medigraphic.com
SPANISH

Revista Mexicana de Ortopedia Pediátrica

ISSN 2007-087X (Print)
Órgano Oficial de la Sociedad Mexicana de Ortopedia Pediátrica
  • Contents
  • View Archive
  • Information
    • General Information        
    • Directory
  • Publish
    • Instructions for authors        
  • medigraphic.com
    • Home
    • Journals index            
    • Register / Login
  • Mi perfil

2023, Number 1-3

<< Back

Rev Mex Ortop Ped 2023; 25 (1-3)

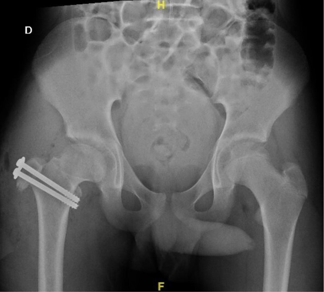
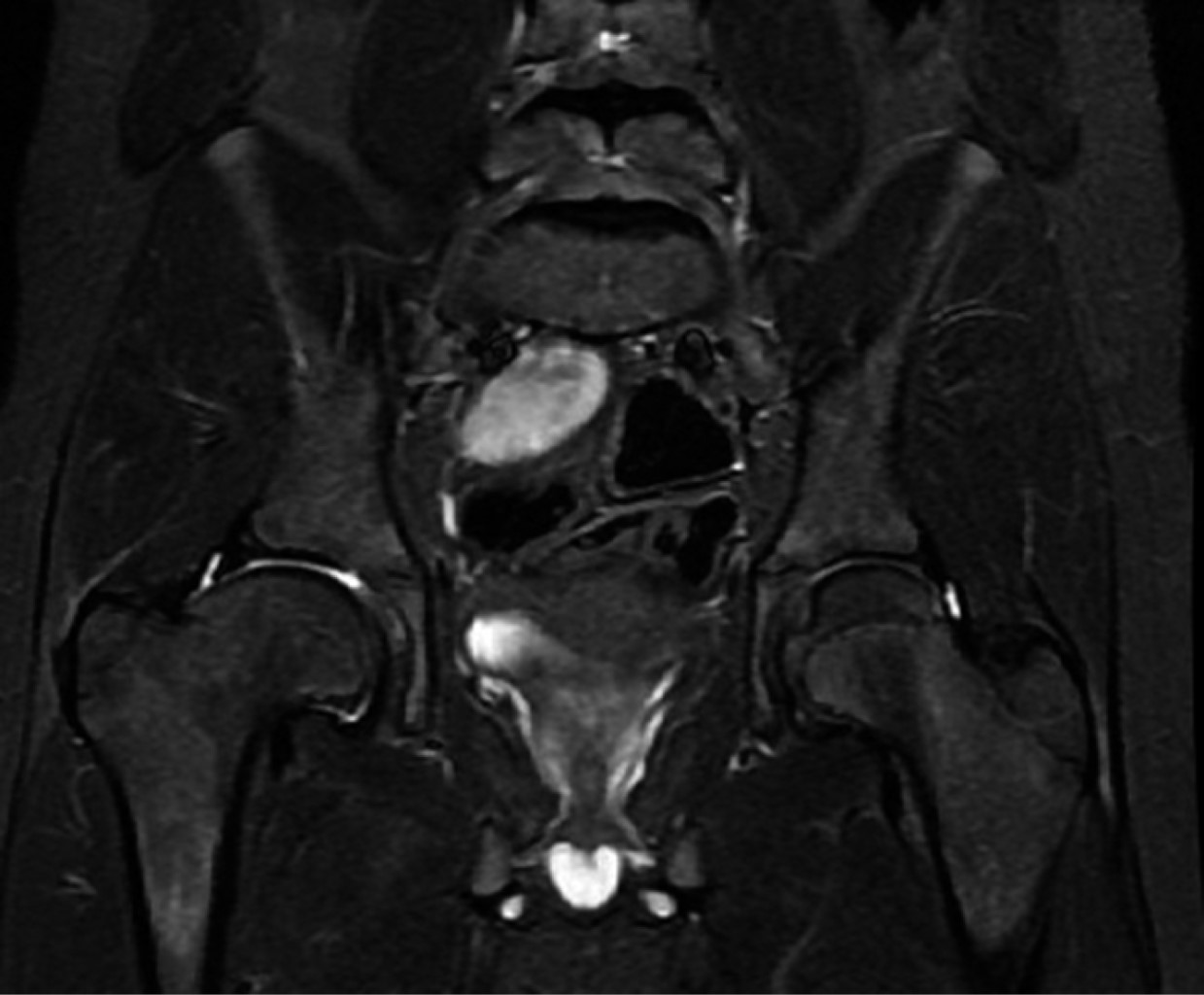
Treatment of femoroacetabular impingement with controlled dislocation of the hip

Torrealba-Araujo J, Campos TL, Rosen PMJ
Full text How to cite this article 10.35366/113220

DOI

DOI: 10.35366/113220
URL: https://dx.doi.org/10.35366/113220

Language: Spanish
References: 12
Page: 48-51
PDF size: 207.24 Kb.


