medigraphic.com
SPANISH

Acta Ortopédica Mexicana

ISSN 2992-8036 (Electronic)
ISSN 2306-4102 (Print)
Órgano Oficial del Colegio Mexicano de Ortopedia y Traumatología
  • Contents
  • View Archive
  • Information
    • General Information        
    • Directory
  • Publish
    • Instructions for authors        
  • medigraphic.com
    • Home
    • Journals index            
    • Register / Login
  • Mi perfil

2024, Number 1

<< Back Next >>

Acta Ortop Mex 2024; 38 (1)

Acute calcific periarthritis in a proximal interphalangeal joint of the hand after acute trauma: a rare case

Nóbrega-Catelas, D1,2; Correia, AL1,2; Cordeiro, F1,2; Teixeira-da-Mota, P1
Full text How to cite this article 10.35366/114667

DOI

DOI: 10.35366/114667
URL: https://dx.doi.org/10.35366/114667

Language: English
References: 12
Page: 57-59
PDF size: 140.78 Kb.


Key words:

acute calcific periarthritis, proximal interphalangeal joint, trauma.

ABSTRACT

Acute calcific periarthritis (ACP) in the interphalangeal joints of the hand is rare, with less than 100 cases reported. A rare case of ACP in a proximal interphalangeal (PIP) joint of the hand, in a young black woman, after acute trauma, is presented. She experienced severe pain and limited range of motion, and was medicated with an oral corticoid, which was followed by a rapid resolution of the symptoms. At six months, there were no signs of clinical or radiographic recurrence. Recognition of ACP allows for avoiding unnecessary treatments. In this case, treatment with corticoids might have played a role in a faster recovery.



INTRODUCTION

Acute calcific periarthritis (ACP) is a relatively unknown entity, given the rarity of the cases. ACP usually presents as a painful, monoarticular, periarticular deposition of amorphous calcium hydroxyapatite.1,2 The calcium deposits may be located in cartilage, synovium, capsule, tendons, ligaments, soft tissue, and vessels,3 and most commonly develop around the shoulder.1,2,3,4 When these deposits form in a periarticular region they are called ACP, whereas acute calcific peritendinitis refers to calcium deposits within a tendon.4

Acute calcium deposits in the digits' interphalangeal joints are rare.2,3,4,5,6 Therefore, these patients are frequently misdiagnosed and undergo unnecessary treatment with antibiotics or even surgery.4 In fact, the disorder may mimic septic conditions, gout, tumors, and fractures, among others.1,2,4,5,7 Pre or perimenopausal women are usually more affected.1,2,5 The disease follows a self-limiting and short course,4,5 but, without any intervention, has taken a long time to spontaneously resolve in several reports. The treatment is conservative, though, and the periarticular calcification will often disappear or markedly decrease within 2-3 weeks.1

Here, we describe a rare case of ACP in a proximal interphalangeal (PIP) joint of the hand, occurring in a young black woman, after an acute trauma.



CASE REPORT

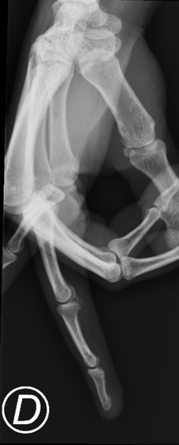
A 25-year-old right-hand dominant black woman, who works as a waitress, was observed in the emergency room (ER) after an acute trauma of the fourth finger of the right hand. The patient reported no relevant medical history. She experienced pain on palpation of the volar aspect of the PIP joint, where a soft tissue mass was present. On the radiograph of the hand, an abnormal lesion compatible with a calcification could be seen on the volar side of the PIP joint of the fourth finger; there was no periosteal reaction, evidence of joint space narrowing or cortical lesion, and the calcification was separated from the bone (Figure 1). The patient was discharged with recommendations for analgesia and syndactyly.

The patient returned to the ER after two days referring worsening of the pain at the PIP joint. This time, the range of motion was fairly impaired due to pain and there was visible edema. Tenderness along the flexor tendon sheath was not present. The plain radiograph was similar to the previous one (Figure 1). The ultrasound confirmed a calcification of the volar plate, and blood tests were normal. After the evaluation, an infection of the flexor sheath seemed unlikely and the diagnosis of an ACP of the PIP joint was made. The patient was medicated with a corticoid along with painkillers.

