medigraphic.com
SPANISH

Salud Jalisco

ISSN 2448-8747 (Print)
Publicación cuatrimestral editada por la Secretaría de Salud Jalisco
  • Contents
  • View Archive
  • Information
    • General Information        
    • Directory
  • Publish
    • Instructions for authors        
  • medigraphic.com
    • Home
    • Journals index            
    • Register / Login
  • Mi perfil

2023, Number S1

<< Back Next >>

Sal Jal 2023; 10 (S1)

Presentation of clear cell renal cancer at an earlier age

López-Romero CA, Anguiano-González JP, Campo-Guzmán LE, Díaz-Serrano ODJ
Full text How to cite this article 10.35366/113698

DOI

DOI: 10.35366/113698
URL: https://dx.doi.org/10.35366/113698

Language: Spanish
References: 8
Page: s30-35
PDF size: 370.84 Kb.


Key words:

renal tumor, clear cells, nephrectomy, hematuria, risk factors.

ABSTRACT

Renal cancer is a neoplasm that represents 3% of urological pathologies below bladder and prostate cancer. Its incidence has been reported between 50 and 70 years with a predominance in men compared to women (3:1). Its presentation under 40 years of age is considered rare, representing only 8.7% of all cases of renal cell carcinoma. The risk factors that have been attributed the most for the development of renal cell carcinoma are smoking, obesity and hypertension. Studies on the use of analgesics such as acetaminophen have also been found to relatively increase the risk of developing this pathology, but there are still more trials that can demonstrate this. Its classic presentation as pain, hematuria and palpable mass only occurs in 10% of the population and it presents in advanced stages. Incidental diagnosis has increased with the use of ultrasound as the initial imaging study in patients with abdominal symptoms. The therapeutic approach will depend on whether at the time of diagnosis it is a local, locally advanced, or metastatic disease.


REFERENCES

  1. Vasquez-Sullca R, Balcazar-Reyes A, Yalta-Arce H, Allemant-Mori L. Carcinoma renal con cuadro clínico de infección urinaria recurrente en paciente joven. An Fac Med [Internet]. 2019;80(1):60-63. Disponible en: https://revistasinvestigacion.unmsm.edu.pe/index.php/anales/article/view/15878/13652

  2. Guerrero Brito J, Ávila Quiñones II, Bermejo Suxo J, Senties Hernández I, Contreras Reyes I. Tumor renal de células claras con infiltración a duodeno. Reporte de un caso y revisión de la literatura. Rev Mex Urol [Internet]. 2007;67(1):56-60. Disponible en: https://www.medigraphic.com/pdfs/uro/ur-2007/ur071g.pdf

  3. Choueiri TK, Je Y, Cho E. Analgesic use and the risk of kidney cancer: a meta-analysis of epidemiologic studies. Int J Cancer. 2014;134(2):384-396. doi: 10.1002/ijc.28093.

  4. Cano-García F, Chablé-Montero F. Carcinoma renal de células claras: características morfológicas en una serie de casos del Hospital Médica Sur. Med Sur. 2015;22(4):189-194.

  5. Anglada Curado FJ, Campos Hernández P, Prieto Castro R, Carazo Carazo JL, Regueiro López JC, Vela Jiménez F, et al. Nuevos patrones epidemiológicos y factores de riesgo en cáncer renal. Actas Urol Esp [Internet]. 2009;33(5):459-467. Disponible en: http://scielo.isciii.es/scielo.php?script=sci_arttext&pid=S0210-48062009000500002&lng=es

  6. Ares Valdés Y. Correlación de los síntomas de los pacientes con cáncer de células renales con la supervivencia. Arch Esp Urol [Internet]. 2009;62(3):201-206. Disponible en: http://scielo.isciii.es/scielo.php?script=sci_arttext&pid=S0004-06142009000300005&lng=es

  7. Ljungberg B, Hanbury DC, Kuczyk MA, Merseburger AS, Mulders PFA, Patard JJ, et al. Guía del carcinoma de células renales. Actas Urol Esp [Internet]. 2009;33(3):270-279. Disponible en: http://scielo.isciii.es/scielo.php?script=sci_arttext&pid=S0210-48062009000300009&lng=es

  8. Suárez-Alfonso O, Castillo-García I, Hernández-Campo P, Díaz-Dueñas Y, Zayas-Veliz R. Características clínico epidemiológicas y manejo terapéutico del cáncer de riñón. Rev Cienc Médicas Pinar Río [Internet]. 2022;26(2):5266. Disponible en: https://revcmpinar.sld.cu/index.php/publicaciones/article/view/5266




