medigraphic.com
SPANISH

Revista Mexicana de Coloproctología Enfermedades del Ano, Recto y Colon

Revista Mexicana de Coloproctología Enfermedades del Ano, Recto y Colon
  • Contents
  • View Archive
  • Information
    • General Information        
    • Directory
  • Publish
    • Instructions for authors        
  • medigraphic.com
    • Home
    • Journals index            
    • Register / Login
  • Mi perfil

2023, Number 1

<< Back Next >>

Rev Mex Coloproctol 2023; 19 (1)

Stage IV rectal cancer in a 25-year-old patient. Report of a case

Pérez LB, Maciel GVM, Valenzuela PJA, Acosta QJR, Cervantes OS, Centeno MW, Hernández RR
Full text How to cite this article 10.35366/111802

DOI

DOI: 10.35366/111802
URL: https://dx.doi.org/10.35366/111802

Language: Spanish
References: 15
Page: 23-27
PDF size: 389.18 Kb.


Key words:

cancer, colorectal cancer, metastasis, rectum.

ABSTRACT

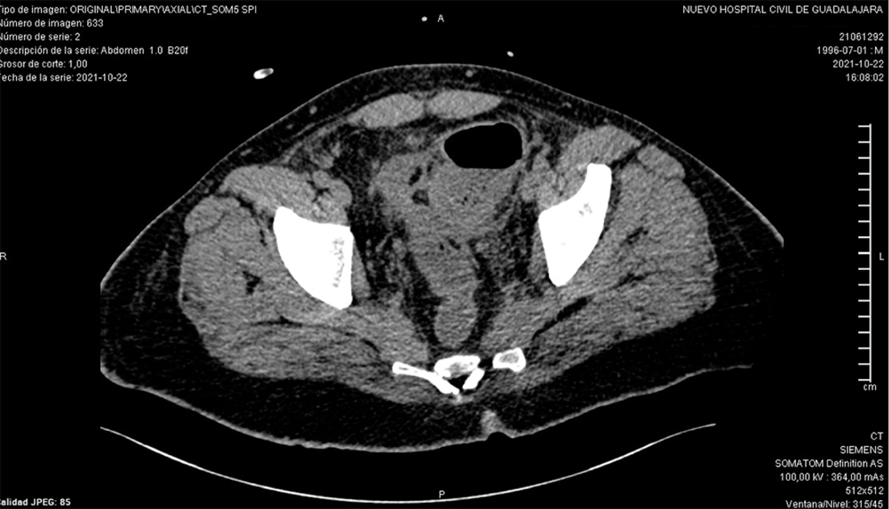
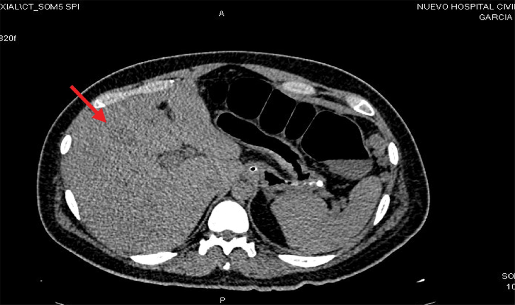
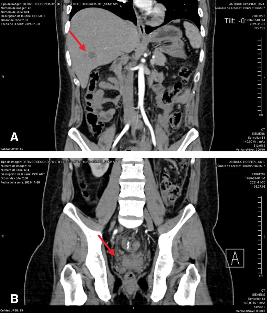
Introduction: rectal cancer can occur in young patients with no family history, so it is important to assess screening studies in the young population. Clinical case: 25-year-old male with no family history, goes to the emergency department due to a distal bowel obstruction with a history of 30 kg weight loss and diarrhea of six months' duration, imaging studies with an upper rectal lesion and secondary liver nodules. Discussion: results from studies worldwide support the benefits of changing the age of screening for colorectal cancer for patients of any age. The implementation of screening is intended to reduce mortality, but not incidence rates. Conclusions: it is necessary to take into account and assess the signs and symptoms of young patients who come to the consult with symptoms suggestive of a tumor and not wait for them to arrive at an emergency department with data of distal large intestine occlusion and think that cancer can be present also in young patients.


