medigraphic.com
SPANISH

Revista Mexicana de Ortopedia Pediátrica

ISSN 2007-087X (Print)
Órgano Oficial de la Sociedad Mexicana de Ortopedia Pediátrica
  • Contents
  • View Archive
  • Information
    • General Information        
    • Directory
  • Publish
    • Instructions for authors        
  • medigraphic.com
    • Home
    • Journals index            
    • Register / Login
  • Mi perfil

2023, Number 1-3

<< Back Next >>

Rev Mex Ortop Ped 2023; 25 (1-3)

Controversial lower limb fractures in children and adolescents: an evidence-based debate

Masquijo J, Ferreyra A, Pérez LLM, Rinas N, Álvaro AA, Montes ML, Campero S, Martínez ÁS, Amelong V, García AMD, Halliburton C, Paz M, Salom TM
Full text How to cite this article 10.35366/113216

DOI

DOI: 10.35366/113216
URL: https://dx.doi.org/10.35366/113216

Language: Spanish
References: 121
Page: 22-35
PDF size: 395.93 Kb.


Key words:

fractures, children, adolescents, lower limb, treatment.

ABSTRACT

The treatment of lower extremity fractures in children and adolescents can be challenging. In the second virtual session organized by the Sociedad Española de Ortopedia Pediátrica (SEOP) in conjunction with the Sociedad Argentina de Ortopedia y Traumatología Infantil (SAOTI), the evaluation and principles of treatment of five controversial lower limb fractures were discussed. With the participation of experts from both societies, we addressed the current literature in the form of debates and possible differences in treatment. This article aims to provide readers with a summary of the literature-based arguments used in that session.


REFERENCES

  1. Chaibi E, Zambelli PY, Merckaert S. Epidemiology of paediatric lower extremity fractures in a tertiary care center in Switzerland. Eur J Trauma Emerg Surg. 2022; 48(5): 3449-3459. doi: 10.1007/s00068-020-01400-6.

  2. Boardman MJ, Herman MJ, Buck B, Pizzutillo PD: Hip fractures in children. J Am Acad Orthop Surg. 2009;17(39: 162-173. doi: 10.5435/00124635-200903000-00005.

  3. Patterson JT, Tangtiphaiboontana J, Pandya NK. Management of Pediatric Femoral Neck Fracture. J Am Acad Orthop Surg. 2018; 26(12): 411-419. doi: 10.5435/JAAOS-D-16-00362.

  4. Davison BL, Weinstein SL: Hip fractures in children: a long-term follow-up study. J Pediatr Orthop. 1992; 12(3): 355-358. doi: 10.1097/01241398-199205000-00014

  5. Flynn JM, Wong KL, Yeh GL, Meyer JS, Davidson RS. Displaced fractures of the hip in children: management by early operation and immobilisation in a hip spica cast. J Bone Joint Surg (Br). 2002; 84-B: 108-12. doi: 10.1302/0301-620x.84b1.11972

  6. Stone JD, Hill MK, Pan Z, Novais EN. Open reduction of pediatric femoral neck fractures reduces osteonecrosis risk. Orthopedics. 2015; 38(11): e983-e990.

  7. Song KS: Displaced fracture of the femoral neck in children: Open versus closed reduction. J Bone Joint Surg Br. 2010; 92(8): 1148-1151. doi: 10.1302/0301-620X.92B8.24482.

  8. Yeranosian M, Horneff JG, Baldwin K, Hosalkar HS. Factors affecting the outcome of fractures of the femoral neck in children and adolescents: a systematic review. Bone Joint J. 2013; 95-B(1): 135-142.

  9. Dendane MA, Amrani A, El Alami ZF, El Medhi T, Gourinda H: Displaced femoral neck fractures in children: Are complications predictable? Orthop Traumatol Surg Res. 2010; 96(2): 161-165.

  10. Spence D, DiMauro J-P, Miller PE, Glotzbecker MP, Hedequist DJ, Shore BJ. Osteonecrosis after femoral neck fractures in children and adolescents: analysis of risk factors. J Pediatr Orthop. 2016; 36(2): 111-116. doi: 10.1097/BPO.0000000000000424.

