medigraphic.com
SPANISH

Orthotips AMOT

ISSN 2007-8560 (Print)
Órgano Oficial de Difusión Científica de la Federación Mexicana de Colegios de Ortopedia y Traumatología, A.C. (FEMECOT)
  • Contents
  • View Archive
  • Information
    • General Information        
    • Directory
  • Publish
    • Instructions for authors        
  • medigraphic.com
    • Home
    • Journals index            
    • Register / Login
  • Mi perfil

2024, Number 2

<< Back Next >>

Ortho-tips 2024; 20 (2)

Sacral tumors and sacrectomy: a global perspective

Sánchez-Torres, Luis Jair1,2; Pulido Torres, Héctor Alejandro1,2; Espinoza Velazco, Absalón1,3; Pérez Pineda, Perla Lidia1,2
Full text How to cite this article 10.35366/115656

DOI

DOI: 10.35366/115656
URL: https://dx.doi.org/10.35366/115656

Language: English
References: 48
Page: 119-128
PDF size: 310.75 Kb.


Key words:

sacral tumors, chordoma, chondrosarcoma, sacrectomy.

ABSTRACT

Sacral tumors are mainly metastatic in origin, while benign lesions are usually benign aggressive or low-grade malignancies. Symptoms of these lesions are non-specific and usually are diagnosed in advanced stages, causing major therapeutic difficulties that require a multidisciplinary approach. The most frequent malignant primary tumors of the sacrum, such as chordoma and chondrosarcoma, require special mention due to the complexity of their surgical management. Sacrectomy implies discontinuity between the mobile spine and fixed pelvis, in addition to important neurological sequelae mainly focused on rectal and bladder sphincter control. These are very complex procedures with a high incidence of serious perioperative complications. In general terms, sacral tumors, like the rest of the axial neoplasms, have a worse prognosis than their appendicular counterpart and must be managed in specialized centers and by highly trained specialized medical staff. The objective of the present review is to generate a concrete but current presentation paper on a group of skeletal neoplasms whose prognosis depends largely on rapid diagnosis and adequate treatment.



INTRODUCTION

Sacral tumors are rare pathologies, but their management generally generates a complex medical problem. Different types of primary tumors can occur in the sacrum because of its peculiar embryogenic development. The diagnosis is difficult because of the lack of specific signs and symptoms. Most of the primary tumors of the sacrum are benign aggressive lesions or low grade malignancies.1 Sacral tumors are usually diagnosed in advanced stages with extended dimensions involving the sacral nerves and surrounding organs2 (Figure 1). In general, the response to chemotherapy and radiotherapy is not satisfactory for these tumors3,4 and surgical treatment is one of the most challenging fields in orthopedics and spinal surgery because of the complicated anatomy of the sacral site.2

Sacral tumors are not so common and consequently there is not much literature and experience in this regard. The objective of this paper is to expose the general and key aspects in the study and treatment of these lesions.



SACRAL ANATOMY

The sacrum is a triangular shaped bone made of five fused vertebral bodies. It is composed of bone, cartilage, marrow elements as well as notochordal remnants. Proximally, the sacrum forms the lumbosacral joint with the fifth lumbar vertebra above it. The sacrum narrows to a point at its distal margin, where it forms the sacrococcygeal joint with the much smaller coccyx. On each lateral edge, the sacrum articulates with the iliac bone at the sacroiliac joints that are stabilized by several ligaments. The sciatic nerve, superior and inferior gluteal neurovascular bundles, posterior femoral cutaneous nerve, and pudendal vessels traverse the sciatic notch to enter or exit the pelvis.5 Sacral nerve roots help to control the sphincters of the rectum, bladder, and sexual organs, as well as the motor and sensory contributions to the lower extremities.6 Surgical manipulation of the sacrum is performed through a large number of vital intrapelvic structures.

The sacrum has a critical role in stabilizing the posterior portion of the pelvic ring.5



ETIOLOGY

Primary benign and malignant tumors of the sacrum are 2-4% of all primary bone neoplasms2 and 1-7% of all primary spinal tumors.2-4,7 Most common primary sacral tumors are chordomas, representing 40% of all primary sacral neoplasms, and about half of all sacral tumors are metastasis.2 The differential diagnosis of these lesions is extensive, and although metastasis are the most common, a broad spectrum of primary bone tumors can arise from sacral components.8 Additionally, it should be mentioned that invasive rectal carcinomas can directly infiltrate the sacral bone, increasing the complexity of surgical resections.2



CLINICAL SIGNS AND SYMPTOMS

Sacral neoplasms generally grow insidiously causing ambiguous symptoms in early stages; therefore, patients often have a long nonspecific disease course as well as false diagnosis and treatment procedures. Most of the patients initially report low back or buttock pain for months or years, but a painless visible sacral mass can also be the first sign of the disease. Low back pain at night may be a warning symptom. Neurologic manifestations may be present with or without pain. Some patients may present with numbness, paresthesias, sphincter/sexual dysfunction, or muscle weakness.2

