medigraphic.com
SPANISH

Revista Mexicana de Trasplantes

ISSN 3122-3893 (Electronic)
  • Contents
  • View Archive
  • Information
    • General Information        
    • Directory
  • Publish
    • Instructions for authors        
    • Send manuscript
  • Policies
  • medigraphic.com
    • Home
    • Journals index            
    • Register / Login
  • Mi perfil

2023, Number 3

<< Back

Rev Mex Traspl 2023; 12 (3)

Renal transplantation in a patient with cystic fibrosis and glomerulonephritis. Case report

Rodríguez-Mañón S, Ruiz-Cruz NC, Pérez-Rocha-León E, Torres-Gaona LG
Full text How to cite this article 10.35366/112290

DOI

DOI: 10.35366/112290
URL: https://dx.doi.org/10.35366/112290

Language: Spanish
References: 20
Page: 168-172
PDF size: 279.41 Kb.


Key words:

chronic kidney disease, cystic fibrosis, renal transplantation, glomerulonephritis, coagulopathies.

ABSTRACT

In high and middle-income countries, approximately one in ten people suffer from chronic kidney disease, mainly caused by diabetes mellitus, arterial hypertension or glomerulonephritis. Diabetes mellitus is considered the most important risk factor. End-stage renal disease, requires renal replacement therapy (peritoneal dialysis, hemodialysis or kidney transplantation). Renal transplantation is the best tool for definitive treatment of these patients. There are few causes of chronic kidney disease that contraindicate renal transplantation, for example, anti-glomerular basement membrane antibody glomerulonephritis in patients with Alport syndrome. Despite the risk of recurrence of glomerulonephritis, there is no contraindication for a first transplant in patients with primary glomerulonephritis, regardless of histological type. The type of glomerulonephritis is an independent predictor of graft loss, the highest risk is for focal and segmental glomerulonephritis and dense deposit disease. This paper presents the case of a 21-year-old male patient with cystic fibrosis known since he was two years old, who later developed chronic kidney disease secondary to focal segmental glomerulonephritis demonstrated by renal biopsy at 15 years of age, without immunological diseases as background, who received a kidney transplant from a related living donor and approximately 24 hours after the surgical procedure the patient presented graft loss.


REFERENCES

  1. Correa R, Morales L, Niño J et al. Protocolo de trasplante renal. Instituto Nacional de Ciencias Médicas y Nutrición Salvador Zubirán. 2015; 67.

  2. Lv JC, Zhang LX. Prevalence and disease burden of chronic kidney disease. Adv Exp Med Biol. 2019; 1165: 3-15.

  3. Hatziparasides G, Loukou I, Moustaki M, Douros K. Vitamin K and cystic fibrosis: a gordian knot that deserves our attention. Respiratory Medicine. 2019; 155: 36-42.

  4. Rafeeq MM, Murad HAS. Cystic fibrosis: current therapeutic targets and future approaches. J Transl Med. 2017; 15: 84.

  5. Kovesdy CP. Epidemiology of chronic kidney disease: an update 2022. Kidney Int Suppl. 2022; 12 (1): 7-11.

  6. Scotet V, L'Hostis C, Férec C. The changing epidemiology of cystic fibrosis: incidence, survival and impact of the CFTR gene discovery. Genes. 2020; 11 (6): 589.

  7. Esfandiar N. Urinary system and renal involvement in children with cystic fibrosis. Kidney Diseases. 2020; 14 (4): 4. Available in: www.ijkd.org

  8. Chen TK, Knicely DH, Grams ME. Chronic kidney disease diagnosis and management. JAMA. 2019; 322 (13): 1294.

  9. Andrés A. Indications and contraindications for living kidney donations. Revista Nefrología. 2011; 30 (2): 1-9.

  10. Berg KH, Ryom L, Faurholt-Jepsen D, Pressler T, Katzenstein TL. Prevalence and characteristics of chronic kidney disease among Danish adults with cystic fibrosis. J Cyst Fibros. 2018; 17 (4): 478-483.

  11. Lai S, Mazzaferro S, Mitterhofer AP, Bonci E, Marotta PG, Pelligra F et al. Renal involvement and metabolic alterations in adults patients affected by cystic fibrosis. J Transl Med. 2019; 17 (1): 388.

  12. Romagnani P, Remuzzi G, Glassock R, Levin A, Jager KJ, Tonelli M et al. Chronic kidney disease. Nat Rev Dis Primers. 2017; 3 (17088): 17088.