  11. Stone JD, Hill MK, Pan Z, Novais EN. Open reduction of pediatric femoral neck fractures reduces osteonecrosis risk. Orthopedics. 2015; 38(11): e983-e990. doi: 10.3928/01477447-20151020-06.

  12. Moon ES. Mehlman CT. Risk factors for avascular necrosis after femoral neck fractures in children: 25 Cincinnati cases and meta-analysis of 360 cases. J Orthop Trauma. 2006; 20(5): 323-329. doi: 10.1097/00005131-200605000-00005.

  13. Ghayoumi P, Kandemir U, Morshed S. Evidence based update: open versus closed reduction. Injury. 2015; 46(3): 467-473. doi: 10.1016/j.injury.2014.10.011.

  14. Ju L, Jiang B, Lou Y, Zheng P. Delayed treatment of femoral neck fractures in 58 children: open reduction internal fixation versus closed reduction internal fixation. J Pediatr Orthop B. 2016; 25(5): 459-465. doi: 10.1097/BPB.0000000000000339.

  15. Vynichakis G, Angelis S, Chandrinos M, Apostolopoulos AP, Bogris E, Mirtsios H et al. Pathological hip fractures in children and adolescents due to benign tumor or tumor-like lesions. J Long Term Eff Med Implants. 2019; 29(2): 91-99.

  16. Lark RK, Dial BL, Alman BA. Complications after pediatric hip fractures. J Am Acad Orthop Surg. 2020; 28(1): 10-19.

  17. Boardman MJ, Herman MJ, Buck B, Pizzutillo PD. Hip fractures in children. J Am Acad Orthop Surg. 2009; 17(3): 162-173.

  18. Riley PM, Morscher MA, Gothard MD, Riley PM. Earlier time to reduction did not reduce rates of femoral head osteonecrosis in pediatric hip fractures. J Orthop Trauma. 2015; 29(5): 231-238.

  19. Bimmel R, Bakker A, Bosma B, Michielsen J. Paediatric hip fractures: a systematic review of incidence, treatment options and complications. Acta Orthop Belg. 2010; 76(1):7-13.

  20. Dendane MA, Amrani A, El Alami ZF, El Medhi T, Gourinda H. Complications des fractures déplacées du col fémoral chez l'enfant. À propos d'une série de 21 cas. Rev Chir Orthopédique Traumatol. 2010; 96(2): 200-204.

  21. Chandankere V, Shah H. Controversies in the management of pediatric neck femur fractures- a systematic review. J Orthop. 2021; 27: 92-102.

  22. Li Y, Sun D, Wang K, Liu J, Wang Z, Liu Y. Postoperative avascular necrosis of the femoral head in pediatric femoral neck fractures. PLoS One. 2022; 17(5): e0268058.

  23. Konarski W, Pobozy T, Sliwczynski A, Kotela I, Krakowiak J, Hordowicz M et al. Avascular necrosis of femoral head-overview and current state of the art. Int J Environ Res Public Health. 2022; 19(12): 7348.

  24. Beaty JH. Fractures of the hip in children. Orthop Clin North Am. 2006; 37(2): 223-232.

  25. Sanghavi S, Patwardhan S, Shyam A, Nagda T, Naik P. Nonunion in pediatric femoral neck fractures. J Bone Jt Surg. 2020; 102(11): 1000-1010.

  26. Schneidmueller D, Hungerer S, Stuby F, Glowalla C. Anterolateraler zugang zur fixation von schenkelhalsfrakturen im kindesalter [Anterolateral approach to femoral neck fractures in children]. Oper Orthop Traumatol. 2021; 33(1): 23-35.

  27. Rockwood and Wilkins. Fracturas en el niño. Tomo 2. 5ª ed.. 2003, 944.

  28. Ferguson J, Nicol RO. Early spical treatment of pediatric femoral shaft fractures. J Pediatric Orthopedics. 2000; 20: 189-192.

  29. Gross RH, Davidson R, Sullivan JA et al. Cast brace management of the femoral shaft fracture in children and young adults. J Pediatric Orthopedics. 1983; 4: 572-582.

  30. Gordon E, Anderson JT, Schoenecker P et al. Treatment of femoral fractures in children aged two to six. A multicentre prospective case series. Bone Joint J. 2020; 102-B(8): 1056-1061.

