medigraphic.com
SPANISH

Revista Mexicana de Coloproctología Enfermedades del Ano, Recto y Colon

Revista Mexicana de Coloproctología Enfermedades del Ano, Recto y Colon
  • Contents
  • View Archive
  • Information
    • General Information        
    • Directory
  • Publish
    • Instructions for authors        
  • medigraphic.com
    • Home
    • Journals index            
    • Register / Login
  • Mi perfil

2023, Number 1

<< Back Next >>

Rev Mex Coloproctol 2023; 19 (1)

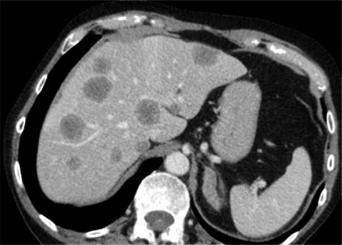
Metachronous hepatic metastatic disease due to colorectal cancer

Zapata G
Full text How to cite this article 10.35366/111801

DOI

DOI: 10.35366/111801
URL: https://dx.doi.org/10.35366/111801

Language: Spanish
References: 10
Page: 19-22
PDF size: 173.58 Kb.


Key words:

colorectal cancer, liver metastasis, metastasis disease, metachronous.

ABSTRACT

Colorectal cancer is the third most common malignancy in the world with an incidence of 1.8 million new cases in 2018 and is the second most common cause of cancer death worldwide. Almost 50% of patients will develop liver metastases in the course of their disease. It is very important to know all tools available to treat this type of patients.


REFERENCES

  1. Allemani C, Matsuda T, Di Carlo V, Harewood R, Matz M, Niksic M et al. Global surveillance of trends in cancer survival 2000-14 (CONCORD-3): analysis of individual records for 37 513 025 patients diagnosed with one of 18 cancers from 322 population-based registries in 71 countries. Lancet. 2018; 391 (10125): 1023-1075.

  2. Delgadillo X, Müller JS, Solass W, Reymond MA. Value of surgery in the palliative therapy for rectal cancer. Zentralbl Chir. 2010; 135 (6): 523-527.

  3. Lee R, Cardona K, Russell M. Historical perspective: two decades of progress in treating metastatic colorectal cancer. J Surg Oncol. 2019; 119: 549-563.

  4. Adam R, de Gramont A, Figueras J, Kokudo N, Kunstlinger F, Loyer E et al. Managing synchronous liver metastases from colorectal cancer: A multidisciplinary international consensus. Cancer Treat Rev. 2015; 41: 729-741.

  5. Chakedis J, Squires M, Beal E, Hughes T, Lewis H, Paredes A et al. Update on current problems in colorectal liver metastasis. Curr Probl Surg. 2017; 54: 554-602.

  6. Norero E, Jarufe N, Butte J, Norero B, Duarte I, Torres J et al. Resultados del tratamiento quirúrgico de las metástasis hepáticas por cáncer colorrectal. Rev Med Chile. 2009; 137: 487-496.

  7. Spolverato G, Ejaz A, Azad N, Pawlik T. Surgery for colorectal liver metastases: The evolution of determining prognosis. World J Gastrointest Oncol. 2013; 5: 207-221.

  8. Chapman WC, Hoff PM, Strasberg SM. Selection of patients for resection of hepatic colorectal metastases: expert consensus statement by Charnsangavej et al. Ann Surg Oncol. 2006; 13 (10): 1269-1270.

  9. Fong Y, Fortner J, Sun R, Brennan M, Blumgart L. Clinical score for predicting recurrence after hepatic resection for metastatic colorectal cancer: analysis of 1001 consecutive cases. Ann Surg. 1999; 230: 309-321.

  10. Jarufe N. Impacto del tipo de resección (anatómico y no anatómico) en los resultados de la cirugía hepática para el tratamiento de las metástasis colorrectales. Rev Chil Cir. 2009; 61: 148-157.




Figure 1
Figure 2

2020     |     www.medigraphic.com

Mi perfil

C?MO CITAR (Vancouver)

Rev Mex Coloproctol. 2023;19