medigraphic.com
SPANISH

Acta Ortopédica Mexicana

ISSN 2992-8036 (Electronic)
ISSN 2306-4102 (Print)
Órgano Oficial del Colegio Mexicano de Ortopedia y Traumatología
  • Contents
  • View Archive
  • Information
    • General Information        
    • Directory
  • Publish
    • Instructions for authors        
  • medigraphic.com
    • Home
    • Journals index            
    • Register / Login
  • Mi perfil

2023, Number 4

<< Back Next >>

Acta Ortop Mex 2023; 37 (4)

Atlantoid assimilation: malformation, compensation or deformity. Is it part of basilar invagination?

Alemán-Iñiguez J, Astudillo-Pacheco P, De TJ
Full text How to cite this article 10.35366/113619

DOI

DOI: 10.35366/113619
URL: https://dx.doi.org/10.35366/113619

Language: Spanish
References: 17
Page: 237-243
PDF size: 240.63 Kb.


Key words:

atlantoid assimilation, treatment, atlantoaxial instability, surgery, fixation, cervical spine.

ABSTRACT

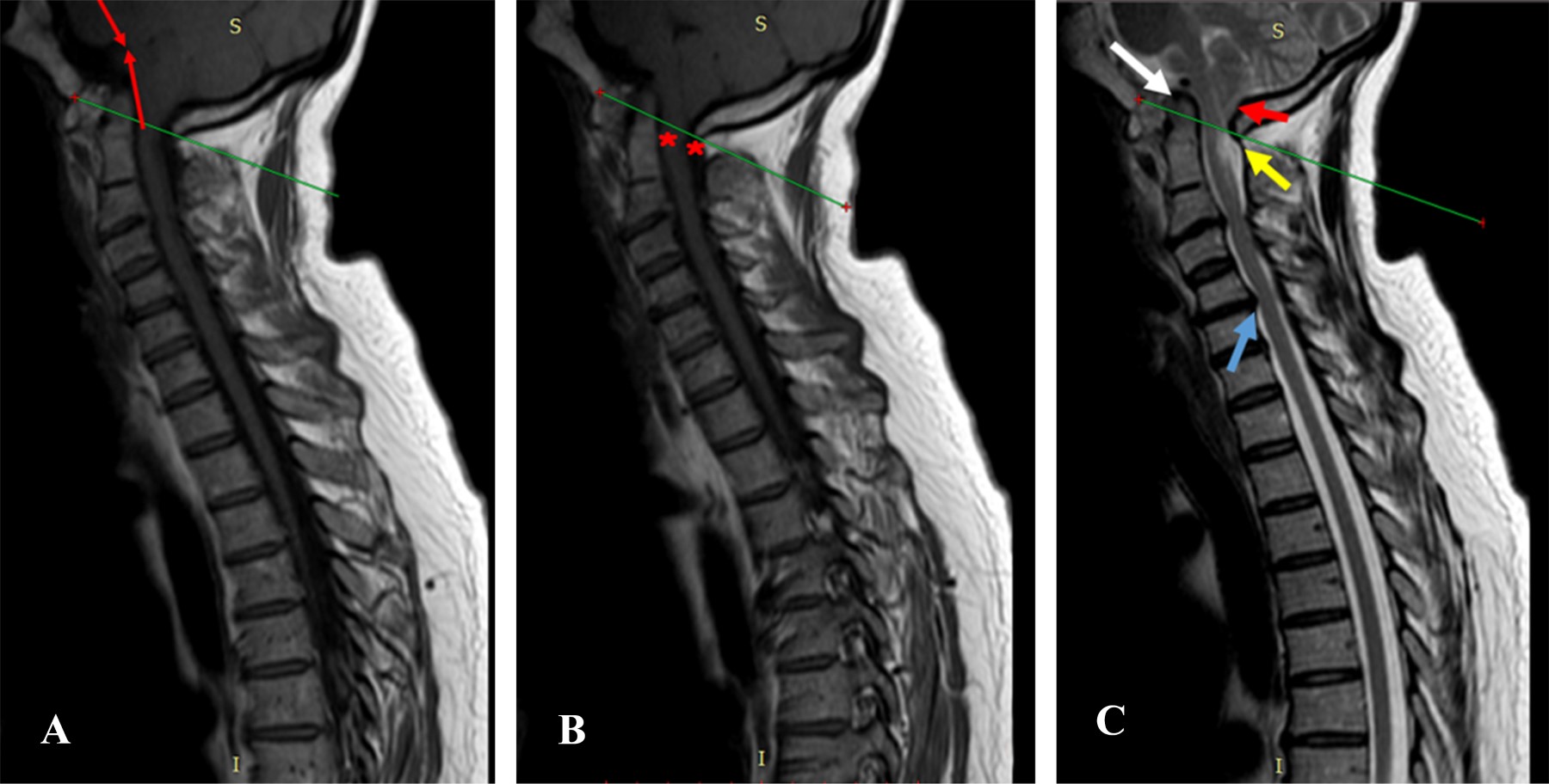
Introduction: atlas assimilation can occur alone or in association with other craniocervical junction malformations and deformities. The etiological and pathological mechanisms are not clear. Case presentation: patient in her sixth decade of life, who was treated at the "Eugenio Espejo" Hospital, with asymmetric pyramidal symptoms after a low-energy kinetic fall. The condition completely reverted with conservative management. The patient is currently under periodic observation. Conclusion: the atlas assimilation, a congenital malformation, often asymptomatic; it is part of an embryological compensation when it is associated with other malformations. The appearance of deformity is necessary to reach atlantoaxial instability that it is not early. The knowledge of the concepts and distinction of the craniocervical junction abnormalities allows to indicate the best treatment in order to obtain the most suitable results with the individualization of each case.


