medigraphic.com
SPANISH

Revista Mexicana de Pediatría

ISSN 0035-0052 (Print)
  • Contents
  • View Archive
  • Information
    • General Information        
    • Directory
  • Publish
    • Instructions for authors        
    • Send manuscript
  • medigraphic.com
    • Home
    • Journals index            
    • Register / Login
  • Mi perfil

2023, Number 3

<< Back Next >>

Rev Mex Pediatr 2023; 90 (3)

Intracardiac hemangioma in an infant

Peña-Guevara H, Vázquez-Pérez A, Figueroa-Vega JR, Quibrera-Matienzo JA
Full text How to cite this article 10.35366/114203

DOI

DOI: 10.35366/114203
URL: https://dx.doi.org/10.35366/114203

Language: Spanish
References: 10
Page: 103-106
PDF size: 276.07 Kb.


Key words:

intracardiac hemangioma, infant, intracardiac tumor, cardiovascular surgery.

ABSTRACT

Introduction: intracardiac tumors in children are rare, but most are benign. In general, these tumors do not cause symptoms, but as they increase in size, they can lead to heart failure. Case presentation: three-month-old male patient who had an intrauterine diagnosis of mediastinal mass. At birth he was asymptomatic. Resection of right atrial tumor was performed. The pathology report indicated that it was an intracardiac hemangioma. The patient has had a favorable evolution. Conclusions: intracardiac tumors are a rare entity in pediatrics, which are generally detected accidentally.


REFERENCES

  1. Burke A, Virmani R. Tumors of the heart and great vessels. Atlas of tumor pathology. Series 3. Fascicle 16. Washington, DC: Armed Forces Institute of Pathology; 1996. p. 231.

  2. Arnaiz GP, Toledo GI, Borzutzky SA, Urcelay MG, Heusser RF, Garay GF. Comportamiento clínico de los tumores cardiacos desde el feto hasta el adulto: serie multicéntrica de 38 pacientes. Rev Méd Chile. 2006; 134(9): 1135-1145.

  3. Burke A, Virmani R. Pediatric heart tumors. Cardiovasc Pathol. 2008; 17: 193-198.

  4. Grebenc L, Rosado M, Burke AP. Primary cardiac and pericardial neoplasms: Radiologic-pathologic correlation. RadioGraphic. 2000; 20:1073-1103.

  5. Orakzai R, Nalawadi S, Cuk O, Thomson L, Elad Y. Multimodality evaluation of a rare intracardiac tumor: cardiac hemangioma. Am J Med. 2011; 124(8): e3-4.

  6. Padalino M, Basso C, Milanesi O, Vida V, Moreolo G. Surgically treated primary cardiac tumors in early infancy and childhood. J Thorac Cardiovasc Surg. 2005; 129(6): 1358-1363.

  7. Bastidas M. Tumor intracardiaco en paciente adolescente. Rev Colomb Cardiol. 2016; 24(3): 301-306.

  8. Araoz P, Mulvagh S, Tazelaar H, Julsrud P, Breen J. CT and MR imaging of benign primary cardiac neoplasms with echocardiographic correlation. Radiographics. 2000; 20(5): 1303-1319.

  9. ElBardissi AW, Dearani JA, Daly RC, Mullany CJ, T Orszulak A, Puga FJ. Analysis of benign ventricular tumors: long-term outcome after resection. J Thorac Cardiovasc Surg. 2008; 135: 1061-1068.

  10. Isaacs H. Fetal and neonatal cardiac tumors. Pediatr Cardiol. 2004; 25: 252-273.




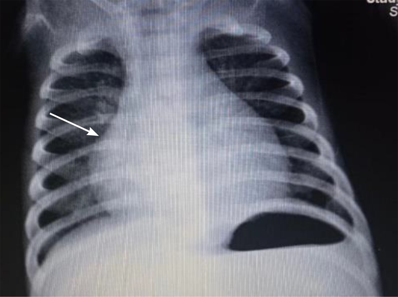
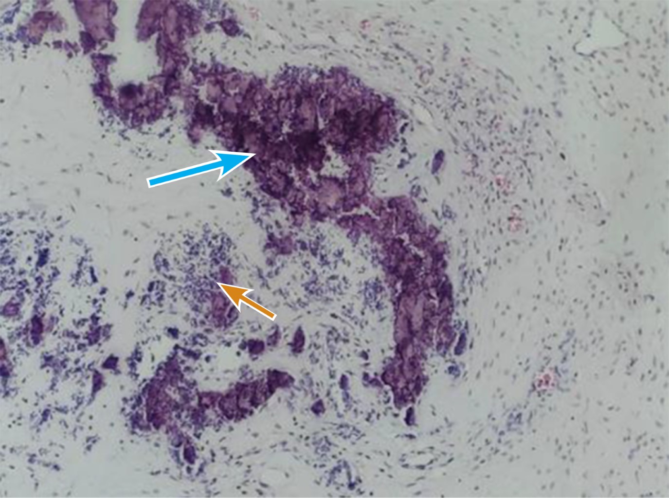
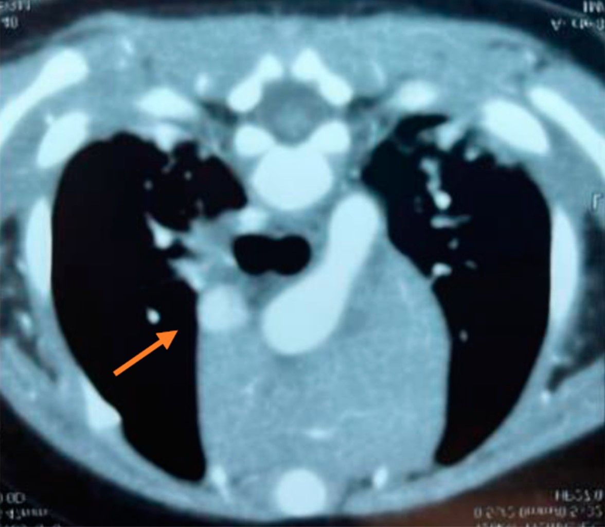
Figure 1
Figure 2
Figure 3
Figure 4
Figure 5
Figure 6
Figure 7
Figure 8

2020     |     www.medigraphic.com

Mi perfil

C?MO CITAR (Vancouver)

Rev Mex Pediatr. 2023;90