medigraphic.com
SPANISH

Revista ADM Órgano Oficial de la Asociación Dental Mexicana

ISSN 0001-0944 (Print)
Órgano Oficial de la Asociación Dental Mexicana
  • Contents
  • View Archive
  • Information
    • General Information        
    • Directory
  • Publish
    • Instructions for authors        
    • Send manuscript
  • medigraphic.com
    • Home
    • Journals index            
    • Register / Login
  • Mi perfil

2023, Number 6

<< Back Next >>

Rev ADM 2023; 80 (6)

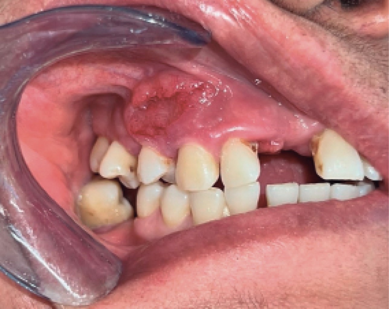
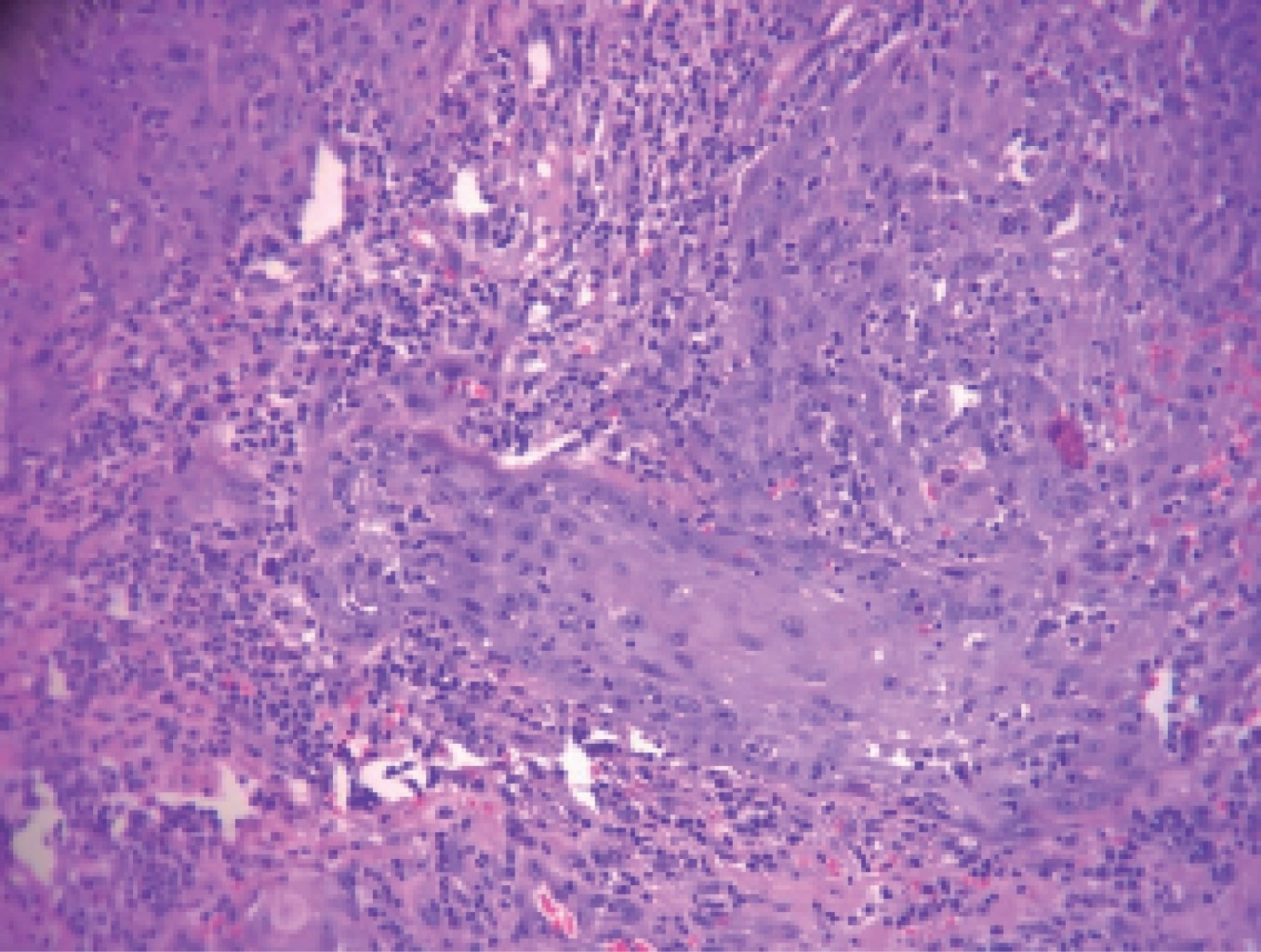
Oral squamous cell carcinoma of the palate: a case report.

