medigraphic.com
SPANISH

Acta Médica Grupo Ángeles

Órgano Oficial del Hospital Ángeles Health System
  • Contents
  • View Archive
  • Information
    • General Information        
    • Directory
  • Publish
    • Instructions for authors        
    • Manuscript submission
    • Policies
    • Names and affiliations of the Editorial Board
  • About us
    • Data sharing policy
    • Stated aims and scope
  • medigraphic.com
    • Home
    • Journals index            
    • Register / Login
  • Mi perfil

2024, Number 2

<< Back Next >>

Acta Med 2024; 22 (2)

Pylephlebitis, a rare complication of diverticulitis

Trigos CCH, Yáñez CJJ, Flores MAG, Austria FER
Full text How to cite this article 10.35366/115293

DOI

DOI: 10.35366/115293
URL: https://dx.doi.org/10.35366/115293

Language: Spanish
References: 5
Page: 160-162
PDF size: 177.41 Kb.


Key words:

pylephlebitis, septic embolism, diverticulitis, portal venous system.

ABSTRACT

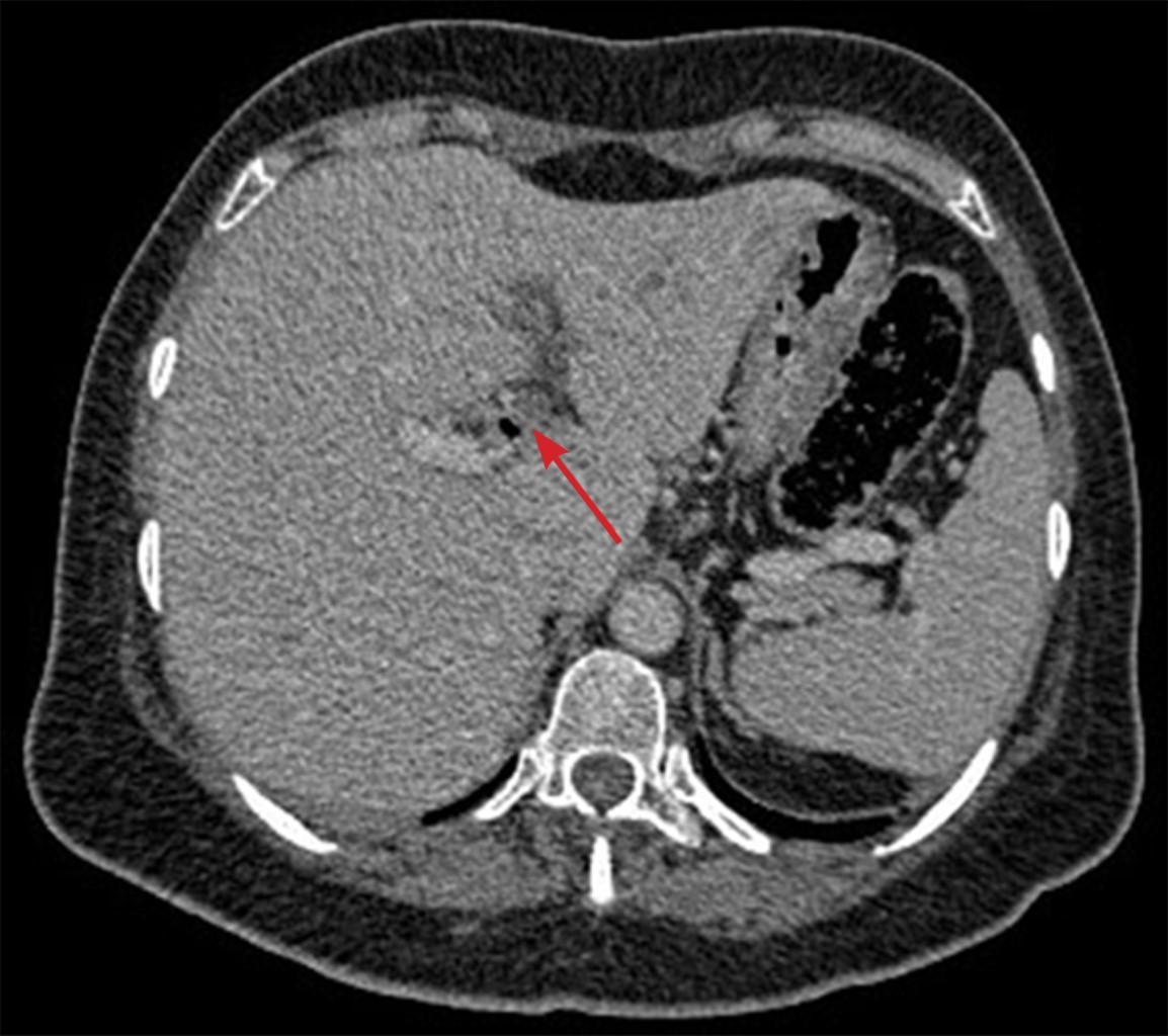
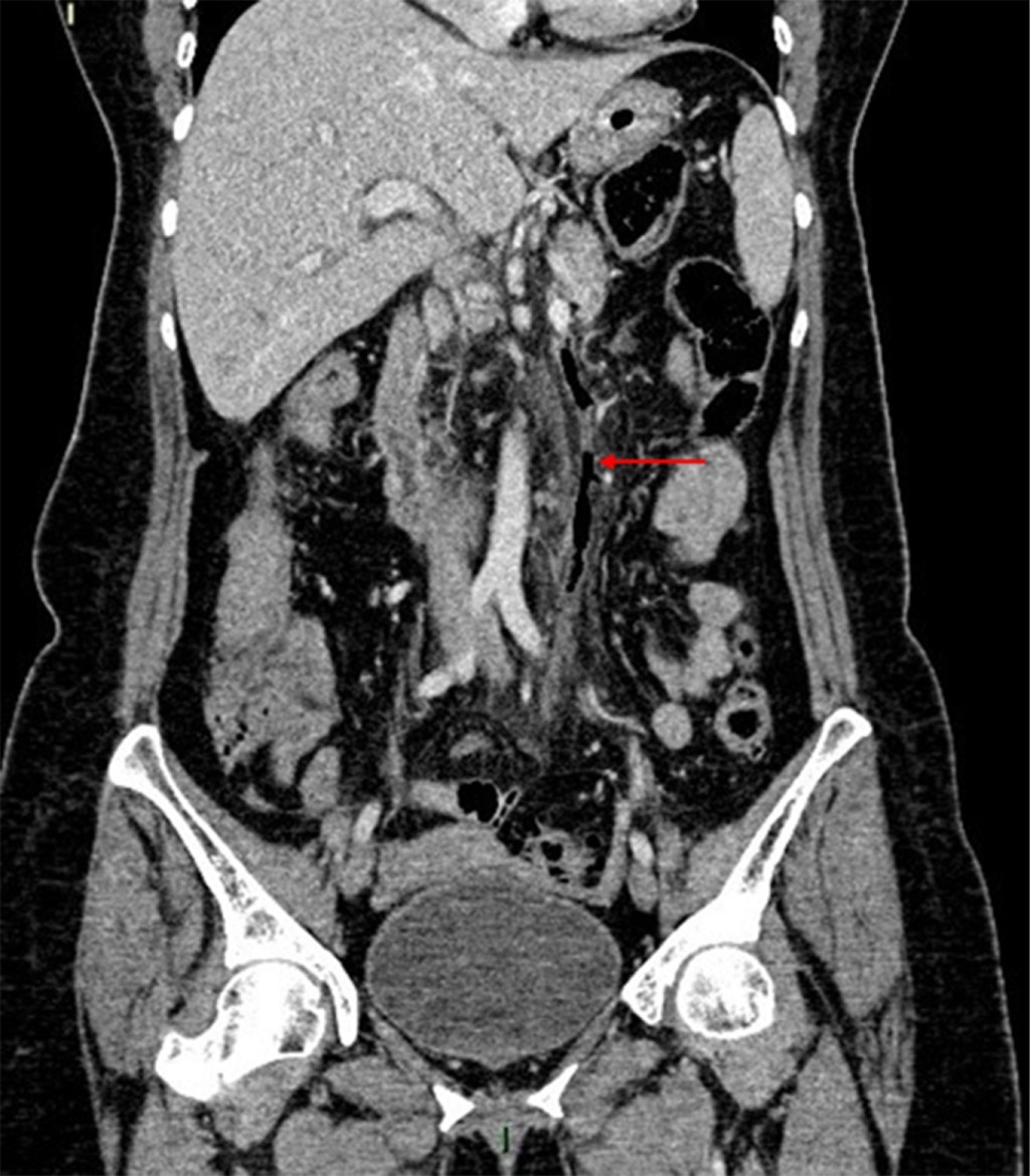
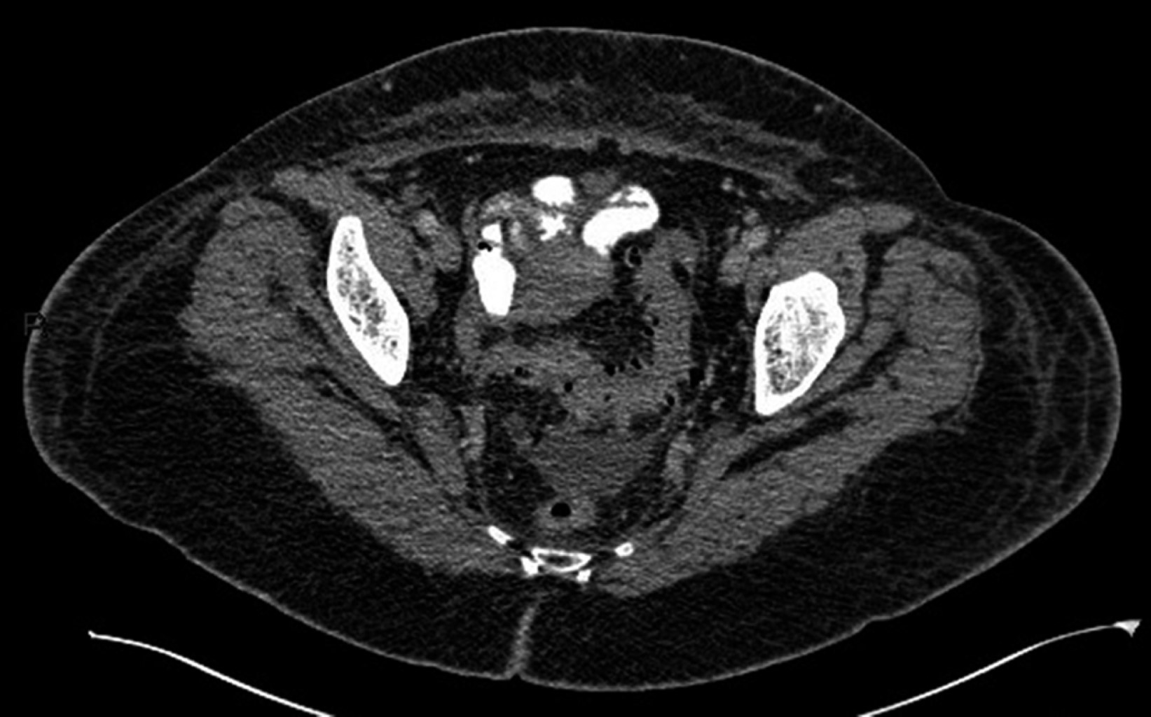
Introduction: pylephlebitis, also known as ascending septic thrombophlebitis, is characterized by embolic occlusion of the portal-venous system and its branches, secondary to intra-abdominal infection. Clinical case: a 63-year-old female came for abdominal pain, as well as a fever of 39.4 °C. They presented leukocytosis, increased C-reactive protein, procalcitonin, and liver function tests. A tomography was performed, observing air thrombus in the inferior mesenteric vein and thrombus in the left portal vein, with data of diverticulitis. Conclusions: pylephlebitis is a rare and severe complication; the radiologist must identify it to establish the appropriate medical treatment.