General signs of neoplastic diseases, such as weight loss, blood abnormalities, or weakness are typical of metastatic lesions rather than primary sacral tumors.2

A comprehensive clinical assessment including digital rectal examination is essential to establish a diagnosis.9



IMAGING

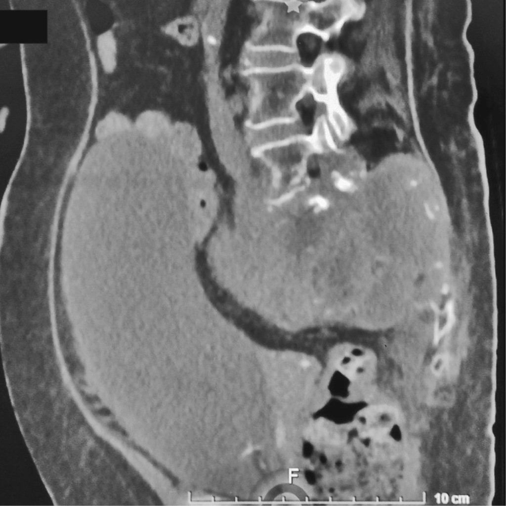
Because of nonspecific symptoms and their insidious development, sacral tumors usually are discovered with advanced imaging studies. Plain radiography is often the first imaging modality performed; however, this often remains inefficient because of the difficulty in evaluating the sacrum on X-ray films2 (Figure 2). When an abnormality is detected in the sacrum on conventional radiographs or clinical suspicion warrants, cross-sectional imaging with computer tomography (CT) and magnetic resonance imaging (MRI) techniques, must be employed.

CT is an excellent tool to evaluate cortex integrity, to asses and characterize periosteal new bone formation, and to detect and characterize matrix mineralization; on the other hand, MRI is superior in soft tissue contrast resolution, which provides the ability to sensitively detect lesions, characterize tissue types, and accurately stage tumors locally for their anatomic extent in the bone and soft tissue10 (Figure 3). The combination of T1 and T2 weighted imaging is suitable for evaluating nerve root, muscle and visceral structure involvement.

The CT and MRI scans are necessary tools in the diagnostic process of a sacral mass and very helpful in the preoperative planning, as well as in postoperative period.2,9

The main indication for PET (positron emission tomography) is to rule out metastatic disease in primary lesions,11 which would represent a contraindication for sacrectomy. PET/CT uses the radiotracer 18F fluoro-2-deoxyglucose (FDG), which can be an excellent problem-solving tool in patients with cancer of unknown origin,12 and can also be used in staging and subsequently in monitoring the response to treatment in oncological processes.



BIOPSY

Obtaining a sample of tumor tissue for histological examination is necessary for establishing the diagnosis and planning further management.13 The biopsy procedure must be planned based on previous imaging studies.2,14 Sacral biopsies can be performed as open incisional procedures, percutaneously or with CT guidance.6,13 CT-guided biopsy is the most frequently used biopsy modality and carries a minimal risk.6



BENIGN SACRAL TUMORS

Benign sacral tumors are rare. They usually arise from either the sacral bone or from the neural compartment. Common benign sacral tumors in children are sacrococcygeal teratomas (the most common), lipomas, dermoids, epidermoid cysts, and bone islands (enostoses).15 The incidence related to the etiology in mature skeleton, is different.



GIANT CELL TUMOR

Giant cell tumor of bone (GCT) has been defined in 2020 by WHO as a locally aggressive and rarely metastasizing neoplasm composed of neoplastic mononuclear stromal cells with a monotonous appearance admixed with macrophages and osteoclast-like giant cells.16

The incidence of GCT in the sacrum is between 6.7 to 9.4% in different series,17 and is the second most common primary sacral tumor.8,18

Sacral GCT is generally slow growing, with nonspecific symptoms. The main symptom in most patients is local pain which occasionally radiates to the hips. The nonspecific nature of symptoms often precludes early diagnosis and results in large lesion size at initial presentation.19

Sacral GCTs are frequently eccentric and about or extend across the sacroiliac joint. Radiologically are purely lytic destructive lesions without dystrophic calcification or matrix mineralization.5 Heterogeneous intermediate signal intensity is seen in both T1 and T2 weighted MRI18 due to the presence of necrosis and hemorrhage. Scintigraphy most typically shows increased activity in the periphery of the lesion, with central photopenia (donut appearance).16

In GCT of sacrum or pelvis, the goal treatment of long bones GCT cannot be fully achieved. Tumors in these areas, especially in the sacrum, often compress the spinal nerve roots; therefore, complete curettage is hardly possible. In addition, local adjuvants such as bone cement, phenol, or cryotherapy have limited use close to nerve roots due to their toxic effects on nervous tissue. Treatment modalities of GCT of the sacrum include either surgical or nonsurgical.17

Nonsurgical treatment is now more widely preferred by both physicians and patients,19 but optimum treatment for GCT of the sacrum is a controversial topic in orthopaedic oncology.20

Denosumab, a human monoclonal antibody, within the antiresorptive group, is reserved for use in cases of advanced GCTs preventing the typical osteolysis observed and thus creating better surgical conditions. The goal of this neoadjuvant therapy is to facilitate surgery, making intralesional resection technically easier and therefore improving immediate local tumor control.21,22 When the risks, complications and sequelae inherent to the surgical treatment are not assumed, undefined medical treatment with denosumab is indicated accepting the possible risks and adverse effects of this treatment modality.

