medigraphic.com
SPANISH

Medicina Crítica

  • Contents
  • View Archive
  • Information
    • General Information        
    • Directory
  • Publish
    • Instructions for authors        
  • Policies
  • Lineamientos
  • medigraphic.com
    • Home
    • Journals index            
    • Register / Login
  • Mi perfil

2023, Number 5

<< Back Next >>

Med Crit 2023; 37 (5)

Ogilvie´s syndrome, acute colonic pseudo-obstruction; report of a case in Mexico

López FJ, Pérez FJE, Martínez HE, Rodríguez FA
Full text How to cite this article 10.35366/113056

DOI

DOI: 10.35366/113056
URL: https://dx.doi.org/10.35366/113056

Language: Spanish
References: 22
Page: 439-443
PDF size: 238.45 Kb.


Key words:

Ogilvie syndrome, colonic pseudo-obstruction, intensive care unit.

ABSTRACT

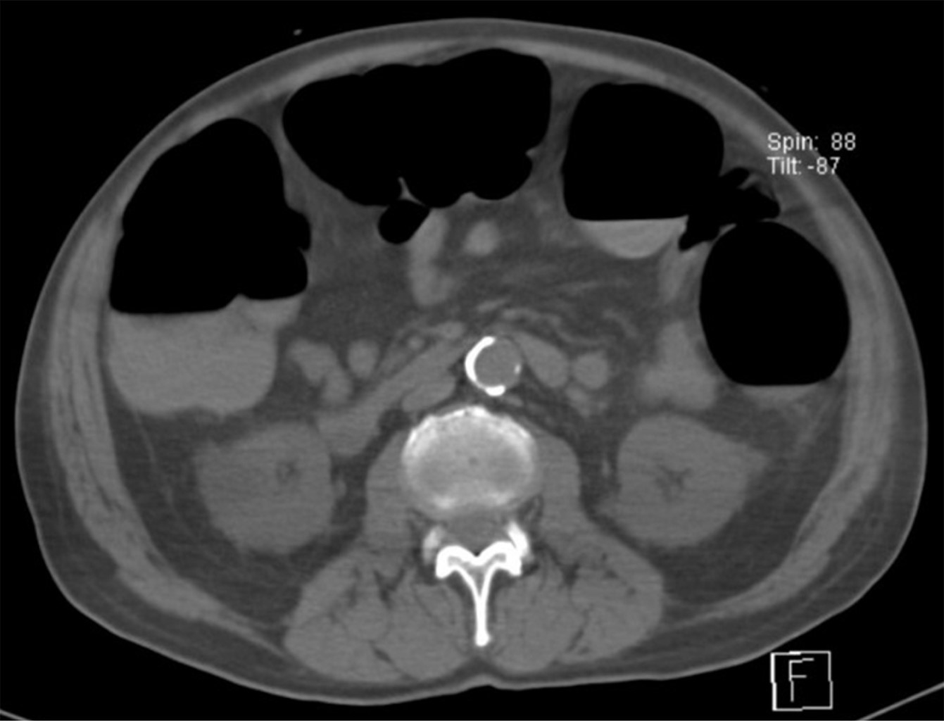
Ogilvie's syndrome or acute colonic pseudo-obstruction is a rare entity resulting from a loss of coherence between the sympathetic and parasympathetic activity of the colon, resulting in a mortality rate of up to 50%, debuting as a spontaneous perforation, increasing the risk of death. in the delay in diagnosis and decision making; The most frequent causes are cerebral vascular event, pathological postpartum acute myocardial infarction and sepsis. We present a case report of a 73-year-old male patient, who attended the emergency department for a hemorrhagic cerebrovascular event of aneurysmal etiology, which led to a prolonged hospital stay of 9 days with abdominal distension. refractory to conservative management, with surgical resolution documenting acute colonic pseudo-obstruction. We emphasize the importance of the etiological suspicion, as it is a diagnosis of exclusion, to reduce the complications derived from an untimely surgical act, increasing days of hospital stay and mortality.


REFERENCES

  1. Pereira P, Djeudji F, Leduc P, Fanget F, Barth X. Ogilvie's syndrome–acute colonic pseudo-obstruction. Journal de Chirurgie Viscérale. 152(2):99-106.