REFERENCES

  1. Gajendran M, Muniraj T, Yassin M. Diverticulitis complicated by pylephlebitis: a case report. J Med Case Rep. 2011; 5: 514. doi: 10.1186/1752-1947-5-514.

  2. Davarpanah AH, Eberhardt LW. Case 282: Fishbone pylephlebitis. Radiology. 2020; 297 (1): 239-243. doi: 10.1148/radiol.2020190436.

  3. Pérez-Bru S, Nofuentes-Riera C, García-Marín A, Luri-Prieto P, Morales-Calderón M, García-García S. Pylephlebitis: a rare but possible complication of intra-abdominal infections. Cir Cir. 2015; 83 (6): 501-505. Spanish. doi: 10.1016/j.circir.2015.05.029.

  4. Choudhry AJ, Baghdadi YM, Amr MA, Alzghari MJ, Jenkins DH, Zielinski MD. Pylephlebitis: a review of 95 cases. J Gastrointest Surg. 2016; 20 (3): 656-661. doi: 10.1007/s11605-015-2875-3.

  5. Balthazar EJ, Gollapudi P. Septic thrombophlebitis of the mesenteric and portal veins: CT imaging. J Comput Assist Tomogr. 2000; 24 (5): 755-760.




Figure 1
Figure 2
Figure 3

2020     |     www.medigraphic.com

Mi perfil

C?MO CITAR (Vancouver)

Acta Med. 2024;22