medigraphic.com
SPANISH

Revista Mexicana de Anestesiología

ISSN 3061-8142 (Electronic)
ISSN 0484-7903 (Print)
  • Contents
  • View Archive
  • Information
    • General Information        
    • Directory
  • Publish
    • Instructions for authors        
  • medigraphic.com
    • Home
    • Journals index            
    • Register / Login
  • Mi perfil

2023, Number 4

<< Back Next >>

Rev Mex Anest 2023; 46 (4)

Sedoanalgesia with ketodex for selective intubation in the resection of a giant aneurysm of the subclavian artery associated. Case report

Rascón-Martínez DM, Jiménez-Mancilla NE, Rojas-Peñaloza J, De RFI, Castellanos-Olivares A
Full text How to cite this article 10.35366/112301

DOI

DOI: 10.35366/112301
URL: https://dx.doi.org/10.35366/112301

Language: Spanish
References: 21
Page: 279-283
PDF size: 299.05 Kb.


Key words:

ketodex, sedoanalgesia, selective intubation, subclavian artery aneurysm.

ABSTRACT

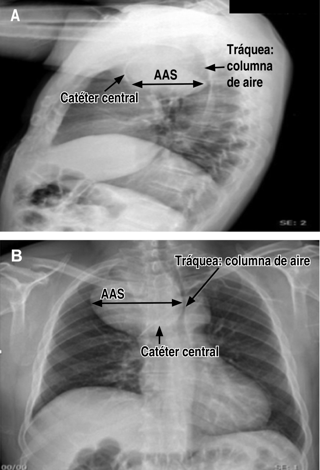
A giant subclavian artery aneurysm associated with superior vena cava syndrome occurs infrequently. Complexity of the approach will depend on the size, shape, and position of the aneurysm, particularly when a potential collapse of the airway is expected due to the compressive effect of the mediastinal mass after using neuromuscular relaxant for airway approach. We present a case in a 57-year-old male with shortness of breath in dorsal that increases with left lateral decubitus during five years of evolution. Radiological studies reported giant mediastinal mass compatible with an aneurysm of the right subclavian artery, which produces critical compression and airway displacement, particularly in trachea at level of the carina. The patient is scheduled for resection of the aneurysm and requires selective intubation for isolation of the right lung during surgery which was performed with the awake patient technique using sedoanalgesia with ketodex. The objective of the case is to share the experience using ketodex as an alternative for the tolerance of procedures that requires the cooperation of the patient where propofol and neuromuscular relaxant may be a problem for airway permeability and approach.


REFERENCES

  1. Gaitán JA, Gómez CE. Aneurisma de la arteria subclavia. Rev Colomb Cir. 2015;30:68-73.

  2. Vierhout BP, Zeebregts CJ, van den Dungen JJ, Reijnen MM. Changing profiles of diagnostic and treatment options in subclavian artery aneurysms. Eur J Vasc Endovasc Surg. 2010;40(1):27-34.

  3. DeAndrade DS, Smith NF, McHugh SM. Airway compression during transcatheter aortic valve replacement via subclavian artery approach: a case report. A A Pract. 2019;12:329-331.

  4. Goh MH, Liu XY, Goh YS. Anterior mediastinal masses: an anaesthetic challenge. Anaesthesia. 1999;54:670-674.

  5. Lin CM, Hsu JC. Anterior mediastinal tumour identified by intraoperative transesophageal echocardiography. Can J Anaesth. 2001;48:78-80.

  6. Gunduz M, Sakalli S, Gunes Y, Kesiktas E, Ozcengiz D, Isik G. Comparison of effects of ketamine, ketamine-dexmedetomidine and ketamine-midazolam on dressing changes of burn patients. J Anaesthesiol Clin Pharmacol. 2011;27:220-224.

  7. Sinha SK, Joshiraj B, Chaudhary L, Hayaran N, Kaur M, Jain A. A comparison of dexmedetomidine plus ketamine combination with dexmedetomidine alone for awake fiberoptic nasotracheal intubation: A randomized controlled study. J Anaesthesiol Clin Pharmacol. 2014;30:514-519.

  8. Spahn DR, Bouillon B, Cerny V, Duranteau J, Filipescu D, Hunt BJ, et al. The European guideline on management of major bleeding and coagulopathy following trauma: fifth edition. Crit Care. 2019;23:98.

  9. Erdos G, Tzanova I. Perioperative anaesthetic management of mediastinal mass in adults. Eur J Anaesthesiol. 2009;26:627-632.

  10. Hudson CC, Stewart J, Dennie C, Malas T, Boodhwani M. Severe tracheobronchial compression in a patient with Turner's syndrome undergoing repair of a complex aorto-subclavian aneurysm: anesthesia perspectives. Ann Card Anaesth. 2014;17:302-305.

  11. Dere K, Sucullu I, Budak ET, Yeyen S, Filiz AI, Ozkan S, et al. A comparison of dexmedetomidine versus midazolam for sedation, pain and hemodynamic control, during colonoscopy under conscious sedation. Eur J Anaesthesiol. 2010;27:648-652.

  12. Hensley FA. A practical approach to cardiac anesthesia. 3rd ed. Philadelphia: Lippincott Williams & Wilkins; 2003.

  13. Kumar A, Verma S, Tiwari T, Dhasmana S, Singh V, Singh GP. A comparison of two doses of ketamine with dexmedetomidine for fiberoptic nasotracheal intubation. Natl J Maxillofac Surg. 2019;10:212-216.

  14. Smith DJ, Bouchal RL, deSanctis CA, Monroe PJ, Amedro JB, Perrotti JM, et al. Properties of the interaction between ketamine and opiate binding sites in vivo and in vitro. Neuropharmacology. 1987;26:1253–60.

  15. Peden CJ, Prys-Roberts C. Dexmedetomidine-a powerful new adjunct to anaesthesia? Br J Anaesth. 1992;68:123-125.

  16. Kariya N, Shindoh M, Nishi S, Yukioka H, Asada A. Oral clonidine for sedation and analgesia in a burn patient. J Clin Anesth. 1998;10:514-517.

  17. Talke P, Chen R, Thomas B, Aggarwall A, Gottlieb A, Thorborg P, et al. The hemodynamic and adrenergic effects of perioperative dexmedetomidine infusion after vascular surgery. Anesth Analg. 2000;90:834-839.

  18. Horvath G, Joo G, Dobos I, Klimscha W, Toth G, Benedek G. The synergistic antinociceptive interactions of endomorphin-1 with dexmedetomidine and/or S(+)-ketamine in rats. Anesth Analg. 2001;93:1018-1024.

  19. Powers AR 3rd, Gancsos MG, Finn ES, Morgan PT, Corlett PR. Ketamine-induced hallucinations. Psychopathology. 2015;48:376-385.

  20. Hsu AL. Critical airway obstruction by mediastinal masses in the intensive care unit. Anaesth Intensive Care. 2013;41:543-548.

  21. Choi WJ, Kim YH, Mok JM, Choi SI, Kim HS. Patient repositioning and the amelioration of airway obstruction by an anterior mediastinal tumor during general anesthesia -A case report-. Korean J Anesthesiol. 2010;59:206-209.




Figure 1
Figure 2
Table 1

2020     |     www.medigraphic.com

Mi perfil

C?MO CITAR (Vancouver)

Rev Mex Anest. 2023;46