medigraphic.com
SPANISH

Revista Mexicana de Cirugía Endoscópica

ISSN 1665-2576 (Print)
  • Contents
  • View Archive
  • Information
    • General Information        
    • Directory
  • Publish
    • Instructions for authors        
    • Send manuscript
  • medigraphic.com
    • Home
    • Journals index            
    • Register / Login
  • Mi perfil

2023, Number 1-4

<< Back Next >>

Rev Mex Cir Endoscop 2023; 24 (1-4)

Laparoscopic approach to retroperitoneal tumor: case report of ganglioneuroma

Aguirre-Flores K, Mazariegos-Gutiérrez UE, Morales-Chomina YA, Gómez-Arenas SR, Nacud-Bezies YA
Full text How to cite this article 10.35366/114305

DOI

DOI: 10.35366/114305
URL: https://dx.doi.org/10.35366/114305

Language: Spanish
References: 12
Page: 21-25
PDF size: 256.56 Kb.


Key words:

retroperitoneal tumor, ganglioneuroma, laparoscopy.

ABSTRACT

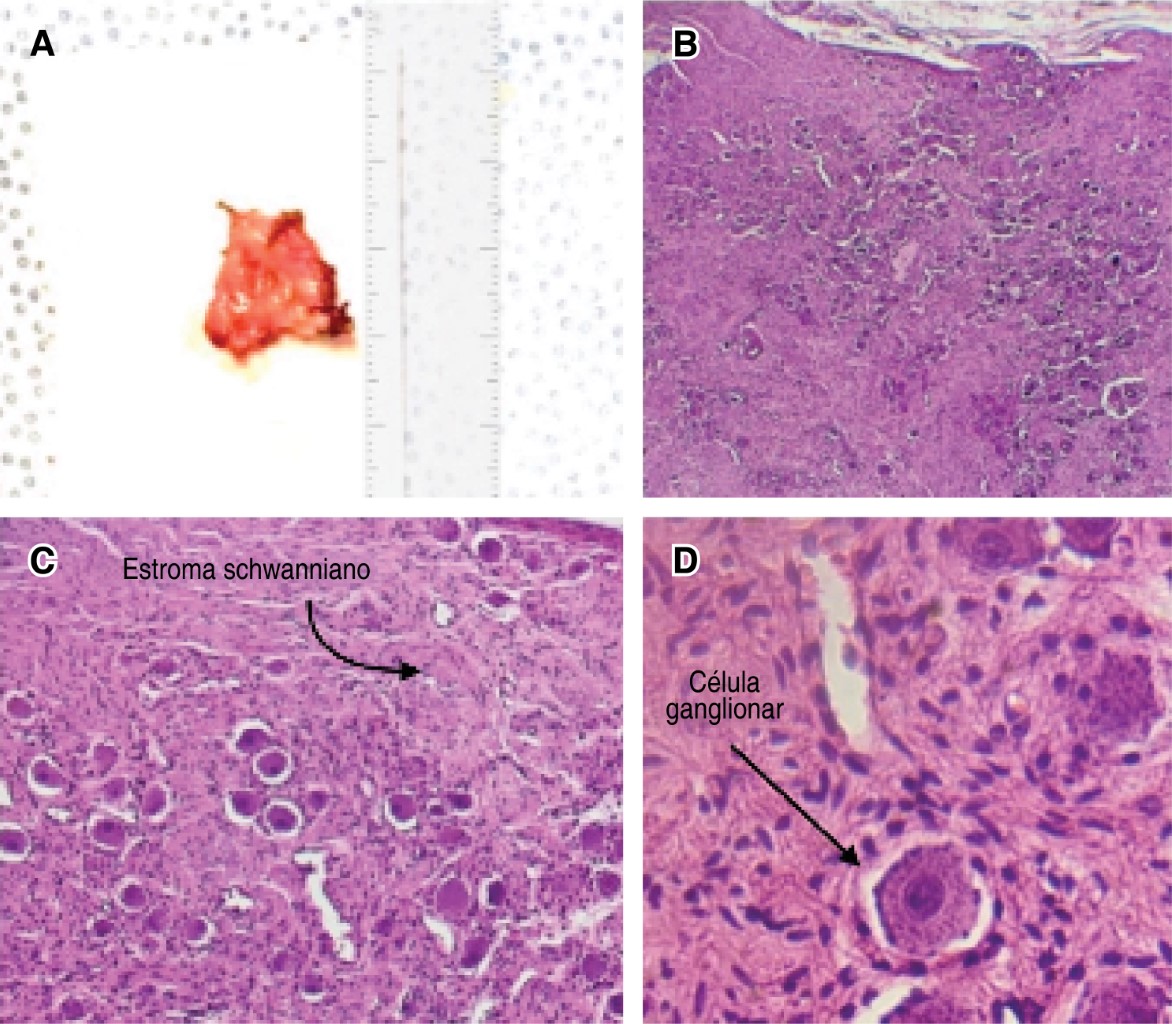
Introduction: ganglioneuroma is a rare benign tumor of neural crest origin arising from the sympathetic nervous system. The case presented reports the unusual clinical features and treatment options of retroperitoneal ganglioneuroma. Case report: a 36-year-old male with a history of chronic kidney disease secondary to difficult-to-control hypertension. Initial tests, including renal doppler ultrasound and I 131-MIBG scintigraphy were normal. A contrasted abdominal computed tomography scan was performed which demonstrated a 2 cm retroperitoneal mass adjacent to the left adrenal gland and further delineated by magnetic resonance imaging reporting probable paraganglioma. Plasma urine total metanephrine was significantly elevated. The patient was treated with preoperative alpha blockade, performing complete tumor resection laparoscopically. Histopathological examination reported the diagnosis of ganglioneuroma. There were no intra or postoperative complications, total hospital stay was two days and metanephrine levels normalized at follow-up. Conclusion: complete resection by laparoscopy is widely accepted as an adequate therapy without recurrence for the treatment of symptomatic retroperitoneal ganglioneuromas such as the clinical case reported, presenting a good prognosis.


