medigraphic.com
SPANISH

Acta Ortopédica Mexicana

ISSN 2992-8036 (Electronic)
ISSN 2306-4102 (Print)
Órgano Oficial del Colegio Mexicano de Ortopedia y Traumatología
  • Contents
  • View Archive
  • Information
    • General Information        
    • Directory
  • Publish
    • Instructions for authors        
  • medigraphic.com
    • Home
    • Journals index            
    • Register / Login
  • Mi perfil

2024, Number 4

<< Back Next >>

Acta Ortop Mex 2024; 38 (4)

Systematic evaluation of the painful hip

Aguirre-Rodríguez V, Pinal-Covarrubio J
Full text How to cite this article 10.35366/116311

DOI

DOI: 10.35366/116311
URL: https://dx.doi.org/10.35366/116311

Language: Spanish
References: 19
Page: 246-256
PDF size: 454.26 Kb.


Key words:

painful hip, Bryan Kelly layers, systematic approach.

ABSTRACT

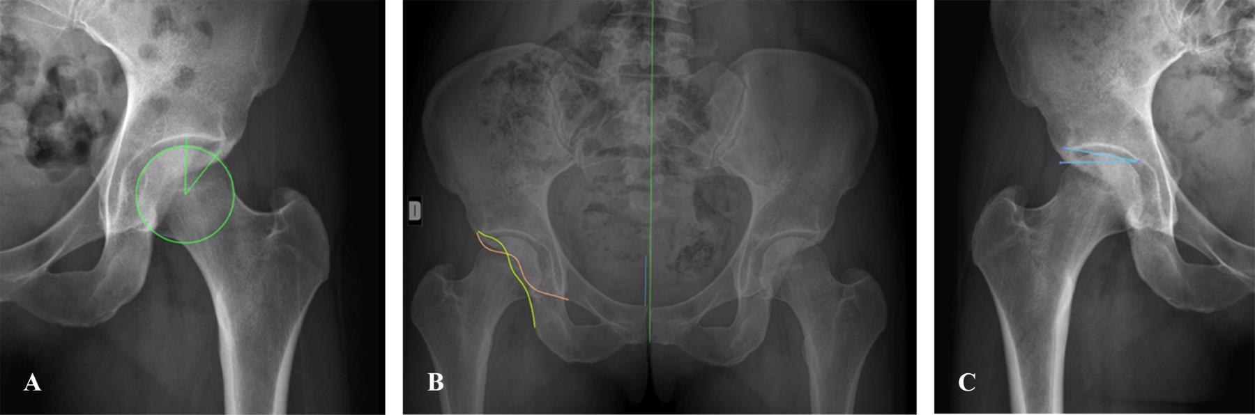
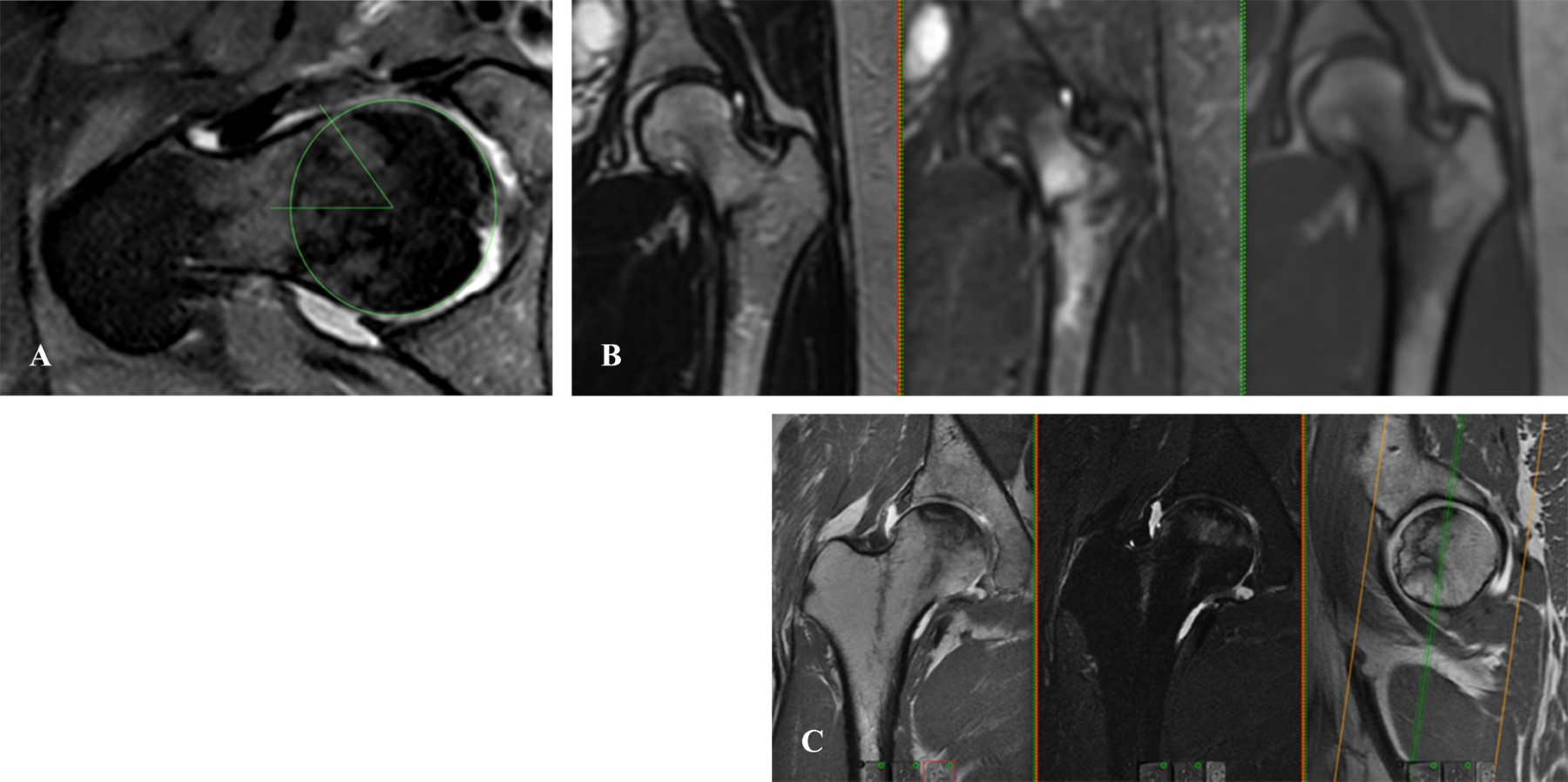
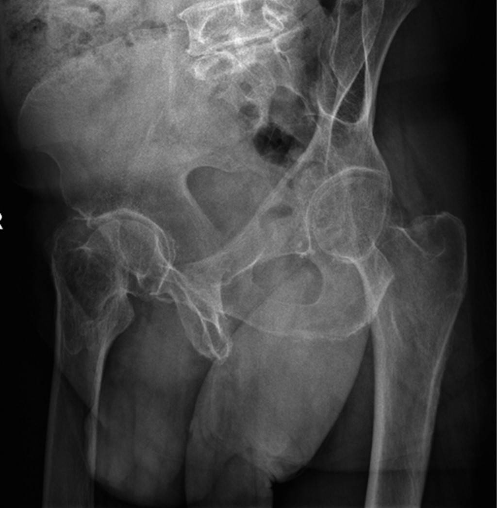
The painful hip has been a topic of study that has evolved from the beginning of the last century to the present. The clinical approach is complex, and requires a systematization process associated with good questioning, clinical maneuvers with their corresponding interpretation, and complementary imaging studies. The understanding of hip pathology, especially in young adults, is highly simplified and sometimes underdiagnosed, therefore, not treated in a timely manner. The prevalence of painful hip is more common in males (49 to 55%) than in females (25 to 28%), and the causes may vary according to demographic characteristics and the history of each patient. Bryan Kelly, made a topographic and anatomical description of the approach to the painful hip according to the theory or system of the layers: I. Osteochondral layer; II. Inert layer; III. Contractile layer; and IV. Neuro-mechanical layer. This system helps us understand the anatomical site of pain and its clinicopathological correlation. The semiological approach to hip pain is the fundamental pillar for differential diagnosis. We can divide it according to its topography into anterior, lateral and posterior, as well as according to its chronology and characteristics. The physical examination should be carried out systematically, starting from a generalized inspection of gait and posture to the evaluation of specific signs for alterations in each layer, which evoke pain with specific postures and ranges of mobility, or weakness and alterations in the arc of mobility of the joint. Image evaluation is initially recommended with radiographic projections that evaluate different planes, both coronal, sagittal and axial, complemented with panoramic views, and eventually dynamic sagittal ones if necessary. Requesting specific studies such as tomography to evaluate bone structure and reserve, or simple MRI when there is suspicion of soft tissue affection, or failing that, arthroresonance for joint pathology, will depend on the clinical symptoms and radiographic findings.


