medigraphic.com
SPANISH

Orthotips AMOT

ISSN 2007-8560 (Print)
Órgano Oficial de Difusión Científica de la Federación Mexicana de Colegios de Ortopedia y Traumatología, A.C. (FEMECOT)
  • Contents
  • View Archive
  • Information
    • General Information        
    • Directory
  • Publish
    • Instructions for authors        
  • medigraphic.com
    • Home
    • Journals index            
    • Register / Login
  • Mi perfil

2024, Number 2

<< Back Next >>

Ortho-tips 2024; 20 (2)

Combined traumatic occipitoatloid and atlantoaxial instability. Report of a case

Trujillo-Franco ES, Gutiérrez-Herrera LE, Bautista-Sandoval A
Full text How to cite this article 10.35366/115654

DOI

DOI: 10.35366/115654
URL: https://dx.doi.org/10.35366/115654

Language: Spanish
References: 31
Page: 103-109
PDF size: 325.28 Kb.


Key words:

instability, dislocation, occipitoatloid, atlantoaxial, case report, cervical fusion.

ABSTRACT

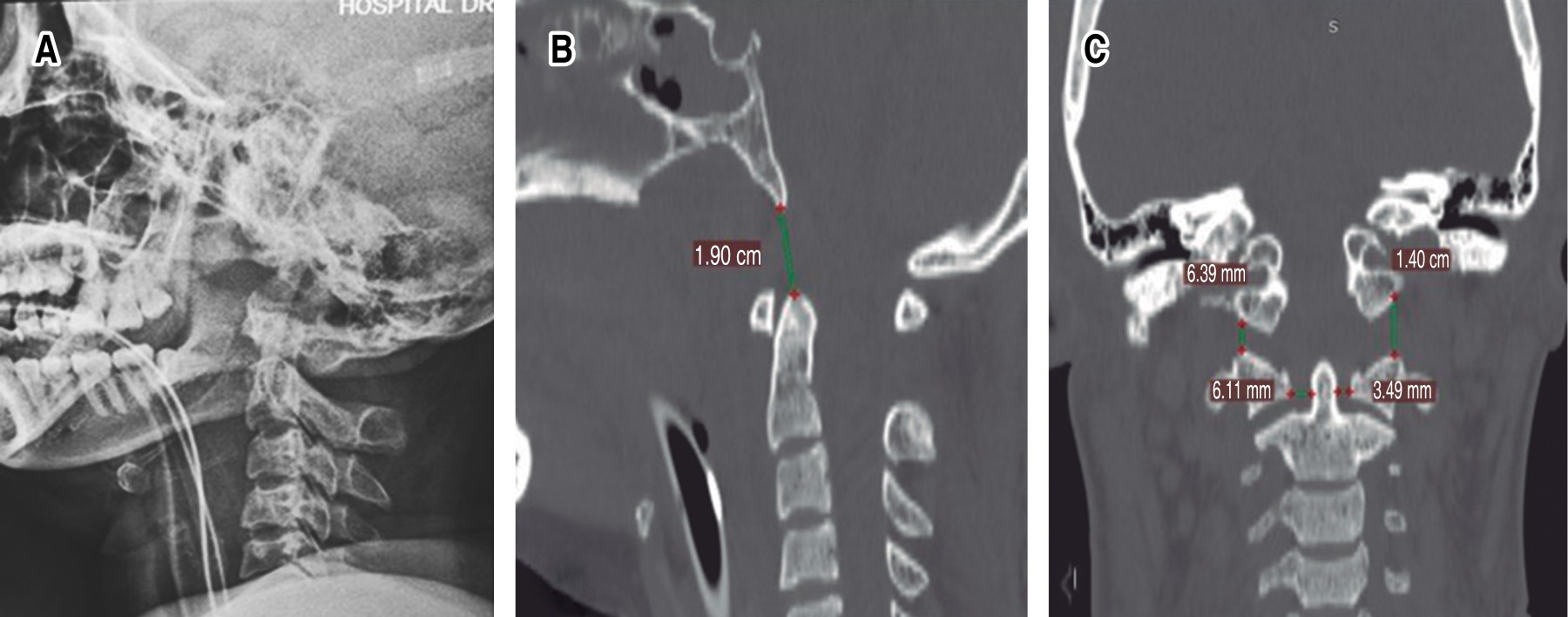
Introduction: injuries to the craniocervical junction with instability secondary to trauma are rare; with complications with a high mortality rate. When both lesions are present; the patient's prognosis for survival and recovery is usually very poor. Surgical treatment for reconstruction of the occipitocervical junction are complex and uncommon procedures; in most cases they have been studied in the treatment of degenerative and rheumatic pathologies. Clinical case: 27-year-old female patient, with combined occipitoatloid-atlantoaxial instability secondary to an accident in a motorcycle-type vehicle; which has multiple injuries. Diagnosis: clinic with neurological deficit; radiological studies of trauma, and axial tomography of the skull and spine, where data of instability at the C0-C1 and C1-C2 levels are evident. Interventions: multidisciplinary management and subsequently occipitocervical reduction and fixation with Harms technique of the injuries due to traumatic vertebral instability; C0-C1, C1-C2 and C2-C3. Follow-up: 9 months after the intervention, with adequate clinical evolution. Conclusions: although there are few publications and guides on the diagnosis, ideal moment of intervention and optimal stabilization method in cases of instability due to trauma, we recommend a multidisciplinary approach. Early diagnosis and treatment directly influence the final prognosis and quality of life of these patients.