  31. Jauquier N, Haecker FM. Immediate hip spica is as effective as, but more efficient than, flexible intramedullary nailing for femoral shaft fractures in pre-school children. J Child Orthop. 2010; 4: 461-465.

  32. Ramo BA, Martus JE, Tareen N et al. Intramedullary nailing compared with spica casts for isolated femoral fractures in four and five-year-old children. J Bone Joint Surg Am. 2016; 98(4): 267-275.

  33. Duan L, Canavese F, Li L. Flexible intramedullary nails or spica casting? A meta-analysis on the treatment of femur fractures in preschool children aged 2-5 years. J Pediatr Orthopaedics B. 2023; 32(3): 292-301.

  34. Lewis RB, Hariri O, Elliott ME, Jo CH, Ramo BA. Financial analysis of closed femur fractures in 3- to 6-year-olds treated with immediate spica casting versus intramedullary fixation. J Pediatr Orthop. 2019; 39(2): e114-e119.

  35. Strohm PC, Schmittenbecher PP. Femoral shaft fractures in children under 3 years old. Current treatment standard. Unfallchirurg. 2015; 118: 48-52.

  36. Waters PMS, David L. Flynn, John M. Rockwood and Wilkins' Fractures in children. Philadelphia, PA: Lippincott Williams & Wilkins. 2019.

  37. Khoriati AA, Jones C, Gelfer Y, Trompeter A. The management of paediatric diaphyseal femoral fractures: a modern approach. Strategies Trauma Limb Reconstr. 2016; 11(2): 87-97.

  38. Ramo BA, Martus JE, Tareen N, Hooe BS, Snoddy MC, Jo CH. Intramedullary nailing compared with spica casts for isolated femoral fractures in four and five-year-old children. J Bone Joint Surg. 2016; 98(4): 267-275.

  39. Van Cruchten S, Warmerdam EC, Kempink DRJ, de Ridder VA. Treatment of closed femoral shaft fractures in children aged 2-10 years: a systematic review and meta-analysis. Eur J Trauma Emerg Surg. 2022; 48(5): 3409-3427.

  40. Alluri RK, Sabour A, Heckmann N, Hatch GF, VandenBerg C. Increasing rate of surgical fixation in four- and five-year-old children with femoral shaft fractures. J Am Acad Orthop Surg. 2019; 27(1): e24-32.

  41. Rapp M, Kaiser MM, Grauel F, Gielok C, Illing P. Femoral shaft fractures in young children (< 5 years of age): operative and non-operative treatments in clinical practice. Eur J Trauma Emerg Surg. 2016; 42(6): 719-724.

  42. Assaghir Y. The safety of titanium elastic nailing in preschool femur fractures: a retrospective comparative study with spica cast. J Pediatr Orthop B. 2013;22:289-295.

  43. Heffernan MJ, Gordon JE, Sabatini CS, Keeler KA, Lehmann CL, O'Donnell JC, et al. Treatment of femur fractures in young children: a multicenter comparison of flexible intramedullary nails to spica casting in young children aged 2 to 6 years. J Pediatr Orthop. 2015; 35: 126-129.

  44. Bopst L, Reinberg O, Lutz N. Femur fracture in preschool children: experience with flexible intramedullary nailing in 72 children. J Pediatr Orthop. 2007; 27: 299-303.

  45. Donati F, Mazzitelli G, Lillo M, Menghi A, Conti C, Valassina A et al. Titanium elastic nailing in diaphyseal femoral fractures of children below six years of age. World J Orthop. 2017; 8: 156-162.

  46. Arneitz C, Szilagyi I, Lehner B, Kienesberger B, Gasparella P, Castellani C, Singer G, Till H. Therapy preference of 131 parents confronted with a pediatric femoral fracture. Front Pediatr. 2022; 10: 949019.

  47. Kocher MS, Sink EL, Blasier RD et al. Treatment of pediatric diaphyseal femur fractures. J Am Acad Orthop Surg. 2009; 17: 718-725.

