

  2. Torres AH, Vázquez EG, Escudero EM, Martínez JAH, Gómez JG, Hernández MS. Endemic viral infections: dengue fever, West Nile fever, others. Medicine (Spain). 2018; 12(57): 3337-3348.

  3. Organización Mundial de la Salud. Dengue y dengue grave. 2022. Disponible en: https://www.who.int/es/news-room/fact-sheets/detail/dengue-and-severe-dengue

  4. Umakanth M, Suganthan N. Unusual manifestations of dengue fever: a review on expanded dengue syndrome. Cureus. 2020; 12(9): e10678.

  5. Khan MAS, Al Mosabbir A, Raheem E, Ahmed A, Rouf RR, Hasan M et al. Clinical spectrum and predictors of severity of dengue among children in 2019 outbreak: a multicenter hospital-based study in Bangladesh. BMC Pediatr. 2021; 21(1): 478.

  6. Ramabhatta S, Palaniappan S, Hanumantharayappa N, Begum SV. The clinical and serological profile of pediatric dengue. Indian J Pediatr. 2017; 84(12): 897-901.

  7. Zulkipli MS, Dahlui M, Jamil N, Peramalah D, Wai HVC, Bulgiba A et al. The association between obesity and dengue severity among pediatric patients: A systematic review and meta-analysis. PLoS Negl Trop Dis. 2018; 12(2): e0006263.

  8. Correa R, Ortega-Loubon C, Zapata-Castro LE, Armién B, Culquichicón C. Dengue with hemorrhagic manifestations and acute pancreatitis: case report and review. Cureus. 2019; 11(6): e4895.

  9. Dirección Regional de Salud de Tumbes. Análisis de situación de Salud de la Región de Tumbes 2020. Perú: 2020. Disponible en: http://www.diresatumbes.gob.pe/index.php/boletines-epidemiologicos/asis

  10. James TW, Crockett SD. Management of acute pancreatitis in the first 72 hours. Curr Opin Gastroenterol. 2018; 34(5): 330-335.

  11. Uc A, Husain SZ. Pancreatitis in children. Gastroenterology. 2019; 156(7): 1969-1978.

  12. Estofolete CF, de Oliveira Mota MT, Bernardes Terzian AC, de Aguiar Milhim BHG, Ribeiro MR, Nunes DV et al. Unusual clinical manifestations of dengue disease - Real or imagined? Acta Trop. 2019; 199: 105134.

  13. Rawla P, Bandaru SS, Vellipuram AR. Review of infectious etiology of acute pancreatitis. Gastroenterology Res. 2017; 10(3): 153-158.

  14. Ghweil AA, Osman HA, Khodeary A, Okasha A, Hassan MH. Relative frequency of acute pancreatitis from dengue outbreaks as a late complication, in Egypt. Virusdisease. 2019; 30(4): 498-503.

  15. Huong T, Nguyen L, Yeung KA, Pugmire B, Gugig R. Pancreatitis. Pediatr Rev. 2020; 41(10): 512-521.

  16. Wang C, Fu B, Su D, Huang P, Fu X. Acute pancreatitis and recurrent acute pancreatitis in children: a 10-year retrospective study. Gastroenterol Res Pract. 2022; 2022: 5505484.

  17. Al Hindi S, Khalaf Z, Nazzal K, Nazzal O, Ahmed A, Alshaibani L. Acute pancreatitis in children: the clinical profile at a tertiary hospital. Cureus. 2021; 13(5): e14871.

  18. Orkin SH, Trout AT, Fei L, Lin TK, Nathan JD, Thompson T et al. Sensitivity of Biochemical and Imaging Findings for the Diagnosis of Acute Pancreatitis in Children. J Pediatr. 2019; 213: 143-148.e2.

  19. Rajapakse S, Wattegama M, Weeratunga P, Sigera PC, Fernando SD. Beyond thrombocytopaenia, haemorrhage and shock: the expanded dengue syndrome. Pathog Glob Health. 2018; 112(8): 404-414.

  20. Mohan K, Malaiyan J, Nasimuddin S, Devasir RS, Meenakshi-Sundaram P, Selvaraj S et al. Clinical profile and atypical manifestation of dengue fever cases between 2011 and 2018 in Chennai, India. J Family Med Prim Care. 2020; 9(2): 1119-1123.

  21. Thadchanamoorthy V, Dayasiri K. Expanded dengue syndrome presenting with acute liver failure, acute kidney injury, pancreatic involvement, coagulopathy, and multiple intracranial hemorrhages in a young child: a case report. J Med Case Rep. 2022; 16(1): 123.

  22. Anam AM, Rabbani R, Shumy F. Expanded dengue syndrome: three concomitant uncommon presentations in the same patient. Trop Doct. 2017; 47(2): 167-170.

  23. Mohanty B, Sunder A, Pathak S. Clinicolaboratory profile of expanded dengue syndrome - Our experience in a teaching hospital. J Family Med Prim Care. 2019; 8(3): 1022-1027.

