medigraphic.com
SPANISH

Orthotips AMOT

ISSN 2007-8560 (Print)
Órgano Oficial de Difusión Científica de la Federación Mexicana de Colegios de Ortopedia y Traumatología, A.C. (FEMECOT)
  • Contents
  • View Archive
  • Information
    • General Information        
    • Directory
  • Publish
    • Instructions for authors        
  • medigraphic.com
    • Home
    • Journals index            
    • Register / Login
  • Mi perfil

2024, Number 2

<< Back Next >>

Ortho-tips 2024; 20 (2)

Forearm fracture in a patient with vitamin D insufficiency: a case report

Rodríguez LDM, López VJH, López EJA, Wong SM
Full text How to cite this article 10.35366/115652

DOI

DOI: 10.35366/115652
URL: https://dx.doi.org/10.35366/115652

Language: Spanish
References: 17
Page: 89-94
PDF size: 255.56 Kb.


Key words:

fractures, forearm, vitamin D, bone metabolism.

ABSTRACT

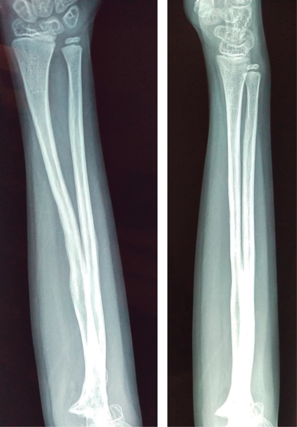
Introduction: the functions of vitamin D are very varied, from the regulation of cell proliferation, the modulation of the immune system, being the intestinal absorption of calcium, phosphorus, and magnesium one of the most important. Low levels of vitamin D are directly related to alterations in bone metabolism. Objective: to present the clinical case of a patient with a forearm fracture and vitamin D insufficiency, showing the complications that can occur in the bone consolidation process, as well as broadening the knowledge of this pathology. Clinical case: the case of a 7-year-old male patient is presented, who suffered a forearm fracture with a low-energy mechanism, evolving with delayed consolidation; there are important alterations of the bone structure after surgical management, when performing the endocrinological study, low levels of vitamin D are found, the bone changes are reversed when adequate levels of vitamin D are achieved. Conclusions: the clinical approach and surgical management in patients with fractures and suspected vitamin D disorders must be meticulous, given the potential complications that we may face.


REFERENCES

  1. Sameer N, Ricardo E, William W, Jeffrey S, Derek K. Epidemiology of Pediatric Fractures presenting to Emergency Departments in the United States. J Pediatr Ortop. 2016; 36 (4): e45-8. doi: 10.1097/BPO.0000000000000595.

  2. Rockwood C, Green D, Heckman J, Bucholcz R. Rockwood & Wilkins fractures in children. In: Bucholcz RW, editor. Memphis, Tennessee: Lippicott Williams; 2006.

  3. Chung KC, Spilson SV. The frequency and epidemiology of hand and forearm fractures in the United States. J Hand Surg Am. 2001; 26 (5): 908-915. doi: 10.1053/jhsu.2001.26322.

  4. Viehl L, Kelly BA, McAlister W, Anadkat J, Julian S. Monteggia fracture in an extremely preterm infant with biochemical rickets: a case report. JBJS Case Connect. 2020; 10 (2): e0454. doi: 10.2106/JBJS.CC.19.00454.

  5. Ryan LM, Brandoli C, Freishtat RJ, Wright JL, Tosi L, Chamberlain JM. Prevalence of vitamin D insufficiency in African American children with forearm fractures: a preliminary study. J Pediatr Orthop. 2010; 30 (2): 106-109. doi: 10.1097/BPO.0b013e3181d076a3.

  6. Nield LS, Mahajan P, Joshi A, Kamat D. Rickets: not a disease of the past. Am Fam Physician. 2006; 74 (4): 619-626.

  7. Horan MP, Williams K, Hughes D. The role of vitamin D in pediatric orthopedics. Orthop Clin North Am. 2019; 50 (2): 181-191. doi: 10.1016/j.ocl.2018.10.002.

  8. Lanou AJ, Berkow SE, Barnard ND. Calcium, dairy products, and bone health in children and young adults: a reevaluation of the evidence. Pediatrics. 2005; 115 (3): 736-743. doi: 10.1542/peds.2004-0548.

  9. Rosenfeld L. Vitamine--vitamin. The early years of discovery. Clin Chem. 1997; 43 (4): 680-685.

  10. Martin H, Roger B, Edward G, David G. Vitamin D: volume 1: biochemistry, physiology and diagnostics. 4th ed. Fieldman D, editor. San Diego: Academic press; 2018.

  11. Misra M, Pacaud D, Petryk A, Collett-Solberg PF, Kappy M; Drug and Therapeutics Committee of the Lawson Wilkins Pediatric Endocrine Society. Vitamin D deficiency in children and its management: review of current knowledge and recommendations. Pediatrics. 2008; 122 (2): 398-417. doi: 10.1542/peds.2007-1894.

  12. Pace JL. Pediatric and adolescent forearm fractures: current controversies and treatment recommendations. J Am Acad Orthop Surg. 2016; 24 (11): 780-788. doi: 10.5435/JAAOS-D-15-00151.

  13. Flores ME, Rivera-Pasquel M, Valdez-Sánchez A, De la Cruz-Góngora V, Contreras-Manzano A, Shamah-Levy T, Villalpando S. Vitamin D status in Mexican children 1 to 11 years of age: an update from the Ensanut 2018-19. Salud Publica Mex. 2021; 63 (3): 382-393. doi: 10.21149/12156.

  14. Martínez-Zavala N, López-Sánchez GN, Vergara-Lopez A, Chávez-Tapia NC, Uribe M, Nuño-Lámbarri N. Vitamin D deficiency in Mexicans have a high prevalence: a cross-sectional analysis of the patients from the Centro Médico Nacional 20 de Noviembre. Arch Osteoporos. 2020; 15 (1): 88. doi: 10.1007/s11657-020-00765-w.

  15. Caruso G, Caldari E, Sturla FD, Caldaria A, Re DL, Pagetti P, et al.. Management of pediatric forearm fractures: what is the best therapeutic choice? A narrative review of the literature. Musculoskelet Surg. 2021; 105 (3): 225-234. doi: 10.1007/s12306-020-00684-6.

  16. Vopat ML, Kane PM, Christino MA, Truntzer J, McClure P, Katarincic J, Vopat BG. Treatment of diaphyseal forearm fractures in children. Orthop Rev (Pavia). 2014; 6 (2): 5325. doi: 10.4081/or.2014.5325.

  17. Ducic S, Milanovic F, Lazovic M, Bukva B, Djuricic G, Radlovic V, et al. Vitamin D and forearm fractures in children preliminary findings: risk factors and correlation between low-energy and high-energy fractures. Children (Basel). 2022; 9 (5): 762. doi: 10.3390/children9050762.




Figure 1
Figure 2
Figure 3
Figure 4
Figure 5
Table 1

2020     |     www.medigraphic.com

Mi perfil

C?MO CITAR (Vancouver)

Ortho-tips. 2024;20