  48. Scrimshire AB, Gawad M, Davies R, George H. Management and outcomes of isolated paediatric tibial spine fractures. Injury. 2018; 49(2): 437-442. doi: 10.1016/j.injury.2017.11.013.

  49. Casalonga A, Bourelle S, Chalencon F, De Oliviera L, Gautheron V, Cottalorda J. Tibial intercondylar eminence fractures in children: The long-term perspective. Orthop Traumatol Surg Res. 2010; 96(5): 525-530. doi: 10.1016/j.otsr.2010.01.012.

  50. Janarv PM, Westblad P, Johansson C, Hirsch G. Long-term follow-up of anterior tibial spine fractures in children. J Pediatr Orthop. 1995; 15(1): 63-68. doi:10.1097/01241398-199501000-00014.

  51. Wilfinger C, Castellani C, Raith J, Pilhatsch A, Hollwarth ME, Weinberg AM. Nonoperative treatment of tibial spine fractures in children-38 patients with a minimum follow-up of 1 year. J Orthop Trauma. 2009; 23(7): 519-524. doi:10.1097/BOT.0b013e3181a13fe4.

  52. Bogunovic L, Tarabichi M, Harris D, Wright R. Treatment of tibial eminence fractures: a systematic review. J Knee Surg. 2015; 28(3): 255-262. doi: 10.1055/s-0034-1388657.

  53. Kocher MS, Micheli LJ, Gerbino P, Hresko MT. Tibial eminence fractures in children: prevalence of meniscal entrapment. Am J Sports Med. 2003; 31 (3): 404-407. doi:10.1177/03635465030310031301.

  54. Tibial Spine Research Group, Prasad N, Aoyama JT, et al. A Comparison of nonoperative and operative treatment of type 2 tibial spine fractures. Orthop J Sports Med. 2021; 9(1): 2325967120975410. doi: 10.1177/2325967120975410

  55. Edmonds EW, Fornari ED, Dashe J, Roocroft JH, King MM, Pennock AT. Results of displaced pediatric tibial spine fractures: a comparison between open, arthroscopic, and closed management. J Pediatr Orthop. 2015; 35(7): 651-656. doi: 10.1097/BPO.0000000000000356.

  56. Adams AJ, O'Hara NN, Abzug JM et al. Pediatric type II tibial spine fractures: addressing the treatment controversy with a mixed-effects model. Orthop J Sports Med. 2019; 7(8): 2325967119866162. doi: 10.1177/2325967119866162.

  57. Waters PM, Skaggs DL, Flynn JM. Rockwood and Wilkins'. Fractures in children. 9th ed. Reino Unido: Wolters Kluwer Health, 2015.

  58. Gans I, Baldwin KD, Ganley TJ. Treatment and management outcomes of tibial eminence fractures in pediatric patients: a systematic review. Am J Sports Med. 2014; 42(7): 1743-1750. doi: 0.1177/0363546513508538.

  59. Herman MJ, Martinek MA, Abzug JM. Complications of tibial eminence and diaphyseal fractures in children: prevention and treatment. Instr Course Lect. 2015; 64: 471-482.

  60. Bram JT, Aoyama JT, Mistovich RJ, et al. Four risk factors for arthrofibrosis in tibial spine fractures: a national 10-site multicenter study. Am J Sports Med. 2020; 48(12): 2986-2993. doi: 10.1177/0363546520951192.

  61. Vander Have KL, Ganley TJ, Kocher MS, Price CT, Herrera-Soto JA. Arthrofibrosis after surgical fixation of tibial eminence fractures in children and adolescents. Am J Sports Med. 2010; 38(2): 298-301. doi: 10.1177/0363546509348001.

  62. Aderinto J, Walmsley P, Keating JF. Fractures of the tibial spine: epidemiology and outcome. Knee. 2008; 15(3): 164-167.

  63. Jackson TJ, Storey EP, The Tibial Spine Interest Group, Ganley TJ. The surgical management of tibial spine fractures in children: a survey of the Pediatric Orthopaedic Society of North America (POSNA). J Pediatr Orthop. 2019; 39(8): 572-577.

  64. Kocher MS, Micheli LJ, Gerbino P, Hresko MT. Tibial eminence fractures in children: prevalence of meniscal entrapment. Am J Sports Med. 2003; 31(3): 404-407.