Surgical techniques for resection of sacral GCT include intralesional, wide and radical excision such as total sacrectomy. En bloc resection (with wide or radical margins) is the most effective treatment for preventing recurrence, but has several complications;19 on the other hand, the disadvantage of an intralesional margin for an aggressive benign tumor, is an increased risk of local recurrence, that is superior than any other location in the skeleton.20 The optimal treatment of a sacral GCT must be individualized.20



ANEURYSMAL BONE CYST

Aneurysmal bone cyst is a benign neoplasm of bone containing multiloculated blood-filled cystic spaces (WHO 2020). This lesion can affect any bone usually in the metaphysis of long bones and posterior elements of vertebral bodies.16

During the early course of the disease, lytic areas may not be recognized on plain radiographs of the pelvis. Larger lesions however, show an expansive osteolytic cavity on plain radiographs, which swells and sometimes destroys cortical bone. CT reveals multiloculated lytic lesions with multiple internal septations and it is useful for evaluation of bone stock.23 MRI shows a multiseptated lesion that has a heterogeneous appearance on T1 and T2 weighted sequences with a low-intensity rim in the periphery, indicating a thin shell bone. The typical fluid-fluid levels are diagnostic.8

Preoperative selective arterial embolization, intraoperative aortic balloon occlusion and complete tumor excision by intralesional curettage can yield satisfactory results with a low rate of recurrence.24 The method of treatment must be individualized considering location, extent, aggressiveness of the lesion and the risk of profuse bleeding during surgery.23



OSTEOBLASTOMA

Osteoblastoma is a locally aggressive bone-forming tumor, morphologically similar to osteoid osteoma but with growth potential and generally > 2 cm in dimension (WHO 2020).16

This neoplasm is usually diagnosed in young adults with male predominance of 2:1 and commonly arises in tubular bones and posterior elements of the spine.25 Sacral osteoblastomas are more rare than those affecting the mobile spine accounting for about 7-17% of all spinal osteoblastomas.26

On plain radiographs, osteoblastomas are typically radiolucent. They can have variable features, though. One visualization pattern is similar to osteoid osteomas. Another pattern, which is the most commonly seen, involves an expansible lesion with a multitude of small calcifications and prominently sclerotic rim.27 CT is the imaging method of choice for osteoblastoma. It can provide the most specific information about the location, size, extent, and nature of the tumor. The usefulness of MRI in the diagnosis of osteoblastoma is questionable.28 Bone scintigraphy is the most sensitive tool in diagnosing osteoblastoma.27

Osteoblastoma must be managed surgically because of its potential for aggressive behavior and bone destruction. Intralesional resection and wide resection are the most commonly performed surgical procedures.28



OSTEOID OSTEOMA

Osteoid osteoma is a benign bone-forming tumor characterized by small size (< 2 cm) and limited growth potential (WHO 2020).16

Osteoid osteoma usually develops in adolescents and young adults, and is located in long tubular bones, especially lower extremity, followed by posterior elements of spine and tubular bones of hands and feet.25 The lesions cause night back pain that is relieved with nonsteroidal anti-inflammatory drugs.

Conventional radiography is the initial examination of choice and may reveal the characteristic oval radiolucency representing the nidus as well as a surrounding area of reactive bone sclerosis with or without periosteal bone formation. CT is considered to be the imaging method of choice for visualizing the anatomic position of the nidus and aiding in the differential diagnosis. The effectiveness of MRI in diagnosing osteoid osteoma is controversial. Bone scintigraphy is a highly sensitive diagnostic modality for detecting and localizing osteoid osteoma.28

The nonsurgical management is with salicylates or nonsteroidal anti-inflammatory drugs. Surgical treatment is warranted in cases in which the pain is severe and unresponsive to medication. The surgical options are: open excision, CT-guided percutaneous excision and CT-guided radiofrequency ablation.28



MALIGNANT SACRAL TUMORS

Primary malignant sacral tumors are less common and include chordoma, chondrosarcoma, osteosarcoma and Ewing Sarcoma.5



CHORDOMA

In 2020 the WHO described 3 types of chordoma. Conventional chordoma is a malignant tumor with a phenotype that recapitulates notochord and that usually arises in bones of the axial skeleton.16 Dedifferentiated chordoma is a chordoma with a biphasic appearance, characterized by conventional chordoma and high-grade sarcoma.16 Poorly differentiated chordoma is a poorly differentiated neoplasm with notochordal differentiation, usually arising in the axial skeleton, and characterized by loss of SMARCB1 expression.16

In general terms, chordoma is the most common primary malignant sacral tumor.8,18 It accounts for 1-4% of all bone malignancies,29 and usually are diagnosed in the fifth decade with men being twice as commonly affected as women.5,18