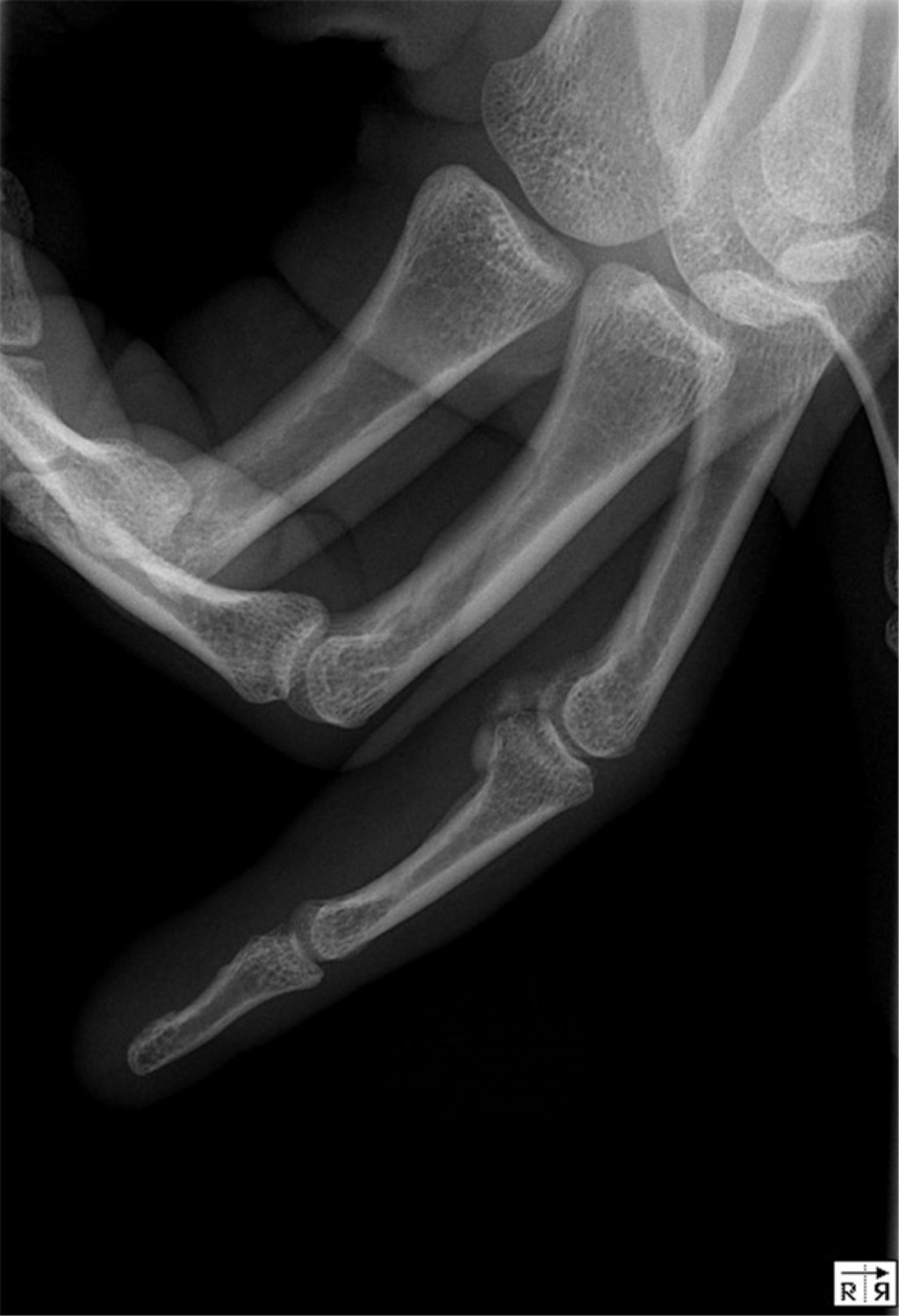
The patient was seen in an ambulatory setting one week after the episode, and she was already nearly free of symptoms. At reevaluation one month after the trauma, she had fully recovered in terms of pain and mobility. The calcification had practically disappeared on the radiograph (Figure 2).

One last appointment was scheduled nine months after the initial visit. The patient had no symptoms or limitation of the range of motion, and the plain radiograph showed no signs of calcification (Figure 3).



DISCUSSION

ACP of the digits is a rare disease, and only a very few cases have been reported. As a matter of fact, according to Tomori et al.,4 ACP of the digits has only been reported in 61 patients in the English literature.

Several reports state that middle-aged women are most affected,1,2,4,5 but we found no data concerning race, and most cases don't even report the race of the patients. Whether race might play a factor or not is something we should pay attention to in the future, in order to better describe and recognize the pathology. Our paper reports an ACP in a young black female.

The most frequent interphalangeal joint reported is indeed the PIP joint,4 the one affected in our case.

Patients typically present with rapid onset of monoarticular pain that spontaneously resolves within several weeks1,8 and laboratory inflammatory markers are usually normal,4,9 which is consistent with our case.

One-third of the patients report a history of local trauma,8 as was the case here. Repetitive microtraumas of the hand may also be responsible for the formation of the deposits.5 Our patient worked as a waitress, so it might have played a factor here. Systemic diseases, such as rheumatoid arthritis, diabetes mellitus, gout, and pseudogout are frequently associated in these patients,3 but in our case none of them was present.

ACP generally resolves spontaneously without any specific treatment, and long-term symptoms seem to be uncommon.4 However, some authors have reported cases with a prolonged period of symptoms, as in Tomori et al.,4 where the lesion was present for more than a year. Chronic symptoms, such as mild pain and tenderness, have also been reported elsewhere.3 In our case, a short period of oral corticoid might have helped accelerate the resolution of the clinical condition. Indeed, after the initial aggravation, the patient started to rapidly improve coinciding with the initiation of corticoids.

