medigraphic.com
SPANISH

Acta Ortopédica Mexicana

ISSN 2992-8036 (Electronic)
ISSN 2306-4102 (Print)
Órgano Oficial del Colegio Mexicano de Ortopedia y Traumatología
  • Contents
  • View Archive
  • Information
    • General Information        
    • Directory
  • Publish
    • Instructions for authors        
  • medigraphic.com
    • Home
    • Journals index            
    • Register / Login
  • Mi perfil

2024, Number 3

<< Back Next >>

Acta Ortop Mex 2024; 38 (3)

GMK rotating hinge prosthesis. A valid option for complex revision knee prosthetic surgery

Garrido-Ferrera J, Marquina-Moraleda V, Marco-Díaz L, Colomina-Rodríguez R, Hernández-Ferrando L
Full text How to cite this article 10.35366/115809

DOI

DOI: 10.35366/115809
URL: https://dx.doi.org/10.35366/115809

Language: Spanish
References: 19
Page: 149-154
PDF size: 187.58 Kb.


Key words:

knee, revision, prosthesis, hinge.

ABSTRACT

Introduction: revision joint replacement surgery presents a surgical challenge. The use of rotating hinge prostheses is an option in patients with femorotibial bone defects, ligament insufficiency, or significant deformities. The aim of this study was to evaluate the clinical, functional, and radiological outcomes of a series of patients who underwent surgery using the GMK Hinge (Medacta®) rotational hinge model. Material and methods: a descriptive, retrospective, and analytical study was conducted on a series of 36 patients, with a mean age of 72.5 years (47-85), operated on by the same surgical team between January 2015 and January 2022. The etiology of revision was chronic infection in 38.9% of cases, instability in 33.3%, aseptic loosening in 19.4%, and stiffness in 8.4%. The Knee Society Score (KSS) and the Forgotten Joint Score (FJS) were used to assess functional outcomes. The degree of femorotibial bone defect was evaluated using the Anderson Orthopaedic Research Institute (AORI) classification. Postoperative complications are also recorded. Results: a total of 36 patients, 17 males and 19 females, were included, with a mean follow-up of 30 months (12-66). Twelve patients had type 1 defects, ten had 2A defects, ten had 2B defects, and two had type 3 defects on the femoral side, with the use of wedges required for asymmetrical defects (21 patients). The predominant tibial defect was type 1 without the need for wedges. The majority achieved a satisfactory outcome on the KSS scale (72.2 ± 9.4), with significant differences compared to the previous KSS (54.3 ± 8.9). A score of 31 (12-67) was also obtained on the FJS scale. Postoperative complications were present in 16.7% of patients. Conclusions: complex prosthetic revision surgery using a rotating hinge prosthesis represents a suitable therapeutic option, yielding appropriate clinical and functional outcomes, albeit not without complications.


REFERENCES

  1. Siqueira MB, Klika AK, Higuera CA, Barsoum WK. Modes of failure of total knee arthroplasty: registries and realities. J Knee Surg. 2015; 28(2): 127-38.

  2. Khan M, Osman K, Green G, Haddad FS. The epidemiology of failure in total knee arthroplasty: avoiding your next revision. Bone Joint J. 2016; 98-B(1 Suppl A): 105-12.

  3. Pour AE, Parvizi J, Slenker N, Purtill JJ, Sharkey PF. Rotating hinged total knee replacement: use with caution. J Bone Joint Surg Am. 2007; 89(8): 1735-41.

  4. Irrgang JJ, Anderson AF. Development and validation of health-related quality of life measures for the knee. Clin Orthop Relat Res. 2002; (402): 95-109.

  5. Carlson VR, Post ZD, Orozco FR, Davis DM, Lutz RW, Ong AC. When does the knee feel normal again: a cross-sectional study assessing the forgotten joint score in patients after total knee arthroplasty. J Arthroplasty. 2018; 33(3): 700-703.

