medigraphic.com
SPANISH

Cirugía Cardiaca en México

ISSN 2448-5640 (Print)
Diario Oficial de la Sociedad Mexicana de Cirugía Cardiaca, A.C., y del Colegio Mexicano de Cirugía Cardiovascular y Torácica, A.C.
  • Contents
  • View Archive
  • Information
    • General Information        
    • Directory
  • Publish
    • Instructions for authors        
    • Send manuscript
  • medigraphic.com
    • Home
    • Journals index            
    • Register / Login
  • Mi perfil

2024, Number 3

<< Back Next >>

Cir Card Mex 2024; 9 (3)

Atypical presentation of late pulmonary vein obstruction, following the repair of total anomalous pulmonary venous connection. Case report

Alcántara-Noguez, Carlos1,2; Juárez-León, José A1,3; Mejia-López, Diana V1,3; Bolio-Cerdán, Alejandro1,2; Contreras-Ramos, Alejandra1,3
Full text How to cite this article 10.35366/116100

DOI

DOI: 10.35366/116100
URL: https://dx.doi.org/10.35366/116100

Language: English
References: 15
Page: 101-104
PDF size: 243.60 Kb.


Key words:

anomalous connection, atria, obstruction, post-surgical, pulmonary veins, total anomalous pulmonary venous connection.

ABSTRACT

The total anomalous pulmonary venous connection is a congenital heart condition where the pulmonary veins do not connect directly to the left atrium. The clinical presentation of this pathology depends on the degree of obstruction. Without surgical treatment, the likelihood of death can be up to 80%. We report a case of total anomalous pulmonary venous connection obstruction post-correction in a pediatric patient successfully corrected using the sutureless technique.

Total anomalous pulmonary venous connection (TAPVC) is a congenital cyanotic heart condition in which all four pulmonary veins fail to establish their normal connection with the left atrium, leading to venous drainage into the systemic venous circulation.1 It occurs in approximately 7 to 9 per 100,000 live births and comprises 0.7 to 1.5% of all congenital heart diseases.2,3

TAPVC can be classified into four types based on the anatomical location of the connections to the heart.4 The supracardiac type results from the connection of pulmonary veins to the cardinal venous systems, accounting for 45-50% of cases. The cardiac type is identified when pulmonary veins (PV) directly converge into the heart, connecting to the posterior aspect of the coronary sinus or the right atrium (RA), prevalent in 20 to 30% of patients. The infracardiac type represents 13 to 25% of cases. The mixed type accounts for less than 10% of cases and occurs when there is a combination of connections entering at two or more levels of the heart.5-7

The clinical presentation depends on the severity of the obstruction and the size of the atrial communication. Patients with severe obstruction exhibit profound cyanosis, pulmonary hypertension, pulmonary edema, respiratory distress, decreased systemic output, and hypotension (which can lead to shock).6 In the case of patients without venous obstruction, they may be asymptomatic at birth, later developing tachypnea, mild cyanosis, and feeding difficulties; over time, they may experience right ventricular hypertrophy and pulmonary vascular changes leading to right ventricular failure.8

Diagnosis is typically achieved through echocardiography, although in some cases, angiography and cardiac catheterization may be necessary when the identification of PV and vertical veins is challenging, as these details are crucial for planning surgical management.9

Without surgical intervention, 80% of cases result in mortality within the first year of life, and less than 10% survive to adulthood.10 Therefore, surgical correction is indicated for all patients, irrespective of the degree of obstruction. The goal of surgery is to establish a direct connection between the pulmonary veins and the left atrium, while preventing pulmonary obstruction. In recent years, the sutureless technique has been employed as a method for the primary correction of TAPVC.11

One of the most common postoperative complications is obstruction. Postoperative obstruction is defined as Doppler echocardiographic velocity of 1.2 m/s or higher at the repaired confluence or in an individual PV, or a catheterization gradient from any PV to the pulmonary venous atrium of 4 mmHg or higher.12,13 It can occur in 5% to 18% of patients.14 Risk factors for postoperative obstruction are associated with the presence of obstruction at the diagnosis of TAPVC, increased surgical time, PV hypoplasia, identified PV obstruction in intraoperative transesophageal echocardiography, isolated anomalous PV, mixed type, among others. The use of the sutureless technique has not been reported to influence the risk of postoperative obstruction.12,13