  65. Mitchell JJ, Sjostrom R, Mansour AA et al. Incidence of meniscal injury and chondral pathology in anterior tibial spine fractures of children. J Pediatr Orthop. 2015; 35(2): 130-135.

  66. Feucht MJ, Brucker PU, Camathias C et al. Meniscal injuries in children and adolescents undergoing surgical treatment for tibial eminence fractures. Knee Surg Sports Traumatol Arthrosc. 2017; 25: 445-453.

  67. Burstein DB, Viola A, Fulkerson JP. Entrapment of the medial meniscus in a fracture of the tibial eminence. Arthroscopy. 1988; 4: 47-50.

  68. Falstie-Jensen S, Sondergard Peterson PE. Incarceration of the meniscus in fractures of the intercondylar eminence of the tibia in children. Injury. 1984; 15: 236-238.

  69. Lowe J, Chaimsky G, Freedman A, Zion I, Howard C. The anatomy of tibial eminence fractures: arthroscopic observations following failed closed reduction. J Bone Joint Surg Am. 2002; 84: 1933-1938.

  70. Mayo MH, Mitchell JJ, Axibal DP, et al. Anterior cruciate ligament injury at the time of anterior tibial spine fracture in young patients: an observational cohort study. J Pediatr Orthop. 2019; 39: 668-673.

  71. Mitchell JJ, Mayo MD, Axibal DP et al. Delayed anterior cruciate ligament reconstruction in young patients with previous anterior tibial spine fractures. Am J Sports Med. 2016; 44: 2047-2056.

  72. Kocher MS, Foreman ES, Micheli LJ. Laxity and functional outcome after arthroscopic reduction and internal fixation of displaced tibial spine fractures in children. Arthroscopy. 2003; 19: 1985-1990.

  73. Willis RB, Blokker C, Stoll TM, Paterson DC, Galpin RD. Long-term follow-up of anterior tibial eminence fractures. J Pediatr Orthop. 1993; 13(3): 361-364.

  74. Shea KG, Grimm NL, Laor T, Wall EJ. Bone bruises and meniscal tears on MRI in skeletally immature children with tibial eminence fractures. J Pediatr Orthop. 2011; 31(2): 150-152.

  75. Herman MJ, Martinek MA, Abzug JM. Complications of tibial eminence and diaphyseal fractures in children: prevention and treatment. Instr Course Lect. 2015; 64: 471-482.

  76. Coyle C, Jagernauth S, Ramachandran M. Tibial eminence fractures in the paediatric population: a systematic review. J Child Orthop. 2014; 8(2): 149-159.

  77. Lafrance RM, Giordano B, Goldblatt J, Voloshin I, Maloney M. Pediatric tibial eminence fractures: evaluation and management. J Am Acad Orthop Surg. 2010; 18(7): 395-405.

  78. Patel NM, Park MJ, Sampson NR, Ganley TJ. Tibial eminence fractures in children: earlier posttreatment mobilization results in improved results. J Pediatr Orthop. 2012; 32: 139-144.

  79. Zhao C, Bi Q, Bi M. Management of a type two avulsion fracture of the tibial intercondylar eminence in children: arthroscopy suture fixation versus conservative immobilization. Int Orthop. 2018; 42: 1363-1369.

  80. Louis ML, Guillaume JM, Launay F. Surgical management of type II tibial intercondylar eminence fractures in children. J Pediatr Orthop B. 2008; 17: 231-235.

  81. Hunter RE, Willis JA. Arthroscopic fixation of avulsion fractures of the tibial eminence: technique and outcome. Arthroscopy. 2004; 20(2): 113-121.

  82. Bogunovic L, Tarabichi M, Harris D, Wright R. Treatment of tibial eminence fractures: a systematic review. J Knee Surg. 2015; 28(3): 255-262.

  83. Vander Have KL, Ganley TJ, Kocher MS, Price CT, Herrera-Soto JA. Arthrofibrosis after surgical fixation of tibial eminence fractures in children and adolescents. Am J Sports Med. 2010; 38: 298-301.

  84. Parikh SN, Myer D, Eismann MS. Prevention of arthrofibrosis after arthroscopic screw fixation of tibial spine fracture in children and adolescents. Orthopedics. 2014; 37: 58-65.