REFERENCES

  1. Wang MJ, Ping J, LI Y, Adell G, Arbman G, Nodin B et al. The prognostic factors and multiple biomarkers in young patients with colorectal cancer. Sci Rep. 2015; 5: 10645.

  2. Singh KE, Taylor TH, Pan CG, Stamos MJ, Zell JA. Colorectal cancer incidence among young adults in California. J Adolesc Young Adult Oncol. 2014; 3 (4): 176-184.

  3. Fu J, Yang J, Tan Y, Jiang M, Wen F, Huang Y et al Young patients (≤ 35 years old) with colorectal cancer have worse outcomes due to more advanced disease: a 30-year retrospective review. Medicine. 2014; 93: e135.

  4. Siegel RL, Fedewa SA, Anderson WF, Miller KD, Ma J, Rosenberg PS et al Colorectal cancer incidence patterns in the United States, 1974-2013. J Natl Cancer Inst. 2017; 109: djw322.

  5. García NM. Caracterización anatomoclínica y molecular del cáncer colorrectal en adultos jóvenes y comparación con pacientes mayores de 65 años. [Tesis doctoral], Madrid, 2019.

  6. Montminy EM, Zhou M, Maniscalco L, Heda R, Kim MK, Patel SG et al. Shifts in the Proportion of Distant Stage Early-Onset Colorectal Adenocarcinoma in the United States. Cancer Epidemiol Biomarkers Prev. 2022; 31 (2): 334-341.

  7. Vuik FE, Nieuwenburg SA, Bardou M, Lansdorp-Vogelaar I, Dinis-Ribeiro M, Bento MJ et al. Increasing incidence of colorectal cancer in young adults in Europe over the last 25 years. Gut. 2019; 68 (10): 1820-1826.

  8. Araghi M, Soerjomataram I, Bardot A, Ferlay J, Cabasag CJ, Morrison DS et al. Changes in colorectal cancer incidence in seven high-income countries: a population-based study. The Lancet. 2019; 4 (7): 511-518. Available in: https://doi.org/10.1016/S2468-1253(19)30147-5

  9. Yarden RI, Newcomer KL. Never to Young Advisory Board and Colorectal Cancer Alliance. Abstract 3347: Young onset colorectal cancer patients are diagnosed with advanced disease after multiple misdiagnoses. Cancer Res. 2019; 79 (Suppl 13): 3347. Avalaible in https://doi.org/10.1158/1538-7445.AM2019-3347

  10. Inra JA, Syngal S. Colorectal cancer in young adults. Dig Dis Sci. 2015; 60 (3): 722-733.

  11. Willett W. Nutritional epidemiology. New York: Oxford University Press; 2013.

  12. Piñeros M. La iniciativa mundial para el desarrollo de registros de cáncer (GICR): una herramienta para el desarrollo de capacidades en el registro de cáncer [Internet]. Lyon: International Agency for Research on Cancer; 2014 [cited 01 August 2017]. Available in: https://tinyurl.com/y794s5qc

  13. Lee WC, Neugut AL, Garbowski GC, Forde KA, Trat MR, Waye JD et al. Cigarettes, alcohol, coffee and caffeine as risk factors for colorectal adenomatous polyps. An Epidemiol. 2006; 3: 239-244.

  14. Samak AK, Taylor RS. A meta-analysis of the association of physical activity with reduced risk of colorectal cancer. Colorectal Dis. 2005; 7: 204-213.

  15. Austin H, Henley SJ, King J, Richardson LC, Eheman C. Changes in colorectal cancer incidence rates in young and older adults in the United States: what does it tell us about screening. Cancer Causes Control. 2014; 25 (2): 191-201.