There are numerous surgical and catheter techniques available to address postoperative obstruction. The morphological characteristics of the PV and the severity of the disease should be taken into consideration when choosing the appropriate approach.14



CASE DESCRIPTION

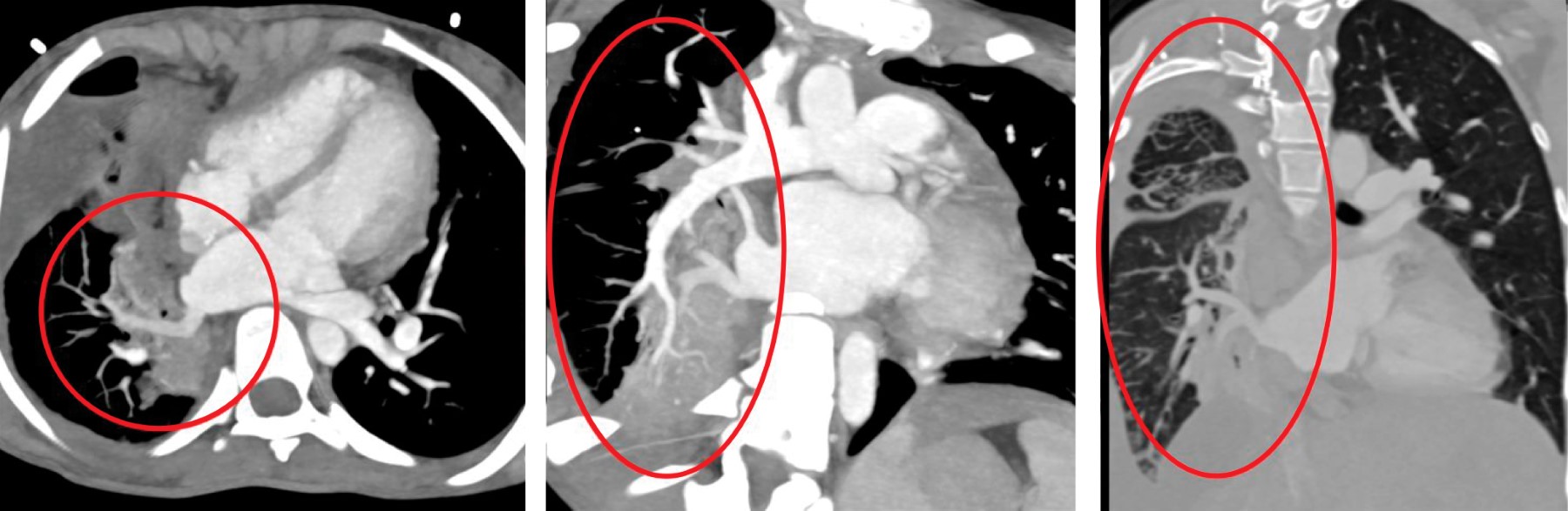
A 12-year-old female with a history of non-obstructed TAPVC to the coronary sinus underwent total correction at nine months of age. At one year of age, an echocardiogram with color flow Doppler (Figures 1 and 2) documented obstruction of the right PV with a mean gradient of 13 mmHg. Subsequently, a contrast-enhanced computed tomography angiography (angioTAC) was requested (Figure 3), which reported drainage of PV with patent flow. No collector was identified, but three PV were observed, two on the left and one on the right. In the lower left and right PV, a small hypodense band was noted, a finding suggestive of a partial septum at each origin. Reported diameters were as follows: superior right PV of 3.4 mm, superior left PV of 3.2 mm, and inferior left PV of 3.4 mm. The patient showed appropriate evolution and was lost to follow-up.

The patient began with non-cyanotic, non-emetic, and initially non-productive cough. Seventy-six hours before admission, hemoptysis occurred, characterized by bright red blood, progressively increasing until it became exclusively hematic, with a quantity of 5 to 10 ml per episode. The episodes occurred three to seven times a day.