Chordomas are usually relatively slow-growing, low grade malignancies,1,30 They arise from the sacrum and sacrococcygeal region in approximately 50-60% of cases.5,30 Chordoma has been considered of low metastatic potential.30

Most of the chordomas present as a midline mass involving the lower sacral segment;5 almost always occurs in the midline or paramedian location.18

Clinical presentation is usually with pain as the cardinal symptom, whereas neurologic deficits tend to vary based on the location of the lesion.30 Chordomas of the mobile spine and sacrum can present with localized deep pain or radiculopathy related to the spinal level at which they occur. Unfortunately, the non-specific nature of these symptoms and insidious onset of pain often delays the diagnosis until late in the disease course, such that bowel or bladder function can be compromised.29

Sacral chordomas often appear as destructive lytic lesions by plain radiographs. CT images depict large lytic lesions centered in the midline, and calcification is present in 30-70% of patients. Typical chordomas are isointense or slightly hypointense on T1-weighted images, and hyperintense on T2 weighted images. CT and MRI show enhancement of their soft tissue components, which is often moderate.18

Surgery continues to be the primary modality in the management of chordomas. Rates of local recurrence, as well as survival, appear to be dependent on the achievement of negative surgical margins;30-32 intralesional resections are associated with increased local recurrence and decreased survival.33 Chordomas are highly recurrent, making their clinical progression very similar to that of the majority of the malignant tumors.29 The functional consequences for the patient should be clearly discussed in the preoperative evaluation.31

Chemotherapy and conventional radiotherapy have not been proven to be effective treatment methods for sacral chordomas.32,33



CHONDROSARCOMA

Chondrosarcomas are more common than osteosarcomas in the spine and account for 7 to 12% of malignant primary tumors of the sacrum. Males are affected 2 to 4 times more frequently than females. Its location is often eccentric and usually occurs in the upper segments of the sacrum.5

Radiographs and CT images reveal large destructive lesions with characteristic chondroid matrix mineralization. Calcifications are typically rounded or curvilinear and also visible in the soft tissue component of the lesions. They are manifested as areas of signal void on MRI images. Enhanced MRI typically demonstrates peripheral and septal enhancement corresponding to vascular septations between cartilaginous lobules.18

Chondrosarcoma is resistant to both chemotherapy and radiotherapy, thus treatment is directed toward surgery that should be focused on obtaining clean margins, the most effective way of reducing recurrence rate. Radiotherapy can be considered after resection with inadequate margins as local adjuvant.34



OSTEOSARCOMA

Osteosarcoma is defined as an intramedullary high-grade sarcoma in which the tumor cells produce bone (WHO 2020).16 It is the most common primary sarcoma in the skeleton, but sacral osteosarcoma is uncommon and accounts for only 4% of all primary sacral tumors.35 This neoplasm is located eccentrically in the sacrum and the lumbosacral spine is the most common site where it can be found.5 En bloc resection with wide margin is the gold standard surgical treatment of osteosarcoma.36The response rate to preoperative chemotherapy and the quality of the surgical margins have a direct impact on the prognosis, however, in general terms, axial osteosarcoma has a poor prognosis and radiotherapy is the last option for local control of unresectable sacral osteosarcomas.35



EWING'S SARCOMA

About 3 to 10% of all primary Ewing's sarcomas and primitive neuroectodermal tumors occur in the spine and approximately 9% of all primary sacral tumors are Ewing's sarcomas. Most lesions occur in patients between 10 and 30 years old, more commonly in males than females.5

The tumor often presents as a destructive osteolytic lesion with a soft tissue component. The lesion has a homogeneous hypo-to isointense signal on T1 weighted images and isointense signal on T2 weighted images. The extraosseous component is typically larger than the intraosseous lesion and invasion into the paraspinal area and spinal cord is common.8

Chemotherapy is critical in the treatment of Ewing's sarcoma, therefore sacrectomy without effective chemotherapy most likely would be insufficient to achieve disease-free status. If en bloc resection is not feasible due to the lack of the criteria to perform wide resection or to unaccepted functional loss, the combination of radiation therapy and chemotherapy seems to be the best option rather than intralesional surgery.37



MULTIPLE MYELOMA

Lesions in multiple myeloma are primarily found in the bones that produce hematopoietic marrow in adults.38

The most common presenting symptoms of multiple myeloma are fatigue and bone pain; anemia is detected in 75% of patients.39 Diagnosis of multiple myeloma should be based on the following tests: 1. Detection and evaluation of the monoclonal (M) component by serum and/or urine protein electrophoresis, nephelometric quantification of IgG, IgA and IgM immunoglobulins, characterization of the heavy and light chains by immunofixation, and serum-free light chain measurement. 2. Evaluation of bone marrow plasma cell infiltration. 3. Evaluation of lytic bone lesions by whole-dose CT, MRI and PET-CT. 4. Complete blood cell count, with differential serum creatinine, creatinine clearance and calcium level.40

The treatment is based on triplet regimens that should be used as the standard therapy; some patients are candidates for hematopoietic cell transplants. Skeletal lesions can be treated with zoledronic acid, denosumab, steroids, and / or calcitonin. Radiotherapy is used for local control of the disease.41