  85. Trionfo A, Cavanaugh PK, Herman MJ. Pediatric open fractures. Orthop Clin North Am. 2016; 47(3): 565-578.

  86. Mooney JF 3rd, Hennrikus WL. Chapter 31: fractures of the shaft of the tibia and fibula. In: Rockwood and Wilkins'. Fractures in children. 8th ed. Philadelphia, PA: Wolters Kluwer Health 2015.

  87. Zhang H, Du L, Du Z et al. Association between childhood exposure to single general anesthesia and neurodevelopment: a systematic review and meta-analysis of cohort study. J Anesth. 2015; 29: 749-757.

  88. Iobst CA, Tidwell MA, King WF. Nonoperative management of pediatric type I open fractures. J Pediatr Orthop. 2005; 25(4): 513-517.

  89. Doak J, Ferrick M. Nonoperative management of pediatric grade 1 open fractures with less than a 24-hour admission. J Pediatr Orthop. 2009; 29(1): 49-51.

  90. Bazzi AA, Brooks JT, Jain A et al. Is nonoperative treatment of pediatric type I open fractures safe and effective? J Child Orthop. 2014; 8(6): 467-471.

  91. Godfrey J, Choi PD, Shabtai L et al. Management of pediatric type I open fractures in the emergency department or operating room: a multicenter perspective. J Pediatr Orthop. 2019; 39(7): 372-376.

  92. Baldwin KD, Babatunde OM, Russell Huffman G et al. Open fractures of the tibia in the pediatric population: a systematic review. J Child Orthop. 2009; 3(3): 199-208.

  93. Nandra RS, Wu F, Gaffey A et al. The management of open tibial fractures in children: a retrospective case series of eight years' experience of 61 cases at a paediatric specialist centre. Bone Joint J. 2017; 99-B(4): 544-553.

  94. Gougoulias N, Khanna A, Maffulli N. Open tibial fractures in the pediatric population: a systematic review of the literature. Br Med Bull. 2009; 91: 75-85.

  95. Padgett AM, Torrez TW, Kothari EA, Conklin MJ, Williams KA, Gilbert SR, Ashley P. Comparison of nonoperative versus operative management in pediatric Gustilo-Anderson type I open tibia fractures. Injury. 2023; 54(2): 552-556.

  96. Hutchinson AJ, Frampton AE, Bhattacharya R. Operative fixation for complex tibial fractures. Ann R Coll Surg Engl. 2012; 94(1): 34-38. doi: 10.1308/003588412X13171221498668.

  97. Gustilo RB, Anderson JT. JSBS classics. Prevention of infection in the treatment of one thousand and twenty-five open fractures of long bones. Retrospective and prospective analyses. J Bone Joint Surg Am. 2002; 84(4): 682. doi: 10.2106/00004623-200204000-00029.

  98. Zhang H, Fanelli M, Adams C, Graham J, Seeley M. The emerging trend of non-operative treatment in paediatric type I open forearm fractures. J Child Orthop. 2017; 11(4): 306-309. doi: 10.1302/1863-2548.11.170027.

  99. Iobst CA, Spurdle C, Baitner AC, King WF, Tidwell M, Swirsky S. A protocol for the management of pediatric type I open fractures. J Child Orthop. 2014; 8(1): 71-76. doi: 10.1007/s11832-014-0554-7.

  100. Patzakis MJ, Wilkins J. Factors influencing infection rate in open fracture wounds. Clin Orthop Relat Res. 1989; (243): 36-40.

  101. Pandya NK. Flexible intramedullary nailing of unstable and/or open tibia shaft fractures in the pediatric population. J Pediatr Orthop. 2016; 36 Suppl 1: S19-S23. doi: 10.1097/BPO.0000000000000754.

  102. Kubiak EN, Egol KA, Scher D, Wasserman B, Feldman D, Koval KJ. Operative treatment of tibial fractures in children: are elastic stable intramedullary nails an improvement over external fixation? J Bone Joint Surg Am. 2005; 87(8): 1761-1768. doi: 10.2106/JBJS.C.01616.