At the time of the echocardiogram, it was observed obstruction in the right PV with a mean gradient of 11 mmHg and a mean gradient of 9 mmHg in the left PV. Pulmonary arterial hypertension and appropriate biventricular systolic function were noted. A contrast-enhanced computed tomography revealed a significant reduction in the right lung volume, dorsal atelectasis, and a right pleural effusion. A decision was made to perform catheterization, during which a reduction in the caliber of the left PV was found upon arrival at the coronary sinus with an obstructive gradient of 9 mmHg. The proximal portion of the right upper PV was also retrograde, with amputation of both veins upon arrival at the left atrium. The PV cannot be successfully opened, leading to the termination of the procedure.

The patient underwent surgery for the correction of obstructed anomalous PV using a sutureless technique with pericardial flaps. The right PV was found with pinpoint entry into the left atrium (successfully dilated up to Hegar 4), and the PV had an entry from the coronary sinus into the left atrium, both with good caliber. Redilation was performed once again. A transoperative echocardiogram reports adequate flow and caliber in all four PV. As a complication, right diaphragmatic paralysis occurred, leading to diaphragmatic plication. Healthcare-associated pneumonia was successfully treated with antibiotic therapy. The patient was discharged with appropriate respiratory and cardiac progress, tolerating oral intake, ambulating, and without the need for oxygen supplementation.



COMMENT

The main complication we face is postoperative obstruction, which is associated with multiple risk factors such as heterotaxy, single ventricle, history of any PV repair procedure, mixed type diagnosis of TAPVC, prolonged cardiopulmonary bypass and aortic cross-clamp time, and preoperative obstruction.12,13 In the case of obstruction to the coronary sinus, according to Husain et al.,15 it occurs in approximately 9.7% of postoperative cases, the last in terms of frequency. However, in this patient, this type of obstruction is observed. Postoperative obstruction is clinically associated with pulmonary hypertension, pulmonary vascular disease, hypoxemia, decreased right ventricular function, and an increase in morbidity and mortality.13

Moderate obstruction is defined as a Doppler velocity of 2 m/s or higher, a catheterization gradient of 4 mmHg or higher, or clinical respiratory distress requiring urgent surgical intervention.13 In a study by White et al., it is mentioned that postoperative obstruction is common after six months of TAPVC correction and that late presentation (beyond two years after correction) is rare.13 On the other hand, our patient had no follow-up, and nine years later, she exhibited obstruction of the right PV with a mean gradient of 11 mmHg and a maximum velocity of 2.15 m/s, a mean gradient of 9 mmHg in the left PV, and pulmonary arterial hypertension. However, she exhibited no clinical symptoms suggesting respiratory distress or the need for urgent surgical intervention.

The sutureless technique is described as the primary surgical approach for treating patients with pulmonary venous obstruction. Another alternative outlined in the literature is to perform a catheter intervention to correct this obstruction; however, there is a lower rate of potential reintervention in patients undergoing surgical procedures.15



CONCLUSIONS

Intracardiac connection is an uncommon but potentially serious complication that can occur in the postoperative period of cardiac surgery. This connection can become obstructed, leading to symptoms even outside the typical six-month post-surgery period. It's important to recognize that symptom presentation beyond this timeframe may be atypical.

In diagnosing this complication, it's crucial to conduct a thorough evaluation to identify the underlying cause of the patient's symptoms. In this case, the exclusion of the right PV suggests a possible obstruction in that area. The described surgical technique, which restores the permeability of the PV using sutureless techniques, appears to be an effective and reproducible alternative in these cases.

It is essential to address this complication promptly to avoid additional complications and improve the patient's quality of life. Restoring the permeability of the PV through appropriate surgical techniques can yield good results and alleviate the patient's symptoms.



ACKNOWLEDGMENTS

We thank Andrea Iliana Gómez González and Olga López Díaz for providing the information and clinical history.


REFERENCES

  1. Reller MD, Strickland MJ, Riehle-Colarusso T, Mahle WT, Correa A. Prevalence of congenital heart defects in metropolitan Atlanta, 1998-2005. J Pediatr. 2008;153(6):807-813. doi: 10.1016/j.jpeds.2008.05.059.

  2. Seale AN, Uemura H, Webber SA, Partridge J, Roughton M, Ho SY, et al. Total anomalous pulmonary venous connection: morphology and outcome from an international population-based study. Circulation. 2010;122(25):2718. doi: 10.1161/CIRCULATIONAHA.110.940825.