LYMPHOMA

Lymphoma is the third most common malignant primary neoplasm of the sacrum and its peak incidence is in the second and third decades of life.38 The incidence of primary sacral lymphoma is unknown.39

Aggressive bone destruction is the usual feature of primary bone lymphoma. Typically, few if any findings are seen on radiographs because of the tumor's propensity to extend to soft tissue while leaving underlying osseous structures intact. The appearance of a soft tissue mass can be the only clue to underlying extensive bone involvement in some patients.38 CT and MRI are helpful in evaluating the extent of bone involvement and cortical erosion, as well as the soft tissue extension of the tumor. Bone scan or PET/CT are useful to document additional foci of bone or extraskeletal involvement.39

The great majority of bone lymphomas are diffuse large B-cell non-Hodgkin lymphomas, but immunohistochemistry is usually essential for diagnosis. Radiotherapy and chemotherapy are the standard treatment for primary lymphoma of bone.39



METASTATIC BONE DISEASE

Bone metastasis are tumors involving bone as a result of hematogenous spread from malignancies at distant sites (WHO 2020).16 The skeleton is the third most common site of metastasis after the lung and liver, with the spine most frequently involved. Spinal metastasis develop in 5-10% of all cancer patients during the course of their disease with sacral deposits representing the minority of spinal secondaries.13 Sacral metastasis have increased over the past decade as chemotherapy improves and more patients survive common cancers.6

Metastatic disease is the most common sacral neoplasm8,10 since the sacrum is rich in hematopoietic bone marrow.8 Most sacral metastatic tumors are the result of hematogenously spread tumor cells.6

Radiographs are often the first imaging modality performed. However, these may remain inadequate because of the difficulty in evaluating the sacrum on radiographs, MRI is the gold standard to study a sacral metastatic lesion.6 Most metastasis are osteolytic and they have a hypointense signal on T1 weighted sequences and an iso-to hyperintense signal on T2 weighted sequences compared to normal bone marrow. In osteosclerotic metastases, the sclerotic areas appear hypointense on all sequences.8 CT helps to evaluate the degree of lytic or blastic involvement by the lesion,6 and also its soft tissue component.

Treatment for sacral metastasis is typically palliative, aiming at pain control and salvage of neurogenic function. Radiotherapy may be chosen as initial therapy for radiosensitive sacral metastasis in patients without spinal instability or acute neurological deterioration where significant pain reduction and neurologic improvement are attainable. Radiosensitivity varies among primary tumor types.13 Other treatment modality is selective arterial embolization that can be used for pain control, and reducing tumor size. Preoperative embolization is also useful when treating vascular lesions and can decrease intraoperative blood loss. Sacroplasty is indicated in cases with unrelenting pain in the setting of previously irradiated sacral metastatic lesions.6

Indications for a surgical procedure in sacral metastasis include neurological deficits, failed radiation therapy, and spinal instability. There is a minimal role for an excisional surgical procedure in the setting of metastatic sacral lesions. Cauda equina syndrome associated with sacral metastasis should be considered a surgical emergency and prompt decompression should be performed.6



SACROPLASTY

Is a minimally invasive non-surgical therapy used to treat pain in patients with metastatic lesions of the sacrum. Sacroplasty is recommended if treatments as bed rest and medication have been ineffective, or if side effects of analgesia have become problematic. Percutaneous injection of bone cement is an increasingly popular treatment for sacral metastatic tumors generally resulting in pain relief improving the quality of life of patients.



SACRECTOMY

The term total sacrectomy refers to resection and structures related to the dural sac below bilateral S1, with the resection extending to L5, L4 and to the iliac region if necessary.3 Surgical procedures for sacral tumors are classified into four types on the basis of extension of tumors and the level of sacral resection: Type I. Low sacral amputation-sacrectomy below S2. Type II. High sacral amputation-sacrectomy through S1-S2. Type III. Total sacrectomy-sacrectomy through L5-S1. Type IV. Extended sacrectomy-total sacrectomy combined with excision of the ilium, vertebra, or intrapelvic organs.1 Hemisacrectomy is the vertical resection of a tumor in half of the sacrum that disrupts the spinopelvic continuity.42

En bloc resection with adequate margins has provided a chance for cure of primary sacral tumors, however, high sacral lesions are challenging because of the complexity of the surgical approach, risk of exsanguination, and morbidities. Because massive blood loss has occurred frequently, two-stage sequential surgery has been used.43 Low sacral tumors are approached posteriorly, and high sacral tumors are approached by combined anterior and posterior incisions1 (Figure 4).