REFERENCES

  1. Draovitch P, Edelstein J, Kelly BT. The layer concept: utilization in determining the pain generators, pathology and how structure determines treatment. Curr Rev Musculoskelet Med. 2012; 5(1): 1-8.

  2. Luthra JS, Al-Habsi S, Al-Ghanami S, Ghosh S, Al-Muzahemi K. Understanding painful hip in young adults: a review article. Hip Pelvis. 2019; 31(3): 129-35.

  3. Gómez-Hoyos J, Martin RL, Martin HD. Current concepts review: evaluation and management of posterior hip pain. J Am Acad Orthop Surg. 2018; 26(17): 597-609.

  4. Dick AG, Houghton JM, Bankes MJK. An approach to hip pain in a young adult. BMJ. 2018; 361: k1086.

  5. Röling MA, Mathijssen NM, Bloem RM. Incidence of symptomatic femoroacetabular impingement in the general population: a prospective registration study. J Hip Preserv Surg. 2016; 3(3): 203-7.

  6. Wilson JJ, Furukawa M. Evaluation of the patient with hip pain. Am Fam Physician. 2014; 89(1): 27-34.

  7. Skendzel JG, Weber AE, Ross JR, Larson CM, Leunig M, Kelly BT, et al. The approach to the evaluation and surgical treatment of mechanical hip pain in the young patient: AAOS exhibit selection. J Bone Joint Surg Am. 2013; 95(18): e133.

  8. Ahuja V, Thapa D, Patial S, Chander A, Ahuja A. Chronic hip pain in adults: current knowledge and future prospective. J Anaesthesiol Clin Pharmacol. 2020; 36(4): 450-7.

  9. Vittecoq O, Lequerré T, Michelin P, Dujardin F. Actitud diagnóstica y tratamiento ante un dolor de cadera en el adulto. EMC - Tratado de Medicina. 2018; 22(1): 1-6.

  10. Pasic N, Bryant D, Naudie D, Willits K. Diagnostic validity of the physical examination maneuvers for hip pathology: a systematic review. Orthopedic Muscul Syst. 2014; 3: 157.

  11. Bardakos NV. Hip impingement: beyond femoroacetabular. J Hip Preserv Surg. 2015; 2(3): 206-23.

  12. Reiman MP, Thorborg K. Clinical examination and physical assessment of hip joint-related pain in athletes. Int J Sports Phys Ther. 2014; 9(6): 737-55.

  13. Martin HD, Kivlan BR, Palmer IJ, Martin RL. Diagnostic accuracy of clinical tests for sciatic nerve entrapment in the gluteal region. Knee Surg Sports Traumatol Arthrosc. 2014; 22(4): 882-8.

  14. Martínez Martínez A, García Espinosa J, Ruiz Santiago F, Guzmán Álvarez L, Castellano García MDM. Comparación de las técnicas de inyección ecográfica y radioscópica en los estudios de artro-TC y artro-RM de cadera. seram [Internet]. 2018. Disponible en: https://piper.espacio-seram.com/index.php/seram/article/view/637

  15. Lancaster TP, Chung CC, Gwathmey WF. Hip imaging and injections. Clin Sports Med. 2021; 40(2): 241-58.

  16. Sutter R, Blankenbaker DG. Imaging of the hip. In: Hodler J, Kubik-Huch RA, von Schulthess GK, editors. Musculoskeletal diseases 2021-2024: diagnostic imaging. Cham (CH): Springer; 2021.

  17. Arlachov Y, Ibrahem Adam R. Acute hip pain: mimics of a femoral neck fracture. Clin Radiol. 2018; 73(9): 773-81.

  18. Florkow MC, Willemsen K, Mascarenhas VV, Oei EHG, van Stralen M, Seevinck PR. Magnetic resonance imaging versus computed tomography for three-dimensional bone imaging of musculoskeletal pathologies: a review. J Magn Reson Imaging. 2022; 56(1): 11-34.

  19. Guanche CA. Hamstring injuries. J Hip Preserv Surg. 2015; 2(2): 116-22.




Figure 1
Figure 2
Figure 3
Figure 4
Figure 5
Figure 6
Figure 7
Figure 8
Figure 9
Figure 10
Figure 11
Figure 12
Figure 13
Figure 14
Table 1

2020     |     www.medigraphic.com

Mi perfil

C?MO CITAR (Vancouver)

Acta Ortop Mex. 2024 Jul-Ago;38