  2. Acute colonic pseudo-obstruction: a possible role for the colocolonic reflex J Clin Gastroenterol. 1985;7(3):256-260.

  3. Fazel A, Verne GN. New solutions to an old problem: acute colonic pseudo-obstruction. J Clin Gastroenterol. 2005;39(1):17-20.

  4. Tack J. Acute colonic pseudo-obstruction (Ogilvie's syndrome). Curr Treat Options Gastroenterol. 2006;9(4):361-368.

  5. Harrison ME, Anderson MA, Appalaneni V, et al. The role of endoscopy in the management of patients with known and suspected colonic obstruction and pseudo-obstruction. Gastrointest Endosc. 2010;71(4):669-679.

  6. Barth X, Chenet P, Hoen JP, et al. La colectasie aigue idiopathique ou syndrome D'Ogilvie: à propos de 43 observations. Lyon Chir. 1991;87(3):230-236.

  7. Godfrey EM, Addley HC, Shaw AS. The use of computed tomography in the detection and characterisation of large bowel obstruction. N Z Med J. 2009;122(1305).57-73.

  8. Choi JS, Lim JS, Kim H. Colonic pseudoobstruction: CT findings. AJR Am J Roentgenol. 2008;190(6):1521-1526.

  9. Morfín-Plascencia LM. Síndrome de Ogilvie. Revista Médica MD. 2018;9(2):170-176.

  10. De Giorgio R, Stanghellini V, Barbara G, et al. Prokinetics in the treatment of acute intestinal pseudo-obstruction IDrugs. 2004;7(2): 160-165.

  11. Ponec RJ, Saunders MD, Kimmey MB. Neostigmine for the treatment of acute colonic pseudo-obstruction. N Engl J Med. 1999;341(3):137-141.

  12. Amaro R, Rogers AI. Neostigmine infusion: new standard of care for acute colonic pseudo-obstruction? Am J Gastroenterol. 2000;95(1): 304-305.

  13. White L, Sandhu G. Continuous neostigmine infusion versus bolus neostigmine in refractory Ogilvie syndrome. Am J Emerg Med. 2011;29(5):576.e1-576.e3.

  14. Van der Spoel HM, Oudemans-van Straaten CP, Stoutenbeek RJ, Bosman DF. Zandstra neostigmine resolves critical illness-related colonic ileus in intensive care patients with multiple organ failure- a prospective, double-blind, placebo-controlled trial. Intensive Care Med. 2001;27(5): 822-827.

  15. Schermer CR, Hanosh JJ, Davis M, Pitcher DE. Ogilvie's syndrome in the surgical patient: a new therapeutic modality. J Gastrointest Surg. 1999;3(2): 173-177.

  16. Fausel CS, Goff JS. Nonoperative management of acute idiopathic colonic pseudo-obstruction (Ogilvie's syndrome). West J Med. 1985 Jul;143(1): 50-4. PMID: 3839954; PMCID: PMC1306223.

  17. Lee J, Taylor BM, Singleton BC. Anestesia epidural para la seudoobstrucción aguda del colon (síndrome de Ogilvie). Dis Colon Rectum. 1988;31(9):686-691.

  18. Kwang-Jae L, Kee-Wook J, Seung-Jae M, HyunJin K, Na-Young K, Young-Hoon Y, et al. The clinical characteristics of colonic pseudoobstruction and the factor associated with medical treatment response: a study based on a multicenter database in Korea. J Korean Med Sci. 2014;29:699-703.

  19. Weber P, Heckel S, Hummel M, Dellenbach P. Syndrome D'Ogilvie après césarienne: à propos de trois cas : revue de la littérature. J Gynecol Obstet Biol Reprod (Paris). 2000;22(6):653-658.

  20. Vanek VW, Al-Salti M. Acute pseudo-obstruction of the colon (Ogilvie's syndrome). An analysis of 400 cases. Dis Colon Rectum. 1986;29(3): 203-210.

  21. Nadrowski L. Paralytic ileus: recent advances in pathophysiology and treatment. Curr Surg. 1983;40(4):260-273.

  22. Jain D, Moussa K, Tandon M, Culpepper-Morgan J, Proctor DD. Role of interstitial cells of Cajal in motility disorders of the bowel. Am J Gastroenterol. 2003;98(3):618-624.




Figure 1
Figure 2
Figure 3
Figure 4
Table 1

2020     |     www.medigraphic.com

Mi perfil

C?MO CITAR (Vancouver)

Med Crit. 2023;37