Sacrectomies that spare the S2 nerve root are associated with up to a 50% chance of normal bladder and bowel control, a percentage that can be improved if an S3 nerve root is also preserved. Preservation of the bilateral S2 nerve root with the unilateral S3 nerve root is associated with normal bladder and bowel function, whereas sacrifice of any of the S2 nerve roots typically leads to at least loss of voluntary control.29

Total sacrectomy, extended sacrectomy and hemisacrectomy cause instability and discontinuity between the spine and pelvis.44



RECONSTRUCTION

Sacral pathology requiring partial or total sacrectomy is rare, and reconstructing the ensuing defects requires careful decision-in order to minimize morbidity.45 The benefit of reconstruction after total sacrectomy, with substantial risk of infection and hardware failure, remains debatable.43 The reconstruction of these defects relies on the basic principles of surgical reconstruction as follows: providing spinopelvic stability, eliminating dead space and allowing tension-free wound closure.44

Various spinopelvic reconstruction techniques have been described with variable results. Regardless of the chosen technique, one of the purposes for surgery (after the disease control) is to reestablish the connections and the support that the sacrum gives to the pelvis and spine46 (Figure 5).

3D-printed technologies represent a current alternative for reconstruction after sacrectomy and hemisacrectomy.36,42

The soft tissue reconstruction is planned depending on the defect size and the characteristics of the resulting defect (Figure 6).



COMPLICATIONS

Total sacrectomy and reconstruction are associated with several complications, and their efficacy still needs evaluation; hence, surgical indications should be carefully assessed.47 The difficulty of this procedure is explained by a lot of factors including the anatomical complexity, the proximity of important organs and structures including major nerves, viscera, and major vessels, consistency of huge tumor, necessity of intraoperative postural change, pelvic ring reconstruction and high rate of postoperative complications.48

Extirpation of sacral tumors often leads to large and complicated defects with deep cavities, exposed viscera, and loss of the sacrum, bowel and bladder control, sexual function and weight-bearing joints.19 Other difficulties encountered after sacrectomies are musculocutaneous reconstruction to cover the generated defect. Additionally, postoperative radiotherapy is often necessary, which increases the likelihood of wound complications in the postoperative period.3,45 A prolonged surgical time is related with a higher risk of deep infection.32 Postoperative neurologic deficits may be acceptable, given the dreadful outcome of recurrent disease.43

The incidence of surgical complications is high and varies from 40 to more than 60 % depending on the series consulted,3,7,45 and the most common complication is infection at the surgical site.3 Sacrectomy type (partial versus total) and sacral defect are the strongest predictors of postoperative complications.45



CONCLUSION

Sacrectomy is a challenging surgical procedure with a long operation time and high blood loss. The morbidity and mortality associated with wide resections of the sacrum, particularly high sacral resections, cannot be overstated. Total sacrectomy will induce neurogenic bladder dysfunction and fecal incontinence, gait disturbance, and sexual dysfunction; hemisacrectomy can preserve the contralateral sacral nerves and may prevent or lessen these complications.


REFERENCES

  1. Kim SH, Chang UK, Kim DH. Sacral tumor resection and reconstruction. In: Kim DH, Chang UK, Kim SH, Bilsky MH. Tumors of the spine. Saunders Elsevier 2008, 669-683.

  2. Varga PP, Bors I, Lazary A. Sacral tumors and management. Orthop Clin N Am. 2009; 40: 105-123.

  3. De Souza FD, Morais TJrMC, Kenji ND, Salge GC, Jacobsen TWG, Fogaca CA et al. Complications after partial, total or extended sacrectomy : a case series. Coluna/Columna. 2021; 20 (3): 229-231.

  4. Kim KR, Kim KH, Park JY, Shin DA, Ha Y, Kim KN et al. Surgical strategy for sacral tumor resection. Yonsei Med J. 2021; 62 (1): 59-67.

  5. Senne J, Nguyen V, Staner D, Stensby JD, Bhat A. Desmystifying sacral masses: a pictorial review. Indian J Radiol Imaging. 2021; 31: 185-192.

  6. Mika A, Mesfin A. Update on the management of sacral metastases. JBJS Reviews. 2018; 6 (7): e8. Available in: https://dx.doi.org/10.2106/JBJS.RVW.17.00130

  7. García-Ortega DY, Clara-Altamirano MA, Gómez-Pedraza A, Martínez-Said H, Maciel-Miranda A, Caro-Sánchez CHS, et al. Tumores primarios de sacro: análisis de resultados y complicaciones. Acta Ortop Mex 2018; 32 (6): 354-357.

  8. Vanheule E, Huysse W, Herregods N, Verstraete K, Jans L. Sacral tumours on MRI: a pictorial essay. J Belg Soc Radiol. 2019; 103 (1): 62. Available in: https://doi.org/10.5334/jbsr.1887

  9. Aranda-Narváez JM, González-Sánchez AJ, Montiel-Casado C, Sánchez-Pérez B, Jiménez-Mazure C, Valle-Carbajo M. et al. Posterior approach (Kraske procedure) for surgical treatment of presacral tumors. World J Gastrointest Surg. 2012; 27 (4): 126-130.

  10. Littrell LA, Wenger DE. Imaging of sacral tumors and tumor simulators: experience of the Mayo Clinic. In: Ruggieri P, Angelini A, Vanel D, Picci P. Tumors of the sacrum. Diagnosis and treatment of benign and malignant tumors. Springer. 2017; 4: 25-64.

