medigraphic.com
SPANISH

Cirugía Plástica

ISSN 2992-8559 (Electronic)
ISSN 1405-0625 (Print)
  • Contents
  • View Archive
  • Information
    • General Information        
    • Directory
  • Publish
    • Instructions for authors        
    • Send manuscript
  • Policies
    • Políticas éticas
    • Políticas de acceso abierto
    • Políticas de revisión de manuscritos
    • Políticas editoriales generales
  • medigraphic.com
    • Home
    • Journals index            
    • Register / Login
  • Mi perfil

2023, Number 2

<< Back Next >>

Cir Plast 2023; 33 (2)

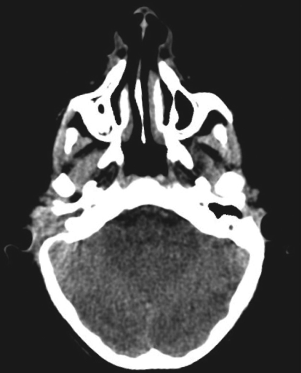
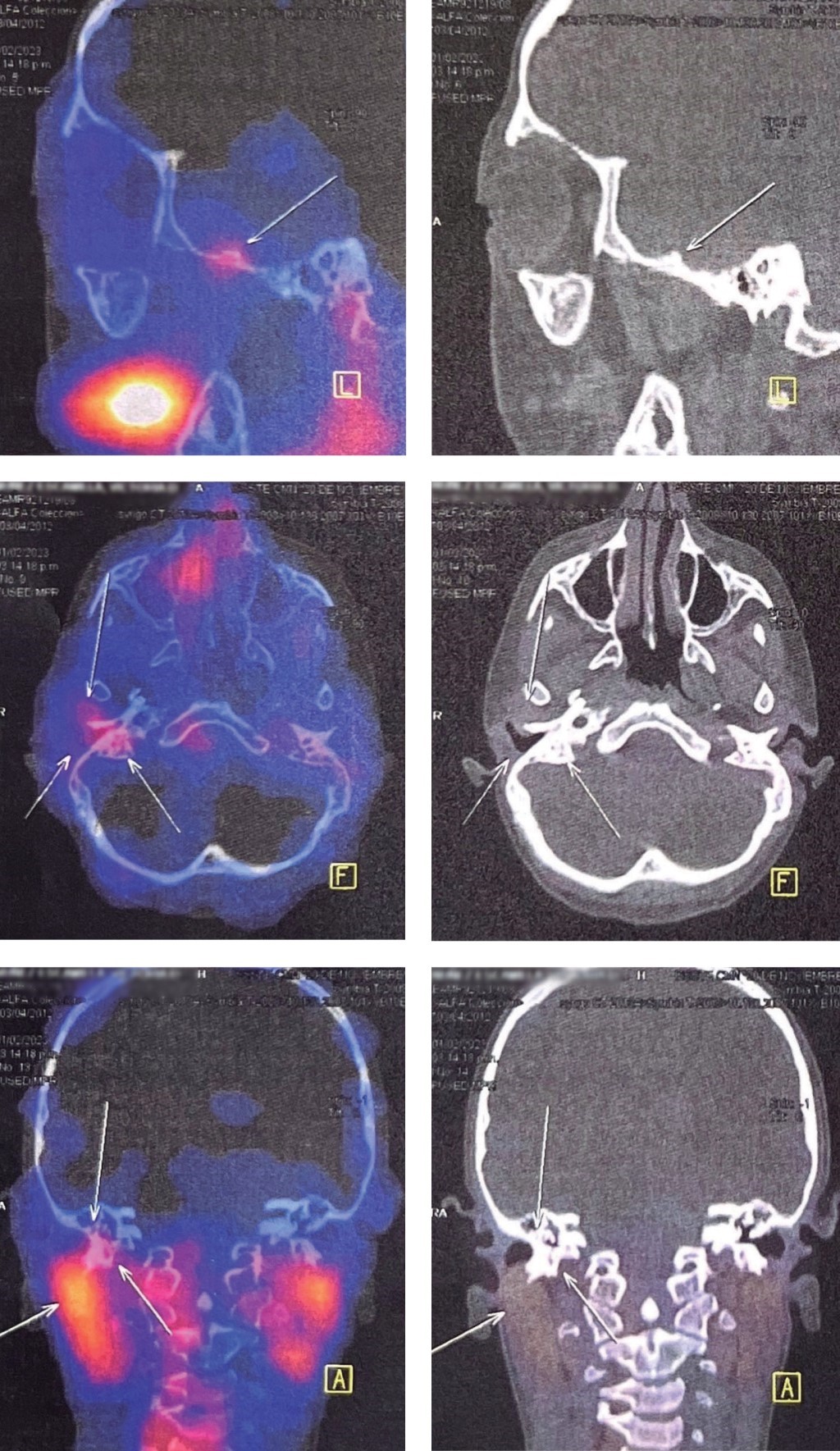
Temporoparietal fascial flap for radical mastoidectomy defect obliteration in a pediatric patient in a national reference center

