medigraphic.com
SPANISH

Acta Ortopédica Mexicana

ISSN 2992-8036 (Electronic)
ISSN 2306-4102 (Print)
Órgano Oficial del Colegio Mexicano de Ortopedia y Traumatología
  • Contents
  • View Archive
  • Information
    • General Information        
    • Directory
  • Publish
    • Instructions for authors        
  • medigraphic.com
    • Home
    • Journals index            
    • Register / Login
  • Mi perfil

2023, Number 2

<< Back Next >>

Acta Ortop Mex 2023; 37 (2)

Late consolidation of the scaphoid. Case report and literature review

Sánchez-Saba, JE1; Aguiar, F2; Zaidenberg, EE1; Gallucci, G1; De Carli, P1; Boretto, J1
Full text How to cite this article 10.35366/112991

DOI

DOI: 10.35366/112991
URL: https://dx.doi.org/10.35366/112991

Language: English
References: 20
Page: 109-112
PDF size: 166.21 Kb.


Key words:

scaphoid fracture, wrist injuries, scaphoid injuries, carpal bones, scaphoid nonunion, fracture healing.

ABSTRACT

Scaphoid fractures are a common wrist injury accounting for 2-7% of all adult fractures. Nonunion is described in 5-12% of cases leading to osteoarthritis. Several classifications have been developed focused on this pathology and its complication. We present a case of a 28 years old male patient with a scaphoid fracture and nonunion who spontaneously consolidates without treatment. We performed a literature review to recognize this pathology, its common evolution and possible treatment options.



INTRODUCTION

A scaphoid fracture is a common wrist injury.1 It has a frequency of 2-7% within all fractures in active adults.2,3 It is the most common carpal fracture (70-89%).2,4,5,6,7 It is rare in the pediatric population, representing only 3% of wrist and carpal fractures.5,6,8,9,10

Nonunion stands out among the complications associated with this fracture with an incidence of 5-12%.1,11,12,13 This commonly leads to joint collapse and wrist osteoarthritis.11,12 The main risk factors for nonunion are the retrograde vascularization of this bone2,5,12,14 and the lack of initial diagnosis and treatment.4,11 This applies to occult scaphoid fractures, nonetheless, there is no conclusive data to predict which fractures will certainly lead to nonunion.6

This study aims to present a case of untreated scaphoid nonunion that evolved with spontaneous consolidation 15 months after trauma. Secondly we performed a literature review.



CASE REPORT

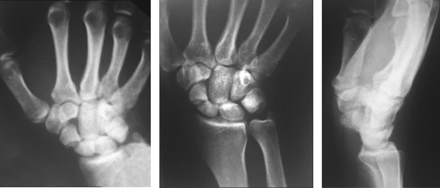
A 28-year-old right-handed male, with no comorbidities, sustained a wrist injury when he fell from his own height and landed with an outstretched right hand. He evolved with swelling, limitation of movement, and tenderness on palpation in his anatomical snuff box. He was initially assessed in another institution where through plain radiographs the diagnosis of scaphoid fracture was made. It was classified as a Herbert and Fischer type B2 (complete displaced scaphoid waist fracture) (Figure 1). Consequently, he was immobilized with a below-elbow cast without the inclusion of the proximal phalanx of the thumb. After three weeks, the patient removed his cast and decided to abandon the treatment and medical follow-up. At seven months he consulted again for pain. Once more, posteroanterior, lateral, and scaphoid (30° wrist extension, 20° ulnar deviation) plain radiographs of the wrist were requested (Figure 2). The fracture exhibited absence of consolidation. Due to the evolution time (more than six months from the initial trauma), a scaphoid nonunion was diagnosed. A CT scan was requested to assess displacement. This revealed a Herbert type D nonunion (established nonunion), with no density alteration in the scaphoid fragments and no displacement (Figure 3). According to the Slade and Geissler classification, it was a grade II nonunion, with no sclerosis, no bone cysts, and a small resorption edge. Surgical treatment was indicated, but the patient refused. Then he returned to our institution 10 months after the initial injury. He presented with pain in the anatomical snuffbox, on axial compression of the first metacarpal, and on palpation of the scaphoid tubercle. Mobility was similar to the contralateral side but painful (visual analogue scale [VAS] 7/10) (Table 1). Surgical treatment was once more indicated. The patient was then lost in follow-up and returned to control 15 months after the initial injury without having undergone any type of treatment or immobilization. He showed a spontaneous clinical improvement, a complete absence of pain (VAS 0/10) and range of motion, and grip strength similar to the healthy contralateral side (Table 1). Plain radiographs and CT scan with 3D reconstruction were requested. The new images showed scaphoid consolidation (Figures 4 and 5).