Argüello HDJ, Montoya PLA, Cruz LB, Lucero RA, Aldape BBC
Full text How to cite this article 10.35366/113925

DOI

DOI: 10.35366/113925
URL: https://dx.doi.org/10.35366/113925

Language: Spanish
References: 11
Page: 346-350
PDF size: 318.67 Kb.


Key words:

oral cancer, squamous cell carcinoma, leukoplakia, gingival ulcer.

ABSTRACT

Oral cancer represents a serious health problem worldwide due to its significant morbidity and mortality, it is the sixth leading cause of cancer death and has a global 5-year survival rate of 50%, largely due to the lack of recognition in early stages by patients and health professionals themselves, which causes a serious delay in diagnosis and treatment. We present the case of a 64-year-old woman with long-standing ulcers in the oral cavity who went to multiple health professionals without being diagnosed in the initial stages of the disease. She went to the Autonomous University of Tlaxcala where oral squamous cell carcinoma (OSCC) in the maxilla was diagnosed. This article emphasizes the recognition of clinical signs and precipitating factors that may generate suspicion of malignant growth and thus raise awareness among health professionals to promote prevention.


REFERENCES

  1. Bray F, Ferlay J, Soerjomataram I, et al. Global cancer statistics 2018: GLOBOCAN estimates of incidence and mortality worldwide for 36 cancers in 185 countries. CA Cancer J Clin. 2018; 68 (6): 394-424.

  2. Eskander A, Givi B, Gullane PJ, Irish J, Brown D, Gilbert RW, et al. Outcome predictors in squamous cell carcinoma of the maxillary alveolus and hard palate. Laryngoscope. 2013; 123 (10): 2453-2458.

  3. Rapp CT, Chera BS, Morris CG, Amdur RJ, Kirwan JM, Mendenhall WM. Radiation treatment of soft palate squamous cell carcinoma. Head Neck. 2020; 42 (3): 530-538.

  4. Neville BW, Damm DD, Allen CM, Chi AC. Oral and maxillofacial pathology. St. Louis, MO: Elsevier; 2016, pp. 374-389.

  5. Bouquot JE, Gnepp DR. Laryngeal precancer: a review of the literature, commentary, and comparison with oral leukoplakia. Head Neck. 1991; 13 (6): 488-497.

  6. Howard A, Agrawal N, Gooi Z. Lip and oral cavity squamous cell carcinoma. Hematol Oncol Clin North Am. 2021; 35 (5): 895-911.

  7. Machiels J-P, René Leemans C, Golusinski W, Grau C, Licitra L, Gregoire V. Squamous cell carcinoma of the oral cavity, larynx, oropharynx and hypopharynx: EHNS-ESMO-ESTRO clinical practice guidelines for diagnosis, treatment and follow-up. Ann Oncol. 2020; 31 (11): 1462-1475.

  8. Meng FY, Ko JY, Lou PJ, Wang CP, Yang TL, Chang CH et al. The determining risk factors for treatment outcomes in patients with squamous cell carcinoma of the hard palate. Ann Surg Oncol. 2012; 19 (6): 2003-2010.

  9. Yang X, Song X, Chu W, Li L, Ma L, Wu Y. Clinicopathological characteristics and outcome predictors in squamous cell carcinoma of the maxillary gingiva and hard palate. J Oral Maxillofac Surg. 2015; 73 (7): 1429-1436.

  10. Abati S, Bramati C, Bondi S, Lissoni A, Trimarchi M. Oral cancer and precancer: a narrative review on the relevance of early diagnosis. Int J Environ Res Public Health. 2020; 17 (24): 9160.

  11. Wong T, Wiesenfeld D. Oral cancer. Aust Dent J. 2018; 63 Suppl 1: S91-S99.




Figure 1
Figure 2
Figure 3
Figure 4
Figure 5
Figure 6
Figure 7

2020     |     www.medigraphic.com

Mi perfil

C?MO CITAR (Vancouver)

Rev ADM. 2023;80