  3. Hoffman JI, Kaplan S. The incidence of congenital heart disease. J Am Coll Cardiol. 2002;39(12):1890-900. doi: 10.1016/s0735-1097(02)01886-7.

  4. Sakamoto T, Nagashima M, Umezu K, Houki R, Ikarashi J, Katagiri J, et al. Long-term outcomes of total correction for isolated total anomalous pulmonary venous connection: lessons from 50-years' experience. Interact Cardiovasc Thorac Surg. 2018;27(1):20-26. doi: 10.1093/icvts/ivy034.

  5. Hoffman JI, Kaplan S, Liberthson RR. Prevalence of congenital heart disease. Am Heart J. 2004;147(3):425-439. doi: 10.1016/j.ahj.2003.05.003.

  6. Craig JM, Darling RC, Rothney WB. Total pulmonary venous drainage into the right side of the heart; report of 17 autopsied cases not associated with other major cardiovascular anomalies. Lab Invest. 1957;6(1):44-64.

  7. Karamlou T, Gurofsky R, Al Sukhni E, Coles JG, Williams WG, Caldarone CA, et al. Factors associated with mortality and reoperation in 377 children with total anomalous pulmonary venous connection. Circulation. 2007;115(12):1591-1598. doi: 10.1161/CIRCULATIONAHA.106.635441.

  8. Satpathy M, Mishra BR. Clinical diagnosis of congenital heart disease. Jaypee Brothers Medical Pub; 3rd edition; 2021; Chapter 35; page 325.

  9. Fu CM, Wang JK, Lu CW, Chiu SN, Lin MT, Chen CA, et al. Total anomalous pulmonary venous connection: 15 years' experience of a tertiary care center in Taiwan. Pediatr Neonatol. 2012;53(3):164-170. doi: 10.1016/j.pedneo.2012.04.002.

  10. Moodie DS. Clinical management of congenital heart disease: from infancy to adulthood. Cardiotext Publishing; 1st edition. 225-234 pp.

  11. van der Velde ME, Parness IA, Colan SD, Spevak PJ, Lock JE, Mayer JE Jr, et al. Two-dimensional echocardiography in the pre- and postoperative management of totally anomalous pulmonary venous connection. J Am Coll Cardiol. 1991;18(7):1746-51. doi: 10.1016/0735-1097(91)90515-b.

  12. Castellaños LM, Sánchez CAV, Nivon KM. Estudio morfopatológico de la conexión anómala total de venas pulmonares. Arch Cardiol Mex. 2007;77(4):256-274.

  13. Wu Y, Wu Z, Zheng J, Li Y, Zhou Y, Kuang H, et al. Sutureless technique versus conventional surgery in the primary treatment of total anomalous pulmonary venous connection: a systematic review and meta-analysis. J Cardiothorac Surg. 2018;13(1):69. doi: 10.1186/s13019-018-0756-z.

  14. Ho DY, White BR, Glatz AC, Mascio CE, Stephens P Jr, Cohen MS. Postoperative obstruction of the pulmonary veins in mixed total anomalous pulmonary venous connection. Pediatr Cardiol. 2018;39(7):1489-1495. doi: 10.1007/s00246-018-1921-9.

  15. White BR, Ho DY, Faerber JA, Katcoff H, Glatz AC, Mascio CE, et al. Repair of total anomalous pulmonary venous connection: risk factors for postoperative obstruction. Ann Thorac Surg. 2019;108(1):122-129. doi: 10.1016/j.athoracsur.2019.02.017.



AFFILIATIONS

1 Hospital Infantil de México "Federico Gómez". Mexico City, Mexico.

2 Department of Cardiovascular Surgery.

3 Laboratory of Molecular Biology.



CORRESPONDENCE

Dr. Carlos Alcántara-Noguez. E-mail: dr.charlyalcantara@gmail.com




Received: 02-16-2024. Accepted: 05-11-2024.

Figure 1
Figure 2
Figure 3

2020     |     www.medigraphic.com

Mi perfil

C?MO CITAR (Vancouver)

Cir Card Mex. 2024;9