REFERENCES

  1. Sharma M, Singh B, Abhaya A, Kumar H. Occipitalization of atlas with other associated anomalies of skull. Eur J Anat. 2008; 12(3): 159-67.

  2. Tsou PM, Yau A, Hodgson AR. Embryogenesis and prenatal development of congenital vertebral anomalies and their classification. Clin Orthop Relat Res. 1980; (152): 211-31.

  3. Muthukumar N. Proatlas segmentation anomalies: surgical management of five cases and review of the literature. J Pediatr Neurosci. 2016; 11(1): 14-9.

  4. Menezes AH, Dlouhy BJ. Atlas assimilation: spectrum of associated radiographic abnormalities, clinical presentation, and management in children below 10 years. Childs Nerv Syst. 2020; 36(5): 975-85.

  5. Tubbs RS, Lancaster JR, Mortazavi MM, Shoja MM, Chern JJ, Loukas M, et al. Morphometry of the outlet of the foramen magnum in crania with atlantooccipital fusion. J Neurosurg Spine. 2011; 15(1): 55-9.

  6. Gholve PA, Hosalkar HS, Ricchetti ET, Pollock AN, Dormans JP, Drummond DS. Occipitalization of the atlas in children. Morphologic classification, associations, and clinical relevance. J Bone Joint Surg Am. 2007; 89(3): 571-8.

  7. Pang D, Thompson DN. Embryology and bony malformations of the craniovertebral junction. Childs Nerv Syst. 2011; 27(4): 523-64.

  8. Electricwala AJ, Harsule A, Chavan V, Electricwala JT. Complete atlantooccipital assimilation with basilar invagination and atlantoaxial subluxation treated non-surgically: a case report. Cureus. 2017; 9(6): e1327.

  9. Smoker WR. Craniovertebral junction: normal anatomy, craniometry, and congenital anomalies. Radiographics. 1994; 14(2): 255-77.

  10. Yin Y, Yu X, Wang P, Meng C, Zhang J. The biomechanical analysis of craniovertebral junction finite element model in atlas assimilation. Zhonghua Wai Ke Za Zhi. 2015; 53(3): 211-4.

  11. Wang HW, Ma LP, Yin YH, Yu XG, Meng CL. Biomechanical Rationale for the development of atlantoaxial instability and basilar invagination in patients with occipitalization of the atlas: a finite element analysis. World Neurosurg. 2019; 127: e474-9.

  12. Zong R, Yin Y, Qiao G, Jin Y, Yu X. Quantitative measurements of the skull base and craniovertebral junction in congenital occipitalization of the atlas: a computed tomography-based anatomic study. World Neurosurg. 2017; 99: 96-103.

  13. Vásconez-Fabre JV, Pinos-Gavilánez M, Ronquillo-Campuzano V, Varas-Valverde G, Lara-Flores P, Ramos-Núñez J, et al. Invaginación basilar no asociada a Síndrome de Chiari y compresión crítica de unión bulbomedular: Revisión bibliográfica y técnica quirúrgica en un caso clínico. Rev Chil Neurocir. 2018; 44(2): 160-6.

  14. Goel A. Cervical fusion as a protective response to craniovertebral junction instability: a novel concept. Neurospine. 2018; 15(4): 323-8.

  15. Goel A. Basilar invagination, syringomyelia and Chiari formation and their relationship with atlantoaxial instability. Neurol India. 2018; 66(4): 940-2.

  16. Joaquim AF, Tedeschi H, Chandra PS. Controversies in the surgical management of congenital craniocervical junction disorders - A critical review. Neurol India. 2018; 66(4): 1003-15.

  17. Joaquim AF, Ghizoni E, Giacomini LA, Tedeschi H, Patel AA. Basilar invagination: Surgical results. J Craniovertebr Junction Spine. 2014; 5(2): 78-84.




Figure 1
Figure 2
Figure 3
Figure 4
Table 1

2020     |     www.medigraphic.com

Mi perfil

C?MO CITAR (Vancouver)

Acta Ortop Mex. 2023 Jul-Ago;37