  103. Lua J, Tan VH, Sivasubramanian H, Kwek E. Complications of open tibial fracture management: risk factors and treatment. Malays Orthop J. 2017; 11(1): 18-22. doi: 10.5704/MOJ.1703.006.

  104. Gaudiani MA, Knapik DM, Liu RW. Clinical outcomes of triplane fractures based on imaging modality utilization and management: a systematic review and meta-analysis. J Pediatr Orthop. 2020; 40(10): e936-e941. doi: 10.1097/BPO.0000000000001613.

  105. Mishra N, Wang S, Chua ZKH, Lam KY, Mahadev A. Comparison of K-wire versus screw fixation after open reduction of transitional (Tillaux and triplane) distal tibia fractures. J Pediatr Orthop B. 2021; 30(5): 443-449. doi: 10.1097/BPB.0000000000000830.

  106. Hadad MJ, Sullivan BT, Sponseller PD. Surgically relevant patterns in triplane fractures: a mapping study. J Bone Joint Surg Am. 2018; 100(12): 1039-1046. doi: 10.2106/JBJS.17.01279.

  107. Zelenty W, Yoon RS, Shabtai L, Choi P, Martin B, Horn D, Feldman DS, Otsuka NY, Godfried DH. Percutaneous versus open reduction and fixation for Tillaux and triplane fractures: a multicenter cohort comparison study. J Pediatr Orthop B. 2018; 27(6): 551-555. doi: 10.1097/BPB.0000000000000522.

  108. Ayas MS, Kalkisim M, Turgut MC, Dincer R, Aslan O, Oner K, Kose A. Analysis of clinical outcomes in pediatric distal tibia triplanar fractures treated surgically and conservatively. Cureus. 2021; 13(12): e20723. doi: 10.7759/cureus.20723.

  109. Lurie B, Van Rysselberghe N, Pennock AT, Upasani VV. Functional outcomes of Tillaux and triplane fractures with 2 to 5 millimeters of intra-articular gap. J Bone Joint Surg Am. 2020; 102(8): 679-686. doi: 10.2106/JBJS.19.01170.

  110. Denning JR, Gohel S, Arkader A. Open reduction and internal screw fixation of transitional ankle fractures in adolescents. JBJS Essent Surg Tech. 2021; 11(4): e19.00070. doi: 10.2106/JBJS.ST.19.00070.

  111. Pan Y, Zhang X, Ouyang Z et al. Transitional ankle fracture management using a new joystick technique. Injury. 2023; 54 Suppl 2: S43-S48. doi: 10.1016/j.injury.2022.05.028.

  112. Ma Z, Feng W, Duan X, Chen X, Qiao G, Liu Z. Effects of full-threaded headless cannulated compression screws and anatomical plates on the efficacy, safety, and prognosis of patients with triplane fractures of the distal tibia. Am J Transl Res. 2022; 14(3): 1714-1720.

  113. Tang Z, Xiang F, Arthur V DT et al. Comparison of mid-term clinical results between lag screw fixation and Kirschner wire fixation after close reduction in adolescent triplane distal tibia epiphyseal fracture. Foot Ankle Surg. 2022; 28(8): 1440-1443. doi: 10.1016/j.fas.2022.08.007.

  114. Podeszwa DA, Wilson PL, Holland AR, Copley LA. Comparison of bioabsorbable versus metallic implant fixation for physeal and epiphyseal fractures of the distal tibia. J Pediatr Orthop. 2008; 28(8): 859-63. doi: 10.1097/BPO.0b013e31818e19d7.

  115. Schnetzler KA, Hoernschemeyer D. The pediatric triplane ankle fracture. J Am Acad Orthop Surg. 2007; 15(12): 738-747.

  116. Cancino B, Sepúlveda M, Birrer E. Ankle fractures in children. EFORT Open Rev. 2021; 6(7): 593-606.

  117. Eismann EA, Stephan ZA, Mehlman CT, Denning J, Mehlman T, Parikh SN, Tamai J, Zbojniewicz A. Pediatric triplane ankle fractures: Impact of radiographs and computed tomography on fracture classification and treatment planning. J Bone Joint Surg Am. 2015; 97(12): 995-1002.