ACP diagnosis is challenging and, as mentioned, misdiagnoses are rather frequent. Advanced imaging is usually not necessary for diagnosis,9 except for cases where the condition persists and other diagnoses have to be excluded.4 One must pay attention to the clinical signs to make the right diagnosis and avoid unnecessary procedures. Infection must be ruled out, as it can be catastrophic if left untreated. In our case, a good clinical history and physical examination along with the radiographs and ultrasound allowed the correct diagnosis and treatment.

The precise pathological mechanism remains unclear.4 According to Uhthoff et al.,10 the calcium deposits may develop due to a mechanical or vascular insult, resulting in poor tissue oxygenation and metaplasia. The disease involves four phases: precalcific, formative, resorptive, and healing.10 Severe pain is associated with the resorptive phase.11 Trauma may be the initial insult leading to the poor blood supply and resulting calcifications.1,12

The risk of recurrence is still unknown due to the lack of cases, but it hasn't happened frequently in the reported cases so far. Our patient remained asymptomatic and radiologically free of any lesion at the 9-month mark.



CONCLUSION

ACP of the digits is a rare entity, with less than 100 cases reported worldwide. Therefore, diagnosis of this disease may be challenging, mainly due to the lack of awareness of the clinicians on the one hand, and to the broad list of differential diagnoses on the other hand.

A good clinical history, physical examination, and radiograph imaging are usually enough for the diagnosis. ACP should be considered when the patient presents with an acute painful finger, in the presence of calcification on radiographs or ultrasound. Recognition and correct diagnosis of this problem allow avoiding unnecessary treatments.

This condition is self-limited and most papers advocate watchful waiting or treatment with non-steroidal anti-inflammatory drugs (NSAIDs). In our case, the deposit seemed to be related to previous local trauma, and the pain and functional impairment was increasing when the patient showed up. Treatment with corticoids (along with NSAIDs) might have played a role in a faster recovery than usually reported and we believe it is something to keep in mind in the future.


REFERENCES

  1. Doumas C, Vazirani RM, Clifford PD, Owens P. Acute calcific periarthritis of the hand and wrist: a series and review of the literature. Emerg Radiol. 2007; 14(4): 199-203.

  2. Aguiar F, Brito I. Acute calcific periarthritis in proximal interphalangeal joint: An unusual cause of acute finger pain. Reumatol Clin (Engl Ed). 2019; 15(6): e144-e5.

  3. Lee KB, Song KJ, Kwak HS, Lee SY. Acute calcific periarthritis of proximal interphalangeal joint in a professional golfer 's hand. J Korean Med Sci. 2004; 19(6): 904-6.

  4. Tomori Y, Nanno M, Takai S. Acute calcific periarthritis of the proximal phalangeal joint on the fifth finger: A case report and literature review. Medicine (Baltimore). 2020; 99(31): e21477.

  5. Yosipovitch G, Yosipovitch Z. Acute calcific periarthritis of the hand and elbows in women. A study and review of the literature. J Rheumatol. 1993; 20(9): 1533-8.

  6. Ali SN, Kelly JL. Acute calcific tendinitis of the finger--a case report. Hand Surg. 2004; 9(1): 105-7.

  7. Munjal A, Munjal P, Mahajan A. Diagnostic dilemma: acute calcific tendinitis of flexor digitorum profundus. Hand (N Y). 2013; 8(3): 352-3.

  8. Carroll RE, Sinton W, Garcia A. Acute calcium deposits in the hand. J Am Med Assoc. 1955; 157(5): 422-6.

  9. Nikci V, Doumas C. Calcium deposits in the hand and wrist. J Am Acad Orthop Surg. 2015; 23(2): 87-94.

  10. Uhthoff HK. Calcifying tendinitis, an active cell-mediated calcification. Virchows Arch A Pathol Anat Histol. 1975; 366(1): 51-8.

  11. Carcia CR, Scibek JS. Causation and management of calcific tendonitis and periarthritis. Curr Opin Rheumatol. 2013; 25(2): 204-9.

  12. Chung CB, Gentili A, Chew FS. Calcific tendinosis and periarthritis: classic magnetic resonance imaging appearance and associated findings. J Comput Assist Tomogr. 2004; 28(3): 390-6.



AFFILIATIONS

1 Department of Orthopedic Surgery, Centro Hospitalar Universitário de Santo António. Porto, Portugal.

2 School of Medicine and Biomedical Sciences, University of Porto.



Conflict of interests: the authors declare no conflict of interests.

Ethical disclosures: the authors declare that no patient data appear in this article.



CORRESPONDENCE

Diogo Nóbrega-Catelas. E-mail: diogocatelas@gmail.com




Received: 08-28-2023. Accepted: 11-17-2023.

Figure 1
Figure 2
Figure 3

2020     |     www.medigraphic.com

Mi perfil

C?MO CITAR (Vancouver)

Acta Ortop Mex. 2024 Ene-Feb;38