medigraphic.com
SPANISH

Salud Jalisco

ISSN 2448-8747 (Print)
Publicación cuatrimestral editada por la Secretaría de Salud Jalisco
  • Contents
  • View Archive
  • Information
    • General Information        
    • Directory
  • Publish
    • Instructions for authors        
  • medigraphic.com
    • Home
    • Journals index            
    • Register / Login
  • Mi perfil

2024, Number 1

<< Back Next >>

Sal Jal 2024; 11 (1)

Periprosthetic fracture in a patient with polio sequelae: a case report

Padilla-del CKN, Rivas-Meléndez R, Méndez-Ortiz JA, Miramontes-Hernández AS, Robledo-González JL
Full text How to cite this article 10.35366/114839

DOI

DOI: 10.35366/114839
URL: https://dx.doi.org/10.35366/114839

Language: Spanish
References: 12
Page: 27-31
PDF size: 198.47 Kb.


Key words:

periprosthetic fractures, poliomyelitis, fracture, complications.

ABSTRACT

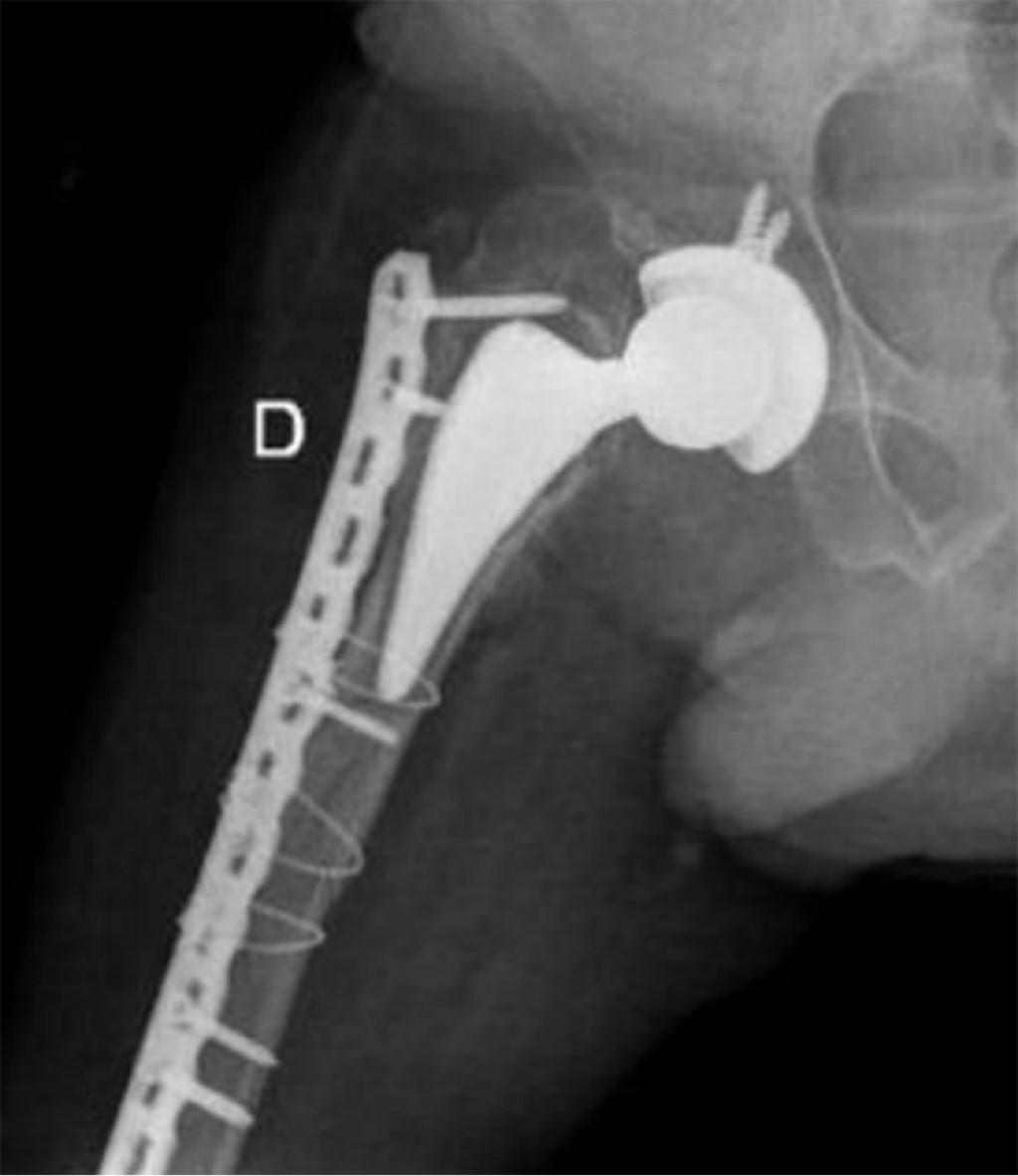
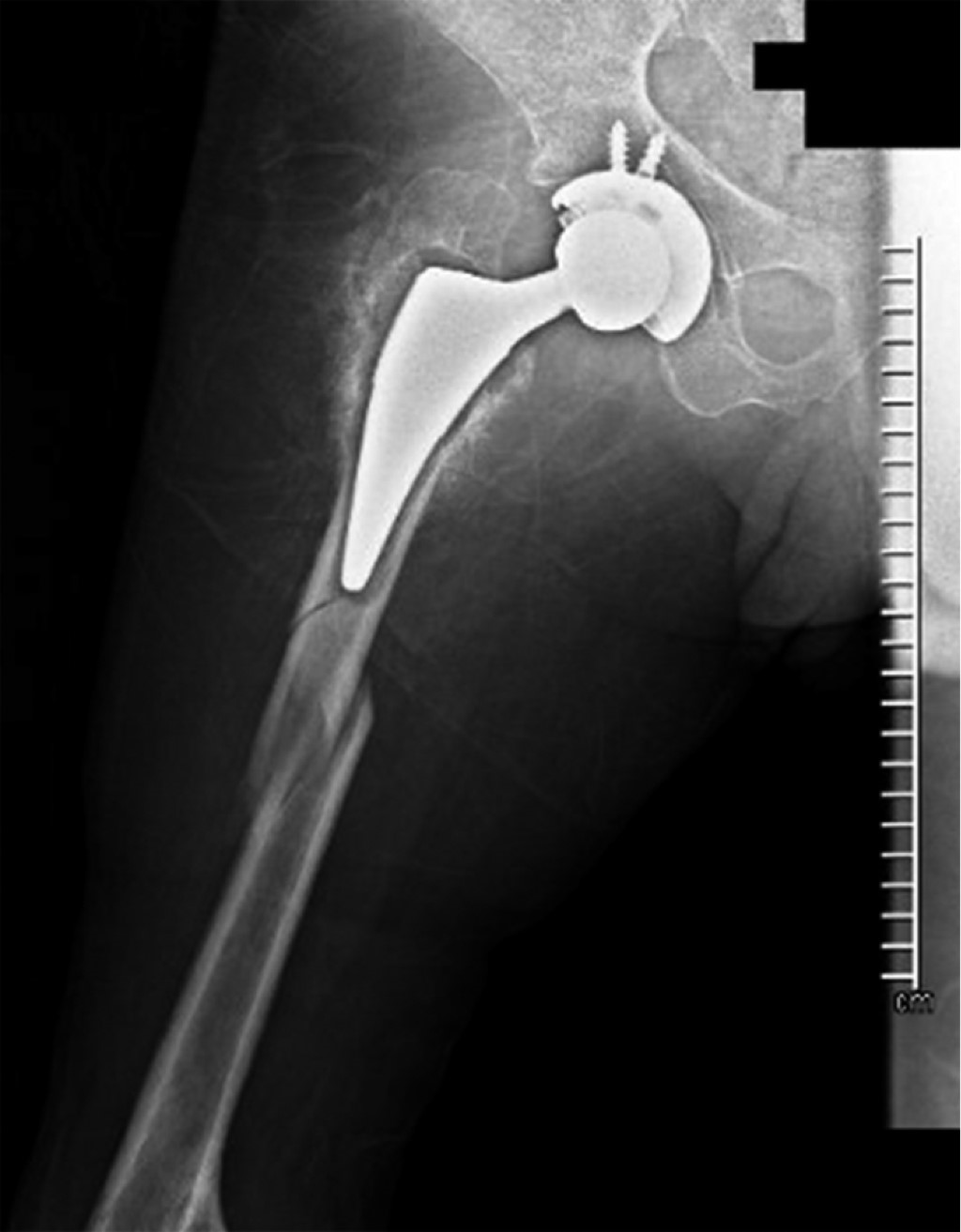
Introduction: poliomyelitis paralyzed thousands of children during the 20th century. However, due to mass vaccination its eradication was achieved. Today it is estimated that there are 12 - 20 million people with polio sequelae (PWPS) who make up a risk group for pathological fractures, as a consequence of muscle degeneration and osteopathy. There is no consensus on its treatment. The aim of this report is to demonstrate the problem of fracture management in PWPS. Additionally, an option for the treatment of a periprosthetic fracture in this population is proposed. Presentation of case: 46-year-old male PWPS with pain in the right lower extremity after falling from a chair, with a history of right hip arthroplasty six months ago due to a transcervical fracture. Radiographically, a Vancouver C periprosthetic fracture is seen. Open reduction of the fracture is performed and an anatomical cable-type locking compression plate and cerclage cables are placed. An adequate radiographic evolution is observed. Conclusions: polio is an eradicated disease; however, it should not be ignored since PWPS are a risk group for fractures in pathological terrain. Treatment of these types of fractures and their complications is a challenge. There is a pressing need for comprehensive clinical and surgical guidelines to guide their approach.