  118. Tochigi Y, Buckwalter JA, Martin JA et al. Distribution and progression of chondrocyte damage in a whole-organ model of human ankle intra-articular fracture. J Bone Joint Surg Am. 2011; 93(6): 533-539.

  119. Crawford AH. Triplane and Tillaux fractures: is a 2 mm residual gap acceptable? J Pediatr Orthop. 2012; 32(Suppl 1): S69-S73.

  120. Choudhry IK, Wall EJ, Eismann EA, Crawford AH, Wilson L. Functional outcome analysis of triplane and Tillaux fractures after closed reduction and percutaneous fixation. J Pediatr Orthop. 2014; 34(2): 139-143.

  121. Lurie B, Van Rysselberghe N, Pennock AT, Upasani VV. Functional outcomes of Tillaux and triplane fractures with 2 to 5 millimeters of intra-articular gap. J Bone Joint Surg Am. 2020; 102: 679-686.



EVIDENCE LEVEL

V




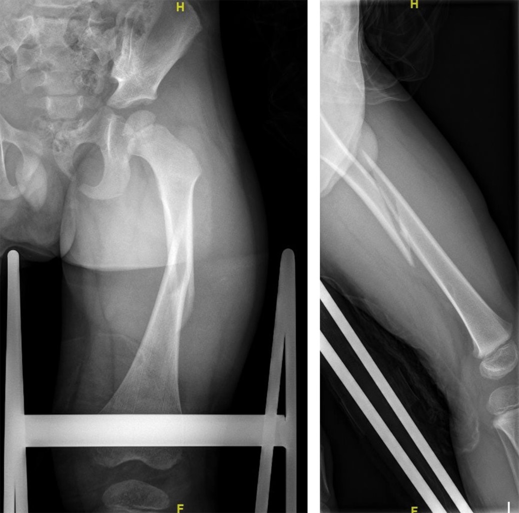
Figure 1
Figure 2
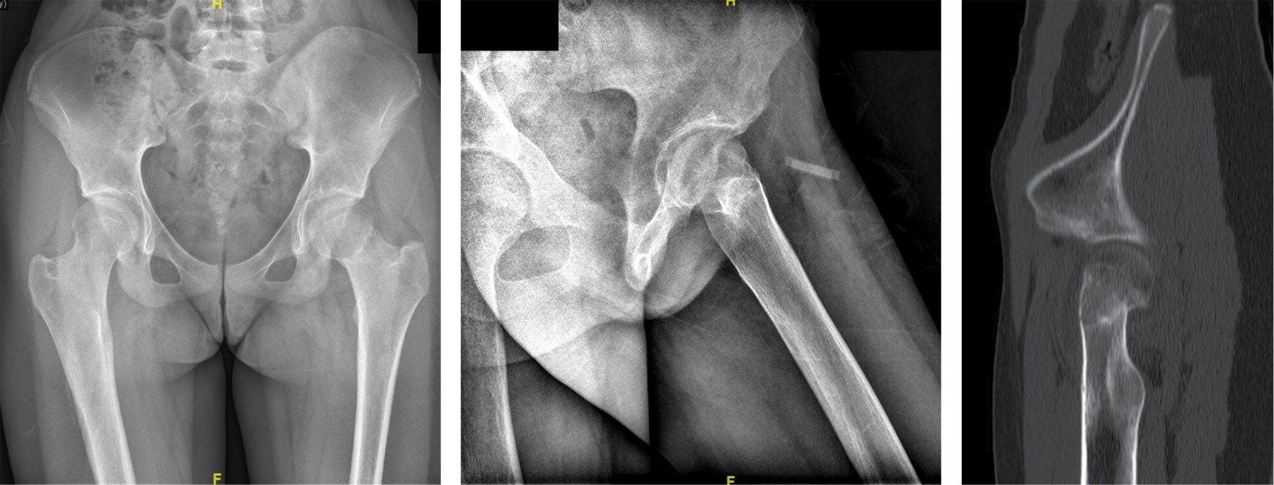
Figure 3
Figure 4
Figure 5

2020     |     www.medigraphic.com

Mi perfil

C?MO CITAR (Vancouver)

Rev Mex Ortop Ped. 2023;25