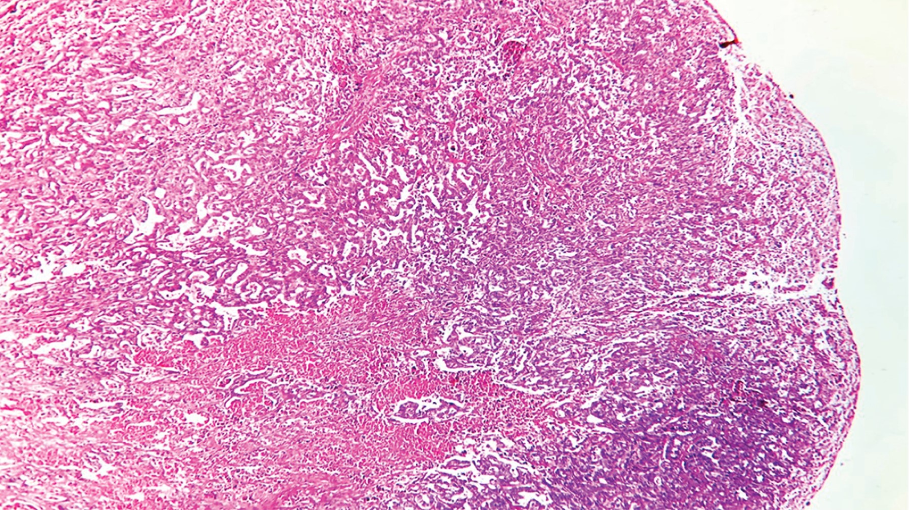
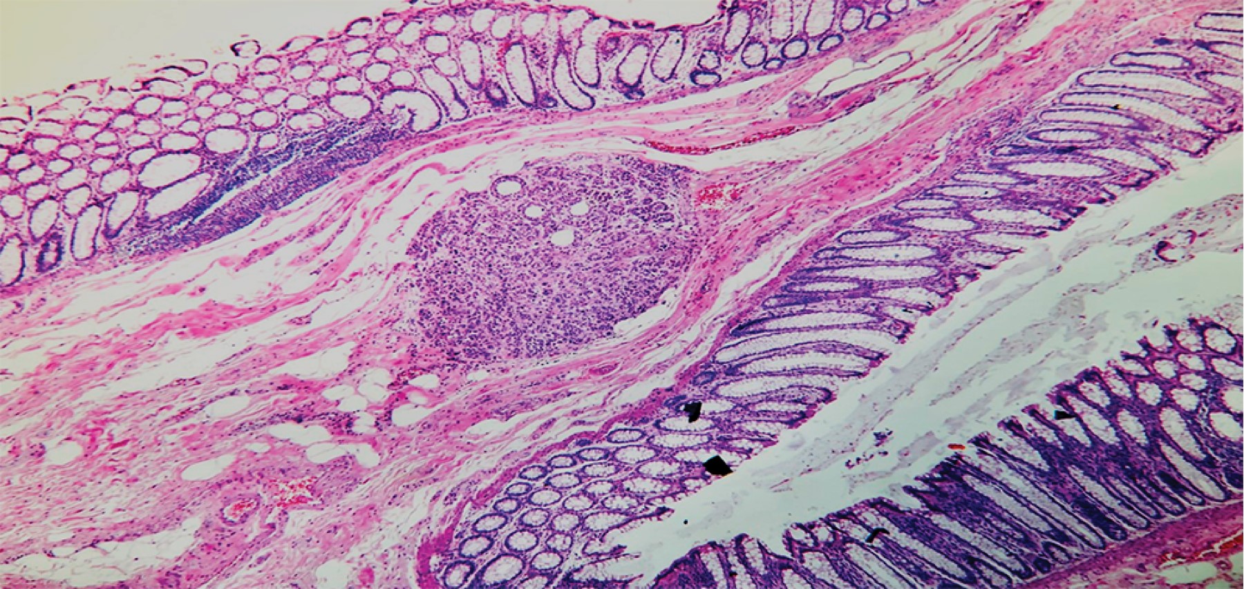
Figure 1
Figure 2
Figure 3
Figure 4
Figure 5
Figure 6
Figure 7

2020     |     www.medigraphic.com

Mi perfil

C?MO CITAR (Vancouver)

Rev Mex Coloproctol. 2023;19