  11. Chander VS, Gorindasami R, Tukkapuran VR, Gopal S, Rudrappa S. Multidisciplinary management of primary sacral tumors : a tertiary care center's experience and literature review. Asian Spine J. 2022; 16 (4): 567-582.

  12. Zytoon AA, Elsayed EE, Nassar AI, Murakami K. Pivotal role of PET/CT in characterization of occult metastasis with undetermined origin. Egypt J Radiol Nucl Med. 2020; 51: 240. Available in: https://doi.org/10.org/10.1186/s43055-020-00357-1

  13. Quraishi NA, Giannoulis KE, Edwards KL, Boszczyk BM. Management of metastatic sacral tumours. Eur Spine J. 2012; 21: 1984-1993.

  14. Sánchez-Torres LJ, Santos-Hernández M. Current concepts in the planning and performance of musculoskeletal biopsies. Orthtips. 2023; 19 (1): 17-27.

  15. Gangi A, Gonzalez R. Overview on bone sacral tumors. In: Ruggieri P, Angelini A, Vanel D, Picci P. Tumors of the sacrum. Diagnosis and treatment of benign and malignant tumors. Springer. 2017; 2: 9-19.

  16. WHO Classification of Tumours Editorial Board. Soft tissue and bone tumours. Lyon (France): International Agency for Research on Cancer; 2020. (WHO classification of tumours series, 5th ed.; vol.3). Available in: https://publications.iarc.fr/588

  17. Jamshidi K, Bagherifard A, Mirzaei A, Bahrabadi M. Giant cell tumor of the sacrum: series of 19 patients and review of the literature. Arch Bone Jt Surg. 2017; 5 (6): 443-450.

  18. Kim SH, Hong SH, Cjoi JY, Koh SH, Chung HW, Choi JA, et al. Imaging findings of sacral tumors. J Korean Radiol Soc. 2003; 49: 327-336.

  19. Shen CC, Shi ZL, Tao HM, Yang ZM. Current treatment of sacral giant cell tumour of bone: a review. J Int Med Res. 2012; 40: 415-425.

  20. Leggon RE, Zlotecki R, Reith J, Scarborough MT. Giant cell tumor of the pelvis and sacrum. Clin Orthop Relat Res. 2004; 423: 196-207.

  21. Bazán PL, Di Falco R, Borri AE, Medina M, Ciccioli NM, Danielle S. The use of denosumab in giant cell tumor in the sacrum. Coluna/Columna. 2020; 19 (2): 151-153.

  22. Sambri A, Medellin MR, Errani C, Campanacci L, Fujiwara T, Donati D, et al. Denosumab in giant cell tumour of bone in the pelvis and sacrum: long-term therapy or bone resection? J Orthop Sci. 2020; 25: 513-519.

  23. Angelini A, Rossi G, Mavrogenis F, Ruggieri P. Aneurysmal bone cyst of the sacrum. In: Ruggieri P, Angelini A, Vanel D, Picci P. Tumors of the sacrum. Diagnosis and treatment of benign and malignant tumors. Springer 2017, 153-161.

  24. Wang J, Du Z, Yang R, Tang X, Yan T, Guo W. Primary aneurysmal bone cyst of sacrum of adolescent: eleven cases experience and literature review. J Clin Neurosci. 2020; 82 A: 93-98.

  25. Nielsen PG, Rosenberg AE. Benign bone-forming tumors. In: Petur NG, Rosenberg AE. Diagnostic pathology bone. 3rd. ed. Elsevier, 2021, 21-47.

  26. Angelini A, Ruggieri P. Osteoblastoma of the sacrum. In: Ruggieri P, Angelini A, Vanel D, Picci P. Tumors of the sacrum. Diagnosis and treatment of benign and malignant tumors. Springer 2017, 137-145.

  27. Galgano MA, Goulart CR, Iwenofu H, Chin LS, Lavelle W, Mendel E. Osteoblastoma of the spine: a comprehensive review. Neurosurg Focus. 2016; 41 (2): E4. Available in: http://thejns.org/doi/abs/10.3171/2016.5.FOCUS16122

  28. Atesok KI, Alman BA, Schemitsch EH, Peyser A, Mankin H. Osteoid osteoma and osteoblastoma. J Am Acad Orthop Surg. 2011; 19: 678-689.

  29. Walcott BP, NahedBV, Mohyeldin A, Coumans JV, Kahle KT, Ferreira MJ. Chordoma: current concepts, management, and future directions. Lancet Oncol. 2012; 13: e69-e76.

  30. Chugh R, Tawbi H, Lucas DR, Biermann JS, Schuetze SM, Baker LH. Chordoma: the nonsarcoma primary bone tumor. Oncologist. 2007; 12: 1344-1350.

  31. Okaji RY, da Silveira Jr JM, Nakano MK, Kiuti LT, Maiorano MCNT. Sacral chordoma en-bloc resection and lumbar-iliac stabilization. Arq Neuropsiquiatr. 2008; 66 (2): 400-401.