Key words:

hip, Perthes disease, femoroacetabular impingement, surgical hip dislocation, children´s orthopedics.

ABSTRACT

The femoroacetabular impingement is a syndrome caused by abnormal contact between the femoral head and the acetabulum; it can progress in complications, and the treatment must be individualized with the aim to restore the functionality of the joint. A case of a 12 years old patient who presented clinical findings about impingement, he has history Perthes disease. We performed a surgical hip dislocation technique with femoroplasty. We obtained good results. The clinical and radiographic characteristics of the patient has described and the case resolution.


REFERENCES

  1. Khalifa AA, Haridy MA, Fergany A. Safety and efficacy of surgical hip dislocation in managing femoral head fractures: A systematic review and meta-analysis. World J Orthop. 2021; 12(8): 604-619.

  2. Ganz R, Gill TJ, Gautier E, Ganz K, Krügel N, Berlemann U. Surgical dislocation of the adult hip, a technique with full access to the femoral head and acetabulum without the risk of avascular necrosis. J Bone Joint Surg Br. 2001; 83:1119-1124.

  3. Schoeniger R, Naudie DD, Siebenrock KA, Trousdale RT, Ganz R. Modified complete synovectomy prevents recurrence in synovial chondromatosis of the hip. Clin Orthop Relat Res. 2006; 451: 195-200.

  4. Fang S, Li H, Wang Y, Xu P, Sun H, Li S et al. Surgical hip dislocation for treatment of synovial chondromatosis of the hip. Int Orthop. 2021; 45(11): 2819-2824.

  5. Gardner MJ, Suk M, Pearle A, Buly RL, Helfet DL, Lorich DG. Surgical dislocation of the hip for fractures of the femoral head. J Orthop Trauma. 2005; 19: 334-342.

  6. Aprato A, Buzzone M, Di Benedetto P, Masse A. Surgical hip dislocation vs arthroscopy for fixation of subfoveal femoral head fractures: A new technique for Pipkin type 1 fractures. Acta Biomed. 2021; 92(S3): e2021016.

  7. Sink EL, Fabricant PD, Pan Z, Dayton MR, Novais E. Results of treatment of femoroacetabular impingement in adolescents with a surgical hip dislocation approach. Clin Orthop Relat Res. 2013; 471(8): 2563-2569.

  8. Tang Y, Liu Y, Zhu Y, Li J, Li W, Li Q et al. Surgical hip dislocation approach for treatment of femoral head fracture. Zhongguo Xiu Fu Chong Jian Wai Ke Za Zhi. 2015; 29(11): 1327-1331.

  9. Ferreyra A, Allende V, Masquijo JJ, Allende GJ. Experiencia inicial con la luxación controlada de cadera. Rev Asoc Argent Ortop Traumatol. 2012; 77(1): 29-38.

  10. Satizábal L. Fijación in situ y osteoplastia de cuello femoral en deslizamiento epifisiario femoral proximal grado II y III, resultados y técnica quirúrgica [Tesis]. Bogotá, Colombia: Universidad Nacional de Colombia; 2017.

  11. Morillo M. Diagnóstico oportuno de epifisiolistesis de cadera en pacientes de edad transicional. Estudio realizado en el área de traumatología del Hospital del Niño Dr. Francisco Icaza Bustamante en el periodo de enero del 211- diciembre 2015 [Tesis]. Guayaquil: Universidad de Guayaquil; 2016.

  12. Besomi J, Parodi D, Lara J, Mella C. Luxación controlada de cadera en el tratamiento del Condrosarcoma Epifisiario Femoral de células claras. Reporte de un caso. Rev ANACEM. 2008; 2: 46-48.



EVIDENCE LEVEL

IV (grado de recomendación C)




Figure 1
Figure 2
Figure 3
Figure 4
Figure 5
Figure 6

2020     |     www.medigraphic.com

Mi perfil

C?MO CITAR (Vancouver)

Rev Mex Ortop Ped. 2023;25