medigraphic.com
SPANISH

Latin American Journal of Oral and Maxillofacial Surgery

ISSN 2992-7757 (Electronic)
Órgano de difusión de la Asociación Latinoamericana de Cirugía y Traumatología Bucomaxilofacial (ALACIBU)
  • Contents
  • View Archive
  • Information
    • General Information        
    • Directory
  • Publish
    • Instructions for authors        
  • medigraphic.com
    • Home
    • Journals index            
    • Register / Login
  • Mi perfil

2023, Number 4

<< Back Next >>

Lat Am J Oral Maxillofac Surg 2023; 3 (4)

Digital tools for planning sinus lift and guided surgery in implantology

Bustamante G, Díaz G, Romero L, Cedeño A, Concho R
Full text How to cite this article 10.35366/115739

DOI

DOI: 10.35366/115739
URL: https://dx.doi.org/10.35366/115739

Language: Spanish
References: 18
Page: 181-186
PDF size: 283.30 Kb.


Key words:

maxillary sinus, guided surgery, digital planning.

ABSTRACT

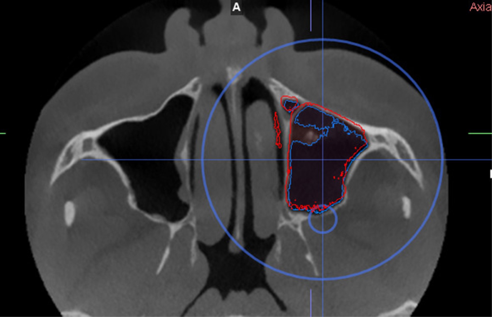
Introduction: the invention of computed tomography and the development of interactive software to allow digital planning has drastically improved the accuracy of procedures in oral surgery, especially in the planning of dental implants. In the posterior maxilla, due to the presence of the maxillary sinus, the height of the residual bone less than 3 mm is a critical factor that can affect the stability and survival of the implant. Digital planning facilitates and shortens surgical times, in addition to providing safety for accurate sinus elevation and subsequent implant placement by making a surgical guide. Objective: to describe the effectiveness of digital planning in predicting and recording bone height gain through maxillary sinus elevation and subsequent guided surgery for implant placement. Case report: a clinical case is presented in which, by means of digital planning, a maxillary sinus elevation technique is performed by lateral approach and subsequent implant placement by implementing a surgical guide. Conclusion: despite the numerous advantages of digital planning for sinus elevation and surgical guide design, there is a gap in the literature for standardized protocols for this purpose. Our digital planning protocol for sinus elevation and surgical guide design for implants is effective, accurate and predictable.


REFERENCES

  1. Unsal GS, Turkyilmaz I, Lakhia S. Advantages and limitations of implant surgery with CAD/CAM surgical guides: a literature review. J Clin Exp Dent. 2020; 12 (4): e409-e417.

  2. Márton K, Tamás SB, Orsolya N, et al. Microarchitecture of the augmented bone following sinus elevation with an albumin impregnated demineralized freeze-dried bone allograft (BoneAlbumin) versus anorganic bovine bone mineral: a randomized prospective clinical, histomorphometric, and micro-computed tomography study. Materials (Basel). 2018; 11 (2): 202.

  3. Yeung AWK, Hung KF, Li DTS, Leung YY. The use of CBCT in evaluating the health and pathology of the maxillary sinus. Diagnostics (Basel). 2022; 12 (11): 2819.

  4. Pistilli R, Canullo L, Pesce P, et al. Guided implant surgery and sinus lift in severely resorbed maxillae: a retrospective clinical study with up to 10 years of follow-up. J Dent. 2022; 121: 104137.

  5. D'haese J, Ackhurst J, Wismeijer D, De Bruyn H, Tahmaseb A. Current state of the art of computer-guided implant surgery. Periodontol 2000. 2017; 73 (1): 121-133.

  6. Schiavon L, Perini A, Brunello G, et al. The bone lid technique in lateral sinus lift: a systematic review and meta-analysis. Int J Implant Dent. 2022; 8 (1): 33.

  7. Díaz-Olivares LA, Cortés-Bretón Brinkmann J, Martínez-Rodríguez N, et al. Management of Schneiderian membrane perforations during maxillary sinus floor augmentation with lateral approach in relation to subsequent implant survival rates: a systematic review and meta-analysis. Int J Implant Dent. 2021; 7 (1): 91.

  8. Varela-Centelles P, Loira M, González-Mosquera A, et al. Study of factors influencing preoperative detection of alveolar antral artery by CBCT in sinus floor elevation. Sci Rep. 2020; 10 (1): 10820.

  9. Tsai CF, Pan WL, Pan YP, et al. Comparison of 4 sinus augmentation techniques for implant placement with residual alveolar bone height ≤ 3 mm. Medicine (Baltimore). 2020; 99 (46): e23180.

  10. Yeung M, Abdulmajeed A, Carrico CK, et al. Accuracy and precision of 3D-printed implant surgical guides with different implant systems: an in vitro study. J Prosthet Dent. 2020; 123 (6): 821-828.

  11. Linares D, Smith D. Revisión literaria sobre el uso de guías quirúrgicas versus la técnica a mano alzada para la colocación de implantes dentales. [Tesis Doctoral] Santo Domingo: Universidad Iberoamericana (UNIBE). 2021.

  12. An X, Lee C, Fang Y, Choi BH. Immediate nonfunctional loading of implants placed simultaneously using computer-guided flapless maxillary crestal sinus augmentation with bone morphogenetic protein-2/collagen matrix. Clin Implant Dent Relat Res. 2019; 21 (5): 1054-1061.

  13. D'Souza KM, Aras MA. Types of implant surgical guides in dentistry: a review. J Oral Implantol. 2012; 38 (5): 643-652.

  14. Virnik S, Cueni L, Kloss-Brandstatter A. Is one-stage lateral sinus lift and implantation safe in severely atrophic maxillae? Results of a comparative pilot study. Int J Implant Dent. 2023; 9 (1): 6.

  15. Wismeijer D, Joda T, Flügge T, et al. Group 5 ITI consensus report: digital technologies. Clin Oral Implants Res. 2018; 29 Suppl 16: 436-442.

  16. Naishlos S, Zenziper E, Zelikman H, et al. Esthetic assessment succeeding anterior atrophic maxilla augmentation with cancellous bone-block allograft and late restoration loading. J Clin Med. 2021; 10 (20): 4635.

  17. Buser D, Sennerby L, De Bruyn H. Modern implant dentistry based on osseointegration: 50 years of progress, current trends and open questions. Periodontol 2000. 2017; 73 (1): 7-21.

  18. Martínez-Gutiérrez O, Peña-Martínez V, Camacho-Ortiz A, et al. Spondylodiscitis treated with freeze-dried bone allograft alone or combined with autograft: a randomized and blinded trial. J Orthop Surg (Hong Kong). 2021; 29 (2): 23094990211019101.




Figure 1
Figure 2
Figure 3
Figure 4
Figure 5
Figure 6
Figure 7
Figure 8
Figure 9

2020     |     www.medigraphic.com

Mi perfil

C?MO CITAR (Vancouver)

Lat Am J Oral Maxillofac Surg. 2023;3