DISCUSSION

Risk factors for scaphoid nonunion are fracture displacement, angulation, comminution, and involvement of the proximal pole.15 Nonunion is defined as a failure to reach bone union by six months after injury.3,11 Schubert et al. report that after 12 weeks of immobilization, if signs of consolidation are not evident, signs of avascular necrosis and/or nonunion such as fragment sclerosis may appear.6

From a therapeutic point of view, we can divide scaphoid fractures into non-displaced (which present a good evolution with immobilization) and displaced (who have a greater tendency to nonunion, for which operative treatment is recommended).5 Another classification is proposed by Herbert et al. which divides scaphoid fractures according to their radiological pattern. They are differentiated into type A (stable acute fractures), type B (unstable acute fractures), type C (delayed union), and type D (established nonunion).7,11,12,16

Nonetheless, these classifications only take into consideration the anatomical injury pattern, for this reason, Slade and Geissler suggest a classification for the treatment of scaphoid nonunion by which they also describe patterns and characteristics based on images.17 These authors propose six groups (Table 2). Groups I, II, and III require osteosynthesis through compression screws. Groups IV and V require osteosynthesis with debridement and graft. Finally, group VI is characterized by degenerative changes, requiring salvage surgeries for its treatment.17

Untreated scaphoid nonunion commonly leads to wrist degenerative changes known as scaphoid non-union advanced collapse (SNAC), normally compromising first the radioscaphoid joint at the radial styloid process, with joint narrowing (stage 1). Subsequently, bone cysts can be seen in the scaphoid and the whole scaphoid fossa is affected (stage 2), midcarpal osteoarthritis that can rise to the narrowing of the luno-capitate joint (stage 3) and diffuse carpal involvement (stage 4). Dorsal lunate instability (dorsal intercalated segment instability or DISI), fracture displacement, and the nonunion gap size are the main risk factors associated with major degenerative changes.18

As a consequence of the high failure treatment rate, the altered kinematics associated with scaphoid nonunion have been explored. Considering the scaphoid dorsal apex (most dorsal region) we can classify distal nonunions as a mobile type, more associated with DISI and with greater nonunion mobility at wrist mobilization; while the proximal ones, as in the patient we report, as a stable type, without deformity development, dorsal lunate instability and with less nonunion gap mobility at wrist mobilization.19 A positive correlation between DISI deformity and a larger nonunion gap in the focus of nonunion has been identified.18

Dias et al. state that currently we cannot early predict which fractures will develop nonunion, and hence we do not know which will benefit most from surgery. Therefore, they believe that non operative treatment with cast immobilization for 6 weeks in minimally or non displaced scaphoid fractures is safe, effective, and reliable in early stages.20 On the other hand, Fowler et al. suggest that displaced fractures are unstable and must be surgically treated with osteosynthesis.7 Kawamura et al. suggest surgical treatment for displaced scaphoid waist fractures and those of the proximal pole, due to the increased risk of avascular necrosis and nonunion, with a consolidation rate of 95%.11

In our case, surgical treatment was proposed when assessing the initial fracture displacement as well when it evolved to nonunion. Afterwards spontaneous consolidation was confirmed by a clinical improvement and consolidation signs in radiography and tomography images, as proposed by Hannemann et al.15



FINAL CONSIDERATIONS

We consider that surgical treatment with osteosynthesis is necessary for an established scaphoid nonunion, and in some cases should be associated with bone graft. Taking into account the Slade and Geissler classification, our hypothesis is that the patient presented a grade II nonunion, with a transient fibrous union formation. This group would benefit from compression screw osteosynthesis, avoiding micromovement. However, since it was stable, it evolved into spontaneous consolidation. Further studies are necessary to establish factors related to consolidation or its failure in patients with an initial fibrous union.


REFERENCES

  1. Roolker W, Ritt MJ, Bos KE. Spontaneous healing of a non-union of the scaphoid. J Hand Surg Br. 1998; 23(1): 86-7.

  2. Rhemrev SJ, Ootes D, Beeres FJ, Meylaerts SA, Schipper IB. Current methods of diagnosis and treatment of scaphoid fractures. Int J Emerg Med. 2011; 4: 4.