REFERENCES

  1. Helgeson MD, Lehman RA Jr, Sasso RC, Dmitriev AE, Mack AW, Riew KD. Biomechanical analysis of occipitocervical stability afforded by three fixation techniques. Spine J. 2011; 11 (3): 245-250. doi: 10.1016/j.spinee.2011.01.021.

  2. Lacy J, Bajaj J, Gillis CC. Atlantoaxial Instability. 2023. In: StatPearls [Internet]. Treasure Island (FL): StatPearls Publishing; 2023.

  3. Wolfla CE. Anatomical, biomechanical, and practical considerations in posterior occipitocervical instrumentation. Spine J. 2006; 6 (6 Suppl): 225S-232S. doi: 10.1016/j.spinee.2006.09.001.

  4. Fiester P, Rao D, Soule E, Orallo P, Rahmathulla G. Anatomic, functional, and radiographic review of the ligaments of the craniocervical junction. J Craniovertebr Junction Spine. 2021; 12 (1): 4-9. doi: 10.4103/jcvjs.JCVJS_209_20.

  5. Shlobin NA, Dahdaleh NS. Cervical spine manifestations of rheumatoid arthritis: a review. Neurosurg Rev. 2021; 44 (4): 1957-1965. doi: 10.1007/s10143-020-01412-1.

  6. Offiah CE. Craniocervical junction and cervical spine anatomy. Neuroimaging Clin N Am. 2022; 32 (4): 875-888. doi: 10.1016/j.nic.2022.07.012.

  7. Youssef JA, Heiner AD, Montgomery JR, Tender GC, Lorio MP, Morreale JM, Phillips FM. Outcomes of posterior cervical fusion and decompression: a systematic review and meta-analysis. Spine J. 2019; 19 (10): 1714-1729. doi: 10.1016/j.spinee.2019.04.019.

  8. Radcliff KE, Hussain MM, Moldavsky M, Klocke NF, Vaccaro A, Albert TJ, Khalil S, Bucklen BS. Stabilization of the craniocervical junction after an internal dislocation injury: an in vitro study. Spine J. 2015; 15 (5): 1070-106. doi: 10.1016/j.spinee.2015.02.002.

  9. Lador R, Ben-Galim PJ, Weiner BK, Hipp JA. The association of occipitocervical dissociation and death as a result of blunt trauma. Spine J. 2010; 10 (12): 1128-1132. doi: 10.1016/j.spinee.2010.09.025.

  10. Li Z, Zhang H, Li X, Liu X, Huang Y, Wu A. Traumatic atlantoaxial dislocation with an old Type II odontoid fracture. Spine J. 2014; 14 (10): 2518-2520. doi: 10.1016/j.spinee.2014.06.006.

  11. Case reports: accepted between 17 May 2009 and 11 May 2010 - electronic only. Eur Spine J. 2010; 19 (Suppl 2): 79-82. Available in: https://doi.org/10.1007/s00586-010-1468-9

  12. Ramos-Villalón S, Vázquez-López E, Damián-Pérez R, et al. Patrón de fracturas óseas en accidentes de motocicleta en Hospital de Alta Especialidad. Acta Ortop Mex. 2020; 34 (6): 376-381. doi: 10.35366/99135.

  13. Zou Q, Zhou Z, Yang X, Xiu P, Song Y, Li Y, Li H. Rare improperly treated traumatic vertical atlantoaxial dislocation: a case report and literature review. Orthop Surg. 2023; 15 (2): 663-667. doi: 10.1111/os.13625.

  14. Vender JR, Houle PJ, Harrison S, McDonnell DE. Occipital-cervical fusion using the Locksley intersegmental tie bar technique: long-term experience with 19 patients. Spine J. 2002; 2 (2): 134-141. doi: 10.1016/s1529-9430(01)00273-x.

  15. Kasliwal MK, Fontes RB, Traynelis VC. Occipitocervical dissociation-incidence, evaluation, and treatment. Curr Rev Musculoskelet Med. 2016; 9 (3): 247-254. doi: 10.1007/s12178-016-9347-6.

  16. Horsfall HL, Gharooni AA, Al-Mousa A, Shtaya A, Pereira E. Traumatic atlantoaxial rotatory subluxation in adults. A case report and literature review. Surg Neurol Int. 2020; 11: 376. doi: 10.25259/SNI_671_2020.