REFERENCES

  1. González-Rubio, R. La Poliomielitis y su erradicación en México y las Américas Reto histórico de salud hecho realidad. Rev Sal Jal. 2018;5(1):49-51.

  2. ISPO consensus conference on poliomyelitis: consensus statements. International Society for Prosthetics and Orthotics. Prosthet Orthot Int. 2001;25(3):171-180. doi: 10.1080/03093640108726599.

  3. Mingo-Robinet J, Alonso JA, Moreno-Barrero M, González-García L, Garcia-Virto V, Aguado HJ. Technical aspects and complications in the surgical treatment of poliomyelitis-affected lower limb fractures. Rev Esp Cir Ortop Traumatol (Engl Ed). 2018;62(4):257-266. doi: 10.1016/j.recot.2018.01.011.

  4. Checa Betegón P, Valle Cruz J, García Coiradas J, Rodríguez González A, González Pérez A, Torrecilla Cifuentes E, Marco F. Fractures in patients with poliomyelitis: Past or current challenge? Injury. 2020;51 Suppl 1:S48-S54. doi: 10.1016/j.injury.2020.02.029.

  5. Groce NE, Banks LM, Stein MA. Surviving polio in a post-polio world. Soc Sci Med. 2014;107:171-178. doi: 10.1016/j.socscimed.2014.02.024.

  6. Gupta M, Jain VK, Upadhyaya GK, Arya RK. Comprehensive review of challenges associated with management of lower limb fractures in poliomyelitis patients. J Clin Orthop Trauma. 2016;7(4):276-281. doi: 10.1016/j.jcot.2016.08.007.

  7. Gellman YN, Khoury A, Liebergall M, Mosheiff R, Weil YA. Outcome of femoral fractures in poliomyelitis patients. Int Orthop. 2019;43(11):2607-2612. doi: 10.1007/s00264-019-04285-2.

  8. Nam KY, Lee S, Yang EJ, Kim K, Jung SH, Jang SN, et al. Falls in Korean polio survivors: incidence, consequences, and risk factors. J Korean Med Sci. 2016;31(2):301-309. doi: 10.3346/jkms.2016.31.2.301.

  9. Mohammad AF, Khan KA, Galvin L, Hardiman O, O'Connell PG. High incidence of osteoporosis and fractures in an aging post-polio population. Eur Neurol. 2009;62(6):369-374. doi: 10.1159/000242444.

  10. Wang WJ, Shi HF, Chen DY, Chen YX, Wang JF, Wang SF, et al. Distal femoral fractures in post-poliomyelitis patients treated with locking compression plates. Orthop Surg. 2013;5(2):118-123. doi: 10.1111/os.12035.

  11. El-Sayed Khalil A. Locked plating for femoral fractures in polio patients. Arch Orthop Trauma Surg. 2010;130(10):1299-1304. doi: 10.1007/s00402-010-1126-z.

  12. Riley DS, Barber MS, Kienle GS, Aronson JK, von Schoen-Angerer T, Tugwell P, et al. CARE guidelines for case reports: explanation and elaboration document. J Clin Epidemiol. 2017;89:218-235. doi: 10.1016/j.jclinepi.2017.04.026.




Figure 1
Figure 2
Figure 3
Figure 4
Table 1

2020     |     www.medigraphic.com

Mi perfil

C?MO CITAR (Vancouver)

Sal Jal. 2024;11