medigraphic.com
SPANISH

Latin American Journal of Oral and Maxillofacial Surgery

ISSN 2992-7757 (Electronic)
Órgano de difusión de la Asociación Latinoamericana de Cirugía y Traumatología Bucomaxilofacial (ALACIBU)
  • Contents
  • View Archive
  • Information
    • General Information        
    • Directory
  • Publish
    • Instructions for authors        
  • medigraphic.com
    • Home
    • Journals index            
    • Register / Login
  • Mi perfil

2023, Number 4

<< Back Next >>

Lat Am J Oral Maxillofac Surg 2023; 3 (4)

Complex odontoma. Presentation of a case and review of the literature

Delgado S, Olivares C, Adrián D, García H, Villarroel M, Tebres J
Full text How to cite this article 10.35366/115738

DOI

DOI: 10.35366/115738
URL: https://dx.doi.org/10.35366/115738

Language: Spanish
References: 8
Page: 176-180
PDF size: 260.91 Kb.


Key words:

odontoma, compound odontoma, odontogenic tumor.

ABSTRACT

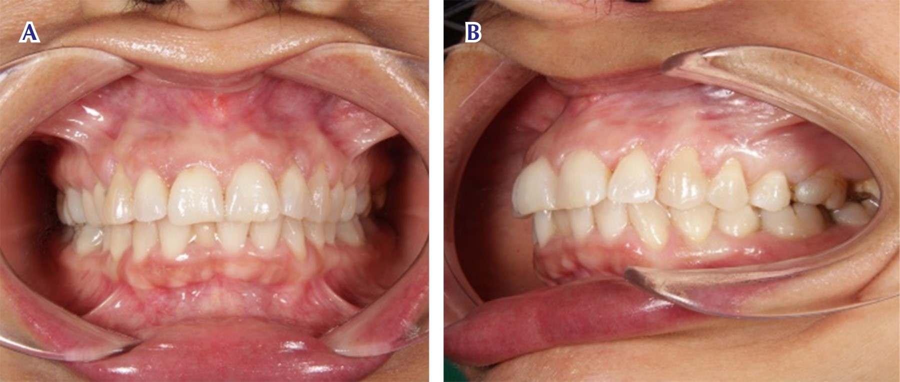
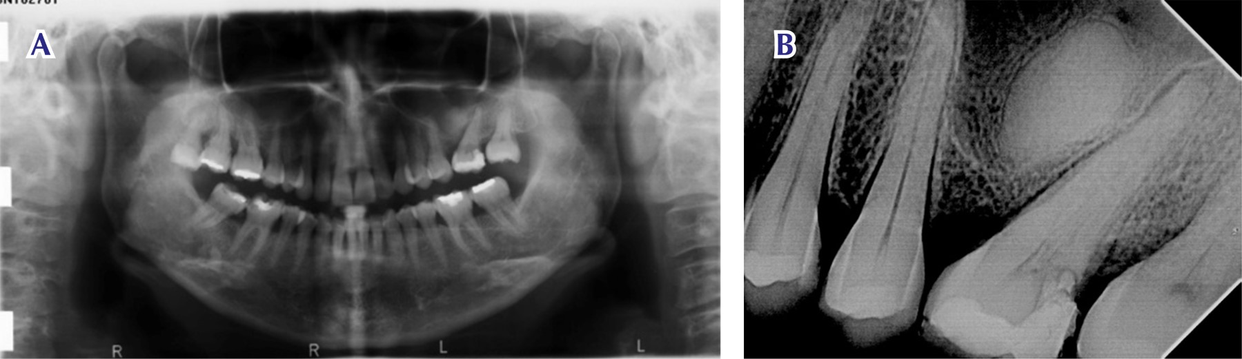
Odontomas are benign, mixed odontogenic tumors, composed of odontogenic epithelium and odontogenic ectomesenchyme with formation of dental hard tissue. They represent 67% of odontogenic tumors, they are slow and limited in growth, without gender predominance, generally asymptomatic and generally appear in the second and third decade of life. They are classified as compound, complex and mixed according to their histological configuration, radiographic behavior and clinical presentation. The diagnosis is basically by radiological finding and histological study and the treatment is conservative surgical enucleation, they have a good prognosis and generally there are no recurrences. The case of a dental bone tumor is presented, diagnosed as a complex odontoma of rare location in a 45-year-old patient, with the purpose of increasing the general case mix and reinforcing the management and knowledge of them, as well as the differential diagnoses.


REFERENCES

  1. Cuesta LMS, Saura ST, Estrada IM. Diagnóstico por imágenes de un odontoma complejo. Presentación de un caso. Medicentro Electrónica. 2022; 26 (1): 213-224.

  2. Astigueta J, Muni G, Benítez J, Giannunzio G. Odontoma complejo. Resolución de caso con utilización de osteosíntesis rígida por riesgo de fractura mandibular. Rev Asoc Odontol Argent. 2019; 107 (3): 95-102.

  3. Falkinhoff PE, Reig ELG. Los odontomas y sus implicancias. Rev Asoc Odontol Argent. 2019; 107 (1): 19-24.

  4. da Silva Barros CC, da Silva LP, Gonzaga AKG, de Medeiros AMC, de Souza LB, da Silveira ÉJD. Neoplasms and non-neoplastic pathologies in the oral and maxillofacial regions in children and adolescents of a Brazilian population. Clin Oral Investig. 2019; 23 (4): 1587-1593.

  5. Thistle L, Muela BD, Martina C. Aspectos descriptivos del odontoma: revisión de la literatura. Rev Odont. Mex. 2016; 20 (4): 272-276.

  6. Sánchez VA, Liceaga ECJ. Odontoma complejo de tamaño inusual. Revisión de la literatura y reporte de un caso. Rev Mex Cir Bucal Maxilofac. 2012; 8 (3): 103-109.

  7. Harris RJ, Rebolledo CM, Díaz CA, Carbonell MZ. Odontoma serie de casos: Revisión de literatura. Av Odontoestomatol. 2011; 27 (1): 25-32.

  8. Basov K, Jiménez P, Pérez L, Franco H. Odontoma: actualización, revisión de conceptos, y consideraciones para su tratamiento a propósito de un caso. ODOUS Científica. 2022; 22 (2): 127-134.




Figure 1
Figure 2
Figure 3
Figure 4
Figure 5

2020     |     www.medigraphic.com

Mi perfil

C?MO CITAR (Vancouver)

Lat Am J Oral Maxillofac Surg. 2023;3