  3. Hannemann PFW, Brouwers L, van der Zee D, Stadler A, Gottgens KWA, Weijers R, et al. Multiplanar reconstruction computed tomography for diagnosis of scaphoid waist fracture union: a prospective cohort analysis of accuracy and precision. Skeletal Radiol. 2013; 42(10): 1377-82.

  4. Carpenter CR, Pines JM, Schuur JD, Muir M, Calfee RP, Raja AS. Adult scaphoid fracture. Acad Emerg Med. 2014; 21(2): 101-21.

  5. Phillips TG, Reibach AM, Slomiany WP. Diagnosis and management of scaphoid fractures. Am Fam Physician. 2004; 70(5): 879-84.

  6. Schubert HE. Scaphoid fracture. Review of diagnostic tests and treatment. Can Fam Physician. 2000; 46: 1825-32.

  7. Fowler JR, Hughes TB. Scaphoid fractures. Clin Sports Med. 2015; 34(1): 37-50.

  8. Rupani N, Riley N, McNab I. Spontaneous healing of a pediatric scaphoid proximal pole fracture nonunion. J Wrist Surg. 2018; 7(1): 81-3.

  9. Manak P, Drac P, Paucek B. Spontaneous consolidation of scaphoid nonunion in a child. Biomed Pap Med Fac Univ Palacky Olomouc Czech Repub. 2008; 152(2): 271-3.

  10. Clarke JV, Ramjug SD, Barnes SJ. Established scaphoid nonunion progressing to spontaneous union in a child. Injury Extra. 2006; 37(4): 170-1.

  11. Kawamura K, Chung KC. Treatment of scaphoid fractures and nonunions. J Hand Surg Am. 2008; 33(6): 988-97.

  12. Oka K, Moritomo H. Current management of scaphoid nonunion based on the biomechanical study. J Wrist Surg. 2018; 7(2): 94-100.

  13. Park MJ, Lee AT, Yao J. An unusual case of spontaneous healing of a proximal pole scaphoid non-union. Hand (N Y). 2011; 6(3): 313-6.

  14. Xiao Z, Xiong G, Zhang W. New findings about the intrascaphoid arterial system. J Hand Surg Eur Vol. 2018; 43(10): 1059-65.

  15. Hannemann PFW, Brouwers L, Dullaert K, van der Linden ES, Poeze M, Brink PRG. Determining scaphoid waist fracture union by conventional radiographic examination: an analysis of reliability and validity. Arch Orthop Trauma Surg. 2015; 135(2): 291-6.

  16. Herbert TJ, Fisher WE. Management of the fractured scaphoid using a new bone screw. J Bone Joint Surg Br. 1984; 66(1): 114-23.

  17. Slade JF, Merrell GA, Geissler WB. Fixation of acute and selected nonunion scaphoid fractures. In: Geissler WB, editor. Wrist arthroscopy [Internet]. New York: Springer-Verlag; 2005. p. 112-24. Available in: https://www.springer.com/us/book/9780387208978

  18. Vender MI, Watson HK, Wiener BD, Black DM. Degenerative change in symptomatic scaphoid nonunion. J Hand Surg Am. 1987; 12(4): 514-9.

  19. Moritomo H, Murase T, Oka K, Tanaka H, Yoshikawa H, Sugamoto K. Relationship between the fracture location and the kinematic pattern in scaphoid nonunion. J Hand Surg Am. 2008; 33(9): 1459-68.

  20. Dias JJ, Wildin CJ, Bhowal B, Thompson JR. Should acute scaphoid fractures be fixed? A randomized controlled trial. J Bone Joint Surg Am. 2005; 87(10): 2160-8.



AFFILIATIONS

1 Orthopedics and Traumatology Service "Dr. Carlos E. Ottolenghi", Hospital Italiano de Buenos Aires. Argentina.

2 Orthopedics and Traumatology Service, Clínica Francesa. Argentina.



CORRESPONDENCE

Dr. Javier Sánchez-Saba. E-mail: javisanchezsaba@gmail.com




Received: 04-22-2023. Accepted: 06-11-2023.

Figure 1
Figure 2
Figure 3
Figure 4
Figure 5
Table 1
Table 2

2020     |     www.medigraphic.com

Mi perfil

C?MO CITAR (Vancouver)

Acta Ortop Mex. 2023 Mar-Abr;37