medigraphic.com
SPANISH

Medicina Crítica

  • Contents
  • View Archive
  • Information
    • General Information        
    • Directory
  • Publish
    • Instructions for authors        
  • Policies
  • Lineamientos
  • medigraphic.com
    • Home
    • Journals index            
    • Register / Login
  • Mi perfil

2023, Number 8

<< Back

Med Crit 2023; 37 (8)

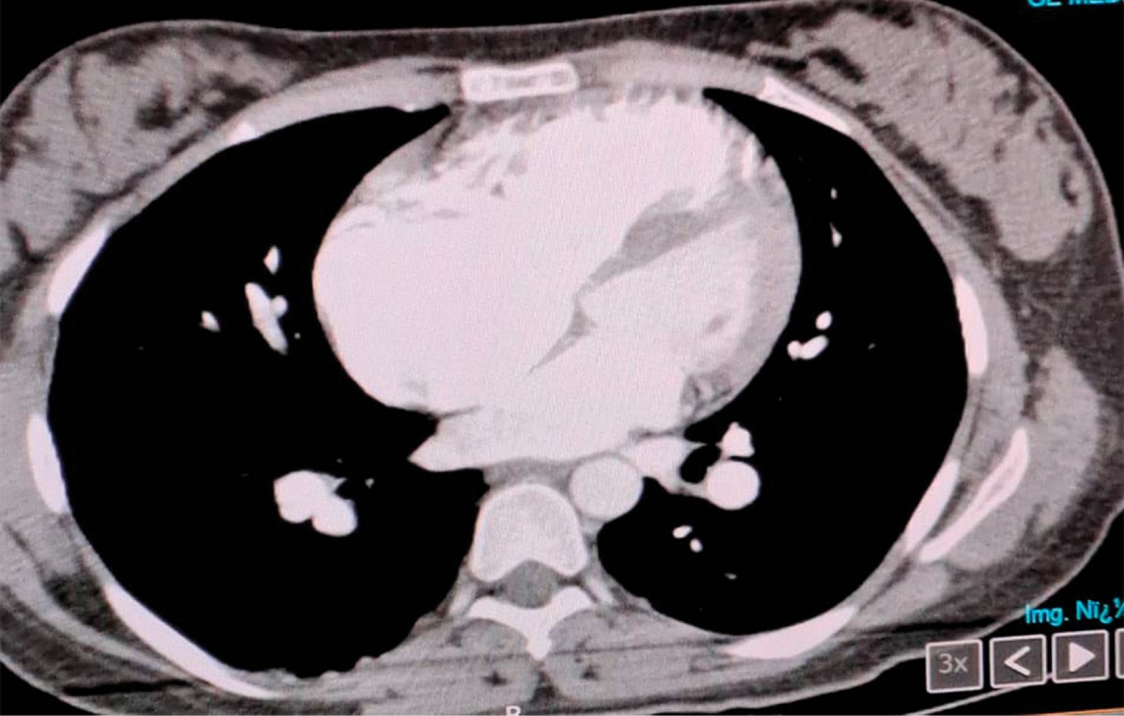
Eisenmenger syndrome in an obstetric patient. Case report in the Intensive Care Unit

Aldama AD, Pacheco AD
Full text How to cite this article 10.35366/115230

DOI

DOI: 10.35366/115230
URL: https://dx.doi.org/10.35366/115230

Language: Spanish
References: 9
Page: 713-716
PDF size: 192.70 Kb.


Key words:

Eisenmenger syndrome, atrial septal defect, pulmonary hypertension, pregnant patient.

ABSTRACT

Introduction: Eisenmenger syndrome (SE) is caused by elevated pulmonary vascular resistance. Pulmonary hypertension is due to stimuli that cause endothelial dysfunction, such as sustained hypoxia, friction stress, venocapillary hypertension, and other noxious stimuli. In pregnant women with ES, the prognosis is worse, due to the hemodynamic changes typical of pregnancy. Clinical case: the case of a pregnant patient with Eisenmenger syndrome is described, who is admitted to the Intensive Care Unit, where it is diagnosed and managed, showing a torpid evolution. This is one of the few cases of ES in obstetric patients reported in Mexico. Conclusion: ES is a medical condition that has been seen to affect the quality of life of patients. Maternal mortality associated with SE and in recent decades despite new treatments has not benefited. Pregnancy remains an absolute contraindication.


REFERENCES

  1. Arvatanki, A. (2022) Síndrome de Eisenmenger. Journal of the american college of cardiology (JACC), 34-50.

  2. Fajardo-Ruiz LS, Díaz-Novelo RG, Bobadilla-Rosado LO, Méndez N, Gómez-Carro S. Eisenmenger syndrome in 21-year pregnant patient. Ginecol Obstet Mex. 2018;86(3):224-229.

  3. Calderón-Colmenero J, Sandoval Zárate J, Beltrán Gámez M. Hipertensión pulmonar asociada a cardiopatías congénitas y síndrome de Eisenmenger. Arch Cardiol México. 2015;85(1):32-49.

  4. Mendez-Mathey VE. Síndrome de Eisenmenger en paciente adulto con comunicación interauricular. A propósito de un caso. Rev Cuerpo Med HNAAA. 2019;8(3):181-186.

  5. Arvanitaki A, Giannakoulas G, Baumgartner H, Lammers AE. Eisenmenger syndrome: diagnosis, prognosis and clinical management. Heart. 2020;106(21):1638-1645.

  6. Slaibi, A. Challenging management of a pregnancy complicated by Eisenmenger syndrome; A case report. Annals of Medicine and Surgery, 1-3.

  7. González Suárez JP, Caviedes Pérez G. Síndrome de Eisenmenger. RFS Rev Fac Salud. 2012;4(1):99-105.

  8. Yuan SM. Eisenmenger syndrome in pregnancy. Brazilian J Cardiovasc Surg. 2016;31(4):325-329.

  9. Duan R, Xu X, Wang X, Yu H, You Y, Liu X et al. Pregnancy outcome in women with Eisenmenger's syndrome: a case series from west China. BMC Pregnancy Childbirth. 2016;16(1):356. doi: 10.1186/s12884-016-1153-z.




Figure 1
Figure 2
Figure 3
Figure 4

2020     |     www.medigraphic.com

Mi perfil

C?MO CITAR (Vancouver)

Med Crit. 2023;37