  13. Webster AC, Nagler EV, Morton RL, Masson P. Chronic kidney disease. Lancet. 2017; 389 (10075): 1238-1252.

  14. Augustine J. Kidney transplant: New opportunities and challenges. Cleve Clin J Med. 2018; 85 (2): 138-144.

  15. Chadban SJ, Ahn C, Axelrod DA, Foster BJ, Kasiske BL, Kher V et al. KDIGO clinical practice guideline on the evaluation and management of candidates for kidney transplantation. Transplantation. 2020; 104 (4S1): S11.

  16. Jagannath VA, Thaker V, Chang AB, Price AI. Vitamin K supplementation for cystic fibrosis. Cochrane Database Syst Rev. 2020; 6 (6): CD008482.

  17. Krzyzanowska P, Drzymala-Czyz S, Rohovyk N, Bober L, Moczkco J, Rachel M et al. Prevalence of vitamin K deficiency and associated factors in non-supplemented cystic fibrosis patients. Arch Argent Pediatr. 2018; 116 (1): e19-e25.

  18. Nowak JK, Sobkowiak P, Drzyma?a-Czyz S, Krzyzanowska-Jankowska P, Sapiejka E, Skorupa W et al. Fat-soluble vitamin supplementation using liposomes, cyclodextrins, or medium-chain triglycerides in cystic fibrosis: a randomized controlled trial. Nutrients. 2021; 13 (12): 4554.

  19. Jourde-Chiche N, Fakhouri F, Dou L, Bellien J, Burtey S, Frimat M et al. Endothelium structure and function in kidney health and disease. Nat Rev Nephrol. 2019; 15 (2): 87-108.

  20. Lim WH, Shingde M, Wong G. Recurrent and de novo glomerulonephritis after kidney transplantation. Front Immunol. 2019; 10: 1944.