  32. Zuckerman SL, Lee SH, Chang GJ, Walsh GL, Mehran RJ, Gokaslan ZL, et al. Outcomes of surgery for sacral chordoma and impact of complications: a report of 50 consecutive patients with long-term follow-up. Global Spine J. 2021; 11 (5): 740-750.

  33. Schwab JH, Healey JH, Rose P, Casas-Ganem J, Boland PJ. The surgical management of sacral chordomas. Spine. 2009; 34: 2700-2704.

  34. Angelini A, Mavrogenis AF, Ruggieri P. Chondrosarcoma of the sacrum. In: Ruggieri P, Angelini A, Vanel D, Picci P. Tumors of the sacrum. Diagnosis and treatment of benign and malignant tumors. Springer. 2017, 237-244.

  35. Wang Y, Guo W, Shen D, Tang X, Yang Y, Ji T, et al. Surgical treatment of primary osteosarcoma of the sacrum. Spine. 2017; 42 (16): 1207-1213.

  36. Kim D, Lim JY, Shim KW, Han JW, Yi S, Yoon DH, et al. Sacral reconstruction with a 3D- Printed Implant after hemisacrectomy in a patient with sacral osteosarcoma: 1-year follow up result. Yonsei Med J. 2017; 58 (2): 453-457.

  37. Angelini A, Letson DG, Ruggieri P. Ewing's sarcoma of the sacrum. In: Ruggieri P, Angelini A, Vanel D, Picci P. Tumors of the sacrum. Diagnosis and treatment of benign and malignant tumors. Springer. 2017, 221-226.

  38. Disler DG, Miklic D. Imaging findings in tumors of the sacrum. Am J Roetgenol. 1999; 173: 1699-1706.

  39. Mavrogenis AF, Panagopoulos GN, Angelini A, Zinzani PL, Ruggieri P. Lymphoma and mieloma of the sacrum. In: Ruggieri P, Angelini A, Vanel D, Picci P. Tumors of the sacrum. Diagnosis and treatment of benign and malignant tumors. Springer. 2017, 227-235.

  40. Moreau P, San Miguel J, Sonneveld P, Mateos MV, Zamagni E, Avet-Loiseau H, et al. Multiple myeloma: ESMO Clinical Practice Gudelines for diagnosis, treatment and follow-up. Ann Oncol. 2017; 28 (Suppl 4): iv52-iv61.

  41. Kumar SK, Callander NS, Adekola K, Anderson L, Baljeric M, Campagnaro E, et al. Multiple Myeloma, Version 3.2021. J Natl Compr Canc Netw. 2020; 18 (12): 1685-1717.

  42. Lv Z, Li J, Yang Z, Li X, Yang Q, li Z. Reconstruction after hemisacrectomy with a novel 3D-printed modular hemisacrum implant in sacral giant cell tumor of the bone. Front Bioeng Biotechnol 11:1155470. doi: 10.3389/fbioe.2023.1155470.

  43. Sahakitrungruang C, Chantra K, Dusitanond N, Atittharnsakul P, Rojanasakul A. Sacrectomy for primary sacral tumors. Dis Colon Rectum. 2009; 52: 913-918.

  44. Kiiski J, Kuokkanen HO, Kaariainen M, Kaartinen IS, Pakarinen TK, Laitinen MK. Clinical results and quality of life after reconstruction following sacrectomy for primary bone malignancy. J Plast Reconstr Aesthet Surg. 2018; 71: 1730-1739.

  45. Vartanian ED, Lynn JV, Perrault DP, Wolfswinkel EM, Kaiser AM, Patel KM et al. Risk factors associated with reconstructive complications following sacrectomy. Plast Reconstr Surg Glob Open. 2018; 6: e2002.

  46. Araújo TPF, Narazaki DK, Teixeira WGJ, Busnardo F, Cristante AF, Barros Filho TEP. Sacrectomy associated with vertebrectomy: a new technique using dowel grafts from cadavers. Acta Ortop Bras. 2018; 26 (4): 260-264.

  47. Pu F, Zhang Z, Wang B, Wu Q, Liu J, Shao Z. Total sacrectomy with combined antero-posterior surgical approach for malignant sacral tumours. Int Orthop (SICOT). 2021; 45: 1347-1354.

  48. Akiyama T. Anatomical difficulties of hemipelvectomy and sacrectomy from the view of vascular complex. Anat Physiol. 2017; 7 (4): 268. doi: 10.4172/2161-0940.1000268.



AFFILIATIONS

1Instituto Mexicano del Seguro Social

2Unidad Médica de Alta Especialidad, Hospital de Traumatología y Ortopedia No. 21

3Unidad Médica de Alta Especialidad. Hospital de Especialidades No. 25.



Conflict of interest: The authors declare no conflict of interest.



CORRESPONDENCE

Luis Jair Sánchez-Torres, MD. E-mail: dolorarticular@gmail.com




Received: 08/28/2023. Accepted: 12/21/2023.

Figure 1
Figure 2
Figure 3
Figure 4
Figure 5
Figure 6

2020     |     www.medigraphic.com

Mi perfil

C?MO CITAR (Vancouver)

Ortho-tips. 2024;20