  24. Muegues Villero S, Mancilla A, Quinto Orozco J, Salazar Campos A, Cordoba Arenas C. Dengue and its atypical manifestations in the department of Arauca, Colombia 2010-2015. Literature review. JONNPR. 2021; 6(11): 1387-1407.

  25. Das TK, Kanta S. A rare case of dengue fever complicated by hepatitis and pancreatitis: expanded dengue syndrome. JCDR. 2020; 14(11): 1-2.

  26. Rahman S, Wazib A, Bahar T, Irteeja S. Acute pancreatitis complicating dengue fever - a case report. Sri Lanka Journal of Medicine. 2020; 29(1): 39-42.

  27. Alves FAV, Oliveira LLS, Salomao NG, Provance DW Jr, Basilio-de-Oliveira CA, Basílio-de-Oliveira R et al. Cytokines and inflammatory mediators: Markers involved in interstitial damage to the pancreas in two dengue fever cases associated with acute pancreatitis. PLoS One. 2022; 17(1): e0262785.

  28. Sharma DJ, Sharma V, Uddin Ahmed S, Sharma R, Gupta R, Rana S. Acute pancreatitis due to dengue: report of an uncommon complication and literature review. Tropical Gastroenterology. 2018; 39(4): 218-222.

  29. Kumar P, Thapa BR, Himral H, Kapil V. Acute pancreatitis in dengue fever. Indian J Pediatr. 2018; 85: 318-319.

  30. Singh Lakra M, Lahiya S, Meshram RJ, Taksande A, Damke S. A rare case of unusual presentation of acute necrotising pancreatitis as a presenting feature of dengue haemorrhagic fever in a child. J Pediatr Neonatal Care. 2022; 12(1): 21-22.

  31. Krithika A, Ramya R. Acute Pancreatitis: a late complication of dengue fever. Int J Contemp Pediatrics. 2018; 5(2): 676-677.

  32. Mishra A, Saini R, Kallani M. Acute pancreatitis associated with dengue fever: An interesting and rare complication of dengue virus. Indian J Case Reports. 2019; 1: 29-32.

  33. Kurnia B, Suryawan IWB. The association between obesity and severity of dengue hemorrhagic fever in children at Wangaya general hospital. Open Access Maced J Med Sci. 2019; 7(15): 2444-2446.

  34. Chiu YY, Lin CY, Yu LS, Wang WH, Huang CH, Chen YH. The association of obesity and dengue severity in hospitalized adult patients. J Microbiol Immunol Infect. 2022.

  35. Chuong C, Bates TA, Akter S, Werre SR, LeRoith T, Weger-Lucarelli J. Nutritional status impacts dengue virus infection in mice. BMC Biol. 2020; 18(1): 106.

  36. Maneerattanasak S, Suwanbamrung C. Impact of nutritional status on the severity of dengue infection among pediatric patients in southern Thailand. Pediatr Infect Dis J. 2020; 39(12): e410-e416.

  37. Tan VPK, Ngim CF, Lee EZ, Ramadas A, Pong LY, Ng JI et al. The association between obesity and dengue virus (DENV) infection in hospitalised patients. PLoS One. 2018; 13(7): e0200698.

  38. Gallagher P, Chan KR, Rivino L, Yacoub S. The association of obesity and severe dengue: possible pathophysiological mechanisms. J Infect. 2020; 81(1): 10-16.

  39. Aune D, Mahamat-Saleh Y, Norat T, Riboli E. High body mass index and central adiposity is associated with increased risk of acute pancreatitis: a meta-analysis. Dig Dis Sci. 2021; 66(4): 1249-1267.

  40. Choi JS, Yi SW, Park JW, Lee S, Jeong SH, Yi JJ, et al. Body mass index and the risk of acute pancreatitis by etiology: A prospective analysis of Korean National Screening Cohort. J Gastroenterol Hepatol. 2019; 34(3): 603-611.

  41. Hansen SEJ, Madsen CM, Varbo A, Nordestgaard BG. Body mass index, triglycerides, and risk of acute pancreatitis: a population-based study of 118 000 individuals. J Clin Endocrinol Metab. 2020; 105(1): dgz059.

  42. Kuan LL, Dennison AR, Garcea G. Association of visceral adipose tissue on the incidence and severity of acute pancreatitis: A systematic review. Pancreatology. 2020; 20(6): 1056-1061.