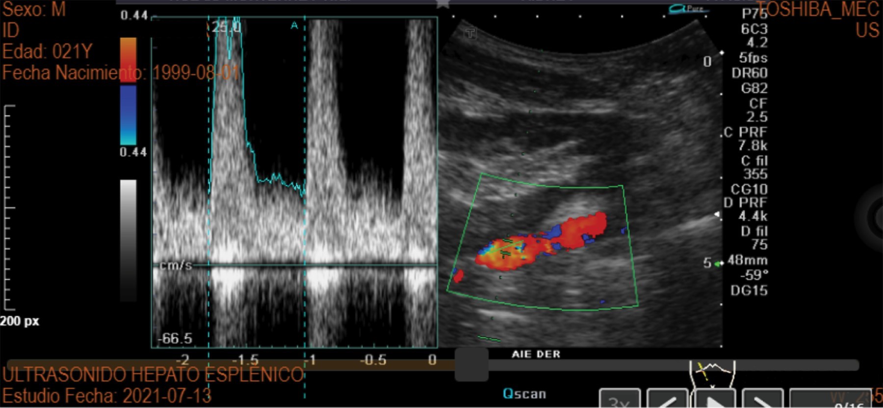
Figure 1
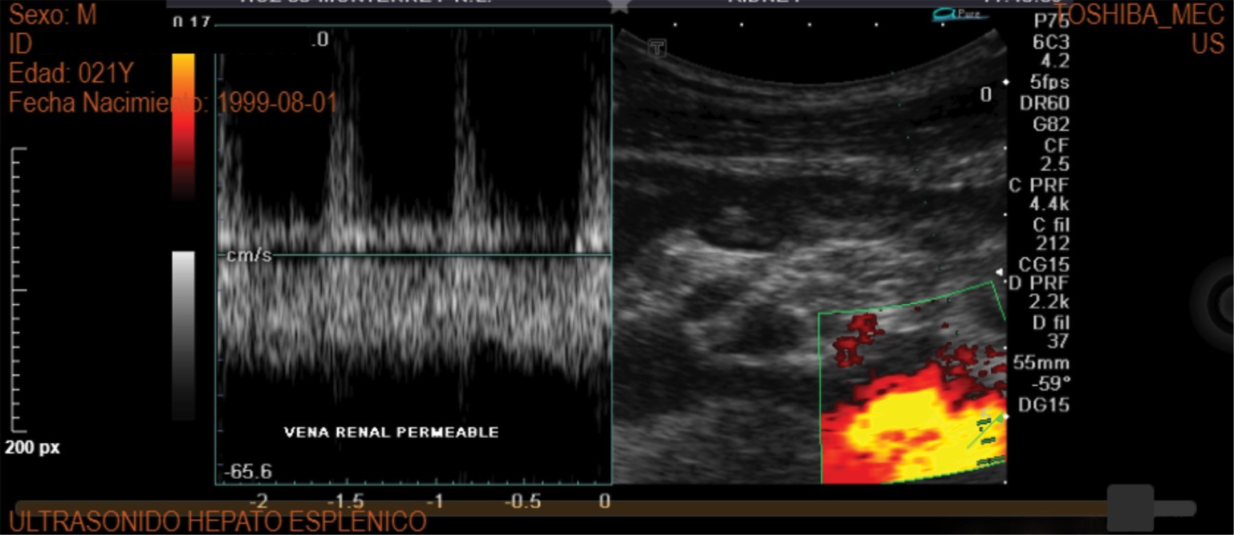
Figure 2
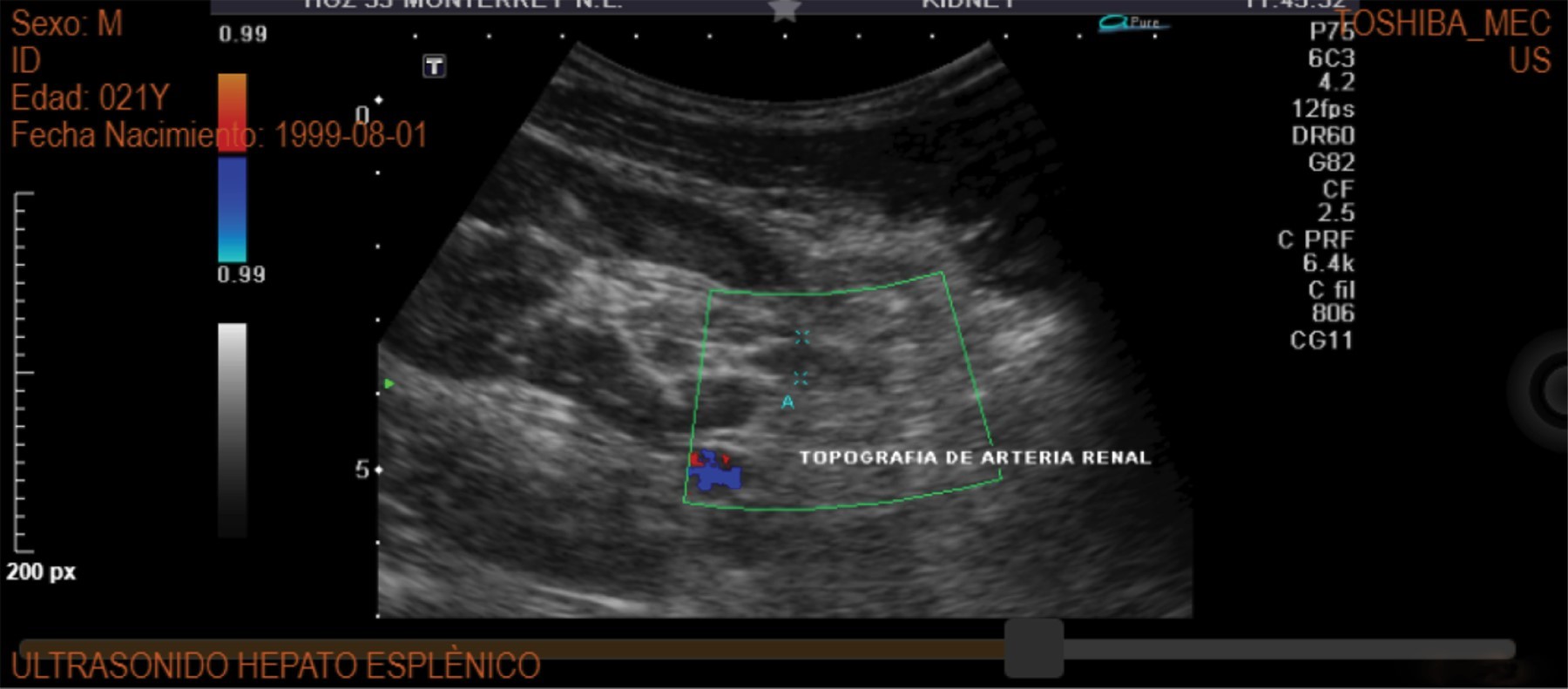
Figure 3

2020     |     www.medigraphic.com

Mi perfil

C?MO CITAR (Vancouver)

Rev Mex Traspl. 2023;12