  6. De Cassai A, Boscolo A, Tonetti T, Ban I, Ori C. Assignment of ASA-physical status relates to anesthesiologists' experience: a survey-based national-study. Korean J Anesthesiol. 2019; 72(1): 53-59.

  7. Engh GA, Ammeen DJ. Bone loss with revision total knee arthroplasty: defect classification and alternatives for reconstruction. Instr Course Lect. 1999; 48: 167-75.

  8. Insall JN, Dorr LD, Scott RD, Scott WN. Rationale of the Knee Society clinical rating system. Clin Orthop Relat Res. 1989; (248): 13-4.

  9. Ewald FC. The Knee Society total knee arthroplasty roentgenographic evaluation and scoring system. Clin Orthop Relat Res. 1989; (248): 9-12.

  10. Gluck T. Referat über die durch das moderne chirurgische experiment gewonnenen positiven resultate, betreffend die naht und den Ersatz von Defecten hoherer Gewebe, sowie über die Verwethung resorbirbarer und lebendiger Tampons in der Chirurgie. Arch klin chir. 1891; 41: 187-239.

  11. Freeman MA, Swanson SA, Todd RC. Total replacement of the knee using the Freeman-Swanson knee prosthesis. Clin Orthop Relat Res. 1973; (94): 153-70.

  12. Panesar K, Al-Mouazzen L, Nessa L, Jonas SC, Agarwal S, Morgan-Jones R. Revision total knee arthroplasty using an uncemented metaphyseal sleeve, rotating hinge prosthesis: a case series of 99 patients. J Arthroplasty. 2021; 36(6): 2121-2125.

  13. Pasquier G, Ehlinger M, Mainard D. The role of rotating hinge implants in revision total knee arthroplasty. EFORT Open Rev. 2019; 4(6): 269-278.

  14. Baier C, Lüring C, Schaumburger J, Kock F, Beckmann J, Tingart M, et al. Assessing patient-oriented results after revision total knee arthroplasty. J Orthop Sci. 2013; 18(6): 955-61.

  15. Bourbotte-Salmon F, Ferry T, Cardinale M, Servien E, Rongieras F, Fessy MH, et al. Rotating hinge knee arthroplasty for revision prosthetic-knee infection: good functional outcomes but a crucial need for superinfection prevention. Front Surg. 2021; 8: 551814.

  16. Cottino U, Abdel MP, Perry KI, Mara KC, Lewallen DG, Hanssen AD. Long-Term Results After Total Knee Arthroplasty with Contemporary Rotating-Hinge Prostheses. J Bone Joint Surg Am. 2017; 99(4): 324-330.

  17. von Hintze J, Niemelainen M, Sintonen H, Nieminen J, Eskelinen A. Outcomes of the rotating hinge knee in revision total knee arthroplasty with a median follow-up of 6.2 years. BMC Musculoskelet Disord. 2021; 22(1): 336.

  18. Boelch SP, Arnholdt J, Holzapfel BM, Jakuscheit A, Rudert M, Hoberg M. Revision knee arthroplasty with rotating hinge systems in patients with gross ligament instability. Int Orthop. 2018; 42(12): 2825-2833.

  19. Levent A, Suero EM, Gehrke T, Bakhtiari IG, Citak M. Risk factors for aseptic loosening in complex revision total knee arthroplasty using rotating hinge implants. Int Orthop. 2021; 45(1): 125-132.