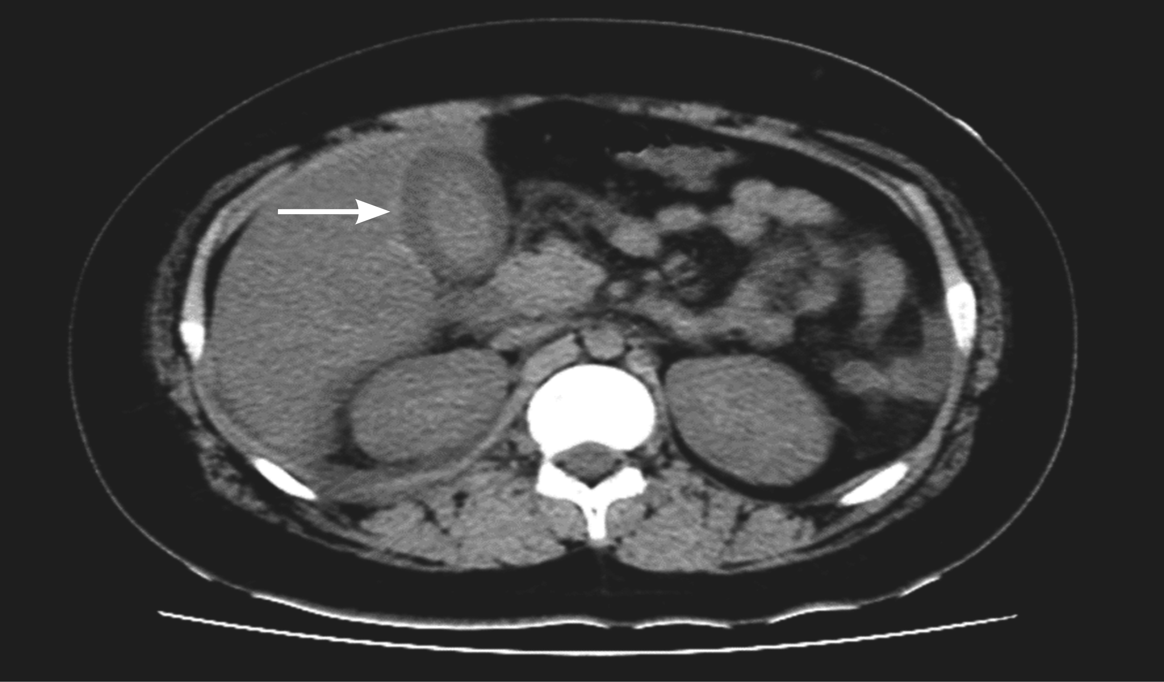
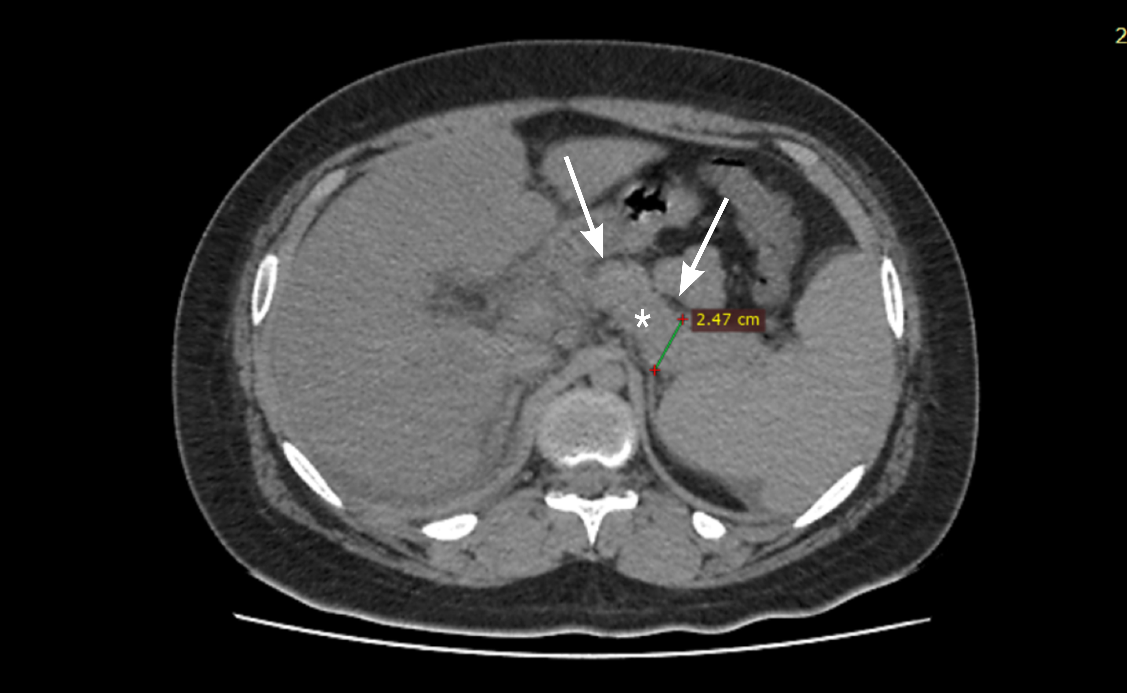
Figure 1
Figure 2

2020     |     www.medigraphic.com

Mi perfil

C?MO CITAR (Vancouver)

Rev Mex Pediatr. 2022;89