REFERENCES

  1. Xiao J, Zhao Z, Li B, Zhang T. Primary retroperitoneal ganglioneuroma: a retrospective cohort study of 32 patients. Front Surg. 2021; 8: 642451.

  2. Zografos GN, Kothonidis K, Ageli C, Kopanakis N, Dimitriou K, Papaliodi E et al. Laparoscopic resection of large adrenal ganglioneuroma. JSLS. 2007; 11: 487-492.

  3. Arredondo MF, Soto DM, Benavente FA, Basquero GB, Zurera CA, Linares AR. Ganglioneuroma suprarrenal. Aportación de un nuevo caso. Actas Urol Esp. 2003; 27: 221-225.

  4. Brouwers F, Eisenhofer G, Lenders J, Pacak K. Emergencies caused by pheochromocytoma, neuroblastoma or ganglioneuroma. Endocrinol Metab Clin N Am. 2006; 35: 699-724.

  5. Guo YK, Yang ZG, Li Y, Deng YP, Ma ES, Min PQ et al. Uncommon adrenal masses: CT and MRI features with histopathologic correlation. Eur J Radiol. 2007; 62: 359-370.

  6. Maweja S, Materne R, Detrembleur N, De Leval L, Defecheroux T, Meurisse M et al. Adrenal ganglioneuroma. Am J Surg. 2007; 194: 683-684.

  7. Ramírez-Plaza CP, Rodríguez-Cañete A, Domínguez-López ME, Valle-Carbajo M, Jiménez-Mazure C, Marín-Camero N et al. Desarrollo y evolución de la suprarrenalectomía laparoscópica en una unidad especializada: de los casos iniciales al hospital de día. Endocrinol Nutr. 2010; 57: 22-27.

  8. Liao CH, Chueh SC, Lai MK, Hsiao PJ, Chen J. Laparoscopic adrenalectomy for potentially malignant adrenal tumors greater than 5 centimeters. J Clin Endocrinol Metab. 2006; 91: 3080-3083.

  9. Bingbing S, Han-Zhong L, Cheng C, Shi R, Hua F, Jin W et al. Differential diagnosis and laparoscopic treatment of adrenal pheochromocytoma and ganglioneuroma. Chin Med J. 2009; 122: 1790-1793.

  10. Yamaguchi K, Hara I, Takeda M, Tanaka K, Yamada Y, Fujisawa M et al. Two cases of ganglioneuroma. Urology. 2006; 67: 622.e1-622.e4.

  11. Torregrosa L, Granada J, Cervera S. Ganglioneuroma retroperitoneal en un hospital universitario: reporte de caso. Univ Méd. 2013; 54: 396-400.

  12. Von Mehren M, Randall RL, Benjamin RS, Boles S, Bui MM, Ganjoo KN et al. Soft tissue sarcoma, version 2.2018, NCCN Clinical Practice Guidelines in Oncology. J Natl Compr Canc Netw. 2018; 16: 536-563.




Figure 1
Figure 2
Figure 3

2020     |     www.medigraphic.com

Mi perfil

C?MO CITAR (Vancouver)

Rev Mex Cir Endoscop. 2023;24