EVIDENCE LEVEL

IV




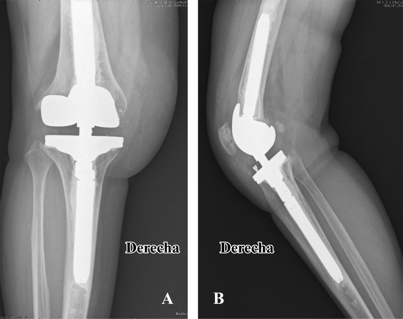
Figure 1
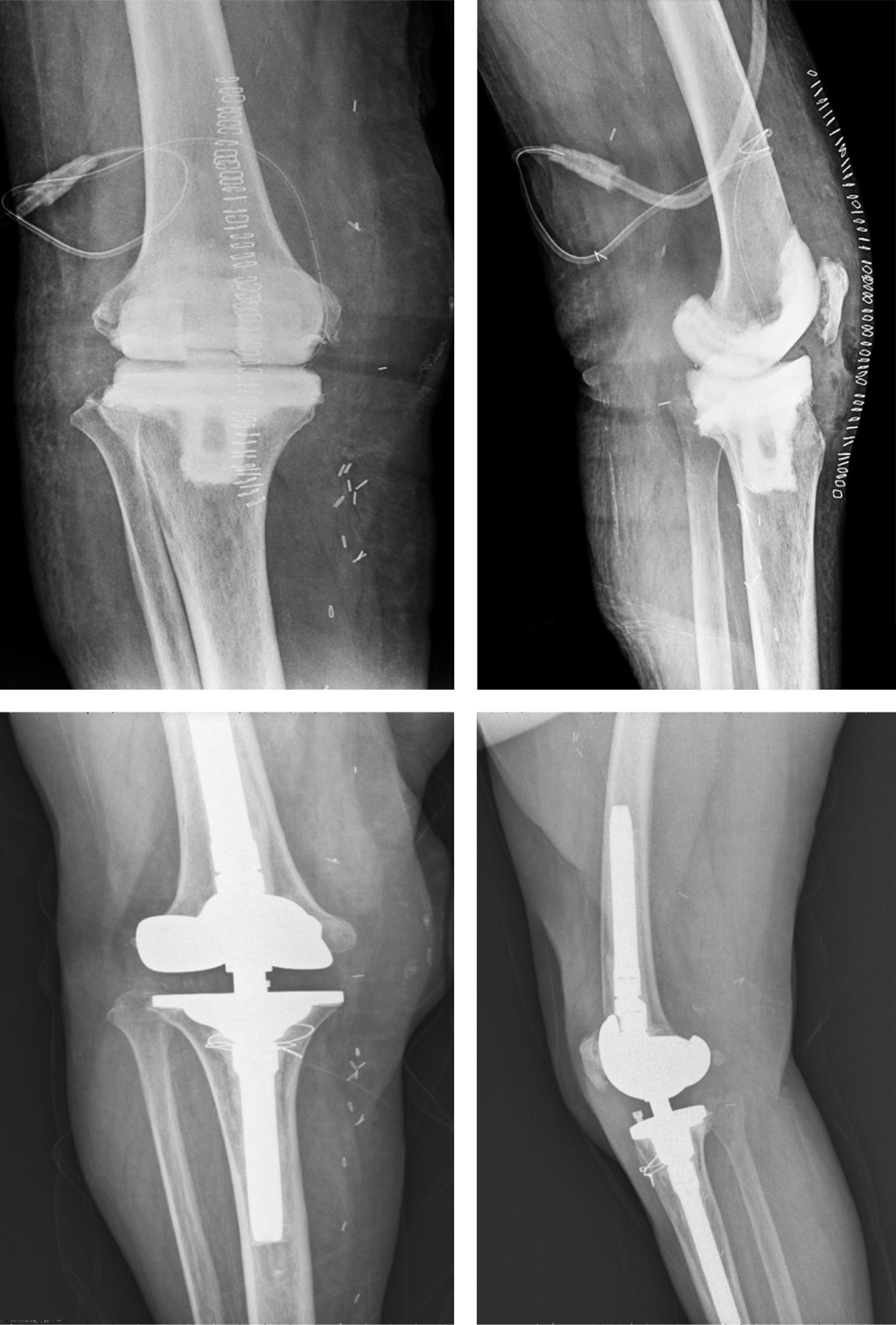
Figure 2
Table 1
Table 2

2020     |     www.medigraphic.com

Mi perfil

C?MO CITAR (Vancouver)

Acta Ortop Mex. 2024 May-Jun;38