  17. Herrada-Pineda T, Loyo-Varela M, Revilla-Pacheco F, Uribe-Leitz M, Manrique-Guzmán S. Traumatic occipitocervical and atlantoaxial dislocation with clivus fracture in a child. Case report. Cir Cir. 2015; 83 (2): 135-140. Spanish. doi: 10.1016/j.circir.2015.04.009.

  18. Shinohara A, Sairyo K, Mishiro T, Chikawa T, Soshi S. Insertional torque in cervical vertebrae lateral mass screw fixation: magerl technique versus roy-camille technique. Clin Spine Surg. 2017; 30 (8): E1156-E1159. doi: 10.1097/BSD.0000000000000430.

  19. Zhan J, Xu W, Lin J, Luan J, Hou Y, Wang Y, Li Y, Chen B, Lin D, Chen S. Accuracy and safety of robot-assisted versus fluoroscopy-guided posterior C1 lateral mass and C2 pedicle screw internal fixation for atlantoaxial dislocation: a preliminary study. Biomed Res Int. 2022; 2022: 8508113. doi: 10.1155/2022/8508113.

  20. Richter M, Schmidt R, Claes L, Puhl W, Wilke HJ. Posterior atlantoaxial fixation: biomechanical in vitro comparison of six different techniques. Spine (Phila Pa 1976). 2002; 27 (16): 1724-1732. doi: 10.1097/00007632-200208150-00008.

  21. Joaquim AF, Mudo ML, Tan LA, Riew KD. Posterior subaxial cervical spine screw fixation: a review of techniques. Global Spine J. 2018; 8 (7): 751-760. doi: 10.1177/2192568218759940.

  22. Buchmann N, Schweizer C, Kirschke JS, Rienmüller A, Gempt J, Ringel F, Meyer B, Ryang YM. C1-C2 posterior screw fixation in atlantoaxial fractures revisited: technical update based on 127 cases. Eur Spine J. 2020; 29 (5): 1036-1042. doi: 10.1007/s00586-019-06244-2.

  23. Sincari M. C1-C2 Goel-harms fixation, history of the technique, free hand technique description. Surgical Science. 2022; 13: 401-409. doi: 10.4236/ss.2022.139048.

  24. Fiorenza V, Ascanio F. Safety and efficacy of posterior atlanto-axial stabilization using intraoperative navigation system with preoperative computed tomographic scan. World Neurosurg. 2019; 129: 110-119. doi: 10.1016/j.wneu.2019.05.242.

  25. Huang DG, Hao DJ, He BR, Wu QN, Liu TJ, Wang XD, et al. Posterior atlantoaxial fixation: a review of all techniques. Spine J. 2015; 15 (10): 2271-2281. doi: 10.1016/j.spinee.2015.07.008.

  26. Uei H, Tokuhashi Y, Maseda M. Radiographic and clinical outcomes of C1-C2 intra-articular screw fixation in patients with atlantoaxial subluxation. J Orthop Surg Res. 2018; 13 (1): 273. doi: 10.1186/s13018-018-0985-9.

  27. Elliott RE, Tanweer O, Smith ML, Frempong-Boadu A. Outcomes of fusion for lateral atlantoaxial osteoarthritis: meta-analysis and review of literature. World Neurosurg. 2013; 80 (6): e337-346. doi: 10.1016/j.wneu.2012.08.018.

  28. Kleweno CP, Zampini JM, White AP, Kasper EM, McGuire KJ. Survival after concurrent traumatic dislocation of the atlanto-occipital and atlanto-axial joints: a case report and review of the literature. Spine (Phila Pa 1976). 2008; 33 (18): E659-662. doi: 10.1097/BRS.0b013e318182272a.

  29. Child Z, Rau D, Lee MJ, Ching R, Bransford R, Chapman J, Bellabarba C. The provocative radiographic traction test for diagnosing craniocervical dissociation: a cadaveric biomechanical study and reappraisal of the pathogenesis of instability. Spine J. 2016; 16 (9): 1116-1123. doi: 10.1016/j.spinee.2016.03.057.

  30. Martinez-Del-Campo E, Kalb S, Soriano-Baron H, Turner JD, Neal MT, Uschold T, Theodore N. Computed tomography parameters for atlantooccipital dislocation in adult patients: the occipital condyle-C1 interval. J Neurosurg Spine. 2016; 24 (4): 535-545. doi: 10.3171/2015.6.SPINE15226.

  31. Macki M, Hamilton T, Pawloski J, Chang V. Occipital fixation techniques and complications. J Spine Surg. 2020; 6 (1): 145-155. doi: 10.21037/jss.2019.12.01.




Figure 1
Figure 2
Figure 3
Figure 4
Figure 5

2020     |     www.medigraphic.com

Mi perfil

C?MO CITAR (Vancouver)

Ortho-tips. 2024;20