Rivas-Jiménez J, Mejía-Solís EA, Rojas-Gutiérrez CD, Haro-Cruz JS, Tejada-Aldazosa JE
Full text How to cite this article 10.35366/112377

DOI

DOI: 10.35366/112377
URL: https://dx.doi.org/10.35366/112377

Language: Spanish
References: 15
Page: 81-85
PDF size: 492.36 Kb.


Key words:

temporoparietal fascia flap, radical mastoidectomy, pediatric craniofacial reconstruction.

ABSTRACT

The temporoparietal fascia flap is one of the most versatile flaps for reconstruction of complex head and neck defects; even though its description in cases of mastoidectomy in the pediatric population and its outcomes are not reported in the literature. We present the case of a 10-year-old patient with chronic otitis media who underwent radical mastoidectomy with subsequent reconstruction by temporoparietal fascia flap with a good result. The temporoparietal fascia flap is a flap that can be used in cases of osteomyelitis in the temporal region offering an appropriate coverage of the region with minimal donor site morbidity and favorable results.


REFERENCES

  1. Moran S, Santamaría E. Temporoparietal fascia flap. In: Wei FC, Mardini S, ed. Flaps and reconstructive surgery. 2nd ed. Toronto: Elsevier; 2017. pp. 72-86.

  2. Higgins KM, Ashford B, Erovic BM, Yoo J, Enepekides DJ. Temporoparietal fascia free flap for pharyngeal coverage after salvage total laryngectomy. Laryngoscope 2012; 122 (3): 523-527.

  3. Rastatter JC, Walz PC, Alden TD. Pediatric skull base reconstruction: case report of a tunneled temporoparietal fascia flap. J Neurosurg Pediatr 2016; 17 (3): 371-377.

  4. Lam D, Carlson ER. The temporalis muscle flap and temporoparietal fascial flap. Oral Maxillofac Surg Clin North Am 2014; 26 (3): 359-369.

  5. Rose EH, Norris MS. The versatile temporoparietal fascial flap. Plast Reconstr Surg 1990; 85 (2): 224-232.

  6. Woods JM, Shack RB, Hagan KF. Free temporoparietal fascia flap in reconstruction of the lower extremity. Ann Plast Surg 1995; 34 (5): 501-506.

  7. Cheney ML, Megerian CA, Brown MT, McKenna MJ, Nadol JB. The use of the temporoparietal fascial flap in temporal bone reconstruction. Am J Otol 1996; 17 (1): 137-142.

  8. Stow NW, Gordon DH, Eisenberg R. Technique of temporoparietal fascia flap in ear and lateral skull base surgery. Otol Neurotol 2010; 31 (6): 964-967.

  9. Horen SR, Hamidian Jahromi A, Konofaos P. Temporoparietal fascial free flap. Ann Plast Surg 2021; 87 (6): e189-e200.

  10. Cheney ML, Megerian CA, Brown MT, McKenna MJ. Mastoid obliteration and lining using the temporoparietal fascial flap. Laryngoscope 1995; 105 (9 Pt 1): 1010-1013.

  11. Haginomori SI, Nonaka R, Takenaka H, Ueda K. Canal wall—down tympanoplasty with soft-wall reconstruction using the pedicled temporoparietal fascial flap: technique and preliminary results. Ann Otol Rhinol Laryngol 2008; 117 (10): 719-726.

  12. Elbanoby TM, Zidan SM, Elbatawy AM, Aly GM, Sholkamy K. Superficial temporal artery flap for reconstruction of complex facial defects: A new algorithm. Arch Plast Surg 2018; 45 (2): 118-127.

  13. Loh R, Phua M, Shaw CKL. Management of pediatric acute mastoiditis: systematic review. J Laryngol Otol 2018; 132 (2): 96-104.

  14. Laulajainen-Hongisto A, Aarnisalo AA, Jero J. Differentiating acute otitis media and acute mastoiditis in hospitalized children. Curr Allergy Asthma Rep 2016; 16 (10): 72.

  15. Lee DH, Jun BC, Jung SH, Song CE. Deep temporal fascial periosteal flap for canal wall down mastoidectomy. Laryngoscope 2006; 116 (12): 2229-2231.




Figure 1
Figure 2
Figure 3
Figure 4
Figure 5
Figure 6

2020     |     www.medigraphic.com

Mi perfil

C?MO CITAR (Vancouver)

Cir Plast. 2023;33