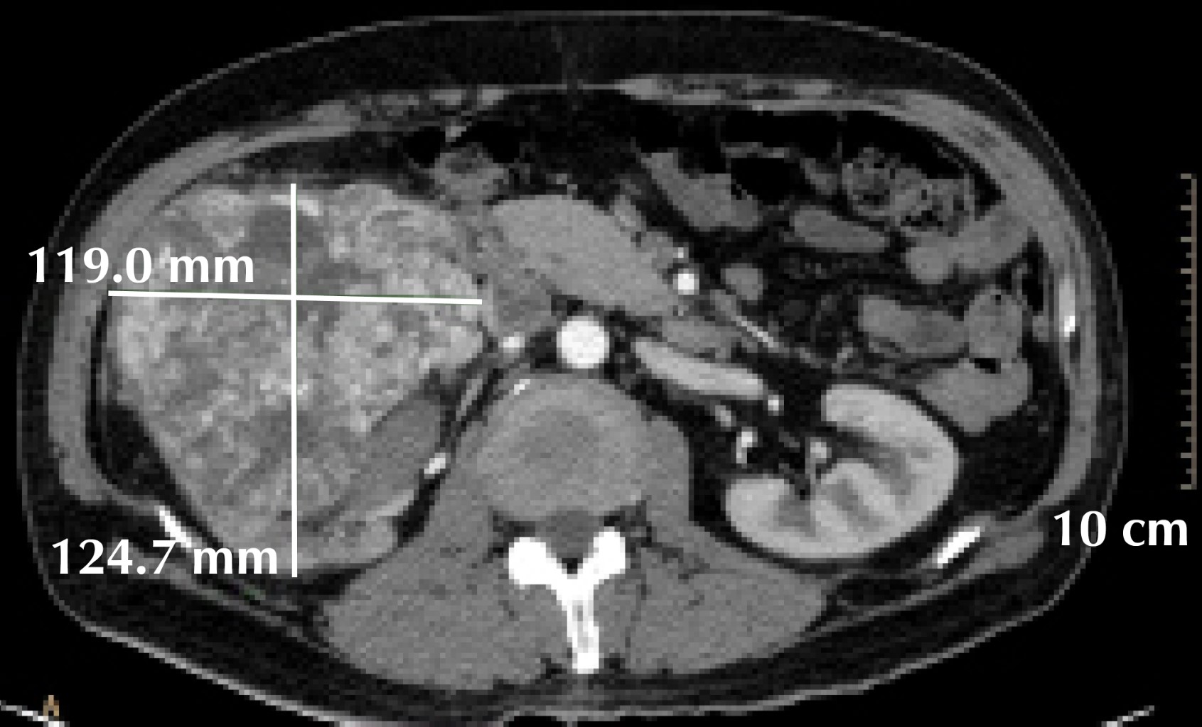
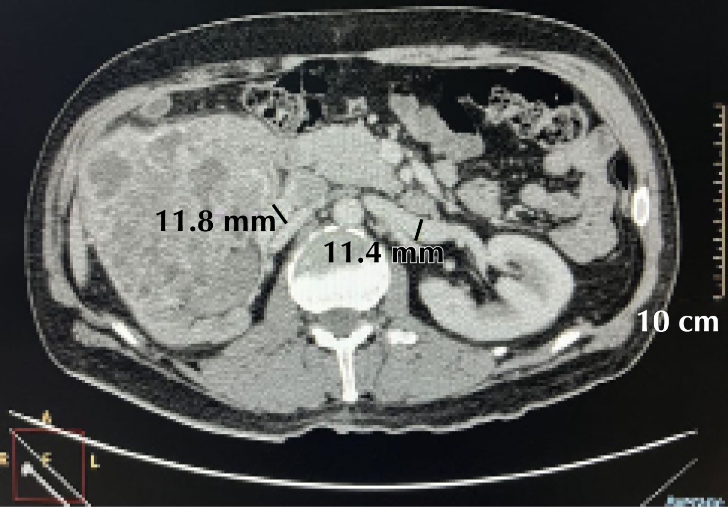
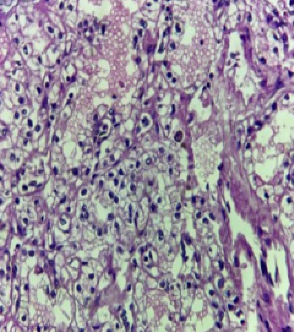
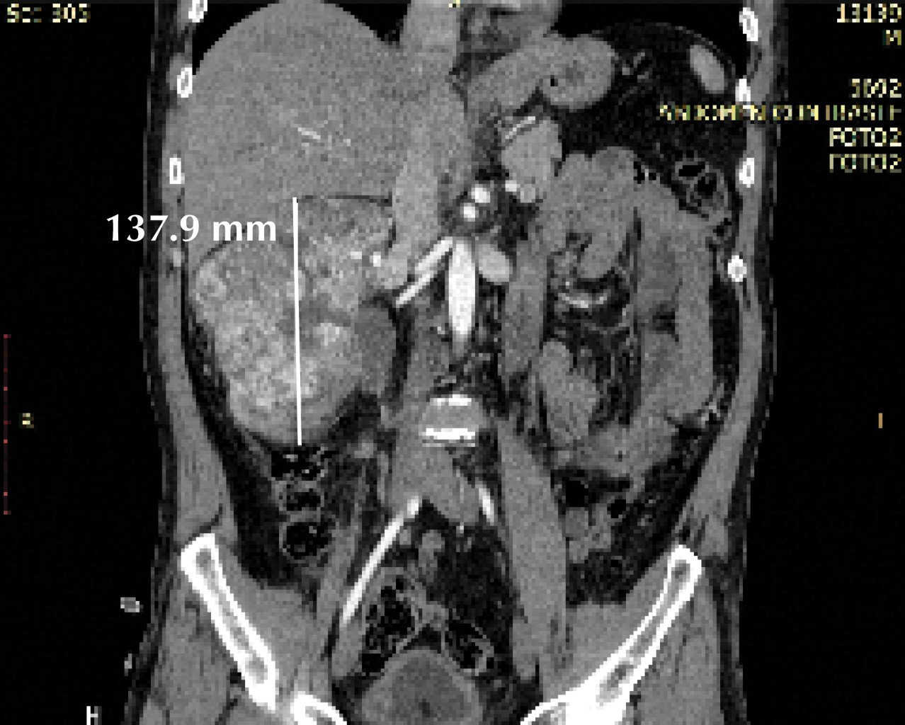
Figure 1
Figure 2
Figure 3
Figure 4
Figure 5
Figure 6

2020     |     www.medigraphic.com

Mi perfil

C?MO CITAR (Vancouver)

Sal Jal. 2023;10